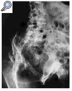
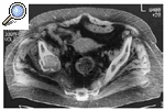
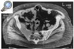
Se trata de una mujer de 75 años de edad sin antecedentes personales de interés que consultó por dolor en miembro inferior derecho (MID) de características inflamatorias, con limitación funcional de la movilidad de la cadera de un mes de evolución. En la exploración física, destacaba importante dolor a la movilización activa y pasiva del MID, así como a la palpación en cadera, muslo y cresta ilíaca. En la analítica, llamaba la atención un incremento del nivel sérico de la fosfatasa alcalina de 1.500 U/l (N: 98-279), un pico monoclonal (M) de 1,32 g/dl de IgG Kappa y un valor de β2-microglobulina de 2,99 mg/l (N: 0-2,5). Presentaba una proteinuria de 170 mg/dl con electroforesis en orina negativa. La tomografía axial computarizada (TAC) de pelvis mostraba una gran masa lítica de hueso ilíaco derecho que destruía la articulación sacroilíaca y el ala sacra, extendiéndose hasta el techo del acetábulo e infiltrando estructuras retroperitoneales y nalga derecha (figs. 1 y 2). En el estudio de la médula ósea se objetivó plasmocitosis del 2%. La gammagrafía ósea confirmó una hipercaptación irregular en hemipelvis derecha. Se realizó una punción-aspiración con aguja fina (PAAF) guiada con CT, siendo el diagnóstico de plasmocitoma. La paciente fue tratada con radioterapia local, a pesar de lo cual desarrolló una fractura del acetábulo derecho (fig. 3).
Fig.1.
Fig. 2.
Fig. 3.
COMENTARIOS
El plasmocitoma óseo solitario (POS) es un tumor localizado de células plasmáticas, histológicamente idénticas a aquellas que se ven en el mieloma múltiple (MM), en ausencia de otras lesiones osteolíticas y de hallazgos diagnósticos del MM. Aproximadamente un 50% de los POS desarrollan un MM al cabo de 10 años. Si se presenta fuera del hueso se denomina plasmocitoma extramedular.
Hay mayor incidencia de POS en hombres, siendo la edad media al diagnóstico una década más joven que en el MM (alrededor de los 55 años), a diferencia del caso clínico descrito. El esqueleto axial se afecta más frecuentemente que el apendicular, predominando en la columna torácica. La afectación de los huesos de la pelvis es una localización infrecuente.
El diagnóstico de POS requiere los siguientes criterios:
1) Evidencia histológica de una masa neoplásica de células plasmáticas en un hueso.
2) Estudios radiológicos con ausencia de lesiones líticas a otros niveles.
3) Aspirado de médula ósea sin criterios de MM.
4) Ausencia de anemia, hipercalcemia e insuficiencia renal.
5) Inmunoelectroforesis en sangre y orina sin presencia de pico monoclonal diagnóstico de MM.
La radioterapia local es el tratamiento de elección, con una respuesta superior al 90%. Existe controversia acerca de la eficacia de la quimioterapia coadyuvante como medida terapéutica preventiva en la progresión a MM.
La tasa de recidiva es superior en ancianos y en aquellos sujetos con afectación del esqueleto axial. Los factores predictivos de progresión a MM son: el tamaño tumoral, la presencia de osteopenia y la no reducción del pico monoclonal tras el tratamiento.
BIBLIOGRAFÍA RECOMENDADA
Dimopoulos MA, Moulopoulos LA, Maniatis A, Alexanian R. Solitary plasmacytoma of bone and asymptomatic multiple myeloma. Blood 2000;96:2037-44.
Ellis PA, Colls BM. Solitary plasmacytoma of bone. Clinical features, treatment and survival. Hematol Oncol 1992;10:207-11.
Frassica DA, Frassica FJ, Schray MF, Sim FH, Kyle RA. Solitary plasmacytoma of bone: Mayo Clinic experience. Int J Radiat Oncol Biol Phys 1989;16 (1):43-8.
Turcotte RE, Sim FH, Unni KK. Giant cell tumor of the sacrum. Clin Orthop 1993;291: 215-21.
NOTICIAS
LA FUNDACIÓN HISPANA DE OSTEOPOROSIS Y ENFERMEDADES METABÓLICAS ÓSEAS
Convoca el IX PREMIO CIENTÍFICO FHOEMO 2002 de acuerdo con las siguientes BASES
1. Este Premio, con una dotación de 1.506,02 e, tiene como objetivo premiar al mejor trabajo sobre Osteoporosis y Enfermedades Metabólicas Óseas.
2. El trabajo, para la presente edición, deberá haber sido desarrollado en España o Iberoamérica y publicado durante el año 2000 en cualquier revista de habla hispana.
3. La fecha límite para la recepción de los trabajos será el 15 de enero de 2003.
4. El Jurado estará compuesto por cuatro miembros del Comité Científico de la FHOEMO, actuando como secretaria del Jurado, con voz pero sin voto, la Secretaria de la misma.
5. La decisión del Jurado será inapelable y el Premio podrá ser declarado desierto si, a juicio del Jurado, se estimase que los trabajos presentados no reúnen el nivel profesional médico y técnico adecuados.
6. La FHOEMO se reserva la disponibilidad del trabajo una vez publicado para su difusión, si lo considera oportuno. Los trabajos concursantes no serán devueltos a sus autores.
7. Los aspirantes aceptarán las presentes bases por el mero hecho de concurrir a esta convocatoria.
8. Las solicitudes se enviarán, junto con seis copias del trabajo objeto de consideración, a: Premio Científico PHOEMO. Gil de Santivañes, 6. 28001 Madrid.




