Se trata de una mujer de 79 años, hipertensa y operada de acalasia, que presenta dolor y parestesias en miembro superior izquierdo, tumoración occipital, astenia, anorexia y pérdida de 5 kg de peso de un mes de evolución.
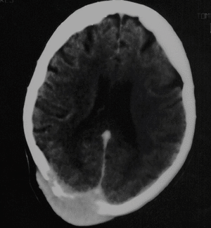
Se observan en las imágenes lesiones osteolíticas en región frontal medial, parietal izquierda y parietoocipital derecha, teniendo en esta última localización tejido sólido suprayacente (figs. 1 y 2). Esta lesión sólida parece erosionar todo el diploe y ambas tablas interna y externa, y extenderse al espacio epidural y muy probablemente invade el seno sagital superior. Esta lesión capta contraste.
Fig. 1.
Fig. 2.
COMENTARIOS
Ante lesiones líticas óseas craneales es conveniente realizar un diagnóstico diferencial de posibles causas como mieloma múltiple, enfermedad de Paget, tuberculosis, beta talasemia, tumor de células gigantes (osteoclastoma), histiocitosis X, linfoma y metástasis.
MIELOMA MULTIPLE
Las imágenes características son lesiones líticas "en sacabocados". La paciente no presentaba pico monoclonal sérico.
ENFERMEDAD DE PAGET
Durante la fase lítica presenta osteoporosis circunscrita, áreas de hipertransparencia de borde nítido generalmente en huesos frontal, parietal y occipital. La enfermedad de Paget puede evolucionar en un 1% a osteosarcoma con imágenes líticas, al igual que los granulomas reparadores, que simulan tumores de células gigantes, actúan con un efecto destructivo local, pero no metastatizan. En la analítica de un enfermo de Paget se encuentra hipercalcemia, que la paciente presentaba, no así un aumento de la fosfatasa alcalina y ácida, hidroxiprolina y osteocalcina, entre otros1.
TUBERCULOSIS
Se ha descrito un caso, siendo excepcional, en el que existe afectación craneal con lesiones osteolíticas y masa extradural, llegando al diagnóstico tras cultivo. Esta paciente presentaba cefalea y crisis tónico-clónicas2.
BETA TALASEMIA
Se han descrito 7 casos de pacientes con anemia de Cooley, con lesiones osteolíticas craneales con límites bien definidos sin esclerosis acompañantes3. La paciente no presentaba anemia.
TUMOR DE CÉLULAS GIGANTES
Es más frecuente en mujeres de mediana edad, cuya localización habitual es la rodilla; existen casos relacionados con la enfermedad de Paget4.
HISTIOCITOSIS X
Se produce una infiltración por células de Langerhans, que puede producir lesiones quísticas óseas generalmente únicas en huesos planos, que pueden preceder a la alteración pulmonar o incluso ser la única manifestación5,6. La paciente no presentaba otras lesiones compatibles con histiocitosis.
LINFOMA
Pueden aparecer lesiones osteolíticas en su diseminación así como en linfoma óseo primario7. La paciente presentaba hemograma normal.
METASTASIS
Las metástasis craneales son poco frecuentes, siendo las primarias más frecuentes hepáticas, tiroideas y pulmonar8. Se presentan como lesiones osteolíticas múltiples o solitarias. Existen descritos casos de metástasis craneales junto con masa subcutánea, como presenta nuestra paciente, siendo las primarias hepática, pulmonar y mama9.
Se realiza punción-aspiración con aguja fina (PAAF) de masa subcutánea occipital con citología positiva para carcinoma epidermoide. Junto con el diagnóstico histológico y el síndrome constitucional que presentaba la paciente, las imágenes radiológicas son compatibles con metástasis de carcinoma epidermoide.



