To compare the following rates between women with high breast density and women with low breast density that have participated in a breast cancer screening programme in Spain: recall rate (RR), false positive rate (FPR) and detection rate (DR).
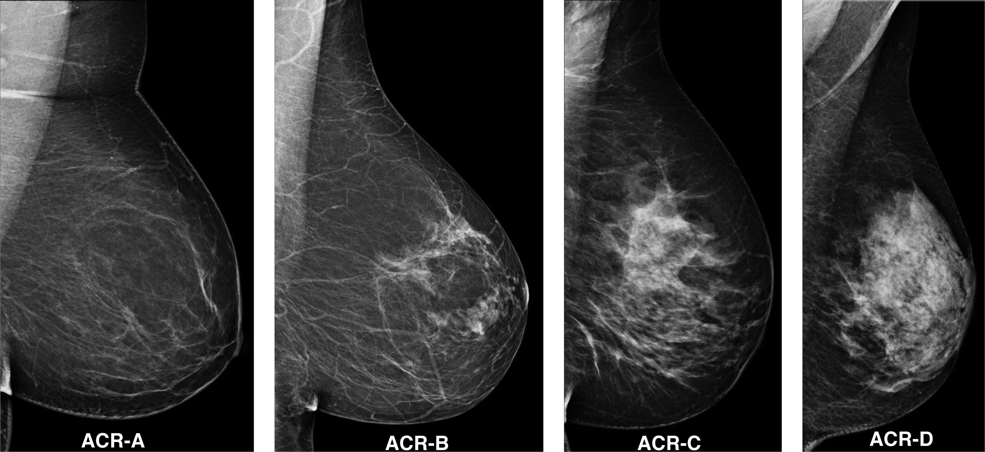
Materials and MethodsWe carried out a retrospective observational study in two tertiary hospitals in Barcelona. We included asymptomatic women aged 50–69 years, who attended the breast cancer screening programme between 1 January and 31 December 2022. Mammograms included two bilateral projections and breast density was assessed visually by expert radiologists, following the 5th edition BI-RADS recommendations. RR, FPR and DR were compared between the group of patients with high breast density (ACR-C, ACR-D) and the group with low breast density (ACR-A, ACR-B).
ResultsThe study included 18,193 women screened in 2022, of which 37.5% (6830 women) had dense breasts. It was noted that the proportion of women with high breast density decreased as age increased. The group of women with dense breasts had a higher RR (5.5% vs. 2.8%) (P-value < .001) and a higher FPR (49.6/1000 vs. 24.8/1000) (P-value < .001) than those with low breast density. Furthermore, the DR for breast cancer was higher for women with dense breasts (5.85/1000 vs. 3.6/1000) (P-value = .013).
ConclusionsHigh breast density is associated with increased RRs and FPRs in our screening programme. It is also related to a higher breast cancer DR.
Comparar la tasa de recitación (TR), la tasa de falsos positivos (TFP) y la tasa de detección (TD) de cáncer de mama entre las mujeres con alta y baja densidad mamaria, asistentes a uno de los programas organizados de cribado poblacional en cáncer de mama de España.
Materiales y métodosRealizamos un estudio observacional retrospectivo en dos hospitales de tercer nivel en Barcelona. Incluimos mujeres asintomáticas de 50 a 69 años, que asistieron al programa organizado de cribado en cáncer de mama, del 1 de enero al 31 de diciembre del año 2022. Las mamografías incluyeron dos proyecciones bilaterales y la densidad mamaria fue valorada visualmente por radiólogos expertos, siguiendo las recomendaciones de la 5ª edición BI-RADS. Se compararon la TR, la TFP y la TD en el grupo de pacientes con alta densidad mamaria (ACR-C, ACR-D) y baja densidad mamaria (ACR-A, ACR-B).
ResultadosEl estudio incluyó 18.193 mujeres cribadas en el año 2022, de las cuales el 37,5% (6.830 mujeres) tuvieron mamas densas. Se objetivó una disminución en la proporción de mujeres con alta densidad mamaria, a medida que aumentaba la edad. El grupo de mujeres con mama densa tuvo un TR más alta (5,5% frente a 2,8%) (P-valor < ,001) y una mayor TFP (49,6/1.000 frente a 24,8/1.000) (P-valor < ,001), en comparación con aquellas con densidad mamaria baja. Además, la tasa de detección de cáncer de mama fue mayor en las mujeres con mamas densas (5,85/1.000 frente a 3,6/1.000) (P-valor = ,013).
ConclusionesLa alta densidad mamaria se asocia a un aumento en la tasa de recitación y tasa de falsos positivos en nuestro programa de cribado. Además, se vincula a una mayor tasa de detección de cánceres de mama.







