La captación del nervio óptico es un signo visualizado en diferentes patologías; sin embargo, el realce perineural es menos frecuente. Se presenta el caso de una paciente con clínica de amaurosis bilateral en la que se sugirió el diagnóstico de arteritis de células gigantes por la captación perineural detectada en una resonancia magnética (RM) orbitaria, que se confirmó por biopsia de la arteria temporal.
La clínica es, en ocasiones, inespecífica y puede presentarse con síntomas visuales, incluso ceguera si afecta a ramas de la arteria oftálmica; en estos casos, la RM orbitaria puede ser de gran utilidad para un diagnóstico precoz. Si bien los hallazgos por RM son poco frecuentes, se han descrito distintos patrones de captación de contraste, entre los que el realce perineural es el más característico. Este patrón de afectación del nervio óptico es poco conocido pero relevante, pues orienta al diagnóstico de una patología que puede conducir a la ceguera permanente.
Optic nerve enhancement is a sign seen in different disease states; however, perineural enhancement is less common. This article presents the case of a patient with bilateral amaurosis in whom the diagnosis of giant cell arteritis was suggested by perineural enhancement on orbital magnetic resonance imaging (MRI) and confirmed by biopsy of the temporal artery.
The clinical presentation of giant cell arteritis is occasionally nonspecific; patients can have visual symptoms, even blindness if the branches of the ophthalmic artery are affected; in these cases, orbital MRI can be very useful for early diagnosis. Although the MRI findings are uncommon, distinct patterns of enhancement have been reported, the most characteristic of which is perineural enhancement. The pattern of optic nerve involvement is relatively unknown, but important because it orients the diagnosis of a disease that can lead to permanent blindness.
La arteritis de células gigantes (ACG) es la vasculitis primaria más frecuente y puede manifestarse de forma muy inespecífica. Una de las formas de presentación más devastadoras e infrecuente es la pérdida de visión debido a neuropatía óptica isquémica. El diagnóstico y el tratamiento precoz son decisivos. Las pruebas de imagen no son necesarias cuando la sintomatología clínica es característica, pero pueden realizarse cuando el diagnóstico no es claro. En nuestro caso se presenta con realce perineural bilateral afectando a la vaina de los nervios ópticos y al tejido graso intraconal adyacente. Se describirán también otros realces menos característicos descritos en la literatura científica, destacando la importancia de la resonancia magnética (RM) orbitaria, específicamente de la secuencia T1 poscontraste con saturación de grasa.
Presentación del casoMujer de 62 años con antecedentes de enolismo leve y diabetes mellitus de tipo 2, que consulta por amaurosis, inicialmente del ojo derecho y posteriormente del izquierdo, acompañada de dolor retroocular. Además, refiere omalgia bilateral en los últimos 6 meses, diagnosticada de fibromialgia. No presenta cefalea.
A la exploración física destaca amaurosis binocular con agudeza visual de 0 y pupilas arreactivas. El estudio de fondo de ojo muestra edema de papila bilateral. En la analítica sanguínea destaca hiperglucemia y discreto aumento de la velocidad de sedimentación globular (39mm/h). Se realiza una punción lumbar, que no muestra alteraciones.
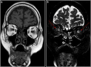
Se realiza una RM craneal y orbitaria (Philips Intera 1.5T) que muestra discreta leucoencefalopatía hipoxicoisquémica. Tras administrar gadolinio, en las secuencias T1 con saturación de grasa se observa realce orbitario perineural mal delimitado en la vaina de ambos nervios ópticos y en el tejido graso retrobulbar adyacente (figs. 1 y 2). Dicho hallazgo ha sido descrito en ACG con afectación visual, por lo que, en el contexto de la paciente, sin evidencia de otras patologías inflamatorias o neoplásicas, se sugirió este diagnóstico.
Ante la sospecha de neuropatía óptica isquémica anterior (NOIA) bilateral por ACG se comenzó tratamiento con bolos de metilprednisolona y ácido acetilsalicílico, a la espera del resultado de la biopsia de arteria temporal (gold standard). El estudio histológico confirmó el diagnóstico de ACG.
DiscusiónLa ACG es una vasculitis granulomatosa sistémica que afecta a arterias de mediano- gran calibre. La afectación más frecuente es la de ramas de la arteria carótida externa, así como de la arteria temporal. Los síntomas visuales por neuropatía óptica isquémica son una de las complicaciones más temidas de la ACG y pueden ser la primera manifestación de la enfermedad. La neuropatía óptica isquémica es una enfermedad secundaria a la interrupción del flujo sanguíneo en la arteria oftálmica y sus ramas, lo que da lugar a diferentes grados de ceguera. Puede ser provocada por diferentes entidades, y aproximadamente en el 10% de los pacientes es de origen arterítico por ACG.
La neuroimagen no suele ser necesaria en la ACG, pero en pacientes con presentación atípica y clínica visual se demuestra que la RM puede tener un papel importante en el diagnóstico.
La RM en la ACG, además de descartar causas desmielinizantes, lesiones que comprimen el nervio óptico y patologías infecciosas que pueden empeorar con el tratamiento corticoideo, como la sinusitis fúngica, puede demostrar lesiones orbitarias indicativas de NOIA, la manifestación ocular más frecuente en ACG, afectando a la zona cercana a la unión del nervio óptico con el globo ocular y frecuentemente bilaterales:
- •
El hallazgo que se ha descrito con más frecuencia (menos de 10 casos en la bibliografía) es el realce perineural que afecta a la vaina del nervio óptico y a la grasa perineural (figs. 1 y 2), que sugiere cambios inflamatorios: perineuritis óptica1–4. En algún caso se ha descrito extensión hasta el quiasma (neuropatía óptica isquémica posterior5,6. En un paciente en el que se realizó biopsia perineural se confirmó tejido fibroadiposo con múltiples arterias con inflamación mural por linfocitos y células gigantes7.
- •
Con menor frecuencia se ha descrito realce del nervio óptico, generalmente tenue, y asociado a hiperseñal en STIR (short tau inversion recovery). Dicho hallazgo también se describe, ocasionalmente, en la neuropatía óptica isquémica no arterítica8.
- •
Captaciones orbitarias no específicas (muscular, difusa) descritas puntualmente en algún artículo5.
- •
Una captación puntiforme en la cabeza del nervio óptico (the central bright spot sign) se describió en una serie de neuropatía óptica isquémica, en casi todos los pacientes con neuropatía arterítica y en menor número en la no arterítica9. Dicho hallazgo no se ha descrito con mayor frecuencia probablemente por las características del estudio realizado en RM de 3T y con una secuencia 3DT1 de alta resolución.
Además, en la ACG se puede detectar engrosamiento y captación mural de las arterias temporales e incluso de las oftálmicas.
El diagnóstico diferencial de la captación perineural se realizaría con patología inflamatoria (perineuritis óptica inflamatoria no específica, sarcoidosis, granulomatosis de Wegener), infecciosa (sífilis, herpes zóster, tuberculosis), tumoral (metástasis, linfoma/leucemia, meningioma) o con patología autoinmunitaria (neuritis óptica asociada a Ac anti-MOG10).
Los hallazgos de la ACG en RM son poco frecuentes, inespecíficos y variables, lo que puede retrasar el diagnóstico y el tratamiento. Esta entidad puede provocar, con menor frecuencia, manifestaciones visuales por otras causas vasculares (oclusión de la arteria central de la retina, oclusión de arteria ciliorretiniana, infarto del lóbulo occipital)7. Sin embargo, una exploración de RM orbitaria de alta resolución, incluyendo secuencias STIR, T2 y T1 con saturación grasa y gadolinio intravenoso, puede demostrar captación perineural en una localización característica de NOIA que, en el contexto clínico adecuado, orienta hacia el diagnóstico precoz de ACG.
ConclusionesLa ACG es una vasculitis sistémica que puede provocar ceguera permanente si no se establece un diagnóstico y tratamiento precoz. Si bien las pruebas de imagen no suelen ser necesarias en los casos de presentación típica, la RM orbitaria puede orientar al diagnóstico en los pacientes que se presentan con neuropatía óptica de causa no conocida.
FinanciaciónLa presente revisión no ha recibido ayudas específicas provenientes de agencias del sector público, sector comercial o entidades sin ánimo de lucro.
Conflicto de interesesLos autores declaran no tener ningún conflicto de intereses.






