La neurografía por resonancia magnética (RM) hace referencia a un conjunto de técnicas con capacidad para valorar óptimamente la estructura de los nervios periféricos y de los plexos nerviosos. Las nuevas secuencias neurográficas 2D y 3D, en particular en equipos de 3 Tesla, consiguen un contraste excelente entre el nervio y las estructuras perineurales. La neurografía por RM permite distinguir el patrón fascicular normal del nervio y diferenciarlo de las anomalías que lo afectan, como inflamaciones, traumas y tumores. En este artículo se describe la estructura del nervio ciático, sus características en la neurografía por RM y las dolencias que lo afectan con mayor frecuencia.
Magnetic resonance (MR) neurography refers to a set of techniques that enable the structure of the peripheral nerves and nerve plexuses to be evaluated optimally. New two-dimensional and three-dimensional neurographic sequences, in particular in 3T scanners, achieve excellent contrast between the nerve and perineural structures. MR neurography makes it possible to distinguish between the normal fascicular pattern of the nerve and anomalies like inflammation, trauma, and tumor that can affect nerves. In this article, we describe the structure of the sciatic nerve, its characteristics on MR neurography, and the most common diseases that affect it.
El estudio de las neuropatías periféricas (NP) ha estado históricamente a cargo de los neurofisiólogos, quienes aportan datos funcionales y cuali-cuantitativos de la ubicación de la lesión, las propiedades de conducción y la distribución neuronal. La técnica más usada es el electromiograma (EMG)1,2. Sin embargo, el EMG es un estudio que consume mucho tiempo, no es cómodo para el paciente, no localiza el sitio exacto de la lesión, ni tampoco diferencia la fibrosis perineural de las masas compresivas. La evaluación clínica y electrofisiológica habitualmente no determina la causa de la neuropatía ciática3. La llegada de las técnicas neurográficas por RM ha permitido un abordaje diagnóstico más preciso4. Actualmente, con los equipos de RM de 3T y las secuencias de alta resolución, se pueden estudiar detalladamente la estructura del nervio ciático, su curso, las relaciones con las estructuras adyacentes que pueden contribuir a atraparlo y su compresión3,5. En este artículo, se repasan la anatomía del nervio ciático, los parámetros técnicos en RM para su estudio y los procesos más frecuentes que pueden afectarlo.
Estructura del nervio periféricoPara entender mejor las características de los nervios normales y patológicos en la RM es necesario repasar brevemente la estructura del nervio periférico. El axón es la unidad funcional del nervio periférico, contenido por la vaina formada por las células de Schwann. Una capa de tejido conectivo, el endoneuro, rodea a cada axón. Múltiples axones forman un fascículo, que está cubierto por un estroma fibroso llamado perineuro. Por último, un grupo de fascículos se cubren por una capa de tejido conectivo, el epineuro, que contiene los vasos6 (fig. 1).
Anatomía del nervio ciáticoFormado por la unión de las raíces de L4 a S3, el nervio ciático es el nervio más largo del organismo. Emerge por la escotadura ciática mayor en la que ya se distinguen sus 2 divisiones, tibial y peronea, pero ambas englobadas por una vaina nerviosa común. En su descenso por la pelvis, presenta variaciones anatómicas en sus relaciones con el músculo piriforme, pasando, en general, por debajo. Sin embargo, el nervio o una de sus divisiones, generalmente la división peronea, puede cursar a través del músculo. El nervio continúa descendiendo por el muslo, por detrás del músculo aductor mayor y por delante del glúteo mayor. En el tercio distal del muslo, las 2 divisiones se separan físicamente en nervio tibial y nervio peroneo común7.
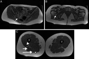
Músculos inervados por el nervio ciáticoEn la pelvis, el nervio ciático inerva a los músculos piriforme y cuadrado femoral. En el muslo, la división tibial del nervio ciático inerva a la cabeza larga del músculo bíceps femoral y a los músculos semitendinoso, semimembranoso y aductor mayor. La división peronea inerva a la cabeza corta del músculo bíceps femoral8 (fig. 2).
Músculos inervados por el nervio ciático. A) Músculo piriforme (flecha). B) Músculo cuadrado femoral (flecha). C) Músculos grácil (asterisco pequeño), cabeza corta del bíceps femoral (cabeza de flecha), cabeza larga del bíceps (flecha corta), semimembranoso (asterisco grande) y semitendinoso (flecha larga).
Históricamente, las técnicas para evaluar los nervios periféricos priorizaban a las secuencias ponderadas en T24. Sin embargo, actualmente disponemos de técnicas de alta resolución que, al utilizar cortes finos de 1 a 1,2mm, sin espaciado, permiten, combinando secuencias ponderadas en T1 para el estudio anatómico, y secuencias ponderadas en T2 con supresión de grasa para el patológico, conseguir un mejor contraste entre los fascículos, la grasa perifascicular y la perineural. Los equipos de 3T no son un requisito para realizar estos estudios, ya que otras intensidades de campo también lo permiten. Byun et al., en un estudio con 24 pacientes, demostraron que con una secuencia 3D gradiente de eco con planos milimétricos (secuencia Proset) en un equipo de 1,5T y reconstrucciones en la estación de trabajo, se puede estudiar la relación entre las hernias foraminales y extraforaminales con la raíz nerviosa afectada con una gran precisión9. Sin embargo, la aparición de equipos de RM de 3T y secuencias neurográficas de alta definición permitieron obtener imágenes con una excelente relación señal/ruido, y llevar a cabo exploraciones 3D. Existen diferentes formas para generar la saturación de un determinado tejido, de las que, la más utilizada, es la saturación de la grasa. Una de estas técnicas de saturación se basa en la descomposición de la señal aprovechando la frecuencia de precesión de los protones de la grasa. Este método, descrito por Dixon, es la base para las imágenes en fase/fuera de fase, ampliamente utilizadas en la práctica diaria10. Actualmente, esta secuencia permite trabajar simultáneamente con imágenes T1 y T2 y 4 combinaciones de pulsos de saturación (supresión de agua, supresión de grasa y supresión combinada de agua y grasa o imágenes en fase/fuera de fase), mediante una modificación a la técnica de Dixon (tabla 1). Este desarrollo corresponde a la secuencia IDEAL (iterative decomposition of water and fat with echo asymmetry and least-squares estimation) de General Electric (GE) Healthcare11,12 y a la 3D T2 SPACE (sampling perfection with application optimized contrast), de Siemens Healthcare13,14. La suma de imágenes 3D T2 Cube (GE Healthcare) adquiridas en el plano coronal y densidad protónica con saturación grasa, permiten un estudio óptimo de la región. La inyección de gadolinio es opcional, y se reserva para cuando se sospechen tumores e infecciones.
Parámetros técnicos. Secuencia IDEAL
| Parámetros técnicos secuencia IDEAL T1 y T2 |
| Bobina: neurovascular phase array 8 elementos |
| Frecuencia: 320 |
| Fase: 256 |
| 3 NEX |
| TE: 90ms (T2) / 9,1ms (T1) |
| TR: 7160ms (T2) / 575ms (T1) |
| Tren de ecos: 20 (T2) / 3 (T1) |
| Espesor/espaciado 1 a 1,2mm/0 a 0,2mm |
| FOV: 35cm |
FOV: campo de visión; IDEAL: iterative decomposition of water and fat with echo asymmetry andleast-squaresestimation; NEX: número de excitaciones; TE: tiempo de eco; TR: tiempo de repetición.
El posproceso en la estación de trabajo es una parte esencial del estudio. Se hacen reconstrucciones multiplanares (MPR), reconstrucciones con máxima intensidad de proyección (MIP) y técnicas de reconstrucción curva. Estas últimas permiten desplegar y seguir el recorrido del nervio en toda su extensión, proporcionando así información de las relaciones del nervio con las estructuras adyacentes.
También se han desarrollado las técnicas basadas en la difusión de las moléculas de agua, como las secuencias potenciadas en difusión (DWI) y el tensor de difusión (DTI) con tractografía, para usarlas rutinariamente en la evaluación del sistema nervioso periférico15,16. Es de prever que, en el futuro, estas técnicas puedan aportar información de la regeneración nerviosa. El DTI facilita datos de la microestructura y función, además de información sobre el trayecto del nervio. Normalmente, la difusión a lo largo del nervio es 3 veces mayor que a través del nervio (anisotropía), debido a las restricciones generadas por la vaina de mielina. De esa manera, el DTI permite realizar una tractografía y el cálculo cuantitativo de parámetros tales como el coeficiente de difusión aparente (mapa ADC), que traduce el grado de difusión, y la anisotropía fraccional. La aplicación de valores b altos, de aproximadamente 1.000-1.200s/mm2, es esencial para un estudio óptimo de los nervios periféricos17.
Si bien es necesario protocolizar el estudio del nervio ciático, en ocasiones, la elección de la técnica para una exploración óptima debe ser consensuada entre el médico que remite al paciente, el médico radiólogo y el técnico que lo realizará. En la tabla 2 se resume el protocolo utilizado en nuestro laboratorio.
Protocolo de examen de neurografía del nervio ciático
| FOV (cm) | espesor (mm) | TR/TE (ms) | |
| Axial FSE T1: | 30-40 | 3 | 780/10 |
| Coronal IDEAL T2 | 35 | 1-1,2 | 7.160/90 |
| Sagital IDEAL T1 | 35 | 1-1,2 | 575/9,1 |
| Coronal 3D T2 Cube | 30-40 | 1 | 1.500/150 |
Todas las secuencias fueron realizadas con matriz de alta resolución de 256×320.
FOV: campo de visión; FSE: fast spin echo; IDEAL: iterative decomposition of water and fat with echo asymmetry andleast-squaresestimation; TE: tiempo de eco; TR: tiempo de repetición.
El nervio normal muestra una apariencia fascicular, con intensidad de señal de isointensa a mínimamente hiperintensa con respecto al músculo en las secuencias potenciadas en T1 y T217–19. El tejido graso perineural tiene una señal homogénea y un plano de separación con las estructuras adyacentes. El tejido perineural en torno al nervio ciático es especialmente abundante, lo que permite distinguirlo claramente de las estructuras circundantes con las secuencias actuales de RM. El curso del nervio es más bien rectilíneo, sin ángulos agudos. Gracias a las secuencias de alta resolución, actualmente se pueden distinguir las 2 divisiones del nervio ciático, de las cuales la más gruesa e interna es la división tibial, y la más delgada y lateral, la división peronea (fig. 3).
El nervio anormal pierde su patrón fascicular, se engruesa focal o difusamente y presenta desviaciones en su curso, interrupciones o compresiones. En las secuencias ponderadas en T2 es hiperintenso respecto a su contralateral, y, con la inyección de gadolinio, suele realzar. Además, se acompaña de cambios en la señal o estratificación de la grasa perineural, que se ve mejor en las secuencias potenciadas en T1, y de imágenes lineales adyacentes y en contacto con el nervio, características de fibrosis19,20,21.
Clasificación de las neuropatíasLas principales formas etiológicas de las NP fueron descritas por Seddon en 194322, que destacó aquellas en que se produce daño por tracción y/o compresión extrínseca. El nervio sufre el efecto de fuerzas físicas, ya sea por fricción, elongación o compresión, que generan 3 mecanismos de lesión: neuropraxia, axonotmesis y neurotmesis.
La neuropraxia es el grado menor de lesión. El nervio muestra sufrimiento sin discontinuidad de su vaina ni del axón. Generalmente, es un trastorno transitorio y con restitución completa.
En la axonotmesis la noxa genera discontinuidad axonal con integridad del envoltorio conectivo (perineuro, endoneuro y epineuro). La ruptura completa del axón produce una degeneración walleriana del segmento distal. El pronóstico de estas lesiones sigue siendo bueno, pero con recuperación lenta (regeneración axonal de aproximadamente 1mm por día).
La neurotmesis es el mayor grado de lesión. Tanto el axón como las vainas perineurales están afectados. La pérdida funcional es completa y, a menos que se intervenga quirúrgicamente de forma anticipada, el tejido de granulación y, posteriormente, la fibrosis aparecen produciendo neuromas postraumáticos y/o fibrosis intraneural22.
Las técnicas microquirúrgicas han beneficiado a la cirugía de los nervios periféricos en los últimos 20 años. El tejido fibroso perineural puede ser eliminado por neurólisis23. En casos de axonotmesis grave o neurotmesis es necesaria la reparación quirúrgica. La sutura directa de los extremos del nervio puede generar tensión. Es por ello, que el criterio actual es usar auto o aloinjertos20.
Neuropatías específicas del nervio ciáticoSíndrome piramidalDescrito por Robinson en 194724, el síndrome piramidal o piriforme se produce por compresión del nervio ciático a su paso por la escotadura del mismo nombre. El músculo piriforme es el más activo de los atletas corredores y se inserta en los pedículos de la tercera y cuarta vértebras sacras, atraviesa el agujero ciático mayor y, por medio de un tendón grueso se inserta en el trocánter mayor. El síndrome piramidal puede producirse por modificaciones del músculo piriforme como hipertrofias, contracturas o espasmos, traumas directos o por anomalías anatómicas en el recorrido del nervio cuando pasa por la escotadura ciática. Por tanto, se encuadra dentro de las neuropatías por compresión o atrapamiento. La controversia sobre el origen de la neuropatía lumbosacra distal al neuroforamen ha persistido durante muchos años25.
Las imágenes en el síndrome piramidal durante años no han sido de gran ayuda y el diagnóstico ha sido siempre de exclusión. Para Stewart26 el síndrome piriforme se ha infradiagnosticado durante años, y ha propuesto la exploración quirúrgica para el diagnóstico definitivo. Durante la intervención se puede identificar la compresión ciática por el músculo piriforme y/o la asociación con bandas fibrosas26. Sin embargo, las secuencias neurográficas pueden hoy mostrar el nervio ciático en todo su recorrido y establecer su relación con el músculo piriforme27,28.
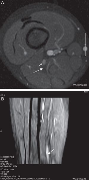
Entre las neuropatías de los nervios de las extremidades inferiores, las neuropatías posturales pueden ocurrir en una variedad de posiciones, las más descritas la de litotomía y la de sentado. Estas causas de lesión del nervio ciático son prevenibles y suelen ocurrir por descuido intraoperatorio, ya sea porque el paciente permanece demasiado tiempo en la misma postura, o por error en el posicionamiento. Esto ha tenido un alto impacto médico-legal29–31. En ambas posiciones, las mismas fuerzas que contribuyen a la lesión por estiramiento del grupo muscular de los isquiotibiales (por ejemplo, bíceps femoral), pueden generar el estiramiento del nervio ciático. Debido a que la posición afecta a la vez a ambos miembros, la afectación del nervio ciático puede ser bilateral. El trauma en el músculo piriforme genera espasmo o contractura muscular y, secundariamente, lesión del nervio por compresión y/o estiramiento32. Los hallazgos en RM, teniendo en cuenta el antecedente clínico, son muy sugestivos. Las imágenes muestran un engrosamiento fusiforme del nervio a su paso por la escotadura ciática, un foco de contusión en los músculos piriforme, cuadrado femoral y glúteo, así como cambios en los planos grasos adyacentes. La captación de contraste por estas estructuras se explica por el componente inflamatorio agudo del paquete vásculo-nervioso de la vaina neural, junto con la compresión muscular adyacente (fig. 4).
Niña de 13 años con antecedente de cirugía en posición sentada durante 8h. A) Secuencia IDEAL ponderada en T2 con saturación de la grasa en el plano coronal. Se observa un aumento de la señal y engrosamiento difuso de ambos nervios ciáticos, con predominio en el lado izquierdo (flecha). Se acompaña de edema de las partes blandas adyacentes en el lado izquierdo (asterisco). B) Reconstrucción MPR curva en el eje longitudinal del nervio.
La neoplasia más común y descrita en la bibliografía es el tumor de la vaina neural periférica (PNST)33–35. La importancia de poder diferenciar en imágenes entre los tumores benignos como el neurofibroma y neurilemoma o schwanoma, radica en que el schwanoma puede resecarse sin afectar al nervio, porque está contenido dentro de la misma cápsula, el epineuro y, habitualmente pueden separarse quirúrgicamente. Por el contrario, el neurofibroma debe ser resecado con parte del nervio porque el tumor no puede ser separado de sus fibras. Ambos tumores han sido ampliamente estudiados y descritos en trabajos de RM. En un estudio de 52 pacientes que analizaron las diferencias en las imágenes ponderadas en T2, el signo de la diana (58 vs. 15%), el realce central (75 vs. 8%) y una combinación de ambas (63 vs. 3%) se presentaron principalmente en los neurofibromas. Por el contrario, los hallazgos sugestivos de neurilemomas fueron la apariencia fascicular, un anillo delgado hiperintenso en T2, una combinación de ambos (8% neurofibromas vs 46% neurilemomas) y el realce difuso. Los grandes neurilemomas sufren con frecuencia cambios degenerativos que incluyen quistes, hemorragias y fibrosis36 (fig. 5).
Niño de 4 años con marcha polineurítica de un año de evolución, con EMG compatible con lesión del nervio peroneo. A) Secuencia SPGR ponderada en T1 con saturación de la grasa e inyección de gadolinio. Muestra un nódulo en la división peronea del nervio ciático (flecha corta). Por detrás se observa la división tibial con un patrón fascicular normal (flecha larga). B) Reconstrucción MPR curva donde se observa el engrosamiento fusiforme en el tercio distal del nervio ciático (flecha).
El neurofibroma plexiforme tiene una apariencia patognomónica. Se observa como una nodularidad difusa de todo el recorrido del nervio y sus ramas, con una hiperintensidad similar al agua en las secuencias ponderadas en T2. Los de gran volumen reemplazan el tejido adiposo creando una apariencia en «panal». Clínicamente se manifiestan por elefantiasis neuromatosa37–39 (fig. 6).
Niño de 14 años, con antecedente de neurofibromatosis tipo I. Secuencia SSFSE ponderada en T2 en el plano coronal del muslo, en la que se observa una formación voluminosa en las partes blandas del muslo, con alta intensidad de señal, polilobulada, con múltiples septos. La biopsia demostró un neurofibroma plexiforme del nervio ciático.
El neurofibroma o schwanoma maligno, también llamado PNST maligno, supone el 5-10% de los sarcomas de partes blandas y se asocia a neurofibromatosis tipo i en el 25 a 70% de los casos. También se ha descrito 10-20 años después de haber sido radiado. El nervio ciático es el que se afecta con mayor frecuencia por estos tumores33,40. La neurografía es el estudio de imagen de primera línea para el diagnóstico. Muestra la morfología fusiforme característica, a veces áreas de necrosis o hemorragia y, ocasionalmente, focos heterotópicos de cartílago o hueso. La recurrencia local y las metástasis son frecuentes27,41,42.
La lipomatosis del nervio ciático, también conocida como hamartoma fibromatoso, es una condición seudotumoral rara caracterizada por el engrosamiento fusiforme de un nervio por hipertrofia anómala del tejido fibroadiposo. La apariencia de esta entidad en la RM es patognomónica. En las secuencias ponderadas en T1 muestra el patrón fascicular del nervio, hipointenso, surcado por tejido hiperintenso similar a la señal de la grasa que se distribuye uniformemente entre las fibras del nervio. En las secuencias ponderadas en T2, y en particular en aquellas con saturación grasa o STIR (short tau inversión recovery), el nervio aparece homogéneamente hipointenso debido a la supresión del componente graso y a la baja señal del patrón fascicular normal. La cantidad de componente graso es variable43,44 (fig. 7).
Paciente de 73 años que presentaba parestesias leves en el territorio peroneo de ambos lados. En las imágenes ponderadas T1 se observa aumento de grosor del nervio ciático de ambos lados a expensas de una hipertrofia del componente graso intraneural, hallazgo compatible con lipomatosis bilateral del nervio ciático (flecha).
Además, se ha descrito la infiltración perineural por linfoma45. Otros procesos simulan tumores, como la amiloidosis46, el seudotumor inflamatorio5,47. Más raramente se han descrito lipomas48, linfangiomas, neurofibrosarcomas y tumor desmoide49.
El diagnóstico diferencial entre plexopatía por irradiación y neoplásica puede ser complejo. En estas ocasiones, la tomografía por emisión de positrones (PET) con 18F-fluorodeoxiglucosa puede ayudar a diferenciarlas50.
ConclusiónLas técnicas actuales de RM de alta resolución mejoran la visualización de los nervios periféricos normales y patológicos y, brindan información suplementaria a los ensayos clínicos y electrofisiológicos. Es un complemento a la RM de columna lumbosacra en el estudio de las lumbociatalgias.
Responsabilidades éticasProtección de personas y animalesLos autores declaran que para esta investigación no se han realizado experimentos en seres humanos ni en animales.
Confidencialidad de los datosLos autores declaran que han seguido los protocolos de su centro de trabajo sobre la publicación de datos de pacientes y que todos los pacientes incluidos en el estudio han recibido información suficiente y han dado su consentimiento informado por escrito para participar en dicho estudio.
Derecho a la privacidad y consentimiento informadoLos autores declaran que en este artículo no aparecen datos de pacientes.
Autorías- 1.
Responsable de la integridad del estudio: CC.
- 2.
Concepción del estudio: CC y MA.
- 3.
Diseño del estudio: CC, MA, NC y LF.
- 4.
Obtención de los datos: MA, LF, NC y MCA.
- 5.
Análisis y presentación de los datos: LF, NC y MCA.
- 6.
Tratamiento estadístico: No procede.
- 7.
Búsqueda bibliográfica: CC, MA y LF.
- 8.
Redacción del trabajo: CC, MA y NC.
- 9.
Revisión crítica del manuscrito con aportaciones intelectualmente relevantes: CC, MA, LF, NC y MCA.
- 10.
Aprobación de la versión final: CC, MA, LF, NC y MCA.
Los autores declaran no tener ningún conflicto de intereses.













