El propósito de este estudio en 265 pacientes con síndrome respiratorio agudo severo por coronavirus 2 (SARS-CoV-2) es establecer una relación entre la cuantificación inicial de los hallazgos en la radiografía de tórax en pacientes con COVID-19 y un eventual empeoramiento clínico, así como comparar tres sistemas de cuantificación que se proponen.
Material y métodosEn este estudio retrospectivo se revisó la evolución clínica y radiológica de 265 pacientes adultos con infección por COVID-19 atendidos en nuestro centro entre marzo y abril de 2020, registrándose la presencia de comorbilidades, así como datos de estancia hospitalaria y empeoramiento clínico (ingreso en unidad de cuidados intensivos/intubación y fallecimiento). La afectación en la radiografía de tórax inicial patológica de cada paciente se cuantificó siguiendo tres sistemas de puntuación diferentes sobre 6 u 8 campos pulmonares (denominados 6A, 6B y 8) para determinar una afectación leve, moderada o grave y establecer comparación entre dichos sistemas. También se registró la presencia de opacidades alveolares y opacidades lineales (fundamentalmente atelectasia laminar) en la primera radiografía patológica.
ResultadosLa afectación moderada o grave en los tres sistemas de cuantificación (6A, 6B y 8) mostró correlación en el estudio de χ2 con la variable ingreso hospitalario (p=0,009, 0,001, 0,001, respectivamente) y fallecimiento de los pacientes (p=0,02, 0,01, 0,006, respectivamente). El estudio de regresión mostró como más significativas las asociaciones 6B + afectación alveolar [odds ratio (OR) 2,3, p=0,025, intervalo de confianza (IC) al 95% 1,1-4,7) y clasificación 8 + afectación alveolar (OR 2,07, p=0,046, IC 95% 1,01-4,25). La afectación moderada o grave en la radiografía de tórax no mostró diferencias significativas entre los tres sistemas de cuantificación en el estudio predictivo de empeoramiento clínico.
ConclusiónLa extensión moderada/grave en los tres sistemas de puntuación de la radiografía de tórax valorando la extensión de enfermedad sobre 6 y 8 campos pulmonares y la existencia de opacidades alveolares en la primera radiografía patológica se correlacionaron con la mortalidad y la tasa de hospitalización en los pacientes estudiados. No se apreció una diferencia significativa en la capacidad predictiva de los tres sistemas de cuantificación propuestos.
We aimed to analyze the relationship between the initial chest X-ray findings in patients with severe acute respiratory syndrome due to infection with SARS-CoV-2 and eventual clinical worsening and to compare three systems of quantifying these findings.
Material and methodsThis retrospective study reviewed the clinical and radiological evolution of 265 adult patients with COVID-19 attended at our center between March 2020 and April 2020. We recorded data related to patients’ comorbidities, hospital stay, and clinical worsening (admission to the ICU, intubation, and death). We used three scoring systems taking into consideration 6 or 8 lung fields (designated 6A, 6B, and 8) to quantify lung involvement in each patient's initial abnormal chest X-ray and to classify its severity as mild, moderate, or severe, and we compared these three systems. We also recorded the presence of alveolar opacities and linear opacities (fundamentally linear atelectasis) in the first chest X-ray with pathologic findings.
ResultsIn the χ2 analysis, moderate or severe involvement in the three classification systems correlated with hospital admission (p=0.009 in 6A, p=0.001 in 6B, and p=0.001 in 8) and with death (p=0.02 in 6A, p=0.01 in 6B, and p=0.006 in 8). In the regression analysis, the most significant associations were 6B with alveolar involvement (OR 2.3; 95%CI 1.1.–4.7; p=0.025;) and 8 with alveolar involvement (OR 2.07; 95% CI 1.01.–4.25; p=0.046). No differences were observed in the ability of the three systems to predict clinical worsening by classifications of involvement in chest X-rays as moderate or severe.
ConclusionModerate/severe extension in the three chest X-ray scoring systems evaluating the extent of involvement over 6 or 8 lung fields and the finding of alveolar opacities in the first abnormal X-ray correlated with mortality and the rate of hospitalization in the patients studied. No significant difference was found in the predictive ability of the three classification systems proposed.
El brote de pandemia de COVID-19ha provocado un grave problema de saturación de los servicios de salud en diferentes países1. Hasta ahora, muchas publicaciones se han centrado en los hallazgos de la tomografía computarizada (TC), la evolución y la comparación con los resultados de la radiografía de tórax1–10. También se ha establecido una correlación entre la TC de tórax y la prueba diagnóstica RT-PCR (reacción en cadena de la polimerasa-transcriptasa inversa)10–12. La TC de tórax tiene una alta sensibilidad para COVID-19, pero se han informado casos de resultados falsos negativos13–15. Aunque algunos autores han demostrado que la radiografía de tórax claramente subestima la afectación pulmonar en la extensión de la enfermedad en comparación con la TC, la radiografía es la técnica de imagen inicial para evaluar una infección del tracto respiratorio2,5,16–18. Dentro de las recomendaciones de la Sociedad Española de Radiología Médica (SERAM)19, la radiografía de tórax está indicada en los cuadros respiratorios agudos en el contexto pandémico o en caso de empeoramiento de patologías previas o situación de inmunosupresión. Por otro lado, el ACR (American College of Radiology) recomienda que tanto la radiografía de tórax como la TC sean armas de apoyo a los test diagnósticos estándar, enfatizando la utilidad del empleo de equipos portátiles en el ámbito ambulatorio y el control radiográfico en pacientes de unidad de cuidados intensivos (UCI)18,20. La Sociedad Fleischner respalda la utilidad de la radiografía de tórax en la valoración de los pacientes hospitalizados para valorar complicaciones y diagnósticos alternativos21. En nuestro centro, el Comité de Emergencias COVID-19 decidió no utilizar la TC como herramienta de diagnóstico inicial, y emplearla preferentemente en casos de discordancia clínica, empeoramiento o sospecha de embolismo pulmonar. El manejo habitual se estableció, pues, con la radiografía, tanto para la evaluación diagnóstica inicial como para el seguimiento.
El objetivo de este estudio es evaluar si los hallazgos radiológicos propuestos (presencia de opacidades alveolares y/o de opacidades lineales) en la primera radiografía patológica están relacionados con la evolución clínica de los pacientes con COVID-19 y comparar los tres sistemas de cuantificación propuestos.
Material y métodosSe trata de un estudio retrospectivo realizado en un hospital terciario. Se seleccionaron inicialmente 300 pacientes adultos admitidos en el servicio de urgencias de nuestro centro con clínica acorde con infección respiratoria y positividad para RT-PCR con radiografía de tórax patológica, realizadas entre el 15 de marzo y el 15 de abril de 2020. Se aplicaron los siguientes criterios de exclusión: una única radiografía de tórax realizada, enfermedad intersticial previa o ausencia de infiltrados claros (total pacientes excluidos: 35, resultado final de la muestra: 265). De los pacientes seleccionados, obtuvimos informes médicos y recopilamos datos sobre los resultados que evaluamos en este trabajo: necesidad y tiempo de hospitalización, ingreso en la UCI, intubación orotraqueal o fallecimiento. También se evaluó el tiempo entre el inicio de los síntomas y el primer examen radiológico patológico, así como el tiempo de hospitalización y la presencia de factores de riesgo cardiovascular y enfermedad respiratoria previa. Se registraron otros antecedentes clínicos relevantes (obesidad cuando estaba registrada y antecedente de enfermedad oncológica y trasplante de órganos). Este estudio fue aprobado por el comité de ética del hospital.
Las radiografías de tórax fueron realizadas en equipos de Urgencias y portátiles (XR Definium 8000 GE Healthcare, Mobilett XP Siemens Healthcare) mediante proyecciones posteroanterior, lateral y anteroposterior (pacientes sentados o en decúbito supino), revisadas por dos radiólogos de tórax con 13 (D.P.F.) y 9 (I.R.C.) años de experiencia en imagen torácica (sin conocimiento del informe radiológico, aunque sí de la condición RT-PCR+). Se evaluó la gravedad de la afectación radiológica y el empeoramiento en exámenes radiológicos posteriores. Los casos dudosos fueron evaluados por un tercer radiólogo de tórax (V.C.R., 13 años de experiencia) para llegar a un consenso, en casos de discordancia tanto de presencia/ausencia de opacidades como en la gradación de estas. Los datos incluidos en el estudio fueron los del consenso alcanzado.
Para evaluar la extensión de la afectación pulmonar en la radiografía de tórax empleamos tres sistemas diferentes, clasificando la extensión en el parénquima como leve, moderada o grave.
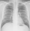
El primer sistema de cuantificación (6A) consiste en dividir cada pulmón en tres campos: superior, medio e inferior (fig. 1). Según esta división, la extensión de las opacidades pulmonares se clasifica como leve si se afecta un solo campo, moderada si hay opacidades en 2-3 campos pulmonares, y grave si hay más de 3 campos afectados.
Radiografía de tórax posteroanterior que muestra la división en 6 campos pulmonares (sistemas de cuantificación 6A y 6B) mediante dos líneas horizontales: campo pulmonar superior (de vértices a margen inferior del botón aórtico), medio (margen inferior de botón aórtico a tercio medio de borde cardíaco) e inferior (tercio medio de borde cardíaco a senos costofrénicos).
El segundo sistema de cuantificación (6B) divide ambos pulmones en los mismos seis campos pulmonares que 6A, correspondiendo en este caso la extensión leve a 1 o 2 campos pulmonares afectados, 3-4 campos para una extensión moderada y 5 o más para la categoría grave.
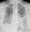
Finalmente, un tercer sistema de cuantificación (8) divide ambos pulmones en 8 campos pulmonares, según queda reflejado en la figura 2. La afectación de 1-3 campos implica un grado leve; moderado cuando 4-6 campos están involucrados, y grave si hay 7 u 8 campos afectados.
Radiografía de tórax posteroanterior que muestra la división en 8 campos pulmonares mediante tres líneas horizontales (sistema de cuantificación 8). Campo pulmonar superior (de vértices al borde superior del botón aórtico), campo pulmonar medio hiliar (desde botón aórtico a hilios), campo pulmonar medio paracardíaco (desde hilios hasta tercio inferior de la silueta cardíaca), campo pulmonar inferior (desde tercio inferior de silueta cardíaca hasta senos costofrénicos).
Se consideró empeoramiento clínico la necesidad de ingreso en UCI/intubación, incluidos los pacientes que fallecieron. En el período estudiado coincidieron los pacientes de UCI con la intubación. Se consideró empeoramiento radiológico tanto el incremento en el número de campos afectados como el incremento porcentual de la opacidad preexistente en el examen visual.
Además de cuantificar la extensión de la afectación radiológica en la primera radiografía de tórax patológica de cada paciente, también se han valorado diferentes hallazgos patológicos, como la presencia de afectación alveolar y la de opacidades lineales (especialmente la presencia de atelectasias laminares; fig. 3).
Se empleó el programa Stata v16. StataCorp. 2019 (Stata Statistical Software: Release 16. College Station, TX: StataCorp LLC). Se calculó la concordancia interobservador con el porcentaje de correlación y el coeficiente kappa de Cohen para la detección tanto de la presencia de patrones radiológicos (opacidades lineales y afectación alveolar) como para la asociación entre empeoramiento clínico y radiológico.
La correlación entre los parámetros de empeoramiento clínico y los datos radiológicos/clasificación de gravedad se calculó de acuerdo con la χ2 de Pearson y el test exacto de Fischer. El punto de corte en los tres sistemas de cuantificación incluía las afectaciones moderada y grave (≥2/6 campos en 6A, ≥3/6 en 6B y ≥ 4/8 en 8). El análisis de regresión logística se obtuvo mediante los valores de Akaike Information Criterion (AIC), Bayesian Information Criterion (BIC) y AUC (área bajo la curva ROC), con el fin de obtener diferentes asociaciones. Junto con estos análisis, también se obtuvieron valores de odds ratio, valores de p e intervalo de confianza (IC) al 95%.
ResultadosSe incluyeron un total de 265 pacientes con infección por COVID-19 [184 varones (69,4%); 81 mujeres (30,5%)]. Media de edad, 62,6; mediana, 64; rango intercuartílico (IQR), 19 (rango 28-97 años).
En cuanto a los factores de riesgo, un 35% de los pacientes tenía hipertensión, un 18% dislipemia, un 5,5% diabetes, un 2,6% antecedentes de cardiopatía isquémica y un 4,5% antecedentes de tabaquismo. También se registró enfermedad pulmonar con un 8% de antecedentes de asma, un 3,7% de enfermedad pulmonar obstructiva crónica (EPOC) y un 3,7% con síndrome de apnea obstructiva del sueño (SAOS).
De los 265 pacientes estudiados, 244 (92%) corresponde al número de ingresos. Treinta y cuatro fueron los admitidos en UCI (12,8%), cifra que corresponde al 13,9% de los pacientes ingresados –coincidiendo además con el número de intubaciones–, y 17 (6,4%), los pacientes fallecidos. La media de días de hospitalización fue 11,8 (0-47).
Los pacientes varones de nuestro grupo tuvieron una mayor tasa de hospitalización (95% frente a 85%) y de mortalidad (8,15% frente a 2,4%), sin diferencias significativas en el ingreso en UCI (13% frente a 12%). La cardiopatía isquémica se encontró en el 42,8% de los pacientes ingresados en UCI y en el 14,3% de los que fallecieron. El porcentaje de pacientes admitidos en UCI y/o fallecimientos correspondió a un 17,7% y un total de 47 pacientes.
La media de días entre el inicio de los síntomas y la primera radiografía de tórax patológica fue 7,2 (mediana 7) y entre la primera y la segunda radiografías de tórax examinadas en cada paciente de 4 [mediana 3, (rango 0-22)]. Catorce pacientes (5,2%) tuvieron una radiografía de tórax normal previa (la media de días hasta la primera radiografía patológica fue de 5 y la mediana de 4).
Se encontró un patrón alveolar en el 22,3% de las radiografías iniciales (fig. 4), opacidades lineales (fundamentalmente atelectasias laminares) en el 47,2% y ambos hallazgos en el 9,8% de los casos. La concordancia interobservador con respecto a las opacidades lineales correspondió a kappa=0,798 y 90,3% de correlación. En cuanto a la afectación alveolar, resultó ser de kappa=0,943 y 98,86% de correlación (tabla 1).
Mujer de 55 años con infección por COVID-19. La radiografía posteroanterior de tórax muestra una opacidad focal periférica en campo medio derecho (flecha), una consolidación focal en campo medio/base izquierda y una opacidad lineal en la base izquierda (fleche corta). Cuantificación: 4/6 campos y 5/8 campos, que corresponden a afectación grave en sistema 6A, moderada en sistema 6B y moderada en sistema 8.
Distribución por edad, sexo y enfermedad de base (n=265)
| Media de edad | 62 años (DE=12,4) |
|---|---|
| Sexo femenino | 81 (44,02%) |
| Hipertensión | 95 (35,8%) |
| Dislipemia | 48 (18,11%) |
| Cardiopatía isquémica | 7 (2,64%) |
| Arteriopatía periférica | 3 (11,13%) |
| Hábito tabáquico | 12 (4,52%) |
| Diabetes mellitus | 41 (15,47%) |
| Asma | 22 (8,30%) |
| EPOC | 10 (3,77%) |
| SAOS | 10 (3,77%) |
| Otros factores de riesgo | 77 (29,05%) |
| Obesidad | 14 (5,28%) |
EPOC: enfermedad pulmonar obstructiva crónica; SAOS: síndrome de apnea obstructiva del sueño.
En la cuantificación radiográfica, la afectación moderada y grave estuvo presente en el 89,4% de los pacientes en la clasificación 6A, el 74,3% en la clasificación 6B y el 79,2% en la clasificación de 8 campos (tabla 2; fig. 5).
Cuantificación de los hallazgos radiológicos de la radiografía de tórax según los diferentes sistemas de graduación utilizados (n=265)
| Grado | Clasificación: 6A | Clasificación: 6B | Clasificación: 8 |
|---|---|---|---|
| Leve | 28 (10,57%) | 68 (25,66%) | 55 (20,75%) |
| Moderado | 102 (38,49%) | 136 (51,32%) | 171 (64,53%) |
| Grave | 135 (50,94%) | 61 (23,02%) | 39 (14,72%) |
Varón de 48 años con neumonía por COVID-19. A) Radiografía posteroanterior de tórax que muestra opacidades alveolares bilaterales y lineales de distribución periférica (flechas). La puntuación es de 3/6 campos y 4/8 campos, que corresponden a afectación moderada en los tres sistemas 6A, 6B y 8. B) La radiografía anteroposterior realizada 72 horas después muestra un empeoramiento del patrón radiológico con una afectación más extensa y consolidaciones pulmonares. La puntuación es de 5/6 campos y 6/8 campos, que corresponden a afectación grave en sistemas 6A y 6B y moderada en sistema 8.
El análisis univariable con la prueba de Pearson (tabla 3) mostró una mejor correlación entre la afectación de la radiografía de tórax moderada-grave y la hospitalización (valores de p de 0,009, 0,001 y 0,001 en la clasificación 6A, 6B y 8, respectivamente) y la afectación de la radiografía de tórax moderada-grave en clasificación de 8 campos en relación con el fallecimiento (p<0,05). En la combinación de variables radiológicas con el grado moderado-grave de cuantificación de los tres sistemas, los valores de p no fueron significativos.
Evolución clínica de los pacientes según el grado de extensión y los hallazgos radiológicos
| Total pacientesn=265 | Hospitalizaciónn=244 | UCI/intubaciónn=34 | Fallecimienton=17 |
|---|---|---|---|
| Clasificación 6An=237≥2 campos | p=0,009222 (vs <2 campos, n=22)No hospitalizados: 15 | p=0,2733 (vs <2 campos n=1)No UCI/intubación: 204 | p=0,02616 (vs <2 campos n=1)No fallecimiento: 221 |
| Clasificación 6Bn=197≥3 campos | p=0,001189 (vs <3 campos n=55)No hospitalizados: 8 | p=0,1129 (vs <3 campos n=5)No UCI/intubación: 168 | p=0,0114 (vs <3 campos n=3)No fallecimiento: 183 |
| Clasificación 8n=210≥4 campos | p=0,001200 (vs <4 campos n=44)No hospitalizados: 10 | p=0,16730 (vs <4 campos n=4)No UCI/intubación: 180 | p=0,00614 (vs <4 campos n=3)No fallecimiento: 196 |
| Opacidades linealesn=125 | p=0,075119 (vs op. lineales ausente n=125)No hospitalizados: 6 | p=0,06821 (vs op. lineales ausente n=13)No UCI/intubación: 104 | p=0,67 (vs op. lineales ausente n=10)No fallecimiento: 118 |
| Opacidades alveolaresn=59 | p=0,1457 (vs op. alveolar ausente n=187)No hospitalizados: 2 | p=0,529 (vs op. alveolar ausente n=25)No UCI/intubación: 50 | p=0,0537 (vs op. alveolar ausente n=10)No fallecimiento: 52 |
| Clasificación 6A + opacidades lineales/opacidades alveolares | p=0,44145 (vs 99 no opacidades)No hospitalizados: 5 | p=0,265 (vs 29 no opacidades)No UCI/intubación: 20 | p=0,233 (vs 14 no opacidades)No fallecimiento:22 |
| Clasificación 6B + opacidades lineales/opacidades alveolares | p=0,4723 (vs 221 no opacidades)No hospitalizados: 1 | p=0,215 (vs 29 no opacidades)No UCI/intubación: 19 | p=0,203 (vs 14 no opacidades)No fallecimiento: 21 |
| Clasificación 8 + opacidades lineales/opacidades alveolares | p=0,4723 (vs 221 no opacidades)No hospitalizados: 1 | p=0,215 (vs 29 no opacidades)No UCI/intubación: 19 | p=0,23 (vs 14 no opacidades)No fallecimiento: 21 |
| Empeoramiento radiológico | p=0,000206 (vs 38 no empeoramiento)No hospitalizados: 5 | p=0,03532 (vs 2 no empeoramiento)No UCI/intubación: 179 | p=0,53915 (vs 2 no empeoramiento)No fallecimiento: 196 |
Se muestran valores de p en el test de χ2 (test exacto de Fisher para “empeoramiento radiológico”).
La evaluación mediante regresión logística de los tres sistemas de puntuación (6A, 6B y 8 en su afectación moderada y grave) en cada paciente y la presencia de patrón alveolar y opacidades lineales muestra como valores más significativos la combinación de la clasificación 6B + patrón alveolar (OR 2,3, p=0,025, IC95% 1,1-4,7) y la clasificación 8 + patrón alveolar (OR 2,07, p=0,046, IC95% 1,01-4,25) (tabla 4), considerando siempre la afectación moderada-grave en cada sistema de puntuación. La presencia de opacidades lineales en la primera radiografía de tórax fue frecuente, pero sin una clara significación en el empeoramiento clínico, sola o en combinación con la clasificación 6B (OR 1,36; IC95% 0,72-2,58; tabla 4). Los valores AUC (área bajo la curva ROC) fueron bajos, menores de 0,7.
Relación entre el empeoramiento clínico y la graduación de los hallazgos radiológicos en los diferentes sistemas de cuantificación empleados
| Clasificación y hallazgos en radiografía de tórax | AIC | BIC | AUC | OR (IC95%) | Valor p |
|---|---|---|---|---|---|
| 6A moderado-grave | 248,79 | 255,95 | 0,538 | 3,04 (0,69-13,30) | 0,13 |
| 6B moderado-grave | 247,89 | 255,05 | 0,565 | 2,22 (0,94-5,22) | 0,06 |
| 8 moderado-grave | 249,27 | 256,43 | 0,548 | 1,98 (0,79-4,94) | 0,14 |
| 6A moderado-grave + opacidades lineales | 250,83 | 257,99 | 0,537 | 1,35 (0,71-2,54) | 0,35 |
| 6B moderado-grave + opacidades lineales | 250,79 | 257,95 | 0,537 | 1,36 (0,72-2,58) | 0,33 |
| 8 moderado-grave + opacidades lineales | 250,73 | 257,89 | 0,539 | 1,37 (0,73-2,59) | 0,32 |
| 6A moderado-grave + patrón alveolar | 248,01 | 255,17 | 0,565 | 2,02 (1,003-4,07) | 0,04 |
| 6B moderado-grave+ patrón alveolar | 246,95 | 254,11 | 0,571 | 2,29 (1,11-4,73) | 0,02 |
| 8 moderado-grave + patrón alveolar | 247,95 | 255,11 | 0,564 | 2,07 (1,01-4,25) | 0,046 |
| 6A moderado-grave opacidades lineales + patrón alveolar | 259.49 | 266,63 | 0,534 | 2,99 (0,68-13,15) | 1,14 |
| 6B moderado-grave opacidades lineales + patrón alveolar | 259,79 | 266,92 | 0,532 | 2,85 (0,64-12,54) | 0,16 |
| 8 moderado-grave opacidades lineales + patrón alveolar | 259,79 | 266,92 | 0,532 | 2,85 (0,64-12,54) | 0,16 |
| Opacidades lineales | 250,87 | 258,03 | 0,536 | 1,34 (0,71-2,52) | 0,36 |
| Patrón alveolar | 248,82 | 255,98 | 0,558 | 1,84 (0,92-3,72) | 0,08 |
Estudio de regresión logística.
AIC: criterio de información de Akaike; AUC: área bajo la curva ROC; BIC: criterio de información bayesiano; OR: odds ratio.
Se incluyen intervalo de confianza IC95% y valor de p.
Se encontró empeoramiento radiológico en el 80,53% de los pacientes, fundamentalmente en los de afectación moderada (84% en clasificación 6A, 85% en clasificación 6B y 85,4% en clasificación 8 campos) y los pacientes con empeoramiento radiológico en la siguiente radiografía tuvieron mayores tasas de hospitalización (206 pacientes con empeoramiento radiológico que ingresaron en planta). Los pacientes con afectación leve o grave mostraban menor porcentaje de empeoramiento. Ingresaron en UCI 34 pacientes, que corresponde al 3,9% de los pacientes sin empeoramiento radiológico y al 15,1% de los pacientes con empeoramiento radiológico. Se estableció un estudio de correlación entre el empeoramiento radiológico y clínico mediante el uso de kappa de Cohen, siendo dicha correlación baja (k=0,013, IC95% 0,0122-0,1007). En cuanto al tiempo de hospitalización, se realizó el test de Wilcoxon Mann Whitney. Para los diferentes valores de mediana de estancia hospitalaria, destacan los resultados de la clasificación 6A moderada-grave (p=0,0032), la clasificación 6B moderada-grave + opacidades lineales (p=0,0019), la clasificación 8 de puntuación moderada-grave + opacidades lineales (p=0,0015) sobre los de la clasificación 6B sola (p=0,028) o 6B/8 + opacidades lineales + opacidades alveolares (p=0,17) (tabla 5).
Estancia hospitalaria media (días de hospitalización) en relación con cada sistema de cuantificación radiográfica y la presencia/ausencia de características radiológicas
| Variable presente/ausente | Mediana de días de hospitalización | Valor de p |
|---|---|---|
| Opacidades lineales presente/ausente | 9/8 | p=0,012 |
| Patrón alveolar presente/ausente | 10/8 | p=0,134 |
| Clasificación 6A mod-grave/leve | 9/6 | p=0,0032 |
| Clasificación 6B mod-grave/leve | 9/7 | p=0,0281 |
| Clasificación 8 mod-grave/leve | 9/7 | p=0,0088 |
| Combinación de variables | Mediana de días de hospitalización | Valor de p |
|---|---|---|
| 6A mod-grave + opacidades lineales/leve + op. lineales ausentes | 10/8 | p=0,0041 |
| 6A mod-grave + patrón alveolar/leve + p. alveolar ausente | 10/8 | p=0,0947 |
| 6B mod-grave + opacidades lineales/leve + op. lineales ausentes | 10/8 | p=0,0019 |
| 6B mod-grave + patrón alveolar/leve + p. alveolar ausente | 10/8 | p=0,1237 |
| 8 mod-grave + opacidades lineales/leve + hallazgo ausente | 10/8 | p=0,0015 |
| 8 mod-grave + patrón alveolar/leve + p. alveolar ausente | 10/8 | p=0,0805 |
Valor de p en la prueba de Wilcoxon.
La radiografía de tórax es la principal prueba radiológica que se realiza en los pacientes con infección por SARS-CoV-2 en nuestro centro, tanto para el estudio inicial/de urgencia como para el seguimiento. Algunas publicaciones previas, principalmente mediante la realización de TC, han examinado la evolución de las lesiones parenquimatosas3,13,15. En comparación con la TC, la radiografía de tórax tiene una menor sensibilidad para la infección COVID-19 en casos de afectación pulmonar temprana o leve y depende de cuestiones tan importantes como factores técnicos y la habilidad/experiencia del radiólogo de tórax/cardiotorácico y del técnico de radiología, que variarán la sensibilidad y especificidad2,5. También las características y estado del paciente contribuyen a la calidad e interpretabilidad de la imagen. En nuestro centro, la realización de TC se utilizó en casos de discordancia clínica o empeoramiento no esperado, siendo la aplicación fundamental la realización de TC-angiografía para descartar el tromboembolismo pulmonar como complicación de la infección.
La edad y el sexo parecen ser factores predisponentes para la infección por COVID-19. En algunos estudios se encontró una mayor correlación entre el empeoramiento clínico y la extensión de la afectación en la radiografía de tórax en los pacientes de más edad22–24. El predominio de pacientes varones y la edad por encima de 55 años fue la norma en el ingreso hospitalario en nuestro centro. La media de días entre inicio de los síntomas y la primera radiografía de tórax patológica fue de 7 días y la media de días hasta la primera radiografía patológica en los 14 pacientes con radiografía de tórax inicial normal fue de 5 días. Estos hallazgos concuerdan con lo descrito en la literatura especializada, en la que se observa un mayor número de hallazgos patológicos a partir del 6.° día desde el inicio de los síntomas22,25. Hui et al. demostraron la validez de la radiografía de tórax realizada en dicho período para predecir un incremento en las necesidades de oxígeno e intubación26.
Acerca del análisis de la imagen radiológica, la presencia inicial de opacidades alveolares fue poco frecuente (22,26%) y se observó una frecuencia relativamente alta de opacidades lineales (47,16%), que representan fundamentalmente atelectasias laminares. La atelectasia laminar es un hallazgo radiográfico común, clásicamente descrita en situaciones de hipoventilación, incluida la isquemia pulmonar27. Se pretendió en este estudio relacionar la presencia de opacidades lineales en la radiografía de tórax con el empeoramiento clínico, pero no se demostró asociación significativa en el análisis estadístico (p=0,06).
Los tres sistemas de cuantificación que presentamos son de valoración rápida y solo plantean la extensión de la afectación sin cuantificar grados de opacificación, ni el tipo de afectación intersticial, alveolar o mixta. En el estudio de regresión para el grado de afectación moderada/grave (>1/6,>2/6 y>3/8 campos, respectivamente, en los sistemas 6A, 6B y 8), los tres sistemas presentaron una correlación similar con el empeoramiento clínico. Esta correlación mejoró discretamente con la coexistencia de afectación alveolar y/o de opacidades lineales. Hemos preferido estos sistemas de cuantificación de la extensión a algunos otros, como la puntuación RALE propuesta por Warren et al.20,28,29 o el sistema RALE modificado26. La clasificación de RALE, aplicada al edema de pulmón, divide la radiografía de tórax en 4 cuadrantes y combina la extensión de la afectación con niveles de densidad de las opacidades pulmonares. Tanto esta clasificación como otra que divide la radiografía en 12 campos pulmonares30 nos han parecido de mayor complejidad a la hora de la evaluación radiológica en el momento inicial de la pandemia. Varias publicaciones mencionan la cuantificación por el sistema Brixia propuesto por Borghesi et al.23,24,31,32, basado en la extensión y el tipo de patrón radiológico. También se han establecido comparaciones entre sistemas de cuantificación33. Un reciente estudio de Schalekamp et al. plantea un sistema de puntuación sencillo en 4 campos pulmonares, cuantificando la afectación pulmonar en mayor o menor del 50%, obteniendo una buena correlación con la mortalidad y el ingreso en UCI34.
En la práctica diaria, la clasificación 6A tendía a sobrediagnosticar la enfermedad desde el punto de vista clínico, aunque se correlacionaba mejor con la estancia hospitalaria media (tabla 3). El sistema de puntuación 6B fue el elegido de forma preferente en nuestros informes radiológicos. Una mayor extensión en la afectación pulmonar parece predecir un peor resultado en estos pacientes, según estudios previos2,24,35,36, y nuestro estudio está de acuerdo con estos resultados en cuanto a la mortalidad. La afectación alveolar como dato aislado también mostró correlación con el empeoramiento clínico, también en cuanto a la mortalidad del grupo estudiado. Esta relación entre la gravedad de los hallazgos radiológicos y la mortalidad ya había sido descrita por otros autores32,37.
Por tanto, hemos obtenido conclusiones similares a las que se han comunicado con sistemas de puntuación como el Brixia, que combina el tipo de afectación con el grado de extensión en la radiografía, con la diferencia de que el estudio que presentamos valora por un lado la extensión en campos pulmonares en los tres sistemas comparados y los hallazgos radiológicos por otro31,32. No hemos estudiado como variable la distribución central, periférica o difusa, como sí han hecho otros autores, aunque creemos que puede ser interesante la combinación de diversas variables radiológicas34.
Nuestro estudio tiene varias limitaciones. En primer lugar, se trata de un estudio retrospectivo a partir de la primera radiografía de tórax patológica de cada paciente. Muchas de estas radiografías tienen cambios sutiles o dudosos, y aunque cada imagen fue revisada por dos radiólogos torácicos con experiencia, somos conscientes de las dificultades en la interpretación, sobre todo en el caso de estudios portátiles. En segundo lugar, la ausencia de una comparación evolutiva con pacientes con COVID-19 y radiografía de tórax normal, ya que por el diseño del estudio estos pacientes no fueron incluidos. En tercer lugar, los 265 pacientes incluidos en este estudio constituyen una población limitada; es deseable que otros estudios que consideren la radiografía de tórax puedan corroborar estos hallazgos y/o plantear otros parámetros de predicción. En cuarto lugar, intentamos optimizar la semiología radiológica y no incluimos marcadores de pronóstico clínico de los pacientes, abordaje que puede ser objeto de otros estudios.
Como conclusión, nuestro estudio respalda el empleo de sistemas de cuantificación en seis/ocho campos para los informes de la radiografía de tórax en pacientes con COVID-19. La afectación moderada-grave en los tres sistemas de cuantificación, así como la presencia de opacidades alveolares, se relacionaron con la mortalidad y pueden servir como orientación hacia un peor pronóstico clínico. La presencia de opacidades lineales es muy frecuente en esta entidad y se asocia débilmente con el empeoramiento clínico.
Autoría- 1.
Responsable de la integridad del estudio: DJPF.
- 2.
Concepción del estudio: DJPF, JSME, YMR, JCFQ,
- 3.
Diseño del estudio: DJPF, JSME, YMR, JCFQ,
- 4.
Obtención de los datos: DJPF, JSME, YMR, JCFQ,
- 5.
Análisis e interpretación de los datos: DJPF, JSME, YMR, JCFQ,
- 6.
Tratamiento estadístico: DJPF, AR (Idiphim).
- 7.
Búsqueda bibliográfica: DJPF, MIRC.
- 8.
Redacción del trabajo: DJPF, MIRC, JSME, YMR, JCFQ, MVCR.
- 9.
Revisión crítica del manuscrito con aportaciones intelectualmente relevantes: DJPF, MIRC, JSME, YMR, JCFQ, MVCR.
- 10.
Aprobación de la versión final: DJPF, MIRC, MVCR.
La presente investigación no ha recibido ayudas específicas provenientes de agencias del sector público, sector comercial o entidades sin ánimo de lucro.
Conflicto de interesesLos autores declaran no tener conflictos de interés.
A los servicios de Medicina Interna, Anestesiología y Reanimación, Unidad de Cuidados Intensivos y Neumología, por su colaboración y apoyo. Al Servicio de Urgencias por su esfuerzo y dedicación. Igualmente, a Ana Royuela, de Idiphim.



