INTRODUCCIÓN Y RECUERDO ANATÓMICO
La ecografía y la tomografía computarizada son técnicas que permiten valorar la pared del tramo gastrointestinal y las estructuras adyacentes. La distensión de la luz con contraste oral (generalmente agua) facilita la identificación de la pared y la relación con las estructuras vecinas con ambas técnicas. La utilización de contraste intravenoso en los estudios de tomografía computarizada (TC) mejorará su evaluación.
El duodeno es el tramo de intestino comprendido entre el estómago y el yeyuno. Se divide clásicamente en 4 porciones, la primera va desde el píloro al cuello vesicular y comprende el bul bo duodenal; la segunda es la porción descendente, va desde el cuello vesicular a la rodilla duodenal, a la altura de L4; la tercera es la porción horizontal y la cuarta es la porción ascendente que termina en el ángulo de Treitz.
Su porción inicial, el bulbo, es intraperitoneal, mientras que el resto es retroperitoneal, situado en el espacio pararrenal anterior.
Se relaciona con múltiples estructuras anatómicas que es importante conocer para comprender la patología duodenal. Por delante, y a la derecha, tiene el lóbulo hepático derecho, vesícula y colon. Por detrás se relaciona con estructuras retroperitoneales, aorta, vena cava inferior y riñón derecho. Medialmente rodea la cabeza pancreática con los vasos mesentéricos.
ALTERACIONES CONGÉNITAS
Malrotación intestinal
Consiste en una alteración en el proceso de rotación y fijación intestinal durante el desarrollo embrionario.
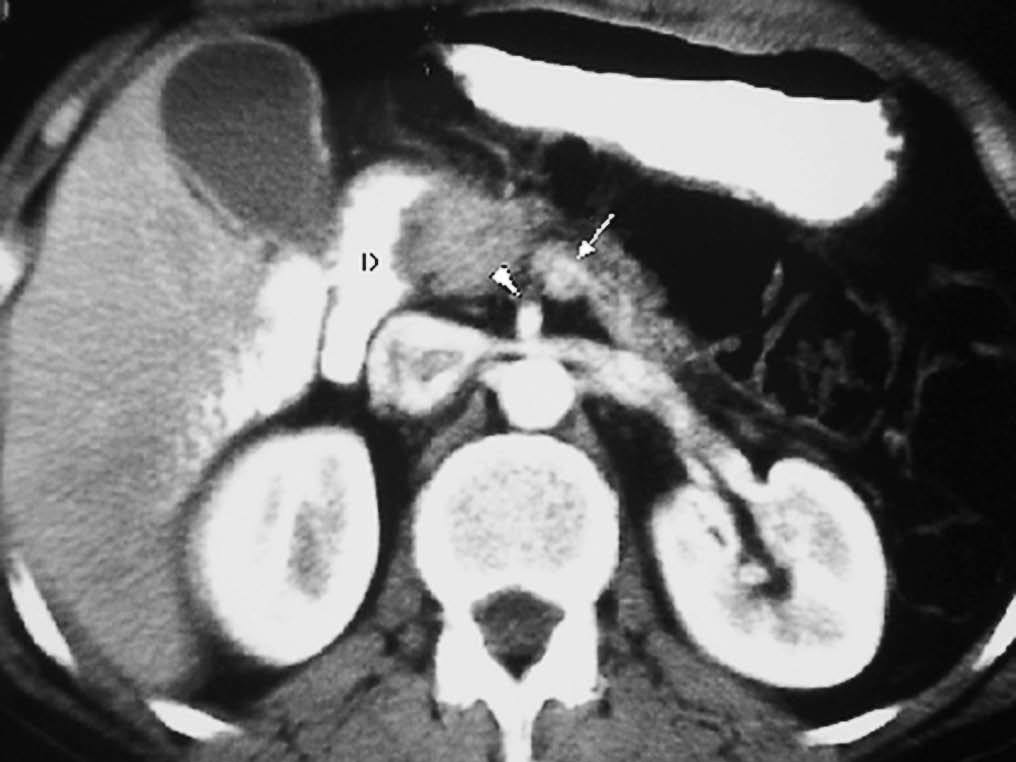
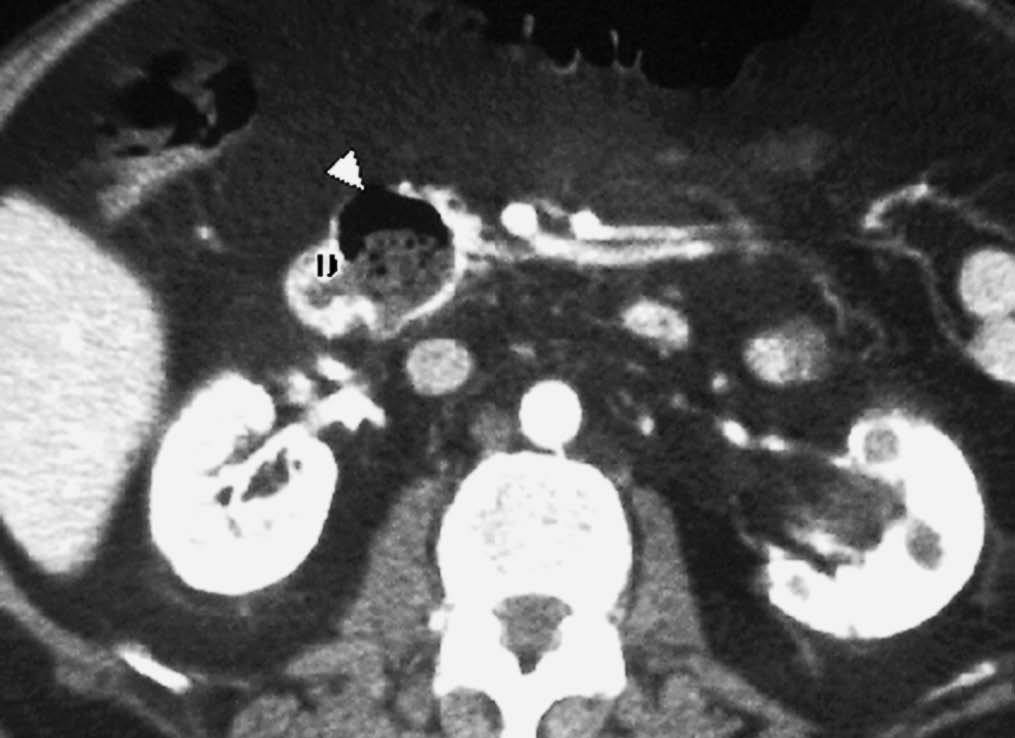
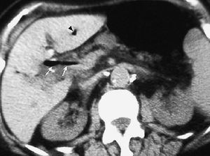
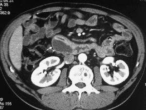
La forma más frecuente es la ausencia de rotación intestinal, que implica importantes alteraciones anatómicas valorables tanto en la ecografía como por la TC. Los principales hallazgos radiológicos son: alteración en la posición del duodeno, que no pasa entre la aorta y la arteria mesentérica superior (AMS); la localización en el hemiabdomen derecho de las asas de intestino delgado y en hemiabdomen izquierdo las de intestino grueso, y una verticalización o inversión de los vasos mesentéricos respecto a su posición normal, quedando la AMS a la derecha y la vena mesentérica superior (VMS) a la izquierda1,2 (fig. 1).
Fig. 1--Malrotación intestinal. (A) y (B) Tomografía computarizada con contraste oral e intevenoso mostrando inversión de la arteria mesentérica superior (AMS) (punta de flecha) y la vena mesentérica superior (flecha). La tercera porción duodenal (D) no cruza la línea media entre la aorta y la AMS, localizándose las asas de yeyuno a la derecha.
La malrotación intestinal puede complicarse con la forma-ción de vólvulos intestinales, debido a una inserción mesentérica anormalmente corta o con obstrucción intestinal por bandas peritoneales congénitas, normalmente en duodeno. Cuando se produce un vólvulo de intestino delgado, en la ecografía doppler color se puede observar el signo del remolino (whirlpool sign), que corresponde a la VMS con su meso alrededor de la AMS. En la TC se objetiva el intestino delgado rodeando la AMS3,4.
Duplicación intestinal o quiste de duplicación
Se trata de un segmento de intestino histológicamente normal (conserva las capas), pero sin comunicación con la luz intestinal. En el duodeno suele aparecer adherido al borde mesentérico en la primera o segunda porción.
Tanto en la ecografía como en la TC se identifican como lesión quística, con pared y bien delimitada, obsevando característicamente en la ecografía la estratificación de la pared5.
Páncreas anular
Se produce por persistencia de restos del brote pancreático ventral, que hacen que el páncreas quede rodeando al duodeno y pueda obstruirlo. En la TC se identifica el tejido pancreático, que rodea parcial o totalmente al duodeno en su segunda porción6.
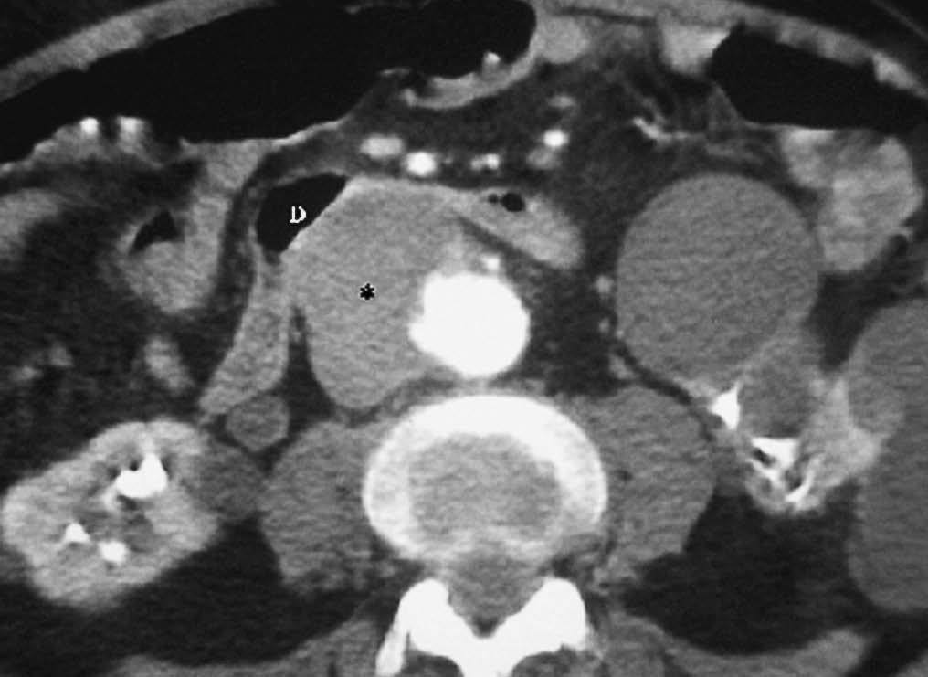
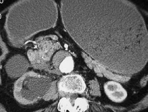
Divertículos duodenales
Los divertículos duodenales son prominencias saculares en contacto con la luz intestinal. Por su alta frecuencia pueden considerarse una variante de la normalidad. Se localizan principalmente en la pared medial de la segunda y tercera porción duodenales, próximos a la ampolla de Vater. Las complicaciones más frecuentes son la infección, perforación, hemorragia, pancreatitis o la obstrucción biliar. Es importante identificarlos, pues pueden dificultar la canulación de la vía biliar durante la colangiopancreatografía retrógrada endoscópica (CPRE). Ecográficamente se presentan como imágenes hiperecogénicas lineares o cóncavas, proyectadas sobre la cabeza pancreática7. En la TC se manifiestan como estructuras redondeadas o saculares, en contacto con la luz duodenal, rellenas de líquido, aire o con un nivel hidroaéreo8 (fig. 2). Cuando están rellenas de material pueden simular una masa pancreática, por lo que hay que buscar aire en su interior.
Fig. 2--Divertículo duodenal. Tomografía computarizada con contraste intravenoso. Se observa una estrucutra sacular (punta de flecha) en contacto con luz duodenal (D), con aire y material en su interior.
TRAUMATISMOS
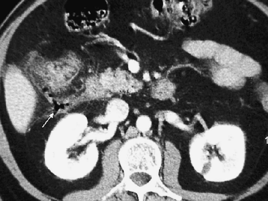
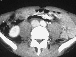
La lesión duodenal por traumatismo es rara y es la tercera porción del duodeno la que con más frecuencia se lesiona al ser comprimida contra la columna. Se puede producir contusión o perforación, observándose en ambas situaciones engrosamiento de la pared duodenal, borrosidad de la grasa periduodenal o líquido en el espacio pararrenal anterior derecho. En caso de contusión se puede identificar el hematoma como una colección de densidad intermedia o alta que comprime la luz duodenal en la TC. Signos de perforación son la presencia de aire adyacente al duodeno retroperitoneal (fig. 3) o la extravasación de contraste oral al retroperitoneo9,10.
Fig. 3--Perforación duodenal traumática. Estudio de tomografía computarizada que muestra aire en retroperitoneo (flecha) tras traumatismo.
IATROGENIA Y CUERPOS EXTRAÑOS
El duodeno puede lesionarse por procedimientos endoscópicos y/o quirúrgicos, al igual que por cuerpos extraños ingeridos (fig. 4). La apariencia radiológica de las lesiones será similar a las producidas por traumatismos externos, reflejando un engrosamiento de pared, alteración de la grasa periduodenal y líquido y/o aire periduodenal o en retroperitoneo en caso de rotura11.
Fig. 4--Perforación duodenal por espina de pescado. (A) Ecografía donde se observa una estructura lineal hiperecogénica (flechas) que sale del duodeno (D). (B) En el estudio de tomografía computarizada se identifica como material hiperdenso (flecha) que corresponde a la espina de pescado, con reacción de la grasa adyacente (puntas de flecha) y líquido en espacio pararrenal anterior derecho.
BEZOARES
Los bezoares son cúmulos de material extraño (normalmente pelo o fibra) en la luz intestinal. Pueden ser únicos o múltiples, localizados preferentemente en la cámara gástrica, pero también en el duodeno y más distalmente. Cuando producen obstrucción intestinal se localizan en la zona de transición entre el intestino dilatado y el normal12. En la ecografía se presentan como imágenes hiperecogénicas intraluminales, con sombra acústica posterior, y en la TC como masas heterogéneas, con aire moteado en su interior (fig. 5).
Fig. 5--Bezoares múltiples. Tomografía computarizada sin contraste intravenoso. Masa intraluminal con aire moteado en su interior (flecha) correspondiente a un bezoar en duodeno. Dilatación de asas por obstrucción provocada por otro bezoar más distal (no mostrado).
ALTERACIONES HEMATOLÓGICAS
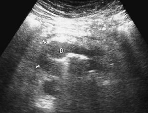
La púrpura de Schönlein-Henoch es una enfermedad autoinmune sistémica provocada por el depósito de complejos inmunes en los pequeños vasos condicionando una alteración en la permeabilidad. Esto se traduce en un rash purpúrico, glomerulonefritis y hemorragia en el tracto gastrointestinal. En la ecografía se puede ver un engrosamiento de la pared intestinal por el hematoma mural con edema mesentérico en la TC13 (fig.6).
Fig. 6--Hematoma de pared. Ecografía que muestra un engrosamiento mural homogéneo de la tercera porción duodenal (D) en un paciente con púrpura de Schönlein-Henoch y dolor abdominal.
PATOLOGÍA INFLAMATORIA
La patología inflamatoria duodenal puede ser primaria o secundaria a procesos inflamatorios de las estructuras vecinas.
Patología inflamatoria primaria
La más frecuente es el ulcus duodenal, que asienta normalmente en el bulbo. Por lo general la ecografía y la TC no son los estudios solicitados para su diagnóstico. Ecográficamente se puede visualizar un engrosamiento focal de la pared duodenal con imagen lineal ecogénica correspondiente a la úlcera14. En ocasiones puede provocar estenosis y retención gástrica. La existencia de perforación se sospecha ante un engrosamiento de la pared con líquido periduodenal y aire libre intra o retroperitoneal, hallazgo este último más fácilmente visualizable con TC15 (fig. 7).
Fig. 7--(A) Ulcus duodenal. Imagen hiperecogénica lineal (puntas de flecha) que protruye en pared duodenal correspondiente a una úlcera duodenal. (B) Ulcus duodenal perforado. Se identifica retroneumoperitoneo (flecha) en la tomografía computarizada como signo de perforación.
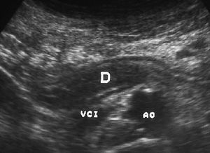
La enfermedad de Crohn afecta al duodeno de forma variable, apareciendo signos radiológicos en un 4% de los pacientes. Se manifiesta como un engrosamiento concéntrico y homogéneo de la pared, que puede producir estenosis de la luz intestinal (fig. 8). La existencia de actividad inflamatoria se identifica ecográficamente como aumento de la vascularización con modo doppler color. En la TC se observa la captación de la pared duodenal con afectación de la grasa adyacente.
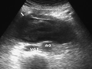
Fig. 8--Enfermedad de Crohn duodenal. Corte ecográfico transversal donde se observa un engrosamiento concéntrico de la pared duodenal (D), que respeta la estructura de capas. VCI: Vena cava inferior; AO:aorta.
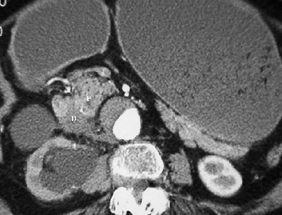
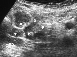
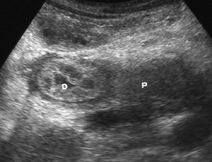
El duodeno es una localización infrecuente de diverticulitis. La imagen radiológica consiste en un engrosamiento de la pared del duodeno asociado a un divertículo, en ocasiones con un enterolito en su interior, con inflamación de la grasa adyacente16 (fig. 9).
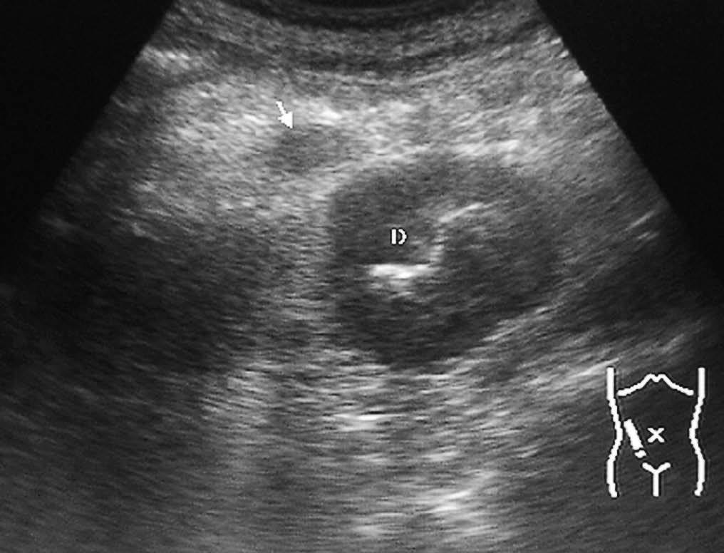
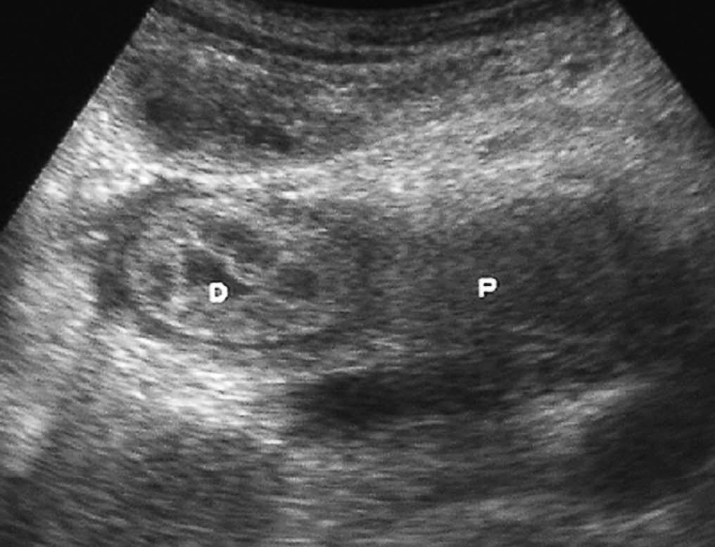
Fig. 9--Diverticulitis duodenal. (A) En la ecografía se observa un divertículo (flechas) con engrosamiento de pared duodenal (D) y alteración de la grasa adyacente (*). (B) Tomografía computarizada de otro paciente con inflamación de divertículo duodenal. Se oberva una lesión quística (punta de flecha) de pared gruesa y borrosa, con material en su interior. P: Páncreas.
Patología inflamatoria secundaria
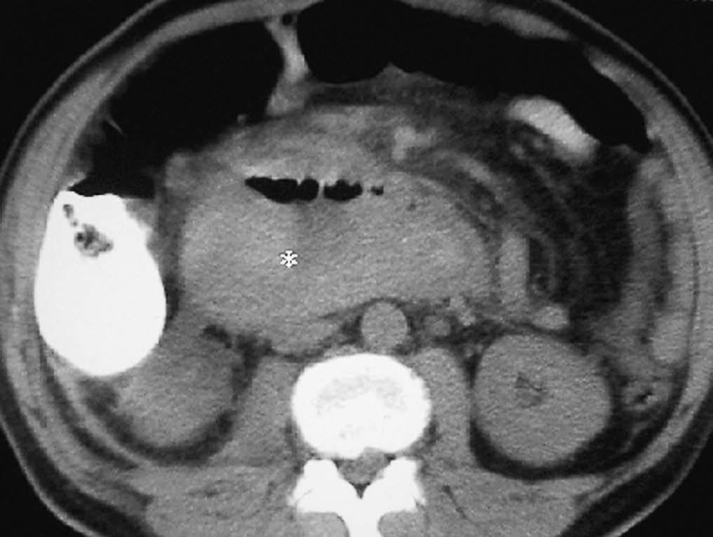
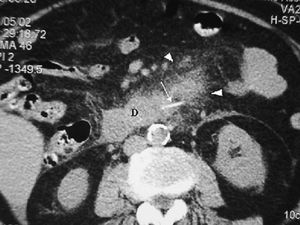
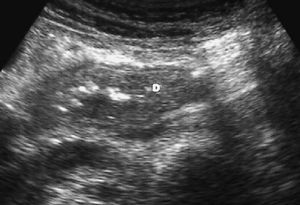
La causa más frecuente es la pancreatitis. Las enzimas pancreáticas pueden provocar una inflamación parietal del duodeno y estenosis de su luz. En procesos severos el componente inflamatorio llega a erosionar los vasos sanguíneos produciendo hemorragia duodenal e incluso puede provocar necrosis y perforación duodenal17 (fig. 10).
Fig. 10--Hematoma duodenal secundario a pancreatitis. (A) Colección líquida (flechas) en la pared del duodeno con aspecto quístico en la ecografía. AO: Aorta; VCI: vena cava inferior. (B) En la tomografía computarizada sin contraste intravenoso el hematoma (*) se observa como una colección hiperdensa en la pared duodenal.
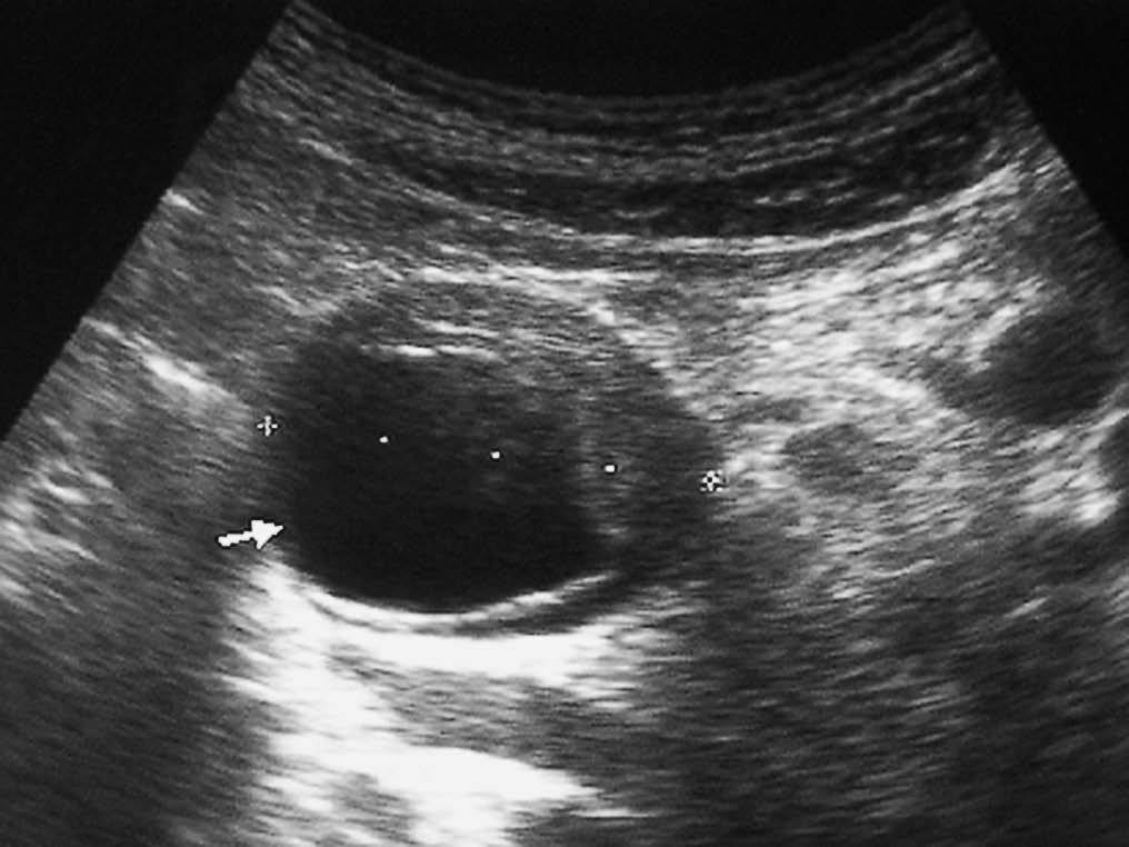
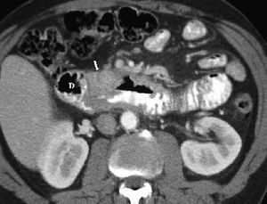
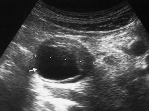
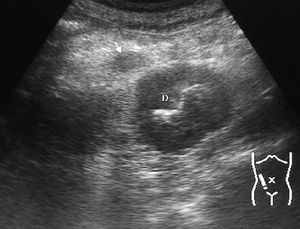
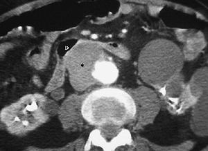
Una complicación tardía de la pancreatitis es el pseudoquiste. Puede localizarse en la pared duodenal, donde aparece radiológicamente como una lesión quística de paredes bien definidas, pudiendo producir una estenosis luminal (fig. 11).
Fig. 11--Pseudoquiste en pared duodenal. (A) Ecografía. (B) Tomografía computarizada en la que se aprecia una lesión quística (flecha) en la pared posterior de la tercera porción duodenal, que provoca compresión de la luz.
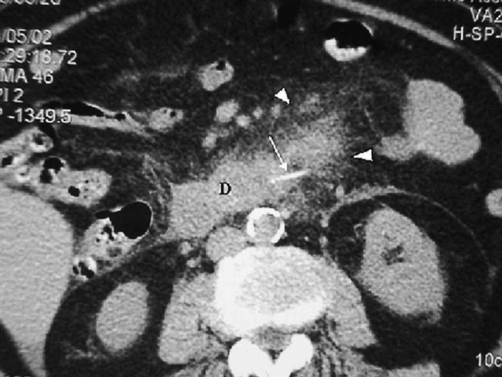
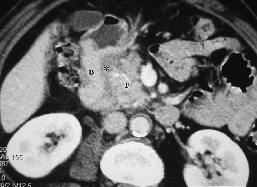
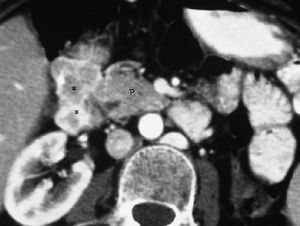
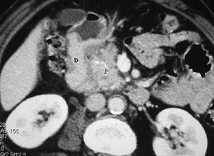
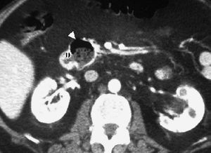
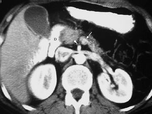
La pancreatitis del surco, región anatómica situada entre la cabeza del páncreas, duodeno y colédoco, es una lesión fibrosa que oblitera el plano graso de separación entre la pared duodenal y el páncreas. Puede provocar una estenosis de la luz duodenal y del colédoco. Radiológicamente simula un cáncer pancreático, manifestándose en la ecografía como una lesión hipoecoica y en la TC como imagen hipodensa, hipovascular en la fase precoz, con realce tardío18,19 (fig. 12).
Fig. 12--Pancreatitis del surco. Tomografía computarizada con contraste intravenoso. Lesión hipodensa (*), mal definida, que oblitera el plano graso normal entre páncreas (P) y duodeno (D) y con escaso realce.
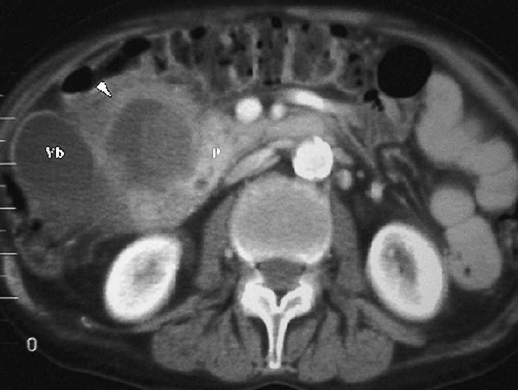
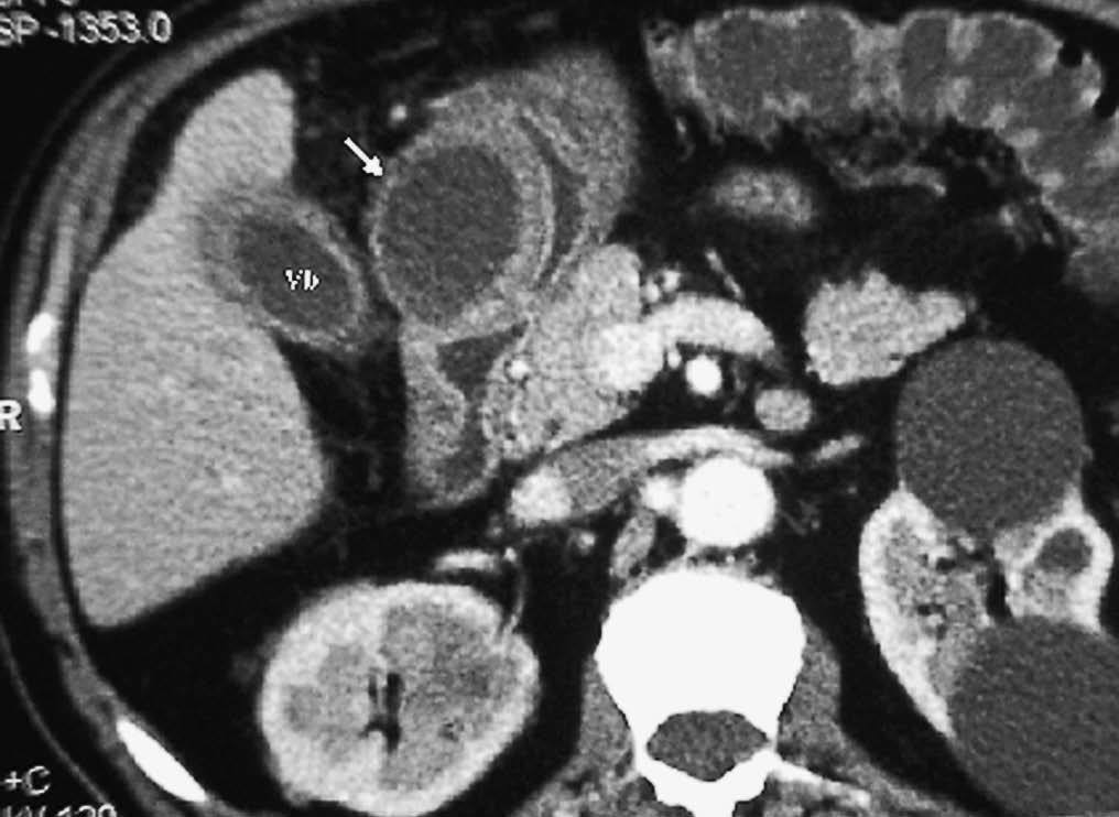
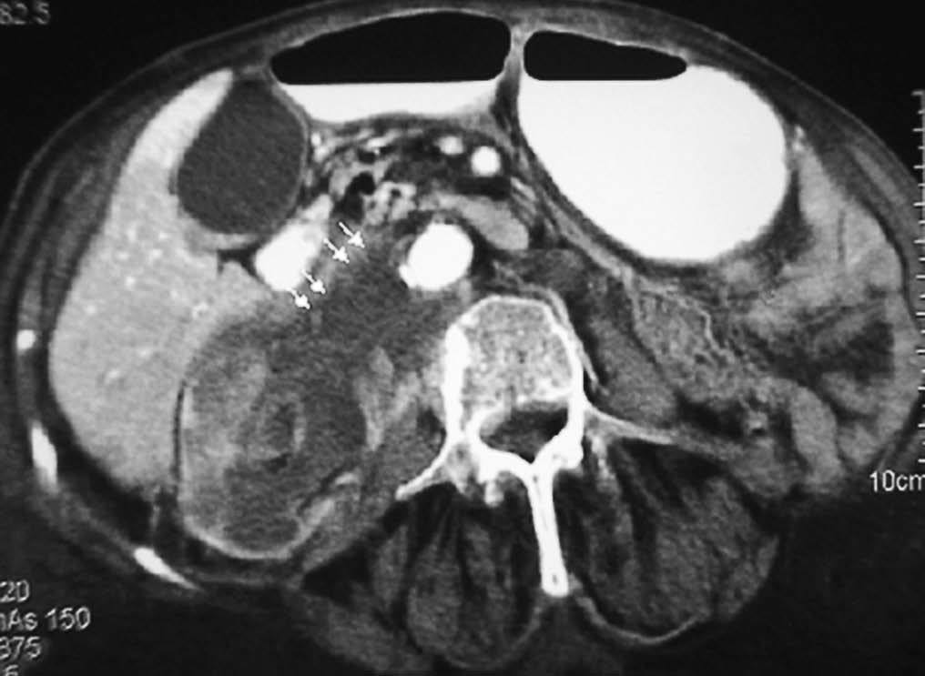
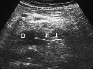
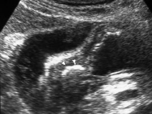
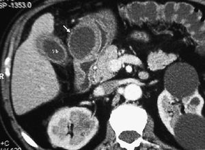
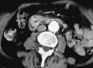
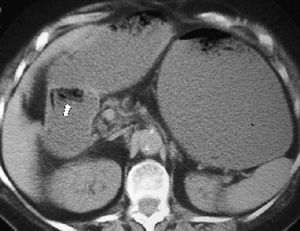
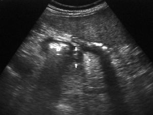
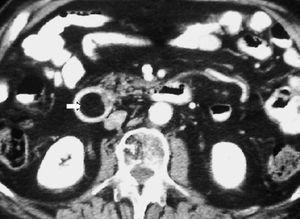
La colecistitis también puede afectar al duodeno, produciendo un engrosamiento de pared secundario a la extensión de la inflamación vesicular. Dicha inflamación puede provocar un absceso de pared duodenal (fig. 13). La existencia de un nivel hidroaéreo en la TC sugiere que se ha producido una comunicación con la luz intestinal. La inflamación puede progresar y perforar la pared duodenal ocasionando una fístula bilioduodenal, identificándose en la ecografía como un trayecto hipoecoico con paso de contenido ecogénico (gas) entre vesícula y duodeno. También se puede observar la presencia de aire en vesícula, que puede extenderse al resto de la vía biliar (neumobilia) (fig. 14). La salida de la colelitiasis a través de la fístula y su impactación en el tracto intestinal puede producir un íleo biliar20.
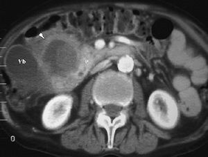
Fig. 13--Absceso en pared duodenal secundario a colecistitis. Tomografía computarizada con contraste intravenoso. Colección hipodensa (flecha) en contacto con la pared de la segunda porción duodenal, en proximidad a una vesícula con las paredes engrosadas (Vb).
Fig. 14--Fístula bilioduodenal. (A) Ecografía. (B) Tomografía computarizada sin contraste intravenoso. En ambas técnicas se identifica el trayecto fistuloso (flechas) entre vesícula y duodeno. Asocia neumobilia (punta de flecha).
Una patología infrecuente es la fístula aortoduodenal, que se puede producir secundaria a un aneurisma de aorta en progresión o a procedimientos terapéuticos como la colocación de prótesis de aorta (fig. 15). En ocasiones puede observarse el paso de contraste de la aorta a la luz duodenal. Normalmente tiene una evolución fatal.
Fig. 15--Fístula aortoduodenal. Varón con hemorragia digestiva alta e imagen en tomografía computarizada con contraste intravenoso de aneurisma de aorta (*) que desplaza la luz duodenal (D) y con sangrado confirmado con endoscopia.
PATOLOGÍA TUMORAL
Los tumores del intestino delgado son raros (2-5% de todas las neoplasias gastrointestinales), de ellos, un 20-30% se localizan en el duodeno. Los tumores malignos son ligeramente más frecuentes que los benignos21,22.
Patología tumoral benigna
Los tumores estromales benignos (leiomiomas) representan las neoplasias intestinales sintomáticas más frecuentes entre la patología duodenal benigna. Pueden ser intra o extraluminales, con tendencia a la ulceración y al sangrado. En la TC se observan como lesiones redondeadas, de pequeño tamaño, con captación homogénea de contraste1,22. Los lipomas intestinales aparecen como lesiones intraluminales ovoideas, homogéneas, presentando por su componente graso un bajo coeficiente de atenuación en la TC, entre 40 a 100 UH22 (fig. 16). Los adenomas son masas intraluminales de morfología variable. De entre ellos el adenoma velloso puede malignizar. Normalmente asienta próximo a la papila, por lo que con frecuencia produce obstrucción de la vía biliar con la consiguiente ictericia (fig. 17). Las poliposis familiares en ocasiones afectan al intestino delgado. Tanto la poliposis colónica familiar como el síndrome de Gardner o el síndrome de Peutz-Jeghers, además de los pólipos en el colon o en el intestino delgado, asocian adenomas en el estómago y el duodeno, con riesgo variable de degeneración a adenocarcinoma1,21,22. Los tumores neurogénicos suelen ser masas polipoideas que crecen del borde antimesentérico, siendo los más frecuentes el schwanoma y el neurofribroma. Éste puede ser único o múltiple en casos de neurofibromatosis, siendo la localización duodenal rara22,23. Radiológicamente se identifican como masas intra o extraluminales difíciles de diferenciar de leiomiomas (fig. 18).
Fig. 16--Lipoma duodenal. Tomografía computarizada con contraste oral e intravenoso. Lesión intraluminal, bien delimitada de densidad grasa.
Fig. 17--Adenoma velloso. Tomografía computarizada con contras te intravenoso mostrando una tumoración bien delimitada (*) con captación de contraste localizada en la luz duodenal en región ampular.
Fig. 18--Neurofibromas. (A) Ecografía. (B) Tomografía computarizada con contraste intravenoso en un paciente con enfermedad de von Recklinghausen. Se observan múltiples lesiones sólidas (*) en la pared duodenal (D). P: Páncreas.
Patología tumoral maligna
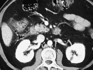
El tumor duodenal maligno primario más frecuente es el adenocarcinoma (90% de ellos), que con frecuencia asienta en la segunda y tercera porción duodenal. En la TC se presenta habitualmente como un engrosamiento concéntrico e irregular de la pared que suele producir estenosis de la luz21,22 (fig. 19) y en la ecografía se puede identificar además pérdida de la estratificación de la pared. Si se localiza en la región periampular puede provocar obstrucción de la vía biliar.
El tumor carcinoide suele asentar en el íleon distal, y es muy infrecuente en el duodeno24. A diferencia de los localizados en el íleon, los del estómago y duodeno no producen habitualmente un síndrome carcinoide, por lo que su tamaño en el momento de presentación puede ser mayor. Se originan a partir de la submucosa y aparecen como lesiones homogéneas, bien definidas en la ecografía. En la TC producen una retracción fibrosa de la grasa mesentérica y adenopatías con calcificación21,22. Estos hallazgos pueden asociarse a la identificación de metástasis hepáticas que típicamente son hipervascularizadas.
El linfoma intestinal también asienta con mayor frecuencia en el íleon. Aparece como un engrosamiento de pared, a veces nodular, que puede ser focal o difuso, que característicamente no produce estenosis de la luz intestinal, pudiendo producir una dilatación aneurismática del segmento afectado. La presencia de adenopatías viscerales o retroperitoneales, así como esplenomegalia puede sugerir el diagnóstico (fig. 20)22,24. Los tumores estromales malignos pueden alcanzar un tamaño considerable, apareciendo en la TC como masas heterogéneas con zonas internas hipodensas, debido a su tendencia a la necrosis y hemorragia, con realce periférico de contraste. Los malignos pueden invadir órganos vecinos, diseminarse al peritoneo o dar metástasis hepáticas, pero no suelen asociar adenopatías21,25,26.
Fig. 20--Linfoma duodenal. (A) Ecografía. (B) Tomografía computarizada con contraste intravenoso que muestra un engrosamiento circunferencial de la pared duodenal (D) con adenopatías mesentéricas y retroperitoneales (flechas).
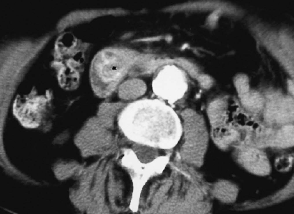
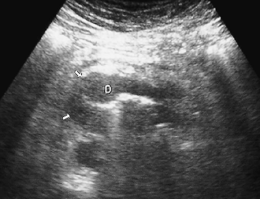
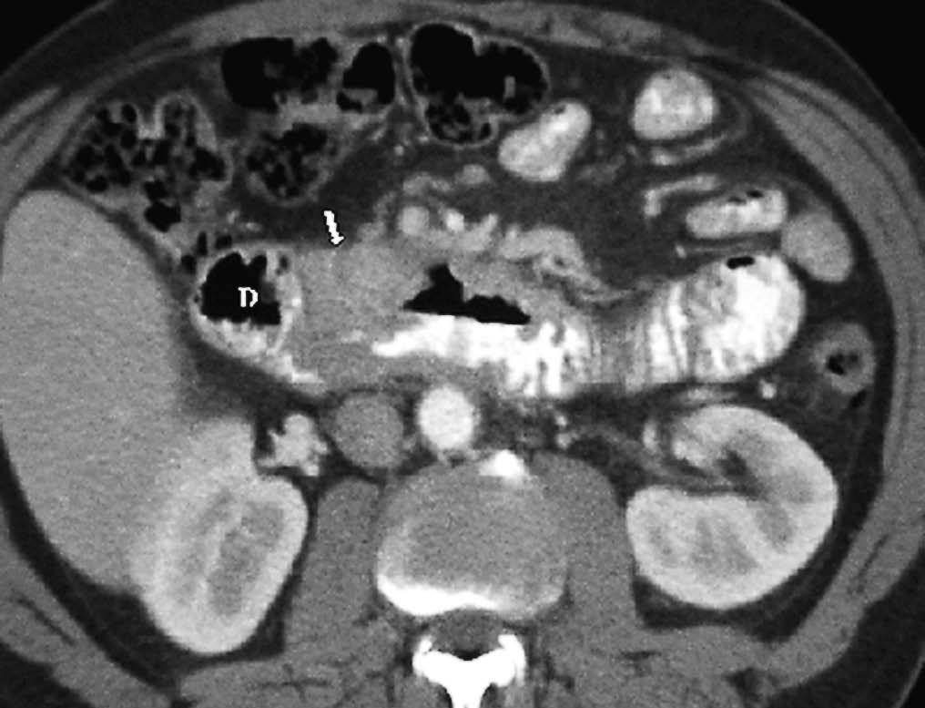
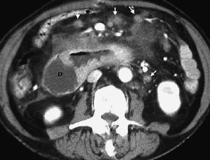
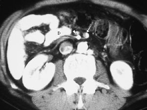
El duodeno también puede verse afectado tanto por extensión de tumores vecinos, siendo los más frecuentes los de estómago, como por neoplasias de colon transverso, páncreas (fig. 21), vesícula, hígado y riñón derecho1,2 (fig. 22).
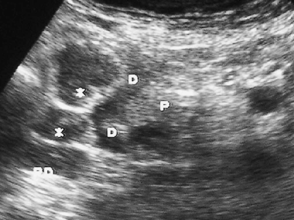
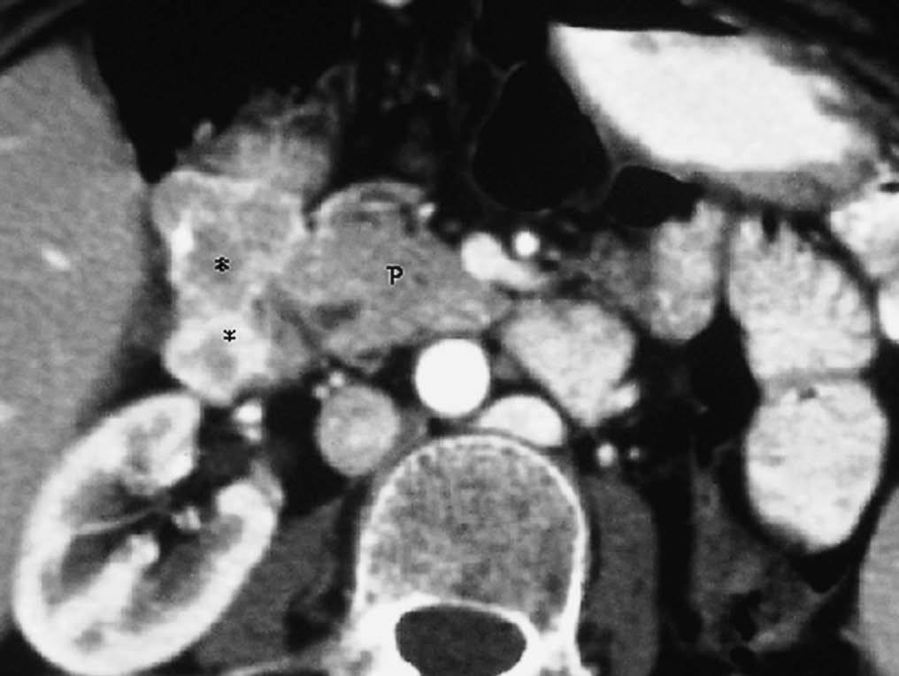
Fig. 21--Neoplasia de páncreas. (A) Corte transversal de ecografía en el que se aprecia masa pancreática (P) que infiltra la pared duodenal (D). (B) Tomografía computarizada con contraste intravenoso correspondiente, donde se puede observar dilatación gástrica por la obstrucción.
Fig. 22--Neoplasia renal derecha infiltrando al duodeno. Tomografía computarizada con contraste oral e intravenoso. Se observa una extensión anterior de la masa renal (flechas) provocando infiltración de la segunda porción duodenal y dilatación gástrica por la obstrucción.
CONCLUSIÓN
La patología duodenal se puede clasificar en primaria o secundaria. La primaria es la misma que la del resto del intestino delgado, aunque con diferencias en la incidencia de cada una de las entidades. Como el resto del intestino tiene patología congénita, destacando por su frecuencia los divertículos; en la inflamatoria predomina la patología ulcerosa, dado que está en contacto con los ácidos gástricos; en la traumática y iatrógena, principalmente por las exploraciones endoscópicas, y en la tumoral se diferencia del resto de intestino delgado por la mayor frecuencia de adenocarcinomas.
La patología duodenal secundaria es característica, debido a su íntima relación con las estructuras vecinas, por lo que el duodeno queda expuesto a procesos patológicos de todos los órganos con los que tiene contacto: estómago, vía biliar y vesícula, páncreas, grandes vasos, vasos mesentéricos y riñón derecho.
La TC y la ecografía son técnicas útiles en el estudio de la patología duodenal y en su diagnóstico diferencial. En ocasiones son complementarias al tránsito baritado y a la endoscopia, pero con frecuencia son las técnicas diagnósticas de elección, valorando la patología duodenal y su relación con las estructuras y órganos vecinos.





































