ASPECTOS PATOLÓGICOS
Para la valoración de la extensión del cáncer de páncreas se utiliza el sistema TNM propuesto por la Union Internationale Contre le Cancer (UICC). En esta clasificación, que se presenta en la tabla 1, el principal factor que determina el estadio del tumor es el grado de invasión locorregional o a distancia y no el ta maño de la tumoración. Existe una segunda clasificación (tabla 2) publicada por la Japan Pancreas Society (JPS)1 que, aunque permite una clasificación tumoral más precisa, utiliza parámetros subjetivos y entraña una mayor complejidad. Isaji et al2 han comparado recientemente ambas clasificaciones, concluyendo que, si bien el sistema de clasificación de la UICC es más sencillo y comprensible, el sistema de clasificación de la JPS es más fidedigno en la predicción pronóstica, por lo que proponen un consenso entre ambos comités para minimizar las diferencias entre las dos clasificaciones antes de preparar futuras ediciones.
TÉCNICAS DE DIAGNÓSTICO DEL CÁNCER DE PÁNCREAS. ANÁLISIS PREOPERATORIO
Las técnicas de imagen en el cáncer de páncreas deben cubrir dos facetas: el diagnóstico del tumor y su estadificación. Este capítulo hace referencia al diagnóstico de extensión tumoral, ya que el diagnóstico del tumor propiamente dicho fue revisado en un capítulo anterior. El diagnóstico de tumores de pequeño tamaño, aún no invasivos, supone la única posibilidad que tienen los pacientes de poder beneficiarse de un tratamiento quirúrgico con intención curativa. Por otra parte, la correcta estadificación tumoral permite seleccionar el grupo de pacientes a los que se les puede ofrecer un tratamiento potencialmente curativo, que hoy en día es la resección quirúrgica. Aunque los avances técnicos recientes han permitido reducir en gran medida la mortalidad perioperatoria, esta cirugía agresiva conlleva todavía una morbilidad perioperatoria no despreciable. El objetivo de las técnicas de imagen es, por una parte, detectar la neoplasia de páncreas en una fase inicial, y por otra, tener una alta precisión en la predicción de la resecabilidad tumoral.
Ultrasonografía abdominal
La ultrasonografía abdominal (US) permite detectar metástasis hepáticas y ascitis, objetivando en ocasiones implantes en la hoja peritoneal. Cuando se detecta enfermedad metastásica, únicamente se requiere la confirmación patológica de la neoplasia, sin que sean necesarias otras exploraciones.
A partir de la complementación de la US con técnica de doppler color ha mejorado el rendimiento de la misma en la evaluación de la extensión tumoral a los vasos arteriales y venosos peripancreáticos, que oscila entre el 84 y el 87%3,4 (fig. 1). Tomiyama et al5 evaluaron la extensión vascular arterial tumoral en 33 pacientes mediante US doppler color, comparando sus hallazgos con los de la angiografía, la cirugía y la pieza de resección. En los 11 pacientes intervenidos describen una sensibilidad del 60%, especificidad del 93% y rendimiento diagnóstico del 87%. En la evaluación conjunta de todos los pacientes incluidos en el estudio concluyen que la US doppler color ofrece un rendimiento diagnóstico superior al de la tomografía computarizada (TC) (72%) y similar al de la angiografía (91%). No obstante, el escaso número de pacientes con correlación patológica supone, en cierto modo, una limitación a las conclusiones de los autores. Hasta donde hemos podido revisar Minnitti et al6 presentan los mejores resultados publicados por el momento, detectando el adenocarcinoma pancreático mediante US en 61 de los 64 pacientes incluidos en su estudio (95,3%), y obteniendo mejores resultados que la TC helicoidal, cuyo índice de identificación tumoral fue del 89,1%. El tamaño promedio de los tumores detectados en la US fue de 3,2 cm (rango: 1,5-6,8 cm), aunque los autores no presentan la correlación patológica del tamaño tumoral medido en la pieza quirúrgica en los 18 casos en los que se pudo llevar a cabo la resección radical del tumor. Los autores presentan un índice de predicción de resecabilidad del 81,4% para la US, algo inferior al obtenido por la TC (86,0%), calculado sobre los 43 pacientes laparotomizados de la serie. Sin embargo, estos buenos resultados no han sido refrendados en la literatura por otros autores hasta el momento.
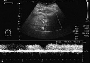
Fig. 1.--Ecografía abdominal. (A) masa hipoecoica de 8 4, 5 cm en la cola del páncreas, en íntimo contacto con la vena esplénica (2). (B) Estudio doppler color y pulsado que demuestra la permeabilidad de la vena esplénica con un registro sin alteraciones.
La naturaleza no invasiva de la técnica y su amplia disponibilidad hace que sea una modalidad diagnóstica muy empleada. No obstante, la experiencia acumulada en el diagnóstico y la estadificación del cáncer de páncreas mediante US doppler color es limitada, y su lugar en el algoritmo diagnóstico de los pacientes con carcinoma de páncreas está aún por definir7,8.
Tomografía computarizada
La TC es el método de imagen más ampliamente utilizado para la detección y estadificación del adenocarcinoma pancreático9-11. Esta técnica ha experimentado una rápida evolución en las dos últimas décadas. La TC convencional fue superada por la TC dinámica con secciones finas, ésta por la TC helicoidal y por último por la TC multidetector (TCMD). Esta revolución tecnológica ha permitido mejorar de forma sensible la capacidad de la TC para el diagnóstico y la estadificación del cáncer de páncreas.
Hay que destacar que es difícil la comparación de los resultados de las diferentes series publicadas en la literatura debido, en primer lugar, a los diferentes equipos de TC utilizados, en segundo lugar a las distintas técnicas de adquisición empleadas en los diferentes estudios y en tercer lugar a las diferencias existentes en la definición de «irresecabilidad tumoral». Todos los estudios publicados consideran criterios de irresecabilidad la presencia de enfermedad metastásica peritoneal o hepática, la invasión de la grasa peripancreática y de órganos extrapancreáticos (con excepción del duodeno y la vía biliar) y la invasión vascular arterial peripancreática. También hay un amplio consenso a la hora de no considerar como un criterio de irresecabilidad las adenopatías de las cadenas ganglionares peripancreáticas12-14. Sin embargo, la infiltración venosa constituye un criterio definitivo de irresecabilidad para algunos equipos quirúrgicos13-15, mientras que otros intentan llevar a cabo una cirugía radical resecando el segmento venoso infiltrado en ausencia de trombosis u oclusión venosa16-20. Ante este problema que queda reflejado frecuentemente en la literatura, Robinson21 publicó un editorial con varias preguntas clave al respecto del cáncer de páncreas. Una de ellas es ¿qué significa tumor resecable? En un sentido amplio la «resecabilidad» podría definirse como la posibilidad de resecar cualquier foco macroscópico de enfermedad tumoral observado en el acto quirúrgico. El autor opina que las técnicas de imagen pueden definir el grado de infiltración vascular con mucha precisión, no obstante ¿cuál es el grado de afectación vascular suficiente como para desestimar un intento de resección con intención curativa? El autor aboga porque el radiólogo defina la extensión tumoral local y a distancia con detalle, en función de criterios de imagen precisos, y no en términos de «resecabilidad» o «irresecabilidad», y dejar la decisión acerca de la resecabilidad al cirujano.
Extensión local
Las publicaciones clásicas presentan valores predictivos de la TC dinámica para el diagnóstico de irresecabilidad de cáncer de páncreas próximos al 100%, pero los valores predictivos para las neoplasias resecables no son tan satisfactorios15,22,23. La introducción de la TC helicoidal permitió mejorar el valor predictivo negativo para los tumores resecables. En una de las primeras series publicadas en la literatura empleando TC helicoidal Bluemke et al12 estudiaron 64 pacientes con cáncer de páncreas, 21 de ellos fueron correctamente interpretados como irresecables, no obstante, de los 43 casos interpretados como resecables, sólo 24 pudieron ser resecados. De los 19 casos con tumores irresecables mal estadificados en la TC, 8 tenían metástasis hepáticas de tamaño menor a 1 cm, 7 tenían invasión venosa portal o de vena mesentérica superior y dos tenían infiltrada la raíz mesentérica. Tres pacientes presentaban más de un hallazgo quirúrgico que contraindicaba el tratamiento quirúrgico. La precisión diagnóstica de la TC helicoidal en la estadificación del cáncer de páncreas para predecir la resecabilidad tumoral presentado por estos autores es del 70%.
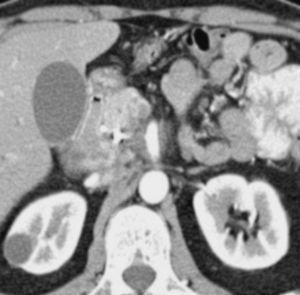
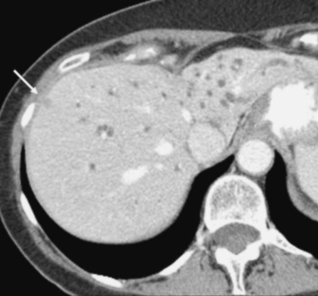
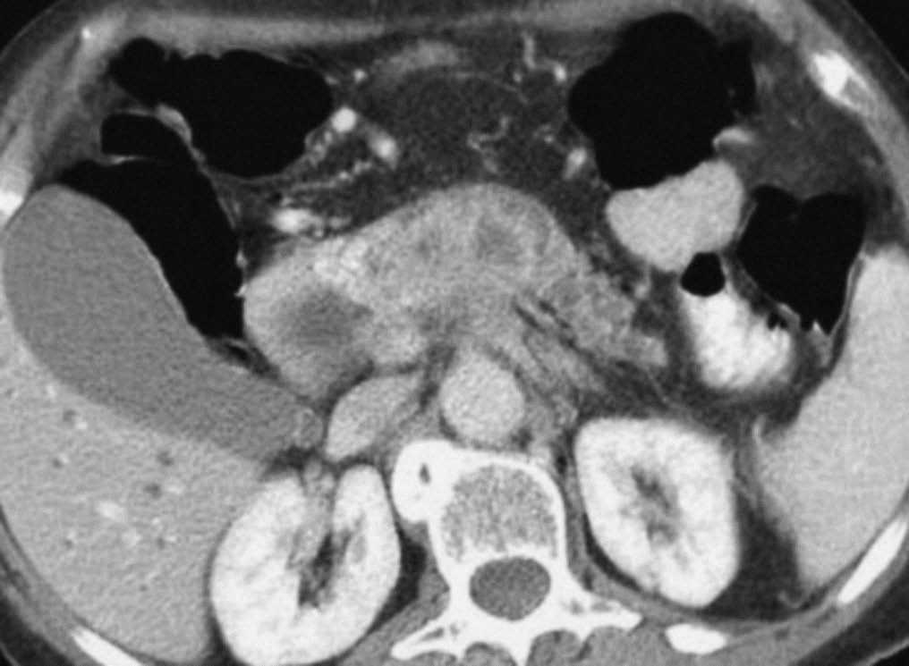
La TC helicoidal permitió, además, llevar a cabo un estudio detallado de los pequeños vasos arteriales y venosos peripancreáticos24-26 (fig. 2), mostrando mejores resultados que la angiografía por sustracción digital en el diagnóstico de la invasión vascular por cáncer de páncreas27. La valoración de estas pequeñas estructuras vasculares mejora el rendimiento de la TC en la estadificación tumoral28,29. La posibilidad de reconstruir en diferentes planos del espacio las imágenes axiales obtenidas ha sido evaluada por algunos autores30,31, obteniendo un mayor rendimiento de la TC para determinar la invasión vascular, fundamentalmente venosa, cuando las secciones transversas se interpretan en combinación con las reconstrucciones multiplanares que cuando se interpretan únicamente las secciones transversas (92-96% frente a 69-70%) (fig. 3).
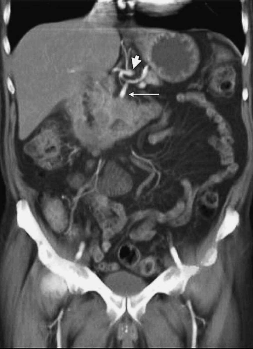
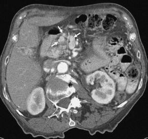
Fig. 2.--Estudio de tomografía computarizada con contraste endovenoso en fase pancreatográfica en un paciente con neoplasia del cuerpo pancreático. Múltiples vasos mesentéricos dilatados secundarios a la infiltración venosa portomesentérica tumoral (flechas).
Las causas más frecuentes de infraestadificación del adenocarcinoma de páncreas son la no detección de la extensión local peripancreática en el estudio mediante TC y la omisión de metástasis de pequeño tamaño en el parénquima hepático y en la hoja peritoneal. Alrededor del 70% de los pacientes con adenocarcinoma pancreático tienen extensión local neoplásica en el momento del diagnóstico. La infiltración vascular es el factor más crítico del que depende la potencial resecabilidad tumoral. La introducción de la TC helicoidal bifásica con secciones finas ofreció una sensible mejora en la calidad de las imágenes, la posibilidad de evaluar los vasos arteriales y venosos, de obtener reconstrucciones tridimensionales y con ello una potencial ventaja en la estadificación tumoral, primordialmente vascular local.
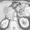
Fig. 3.--Estudio de tomografía computarizada con contraste endovenoso en fase venosa portal en un paciente con neoplasia de páncreas. Masa heterogénea mal definida en el cuerpo pancreático. (A) Sección axial que no permite identificar el eje esplénico-mesentérico-portal. (B) La reconstrucción multiplanar oblicua coronal, orientada en el plano del confluente venoso demuestra de forma clara la disminución del calibre de la vena porta en su origen y de la vena mesentérica superior en su confluencia con la vena porta (puntas de flecha), que permite establecer el diagnóstico de infiltración venosa local, mostrando la longitud del segmento venoso afectado.
Fig. 4.--Infiltración vascular arterial. (A) Neoplasia de cabeza-cuerpo pancreático con prótesis biliar. Estudio de tomografía computarizada (TC) con contraste endovenoso en fase pancreatográfica. Manguito sólido que rodea la arteria mesentérica superior correspondiente a infiltración de la misma. (B) Neoplasia de cuerpo pancreático. Reconstrucción 3D MIP a partir de un estudio TC con contraste endovenoso en fase arterial. Masa en cuerpo del páncreas que infiltra la arteria mesentérica superior y tiene amplio contacto con el tronco celíaco.
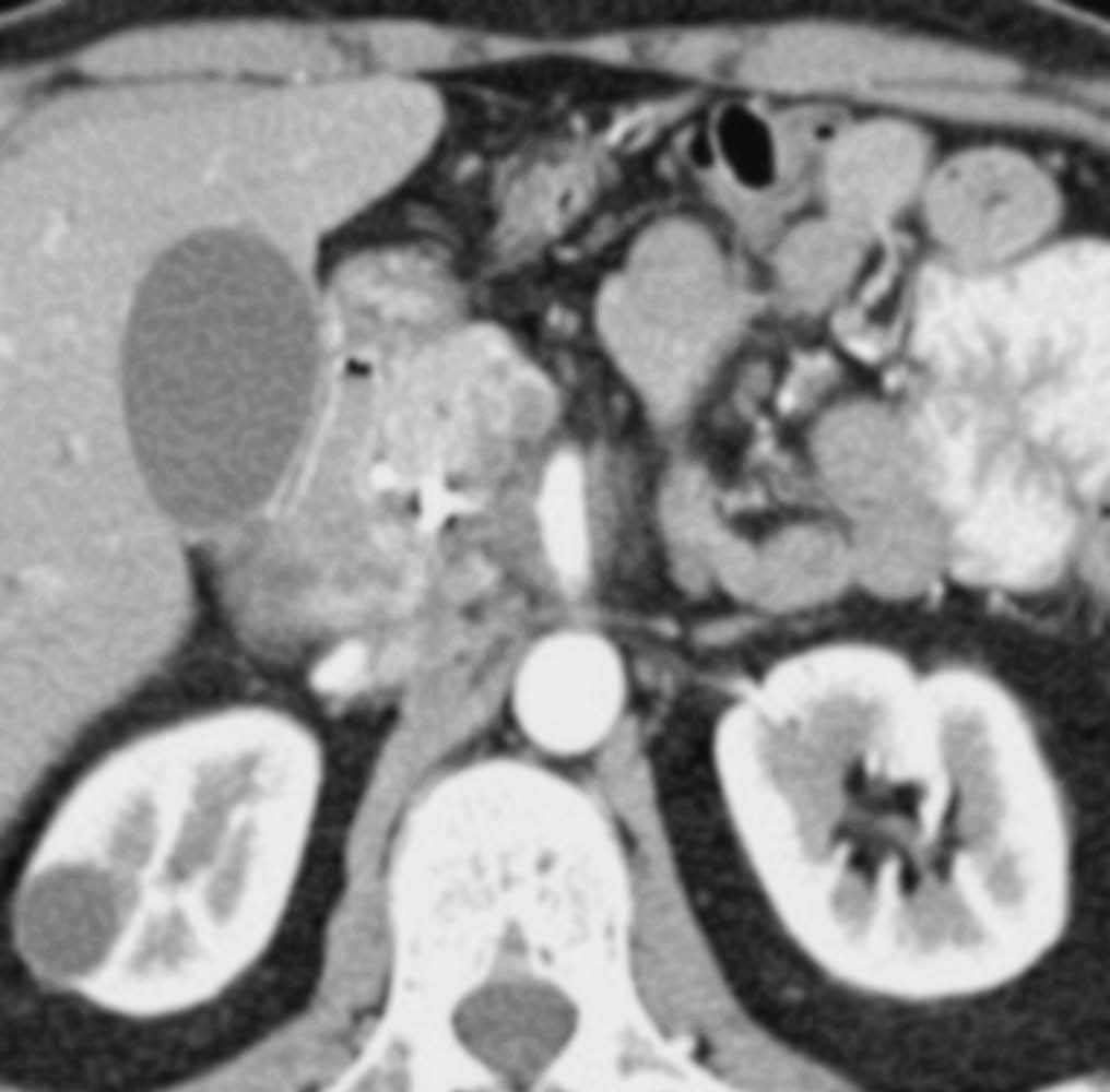
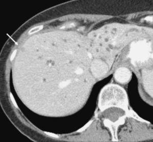
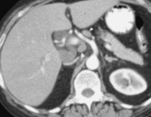
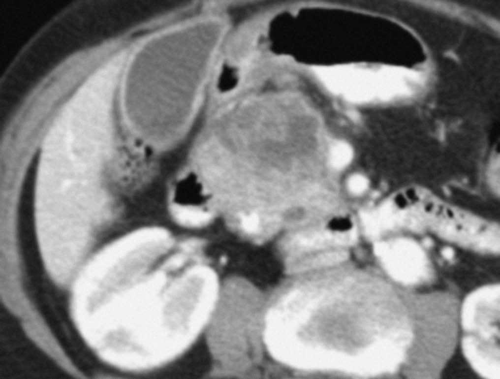
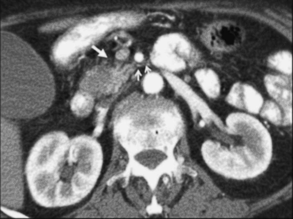
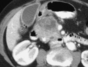
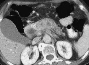
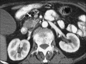
Aunque algunos autores no han observado diferencias significativas en cuanto al rendimiento de la TC helicoidal monofásica y bifásica en la detección y estadificación del cáncer de páncreas13, otros autores19,32, en series más largas incluyendo un mayor número de pacientes con tumores resecables, han aseverado el rendimiento de la TC helicoidal bifásica en la predicción de la resecabilidad del cáncer de páncreas, presentando valores predictivos para la resecabilidad tumoral entre 73,5% y 77% y valores de precisión diagnóstica entre 77% y 83%. Revisando específicamente los signos TC de infiltración vascular mediante TC helicoidal bifásica, Lu et al33, utilizando un sistema de gradación basado en la contigüidad del tumor con cada una de las estructuras vasculares (venas porta y mesentérica superior, o arterias hepática, mesentérica superior y tronco celíaco), presentaron un valor predictivo positivo del 95% y un valor predictivo negativo para la irresecabilidad neoplásica del 93% cuando consideraban infiltración vascular una contigüidad del tumor que excedía el 50% de la circunferencia del vaso en cuestión (fig. 4). A este mismo respecto Phoa et al34 describen como criterios de TC más fiables de invasión venosa la estenosis e irregularidad de la vena porta o la vena mesentérica superior, así como una contigüidad circunferencial del tumor con la vena porta superior a 90º (fig. 5). Los autores concluyen que la mejor combinación de criterios de TC fue la concavidad tumoral con afectación circunferencial vascular, con lo que presentan una sensibilidad del 61% y especificidad del 90%. Hough et al35 describieron el signo de la lágrima de la vena mesentérica superior, que consiste en una deformidad de la morfología redondeada de la vena adyacente al tumor en las secciones axiales, como indicativo de invasión venosa (fig. 6). Añadiendo este signo a los ya descritos de invasión venosa, consiguen aumentar la sensibilidad (60-91%) y el rendimiento diagnóstico de la TC (79-95%) sin modificar significativamente la especificidad (100-98%). No obstante, estos sistemas de gradación para el diagnóstico de la invasión vascular peripancreática tienen el inconveniente de la subjetividad a la que está sometida su lectura. Los casos extremos no presentan problemas de interpretación, pero la valoración del tumor rodeando al vaso alrededor de 90º de su circunferencia puede ser difícil, dado que además pueden existir bandas de infiltración de la grasa peripancreática que pueden rodear parcialmente un vaso o incluso continuarse sin plano graso de separación con el tejido tumoral. Estas bandas pueden representar cambios edematosos o inflamatorios locales (fig. 7). En este sentido, Valls et al19,36 presentan únicamente un 25% de valor predictivo positivo para la irresecabilidad tumoral para estas bandas perivasculares. Además se ha descrito la notoria variabilidad interobservador en función de su experiencia, que llega a alcanzar una diferencia de sensibilidad de hasta un 20% entre revisores experimentados y noveles14.
Fig. 5.--Adenocarcinoma de páncreas. Estudio de tomografía computarizada con contraste endovenoso en fase pancreatográfica. Masa de 5 cm al nivel de la cabeza pancreática que contacta ampliamente con la vena mesentérica superior (VMS) en aproximadamente 50° de su circunferencia, sin deformarla ni disminuirla de calibre. En la intervención quirúrgica se confirmó la invasión de la VMS, realizándose resección con interposición de injerto venoso.
Fig. 6.--Estudio de tomografía computarizada con contraste endovenoso en fase venosa portal. Infiltración vascular de la vena mesentérica superior. Signo de la lágrima: deformidad focal de la morfología de la vena en contigüidad con el tumor.
Fig. 7.--Estudio de tomografía computarizada con contraste endovenoso en fase pancreatográfica. Adenocarcinoma pancreático de 2,6 cm, hipodenso con respecto al páncreas normal en el estudio dinámico. Por delante de la lesión se identifican imágenes lineales densas en el seno de la grasa peripancreática que alcanzan la arteria mesentérica superior (flechas finas) y la vecindad de la vena mesentérica superior (flecha gruesa). En la pieza de resección no se demostró infiltración de la grasa peripancreática.
El último avance tecnológico de la TC helicoidal es la TC multicorte (TCMC). La técnica permite utilizar una colimación extremadamente fina para la adquisición de volúmenes de datos prácticamente isotrópicos durante múltiples fases dinámicas, que permiten obtener imágenes axiales y reconstrucciones 3D de muy alta resolución anatómica (fig. 8). En estas condiciones la TCMC ofrece potencialmente un mayor rendimiento en la detección del adenocarcinoma pancreático y en su estadificación37-42. Vargas et al43 presentan sus resultados en 23 pacientes con un tumor pancreático potencialmente resecable en función de los hallazgos de la TC. En 20 pacientes el tumor pudo ser resecado (valor predictivo negativo del 87%) y resaltan que ninguno de los 3 tumores erróneamente interpretados como resecables tenían extensión local en el acto quirúrgico. Dos de ellos tenían metástasis hepáticas y uno peritoneales de pequeño tamaño, que no fueron diagnosticadas en la TCMC. Presentan un valor predictivo negativo para la detección de infiltración vascular local del 100%.
Fig. 8.--Volume rendering. Masa en cabeza pancreática con invasión de la segunda porción duodenal, respetando la arteria mesentérica superior (flecha) y el tronco celíaco (punta de flecha). (Agradecimiento a la Dra. Rosa Bouzas, del Hospital Xeral de Vigo, por esta imagen amablemente cedida para la presente revisión).
A la vista de los resultados publicados recientemente en la literatura, la TCMC es la tecnología más adecuada para el estudio de extensión tumoral del adenocarcinoma de páncreas, ya que es la que permite una mejor estadificación local del tumor, con unos valores predictivos negativos muy elevados, superiores a los que se consiguen en las series que emplean TC helicoidal bifásica.
Extensión ganglionar
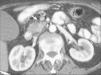
Varias cadenas ganglionares drenan el páncreas. La cabeza de la glándula drena hacia la cadena del surco pancreaticoduodenal y a través de ella, en los grupos ganglionares subpilórico, portal, mesocólico, mesentérico y aortocaval. El cuerpo y cola pancreáticos drenan hacia los grupos ganglionares retroperitoneales, hacia el hilio esplénico, o bien hacia los ganglios de la cadena celíaca, aortocaval, mesocólica o mesentérica. La mayoría de estudios valoran como metastáticas las adenopatías que miden más de 1 cm en su eje corto, no obstante ganglios de tamaño normal pueden contener micrometástasis, mientras que ganglios aumentados de tamaño pueden ser reactivos (fig. 9). Esto supone una importante limitación para la TC que evalúa únicamente en función de parámetros anatómicos. No obstante, como los ganglios regionales a menudo pueden ser resecados en la cirugía no representan una contraindicación quirúrgica formal.
Fig. 9.--Tomografía computarizada en fase pancreatográfica en un paciente con neoplasia de cabeza pancreática que muestra adenopatías de 15 mm de diámetro máximo en región celíaca (puntas de flechas) que resultaron ser reactivas en el estudio anatomopatológico.
Algunos autores han evaluado el rendimiento de la TC en la detección de invasión ganglionar por adenocarcinoma de páncreas14,17,19,32,44, obteniendo valores de precisión diagnóstica de la TC helicoidal bifásica que oscila entre el 58% y el 78,3% para la infiltración tumoral ganglionar. En conclusión, la TC tiene todavía una tendencia hacia la infravaloración de la invasión metastásica ganglionar en parte debida a una alta frecuencia de linfadenopatías reactivas concurrentes. Dado que los ganglios peripancreáticos pueden ser resecados en bloque junto con el tumor primario, la identificación de adenopatías peripancreáticas de tamaño superior a 1 cm en pacientes con tumores por lo demás considerados resecables, no debe contraindicar la cirugía dado el bajo rendimiento de la TC en el diagnóstico de la invasión ganglionar.
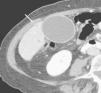
Metástasis hepáticas te;stasis hepáticas o peritoneales constituye un criterio definitivo de irresecabilidad tumoral, no obstante algunos estudios12,14,45 han sugerido la incapacidad de la TC para detectar lesiones metastásicas de pequeño tamaño (fig. 10). Vargas et al43, utilizando TCMC, presentan resultados similares, ya que de los 23 pacientes considerados resecables en base a los hallazgos de la TC, en 3 no se pudo llevar a cabo la resección. Dos de ellos presentaban metástasis hepáticas de pequeño tamaño y el paciente restante tenía pequeños implantes tumorales peritoneales. En nuestra experiencia32 la TC helicoidal bifásica tiene una baja sensibilidad para la detección de metástasis a distancia (55%), aunque con un alto valor predictivo negativo (90%) y una elevada precisión diagnóstica (88%).
Fig. 10.-. Estudio de tomografía computariazada en fase portal. Neoplasia de páncreas diseminada que dilata la vía biliar intrahepática. (A) Metástasis hepática subcapsular, infracentimétrica, hipodensa (flecha) en la fase venosa portal del estudio dinámico. (B) Se identifica una segunda metástasis (flecha) de menor tamaño, también subcapsular en el extremo hepático caudal.
Fig. 11.--Reconstrucción coronal de una secuencia FSPGRE (fast spoiled gradient-echo) 3D potenciada en T1 en fase venosa portal tras la administración de contraste endovenoso. Reducción de calibre superior al 50% de la vena porta por un tumor de la cabeza pancreática.
Resonancia magnética
El empleo de secuencias de gradiente-echo 2D y 3D volumétricas adquiridas en apnea, permitiendo la obtención de estudios dinámicos hepato-pancreáticos tras la inyección de contrastes paramagnéticos extracelulares como es el gadolinio (Gd) condujo a una mejora significativa en la capacidad diagnóstica de la RM. No obstante, los estudios comparativos para valorar el rendimiento de la TC y RM en el diagnóstico y extensión del cáncer de páncreas ofrecen resultados controvertidos. Mientras que algunos autores16,46,47 han referido mejores resultados de la RM, otros18 llegan a conclusiones contrarias, y describen un mayor rendimiento de la TC. Por último, otros autores48 concluyen que la TC y la RM tienen un rendimiento similar en la detección de la neoplasia de páncreas, mientras que la RM es significativamente mejor que la TC en el diagnóstico de la resecabilidad de los tumores pancreáticos.
El valor de estos estudios comparativos es limitado, ya que depende enormemente de las características técnicas de los equipos utilizados y de los parámetros de adquisición empleados. Hoy en día las diferencias en el rendimiento diagnóstico de ambas técnicas en el cáncer de páncreas son muy pequeñas y fácilmente superables por las continuas mejoras tecnológicas. La reciente introducción de la TCMC que permite llevar a cabo estudios pancreáticos bifásicos o trifásicos con grosores de corte efectivos de 1-2 mm está mejorando los resultados de la TC. Por otra parte, el desarrollo de secuencias volumétricas 3D para la RM, que comportan una mucho mejor resolución temporal y espacial, está también mejorando los resultados de la RM. Probablemente no existen diferencias significativas en el rendimiento de ambas tecnologías cuando se emplean protocolos muy depurados para la adquisición de las imágenes. El mayor empleo de la TC para el diagnóstico y estadificación del cáncer de páncreas está muy probablemente más relacionado con la mayor disponibilidad de los equipos y el menor coste económico que conlleva que con una supuesta mayor eficacia diagnóstica.
Algunos autores han utilizado contrastes órgano-específicos en el diagnóstico y estadificación del cáncer de páncreas; Schima et al49 compararon la RM contrastada con mangafodipir trisodium y la TC helicoidal bifásica con contraste oral hídrico en el diagnóstico y extensión del cáncer de páncreas en un grupo de 42 pacientes con sospecha de masa pancreática. En 26 de ellos se confirmó la presencia de una neoplasia pancreática. Los autores concluyen que ambas técnicas tienen un rendimiento similar para la detección y estadificación del cáncer pancreático, aunque la RM mejoró la detección de pequeñas metástasis hepáticas, que fueron identificadas por ésta en 7 de 8 pacientes y por la TC en 4 de los 8 casos.
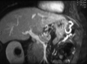
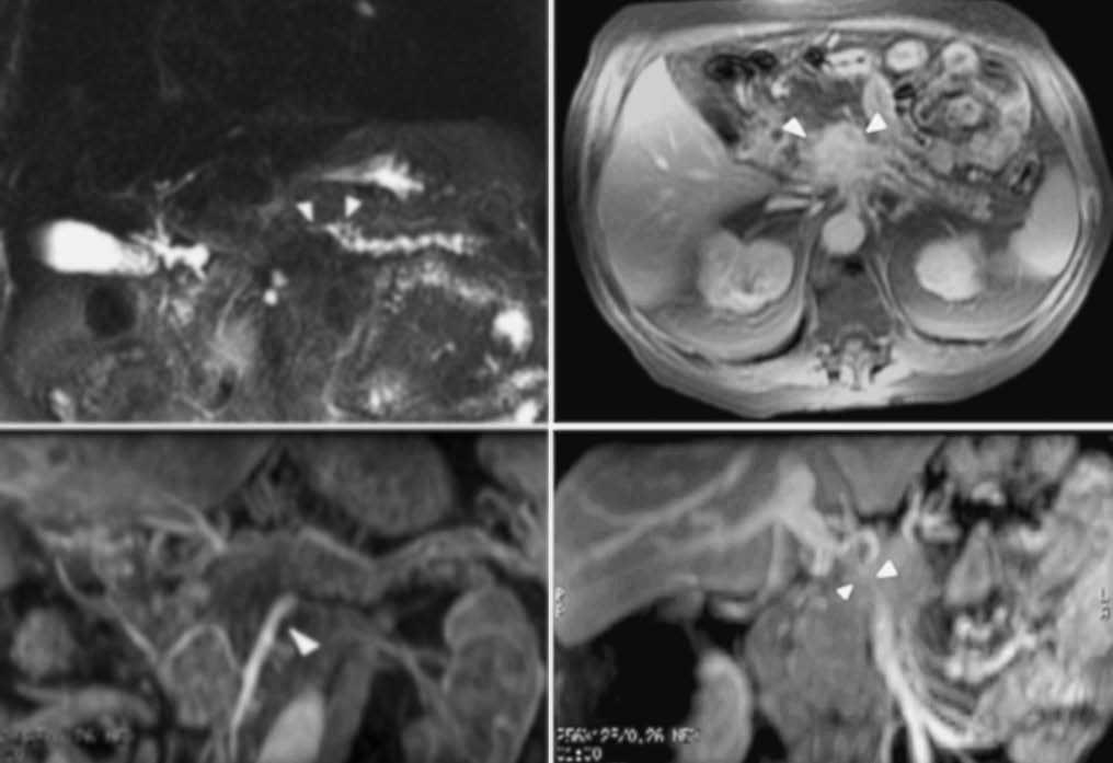
El estudio dinámico volumétrico tridimensional con saturación grasa permite una precisa visualización de las estructuras vasculares arteriales y venosas peripancreáticas50,51, lo que posibilita la evaluación de la extensión vascular local (fig. 11). Hochwald et al52 revisan retrospectivamente los estudios de RM y de colangiopancreatografía por RM (CPRM) de 21 pacientes con sospecha de cáncer de páncreas para determinar su resecabilidad. La técnica detectó todas las lesiones y mostró un rendimiento diagnóstico para diferenciar entre lesiones pancreáticas malignas y benignas del 81%, y del 43% para predecir la afectación ganglionar. En cuanto a la predicción de la resecabilidad tumoral, los autores describen una sensibilidad de la técnica del 100%, especificidad del 83%, valor predictivo positivo del 94% y negativo del 100%. La precisión diagnóstica de la RM, incluyendo la CPRM fue del 95%. Los buenos resultados que presentan estos autores muy probablemente se deben a que evalúan la rentabilidad de la RM en 21 pacientes con masa pancreática, aunque sólo 16 de ellos tenían un adenocarcinoma ductal pancreático (10 fueron resecados, mientras que los 6 restantes fueron irresecables). Los datos se han calculado sobre 15 tumores resecables sobre los 21 que constituyen la serie.
López Hänninen et al53, utilizando RM dinámica y CPRM, definen un valor predictivo positivo y negativo para neoplasia irresecable pancreática del 90 y 83% respectivamente, una sensibilidad y especificidad del 69 y 95% y un rendimiento global del 85%. Fischer et al54 presentan un valor predictivo positivo de la RM del 87% para la resecabilidad tumoral local cuando seleccionan sólo los tumores sólidos de su serie, que fueron 29 casos. Los autores definen esta técnica como la de mayor coste-eficacia y la proponen como la única a realizar en el diagnóstico de extensión del cáncer (fig. 12) de páncreas basándose en la política de «todo en uno»: toda la información requerida obtenida en una sola técnica diagnóstica.
Fig. 12.--Neoplasia irresecable de cuerpo pancreático. (A) Colangiorresonancia magnética que muestra una dilatación del conducto de Wirsung al nivel de la cola pancreática con stop brusco al nivel del cuerpo (puntas de flecha). (B) secuencia de resonancia magnética potenciada en T1 con saturación grasa tras la administración de contraste endovenoso. Masa heterogénea a nivel del cuerpo pancreático (puntas de flecha) que dilata el conducto de Wirsung. (C) angiorresonancia magnética en fase arterial. Se observa la arteria mesentérica superior permeable, pero ampliamente rodeada por el tumor pancreático (punta de flecha). (D) angiorresonancia magnética en fase venosa con estenosis severa del confluente porto-mesentérico (puntas de flecha).
Ultrasonografía endoscópica
Clásicamente se ha considerado que la ultrasonografía endoscópica (USE) es una de las exploraciones más precisas en el diagnóstico de invasión vascular, especialmente del eje venoso mesentérico-portal y de los vasos esplénicos. Sin embargo, al comparar su rendimiento con el de la TC en la estadificación del cáncer de páncreas, llama la atención la disparidad de resultados obtenidos según el ámbito de la publicación. Mientras que las publicaciones en revistas gastroenterológicas presentan resultados superiores de la USE con respecto a la TC55-58, en revistas radiológicas o no gastroentrológicas se presentan resultados similares para ambas técnicas59-61. Estas discrepancias probablemente obedecen a factores metodológicos, como pueden ser diferencias en los criterios de inclusión de pacientes, en la definición de los criterios de detección y de resecabilidad tumoral y en el diseño del estudio (exploraciones enmarcadas dentro de la rutina asistencial o bien en protocolos prospectivos comparativos con otras técnicas). En este sentido, Meining et al62, después de revisar 101 cintas de vídeo de USE, en primer lugar en el contexto clínico asistencial, en segundo, sin disponer de la información de otras técnicas, y tercero disponiendo de la información de la endoscopia o la TC, que correspondían a pacientes con neoplasia de esófago (n = 32), estómago (n = 33) y de páncreas (n = 36), concluyen que la precisión diagnóstica de la USE en la estadificación de los tumores gastrointestinales en la práctica clínica diaria es más baja de lo que ha sido referido en publicaciones previas, que aun es menor si la lectura de la prueba se hace completamente a ciegas, y que mejora mucho cuando se añade información adicional aportada por otras técnicas.
No existe consenso en la indicación de la USE-punción-aspiración con aguja fina (PAAF) en pacientes con cáncer de páncreas. Algunos autores propugnan la punción sistemática de todas las lesiones sólidas pancreáticas63,64, mientras que otros7,32 abogan por la punción de las neoplasias no resecables para su confirmación diagnóstica antes de aplicar un tratamiento radioterápico o quimioterápico, y por la abstención en pacientes con enfermedad resecable, puesto que un resultado negativo en cuanto a malignidad, no excluye este diagnóstico (sensibilidad del 80%).
Tomografía por emisión de positrones
La tomografía por emisión de positrones permite la realización de un rastreo de «cuerpo entero» que tiene la ventaja de poder demostrar metástasis a distancia en lugares insospechados que modifiquen la indicación terapéutica en algunos casos65. Por otra parte, la tomografía por emisión de positrones (PET) es especialmente útil en el seguimiento de los pacientes con cáncer de páncreas, en los que las alteraciones anatómicas posterapéuticas dificultan la valoración locorregional de la recidiva tumoral en los estudios de TC y RM (fig. 13). En los casos en los que estas técnicas muestran hallazgos poco concluyentes, la PET tiene una clara indicación66. La posibilidad de combinar un equipo de PET con un equipo de TC (PET/TC)67 abre nuevas expectativas para el diagnóstico, estadificación y seguimiento del adenocarcinoma ductal pancreático.
Fig. 13.--Tomografía por emisión de positrones. Reconstrucción coronal que muestra una intensa captación de fluorodesoxiglucosa en el lecho quirúrgico, correspondiente a una recidiva tumoral en un paciente tratado mediante duodenopancreatectomía cefálica.
Laparoscopia
A pesar de la sofisticación de las nuevas modalidades diagnósticas aplicadas en la estadificación del cáncer de páncreas, la diseminación peritoneal y las pequeñas metástasis hepáticas pueden no ser identificadas preoperatoriamente68. Su detección tiene un gran impacto en la decisión terapéutica. Por una parte, evita una cirugía de riesgo que no va ser eficaz en los pacientes con metástasis, y por otra, las nuevas terapéuticas neoadyuvantes tienen su indicación en pacientes con extensión tumoral local, pero sin metástasis a distancia. La laparoscopia ofrece un alto rendimiento en la detección de metástasis en la superficie hepática de 1-2 cm de diámetro y ofrece una sensibilidad de alrededor del 97% y una especificidad del 100% para la detección de metástasis peritoneales69, a la vez que permite biopsiar las lesiones observadas. La ultrasonografía laparoscópica permite además dar información sobre la extensión local neoplásica, habiéndose descrito una sensibilidad de 89% cuando se evalúa este parámetro70. Hay que tener en cuenta que cuanto más avanzada es la extensión del tumor, mayor es la probabilidad de hallazgos positivos en la laparoscopia. Sin embargo, cuando se limita su realización a pacientes con cáncer de páncreas seleccionados, potencialmente resecables en base a criterios radiológicos de la TC, no ha sido posible confirmar la utilidad diagnóstica de esta exploración71.
ESTRATEGIAS EN EL DIAGNÓSTICO Y EXTENSIÓN PREOPERATORIA
La efectividad de la TC y la RM en el diagnóstico y estadificación del carcinoma de páncreas está bien establecida. El valor predictivo positivo para predecir la irresecabilidad quirúrgica está por encima del 90%, mientras que los tumores potencialmente resecables en función de criterios de TC no pueden ser resecados en el acto quirúrgico en alrededor de un 75-91% de casos, según las series publicadas. Los motivos fundamentales de esta infravaloración del estadio tumoral son debidos a la existencia de pequeñas metástasis hepáticas subcapsulares, implantes peritoneales u omentales de pequeño tamaño no detectados por TC o RM, o bien por una extensión local tumoral, frecuentemente correspondiente a invasión vascular, no detectada previamente. Estas limitaciones en la predicción de la resecabilidad tumoral han llevado a algunos autores a sugerir la combinación de dos o más técnicas de diagnóstico para minimizar el riesgo de infraestadificación tumoral antes de tomar una decisión terapéutica concreta.
Hawes et al72 siguen la siguiente estrategia: tras llegar al diagnóstico de masa pancreática (generalmente mediante TC bifásica con cortes finos, o menos frecuentemente mediante USE), se realiza el diagnóstico de extensión tumoral. Como la mayoría de pacientes tienen un tumor irresecable por extensión local o enfermedad metastásica en el momento del diagnóstico inicial, la única exploración que realizan a continuación es una PAAF guiada por TC o US para obtener la confirmación diagnóstica. Si la neoplasia se considera resecable en función de los criterios de TC establecidos, indican una USE para confirmar la indemnidad de las estructuras vasculares locales, técnica que además ofrece la posibilidad de guiar una PAAF durante el procedimiento para obtener material diagnóstico. Si el tumor sigue siendo potencialmente resecable, el paciente pasa a cirugía o a quimio-radioterapia neoadyuvante, en función de la protocolización terapéutica que se siga. Si en la USE se detectan signos de tumor localmente avanzado, y por ello irresecable, recomiendan tratamiento con quimio-radioterapia o gemcitabina. Los pacientes con enfermedad metastásica son tratados con quimioterapia sistémica.
Clarke et al8,72 utilizan como primera exploración la US abdominal en pacientes con sospecha de cáncer de páncreas, siendo la única exploración requerida en tumores diseminados. Cuan do la enfermedad está confinada al páncreas indican una TC helicoidal bifásica para determinar la extensión neoplásica local. Los autores consideran que la RM es una alternativa útil, aunque tan sólo aplicable en centros especializados que dispongan de un equipo de altas prestaciones. La información que ofrecen estas pruebas permite tomar una decisión terapéutica en la mayoría de casos. En los pacientes con indicación de descompresión de la vía biliar, recomiendan la realización de una colangiopancreatografía retrógrada endoscópica (ERCP) para colocar un stent endoluminal. Los autores utilizan la USE o la PET únicamente en casos muy seleccionados. Debido a que la precisión diagnóstica de la TC es muy superior en predecir la irresecabilidad que la resecabilidad, abogan por realizar una laparoscopia o una ultrasonografía laparoscópica en pacientes con mayor riesgo de enfermedad irresecable, siendo esta indicación evaluada de forma arbitraria y discutida en cada caso.
Algunos autores han evaluado, en función de criterios de coste-eficacia, la mejor estrategia de métodos de imagen para precisar la resecabilidad tumoral. McMahon et al73 diseñaron un modelo hipotético de decisión para calcular el coste y la eficacia (referida a supervivencia) en un grupo de pacientes con el diagnóstico o la sospecha diagnóstica de cáncer de páncreas. Concluyen que la realización de una TC como primera prueba de imagen, seguida de una laparoscopia y una ultrasonografía laparoscópica, constituyen la secuencia de técnicas de diagnóstico que permiten una adecuada actuación terapéutica al menor coste en la mayoría de escenarios.
Soriano et al32 evaluaron de forma prospectiva la eficacia de varias estrategias basadas en USE, TC, RM y angiografía en la estadificación y predicción de la resecabilidad del cáncer de páncreas en 62 pacientes consecutivos intervenidos. La TC fue la técnica con mayor precisión diagnóstica y mayor valor predictivo negativo, mientras que la USE y la angiografía tuvieron el valor predictivo positivo más alto. Al no coincidir los mejores valores predictivos positivos y negativos en una única técnica diagnóstica, aconsejan la combinación de, como mínimo, dos de ellas. Según los datos obtenidos a partir de cada una de las pruebas diagnósticas efectuadas, la mayor eficacia diagnóstica se hubiera conseguido empleando como técnica inicial la TC seguida de la USE, o la USE seguida de la TC. Esta combinación de técnicas hubiera permitido una correcta clasificación tumoral en el 87% de los pacientes, tan sólo en un 11% de los casos se hubiera detectado enfermedad irresecable en el acto quirúrgico, mientras que el 2% de los pacientes hubieran sido excluidos de la cirugía a pesar de tener una neoplasia resecable. Basándonos en estos resultados se propone un algoritmo diagnóstico que se refleja en la figura 14. A pesar de que el coste de esta estrategia combinada basada en la TC y la USE es mayor que la realización de una única prueba, sí se tiene en cuenta el gasto que supone la realización de laparotomías innecesarias; la combinación descrita constituye la estrategia más rentable en términos de coste y de eficacia cuando se trata de determinar la resecabilidad tumoral.
Fig. 14.--Algoritmo propuesto para el diagnóstico y la estadificación del carcinoma de páncreas basado en la mejor relación coste-eficacia. TC: Tomografía computarizada; RM: resonancia magnética; US: ultrasonografía.
CONCLUSIÓN
No cabe duda de que hemos asistido en los últimos años a un gran adelanto tecnológico en las diferentes técnicas de imagen que nos ha permitido evaluar con mayor eficacia el problema de diagnóstico y terapéutico del cáncer de páncreas. La evolución no cesa, y con seguridad vamos a asistir a una nueva redefinición de la eficacia de las pruebas de diagnóstico por imagen en un futuro próximo. Es posible que venga de la mano de los equipos de PET/TC, empleando tecnología TC avanzada, en los que a la exquisita resolución anatómica de la TC se les añada la información funcional tisular de la PET. Hoy en día, pues, se podría decir que la estrategia diagnóstica óptima en los pacientes con sospecha de cáncer de páncreas, está aún por definir.
























