metricas
covid
Radiología Casos en imagen 4
Información de la revista
Vol. 50. Núm. 4.
Páginas 333 (Julio 2008)
Vol. 50. Núm. 4.
Páginas 333 (Julio 2008)
Acceso a texto completo
Casos en imagen 4
Case 4
Visitas
3573
AJ. Revert Venturaa, L Adriana Escobar Hoyosa, J. Jornet Fayosa, A. Cremades Mirab
a Servicio de Radiología. Hospital de la Ribera. Alzira. Valencia. España.
b Servicio de Anatomía Patológica. Hospital de la Ribera. Alzira. Valencia. España.
Este artículo ha recibido
Información del artículo
Texto completo
Descargar PDF
Estadísticas
Figuras (3)
Mostrar másMostrar menos
Texto completo

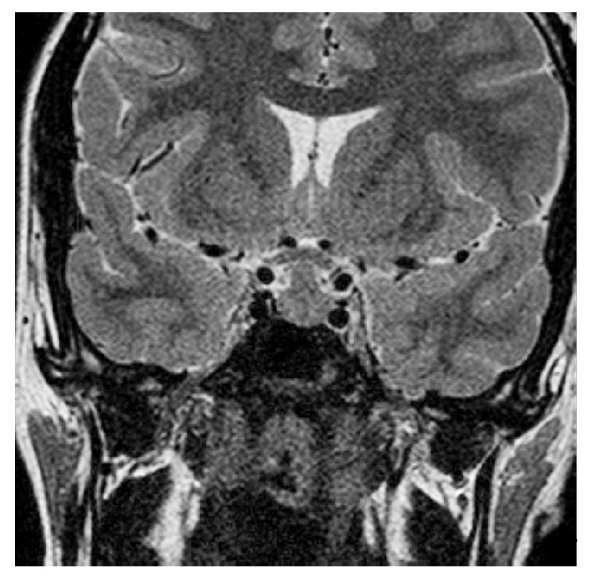
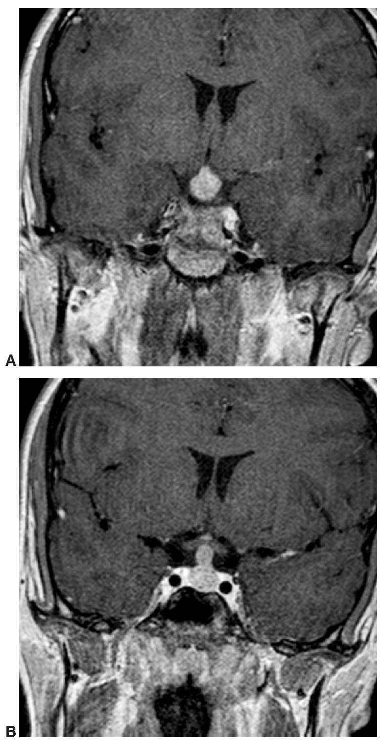
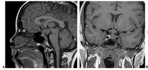
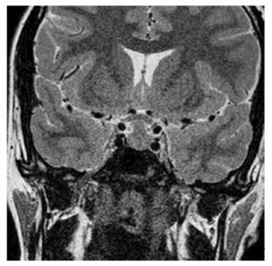
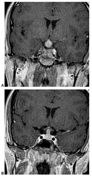
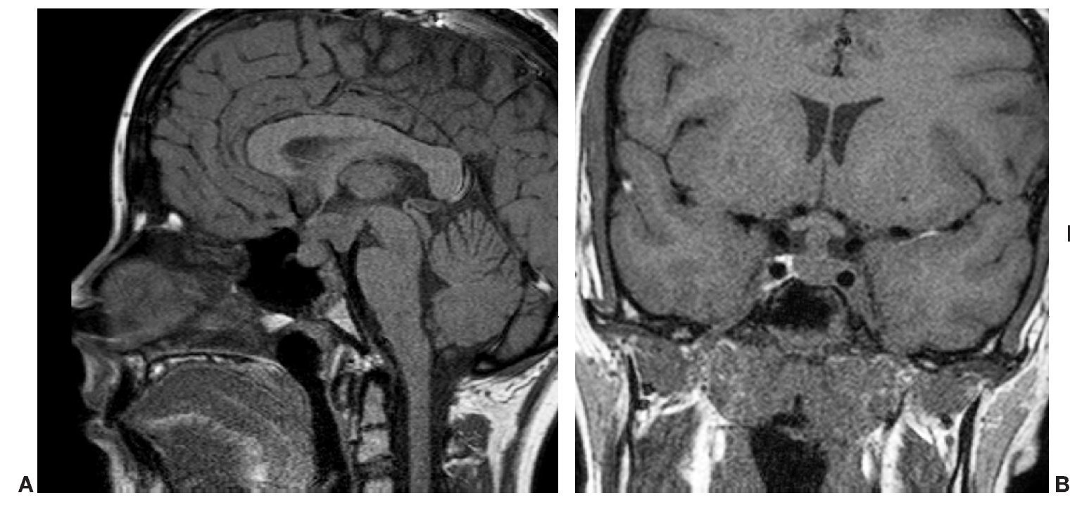
Paciente varón de 14 años de edad, con talla baja y panhipopituitarismo.

Fig. 1.

Fig. 2.

Fig. 3.

Comentario en las páginas 339-40

Descargar PDF