metricas
Sugerencias
Radiología Casos en imagen 3
Información de la revista
Vol. 50. Núm. 4.
Páginas 332 (Julio 2008)
Vol. 50. Núm. 4.
Páginas 332 (Julio 2008)
Acceso a texto completo
Casos en imagen 3
Case 3
Visitas
10014
I. Delgadoa, A. Rovira Golsa, C. Martín Martíneza, MR. Escodab
a Servicio de Radiodiagnòstic. UDIAT. Institut Universitari Parc Taulí-UAB. Corporació Parc Taulí. Sabadell. Barcelona. España.
b Servicio de Neuropatologia. UDIAT. Institut Universitari Parc Taulí-UAB. Corporació Parc Taulí. Sabadell. Barcelona. España.
Este artículo ha recibido
Información del artículo
Texto completo
Descargar PDF
Estadísticas
Figuras (4)
Mostrar másMostrar menos
Texto completo

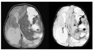
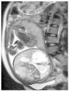
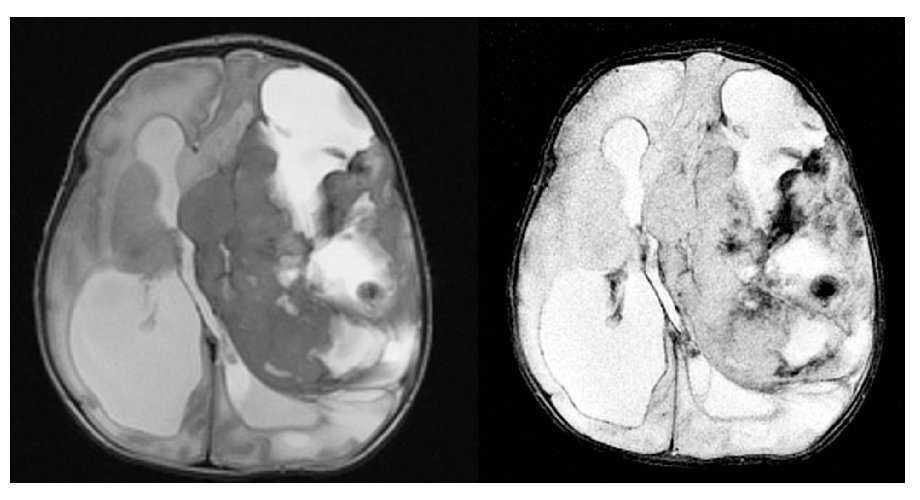
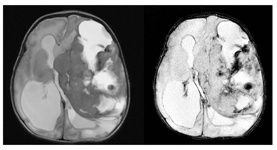
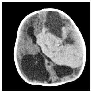
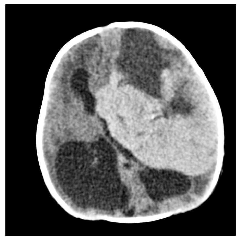
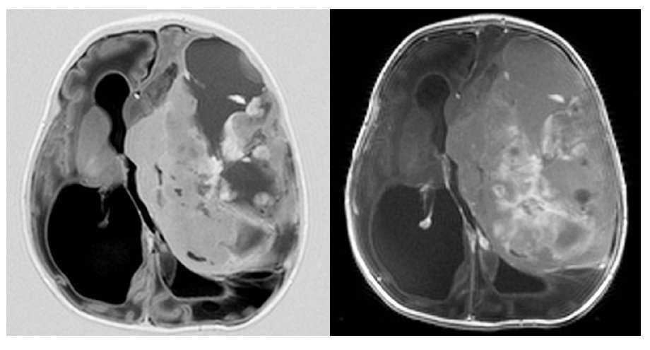
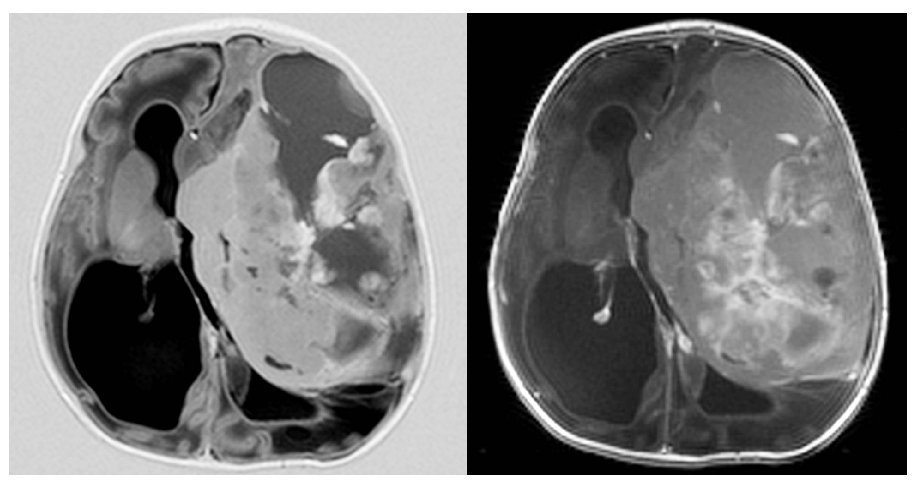
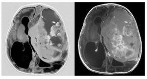
Gestante en el séptimo mes del embarazo. En ecografía de control se detecta hidrocefalia.

Fig. 1.

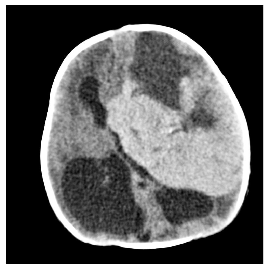
Fig. 2.

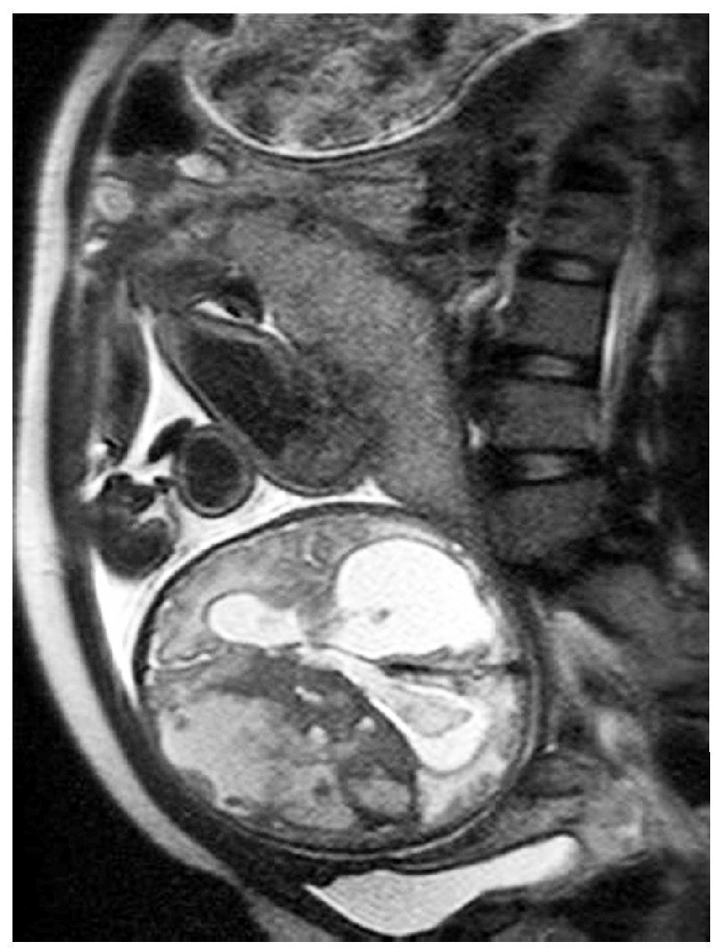
Fig. 3.

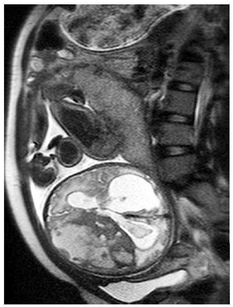
Fig. 4.

Comentario en las páginas 337-8

Descargar PDF