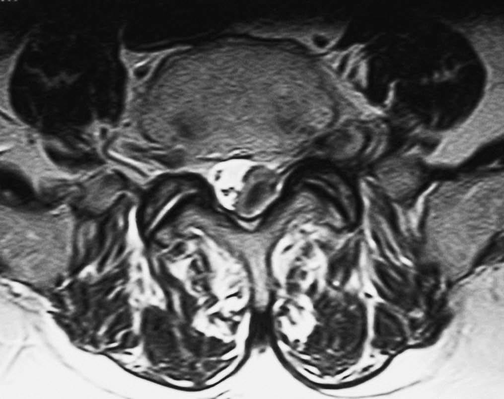
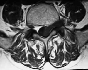
Fig. 1--RM secuencia TSE pT2. Corte axial. Lesión en canal, foramina y espacio extraforaminal con "morfología en reloj de arena". La raíz nerviosa correspondiente se aprecia separada de la hernia en el espacio extraforaminal. Respecto al músculo psoas la periferia de la lesión es discretamente hiperintensa y su centro isointenso.
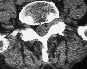
Fig. 2--TC sin contraste. Corte axial. Lesión en margen lateral del canal, foramina y espacio extraforaminal, con pequeña burbuja de gas en su interior. No se aprecian erosiones óseas.
Fig. 3.--RM secuencia SE pT1. Corte axial. Lesión en canal, foramina y espacio extraforaminal isointensa con respecto al músculo.
Fig. 4.--RM secuencia SE pT1 con supresión grasa espectral, tras administración de gadolinio intravenoso. Corte axial. La lesión presenta realce marginal compatible con la presencia de tejido cicatricial o de granulación perilesional. El centro no presenta realce.
Varón de 77 años con lumbociatalgia izquierda de tres meses de evolución. Se practica tomografía computarizada (TC) y resonancia magnética (RM) de columna lumbar.








