Introducción
Los dientes jóvenes se diferencian de los viejos, de la misma manera en que las personas jóvenes se diferencian de las viejas. Así, por ejemplo, los dientes jóvenes poseen una capa de esmalte gruesa y son más bien opalescentes. También la fluorescencia es más acusada en los dientes jóvenes. En los dientes de personas de edad avanzada sucede a la inversa. Con la edad se altera el color dental natural: éste adopta tonalidades cromáticas más intensas. En la sustancia dental dura tiene lugar un proceso de remodelación totalmente natural. Además, a lo largo de los años los ácidos absorbidos a través de los alimentos y la saliva actúan sobre la superficie del diente. Éstos disuelven sustancias minerales del esmalte, la superficie del diente pierde grosor y la dentina, con su efecto colorante, pasa a un primer plano.
Influencia de la edad sobre la estructura de los dientes
Para el odontólogo y el protésico dental es importante conocer y tener en cuenta las influencias de la edad sobre la forma y el color de los dientes durante la planificación de la restauración dental, a fin de poder asesorar correctamente al paciente durante su realización. Algunos criterios importantes en el tránsito desde el diente joven al viejo son:
¿ La capa de esmalte pierde grosor: desgaste de los bordes incisales por abrasión, menor riqueza de detalles en la estructura de la superficie, superficies de esmalte lisas. Estas alteraciones influyen en el grado de claridad de los dientes.
¿ El cierre («obliteración») de los túbulos dentinarios provoca que la dentina adquiera una mayor translucidez. Esta «dentina translúcida» determina en última instancia el color básico del diente. El color también puede verse perjudicado por diversos factores químicos y físicos.
¿ La formación de dentina secundaria conduce a la disminución de tamaño de la cavidad pulpar, el color dental recibe más saturación cromática, el tono cromático se vuelve más ambarino.
¿ La desaparición de la pulpa coronaria, estrechamente relacionada con la formación de dentina secundaria, conduce a grandes alteraciones del color dental.
Estas alteraciones debidas a la edad hacen que el diente sea más transparente, y al mismo tiempo su color aparece más saturado y oscuro. Para el protésico dental, esto significa que la cerámica utilizada debe ofrecer la posibilidad de reproducir estas alteraciones características.
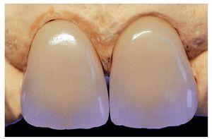
Los casos presentados muestran las posibilidades que ofrece la nueva metalocerámica VITA VMK Master (Vita Zahnfabrik, Bad Säckingen, Alemania) al protésico dental para abordar todos estos rasgos específicos de la edad y aplicarlos en su labor diaria (fig. 1).
Fig. 1 (página opuesta). Un incisivo confeccionado con la metalocerámica VITA VMK Master.
La estratificación
Siguiendo las recomendaciones de Vita acerca de la estratificación de la cerámica, se estratificaron dos incisivos centrales superiores para una dentición joven y una vieja. A fin de ilustrar las diferencias tanto durante la manipulación de la cerámica como en los resultados, se confeccionaron las coronas sobre el mismo modelo.
Estratificación de dentina
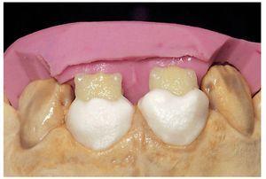
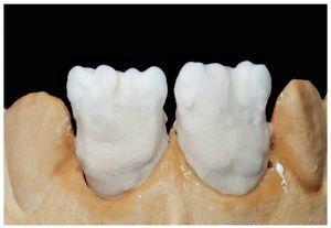
Para acentuar la fluorescencia se utilizan masas LUMINARY. Dado que la dentina de un diente joven posee una mayor luminosidad, en su caso se aplica mayor cantidad de LUMINARY. Para posibilitar una mejor estimación de las dimensiones se aplica la masa con ayuda de una llave (fig. 2, a la izquierda en el marco). Ya tras la primera cocción se aprecia claramente la diferencia de intensidad cromática. El diente más viejo presenta más saturación cromática que el diente joven (figs. 3 y 4), y aparece menos claro/ luminoso.
Fig. 2. Aplicación de las masas LUMINARY. Contraposición de un diente viejo (derecha) y un diente joven (izquierda).
Fig. 3. El resultado tras la cocción de las masas LUMINARY sobre los dientes jóvenes.
Fig. 4. El resultado tras la cocción de las masas LUMINARY sobre los dientes viejos.
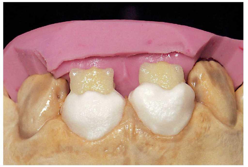
En el diente joven se aplica en el segundo paso masa DENTINE estándar en la zona cervical (fig. 5). En el diente viejo (fig. 6), para reducir el grado de saturación se mezcla en la proporción 1:1 la masa DENTINE con masa WINDOW. Para diseñar los mamelones y realzar el color en determinadas zonas se utilizan las masas DENTINE-MODIFIER.
Fig. 5. En los dientes jóvenes se aplica masa DENTINE pura en la zona cervical.
Fig. 6. En los dientes viejos se mezcla DENTINE con WINDOW en la proporción 1:1. Además se aplican masas DENTINE-MODIFIER.
Estratificación de los bordes incisales
La estratificación incisal se basa en una alternancia entre masas ENAMEL y TRANSLUCENT (fig. 7). En el borde incisal, estas masas translúcidas refuerzan la refracción de la luz por parte de la cerámica. De este modo pueden crearse reflejos luminosos cromáticos en función de la edad.
Fig. 7. Una estratificación incisal con distintas masas ENAMEL y TRANSPARENT según la edad y el resultado deseado.
A fin de imitar fisuras capilares en dientes de edad avanzada, se aplica DENTINE y DENTINE-MODIFIER en forma de láminas. En el diente viejo se aplica masa cervical adicional en la zona del cuerpo del diente, a fin de reforzar el efecto de profundidad y dotar a la corona de un color más cálido (fig. 8).
Fig. 8. A fin de alcanzar un efecto de profundidad en dientes viejos, la autora aplica masas cervicales en la zona del cuerpo del diente.
Conformación definitiva
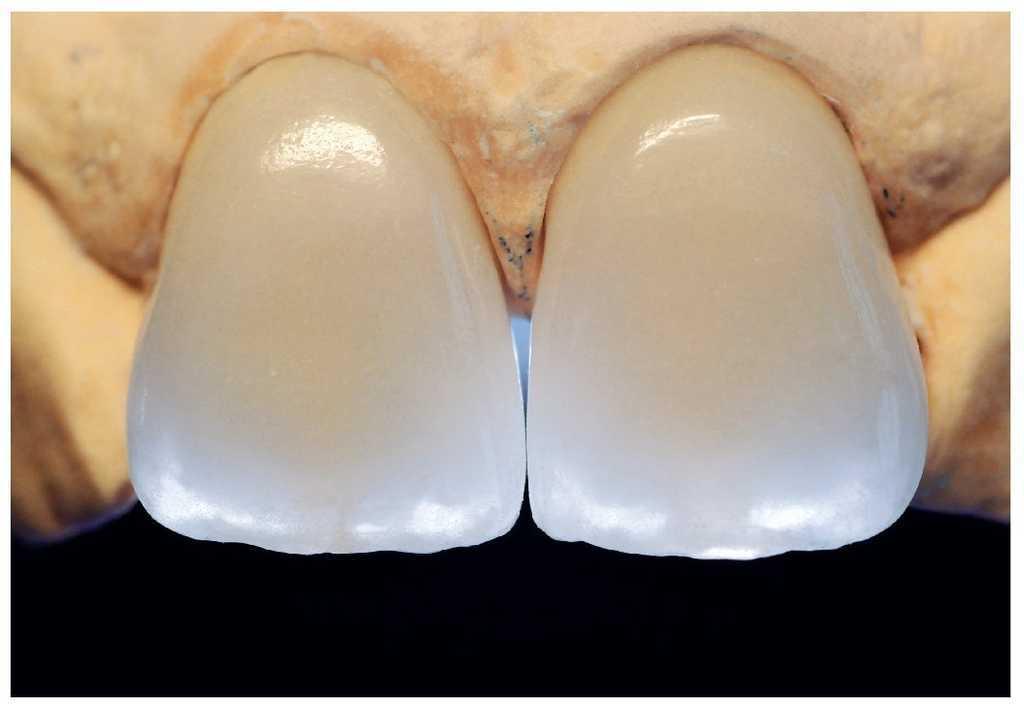
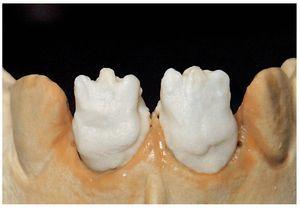
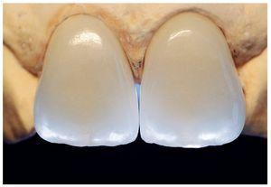
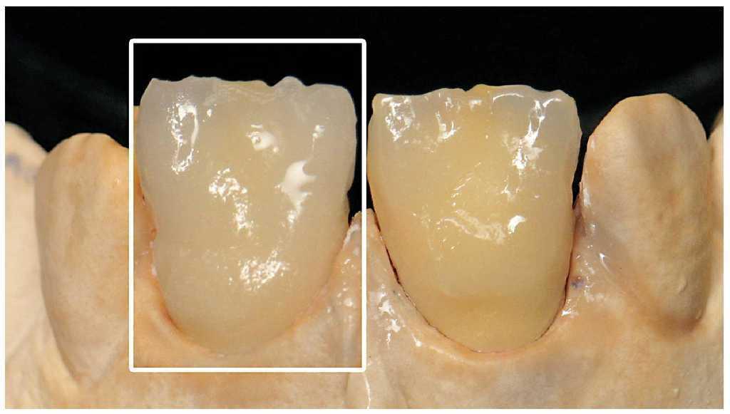
La estratificación de la forma dental definitiva puede llevarse a cabo selectivamente empleando diversas masas de efectos (TRANSLUCENT, OPAL TRANSLUCENT, PEARL TRANSLUCENT), las cuales se utilizan con arreglo a la edad del paciente y a la dentición de la boca. El diente joven es más claro y posee mayor opalescencia (fig. 9, a la izquierda enmarcado en blanco), mientras que el diente viejo es más oscuro (fig. 9, a la derecha).
Fig. 9. El resultado tras la cocción. Contraposición de un diente viejo y un diente joven: enmarcado a la izquierda el diente joven más claro; a su derecha, el diente viejo más transparente, de color más bien ambarino.
Utilización selectiva de las masas adicionales
Mediante las masas TRANSLUCENT se pueden imitar las más diversas transparencias del esmalte dental natural, así como zonas translúcidas tales como rebordes marginales, cuñas o tinciones del esmalte.
Las masas OPAL TRANSLUCENT son idóneas para aquellas zonas en las que deba reproducirse la opalescencia natural, especialmente en el diente joven.
Mediante las masas PEARL TRANSLUCENT pueden obtenerse, especialmente en dientes jóvenes y blanqueados, efectos de destello superficiales nacarados que aclaran el cuerpo de dentina.
Visión de conjunto de la estratificación
En el diente joven se aplica LUMINARY (LM2, LM4) para intensificar la fluorescencia. Mediante estas masas intensamente fluorescentes se puede fortalecer y regular la fluorescencia natural, sobre todo en caso de grosores de capa finos.
En el presente caso se utilizó para el diente joven masa de dentina pura, a fin de potenciar el efecto translúcido. En la zona incisal se añadieron diversas masas LUMINARY (azul, rosa, amarillento-marronáceo). Se realzaron los mamelones con masas DENTINE-MODIFIER y se completó la estratificación mediante masas WINDOW y OPAL-TRANSLUCENT-M. De este modo, se dota a los dientes de la opalescencia adecuada a su edad, apreciable también en la capa de esmalte gruesa típica de un paciente joven.
En el diente viejo se utiliza LUMINARY Orange, a fin de imitar la dentina secundaria. Se estratificaron una dentina de menor intensidad y diversas masas TRANSPARENT. En la zona incisal se aplicaron alternadamente varias masas con distintos grados de translucidez, y se introdujeron adicionalmente un par de efectos de dentina para jugar con la luz.
En la zona del cuerpo del diente se estratificaron finalmente masas TRANSLUCENT y ENAMEL, pero sin emplear masa OPAL-TRANSLUCENT, dado que la capa de esmalte es más fina en un diente de mayor edad y por lo tanto el diente es menos opalescente, pero en cambio es más transparente.
Resultado
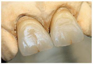
Tal como se aprecia claramente en los trabajos de corona confeccionados en paralelo, la nueva metalocerámica VITA VMK Master ofrece todas las posibilidades para crear recubrimientos cerámicos individualizados y adaptados a la edad. El completo surtido de masas adicionales permite al usuario reproducir con gran fidelidad al modelo natural (figs. 18 a 20) y de forma individualizada tanto un diente joven (figs. 10, 12, 14 y 16) con las características específicas de su edad, tales como una opalescencia pronunciada, fluorescencia y una capa de esmalte gruesa, como un diente viejo (figs. 11, 13, 15 y 17) con su proporción incrementada de dentina secundaria, su capa de esmalte reducida y sus particularidades incisales (figs. 10 a 20). Junto con la nueva guía de colores VITA Linearguide 3D-Master, que en la experiencia de la autora también facilita al odontólogo la toma del color en la consulta, el trabajo con esta cerámica es sumamente cómodo, sencillo y conduce de forma fiable a la obtención de buenos resultados (figs. 21 y 22).
Figs. 10 y 11. Dientes jóvenes (izquierda) y viejos tras la cocción.
Fig. 12. Las restauraciones cerámicas terminadas para una dentición joven.
Fig. 13. El trabajo terminado para una dentición más vieja.
Fig. 14. La refracción de la luz incidente procedente de dos fuentes de luz por parte de la cerámica (dientes jóvenes).
Fig. 15. La refracción de la luz de dientes viejos en la fotografía al trasluz.
Fig. 16. La cerámica bajo diversas fuentes de luz (dientes jóvenes).
Fig. 17. Fotografía con flash de dientes viejos.
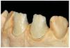
Fig. 18. Una imagen de sección a través del diente natural permite estudiar perfectamente su estructura.
Fig. 19. La imagen de sección de un diente natural, iluminado por una fuente de luz fluorescente.
Fig. 20. Estructura interna del diente con distintas fuentes de luz artificial.
Figs. 21 y 22. La toma de color con la guía de colores VITA Linearguide 3D-Master.
Correspondencia
Mme. Nathalie Reynaud.
12 rue Andre Malraux, 34760 Boujan/Libron, Francia.
Correo electrónico: brunoreymond@neuf.fr





















