Introducción
Los conceptos de tratamientos modernos brindan, utilizando la técnica adhesiva junto con materiales de restauración modernos, la posibilidad de reducir significativamente el tallado de sustancia dental dura sana. A partir de este caso clínico ilustra la rehabilitación compleja de múltiples defectos de la sustancia dental dura con cerámica sin metal y composite en un paciente joven. Sólo mediante la colaboración estrecha entre el paciente, el odontólogo y el protésico dental fue posible determinar y complementar exactamente el objetivo del tratamiento. Como medios auxiliares eficientes para la comunicación, la toma de decisiones y la posterior preparación se acreditaron el encerado, una plantilla diagnóstica así como prótesis provisionales modificables.
La situación de partida
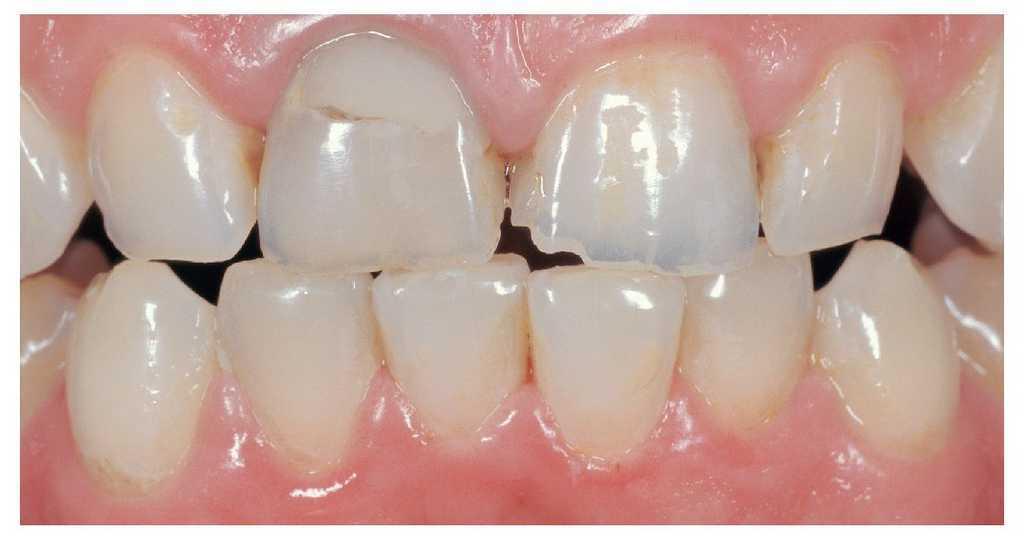
Un paciente de 28 años se presentó con el deseo de una mejora estética de la situación de los dientes anteriores. Se quejó de hipersensibilidades durante la toma de alimentos, así como de una abrasión de sus dientes observada en los últimos años y cada vez más acusada. Los importantes daños a la dentición también habían conducido ya a perjuicios funcionales (fig. 1).
Fig. 1. La situación de partida durante el control de la oclusión dinámica.
Planificación del tratamiento
Antes de la planificación definitiva del tratamiento se sustituyeron todas las obturaciones por supraestructuras de composite adhesivas (Tetric EvoFlow®/Tetric EvoCeram®, Syntac, Ivoclar Vivadent, Schaan, Liechtenstein) y se reconstruyó adhesivamente mediante una espiga reforzada con fibra de vidrio (FRC Postec® Plus, Variolink® II/Syntac, Ivoclar Vivadent) el diente 11 fuertemente dañado sometido a tratamiento endodóncico. De este modo fue posible hacerse una idea clara de la magnitud de los defectos, la calidad de los pilares y las porciones de esmalte aún remanentes.
Tras el análisis técnico en el laboratorio y clínico, así como tras ponderar posibilidades de restauración alternativas, el equipo de tratamiento y el paciente se decidieron por el siguiente plan de tratamiento:
¿ 1. Elaboración de un encerado analítico para la reconstrucción de la estética y de la función, así como su traslado a una plantilla diagnóstica
¿ 2. Determinación del material de restauración adecuado (técnica directa o indirecta) y de la forma de preparación correspondiente
¿ 3. Transferencia de la elevación de la dimensión vertical determinada mediante el encerado a una férula de descarga en el maxilar inferior (período de uso mínimo cuatro semanas)
¿ 4. Preparación de los dientes afectados bajo la guía por la plantilla diagnóstica y determinación recíproca de la relación maxilar (férula partida), así como colocación de una prótesis provisional elaborada tras el encerado en una sesión
¿ 5. Utilización de prueba de la prótesis provisional con modificaciones opcionales
¿ 6. Impresión y elaboración protésica de las restauraciones en un plazo breve
¿ 7. Prueba en boca y colocación definitiva de las restauraciones de cerámica sin metal
¿ 8. Restauración con composite de los dientes anteriores inferiores
Tratamiento previo y preparación
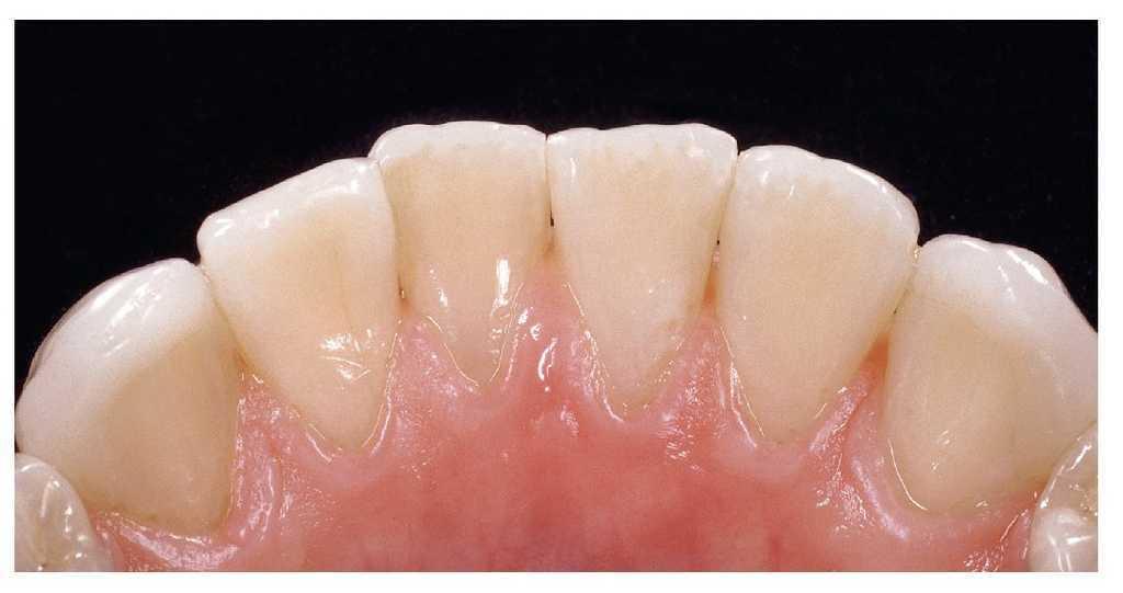
El tratamiento previo se inició con una terapia de cuatro semanas mediante una férula de descarga en el maxilar inferior. Ésta trasladó con precisión a la boca del paciente la modificación de la dimensión vertical introducida en el encerado. Fue posible reconstruir las proporciones de longitud-anchura correctas de los dientes anteriores superiores. Mediante una plantilla diagnóstico conforme al encerado, además se logró proporcionar al paciente una primera impresión del objetivo perseguido del tratamiento (fig. 2). Además, la plantilla sirvió como línea directriz durante todo el tratamiento, y también como ayuda de orientación para la preparación. De este modo fue posible un tallado muy respetuoso de la sustancia dental dura conforme al contorno exterior previsto de las restauraciones. Todas las preparaciones y la determinación de la relación maxilar se programaron para una sesión de tratamiento. En el frente dental superior debían colocarse una corona (11) y carillas. En la zona de los dientes posteriores, el equipo de tratamiento se decidió por carillas oclusales de cerámica vítrea, los denominados tabletops (figs. 3 a 5). Todas las restauraciones de cerámica sin metal fueron confeccionadas mediante el sistema IPS e.max®. Como grosor mínimo para los tabletops de cerámica de disilicato de litio inyectados de forma totalmente anatómica se estableció 1 mm. Se confeccionaron a partir de piezas brutas altamente translúcidas (IPS e.max Press HT, Ivoclar Vivadent) mediante la técnica de maquillaje.
Fig. 2. La prueba en boca de las plantillas diagnósticas proporcionó una primera impresión de la rehabilitación planificada.
Fig. 3. La preparación terminada de los dientes posteriores inferiores para las restauraciones de cerámica vítrea.
Fig. 4. Tabletops IPS e.max Press HT inyectados de forma totalmente anatómica.
Fig. 5. Los tabletops tras la colocación adhesiva.
Restauración provisional
La confección de las prótesis provisionales tuvo lugar en la clínica, con ayuda de la plantilla diagnóstica reutilizable varias veces y de un material de restauración provisional basado en Bis-GMA. A fin de obtener una mejor estética, durante la confección de las prótesis provisionales para los dientes anteriores superiores se aplicó por capas adicionalmente un composite translúcido fotopolimerizable (Tetric EvoCeram®, color T) en la zona del borde de incisal de la plantilla. En la zona de los dientes posteriores se dejaron ferulizados los onlays provisionales poco retentivos. La fijación provisional de las prótesis provisionales confeccionadas directamente se llevó a cabo mediante adhesión (Heliobond) sin grabado ácido previo de la sustancia dental dura.
Prueba en boca y colocación
Para el control de la conformación y la coloración se probaron en boca las restauraciones con gel de glicerina coloreado (pasta Try-in, Variolink® II y Variolink® Veneer). En cambio, para la comprobación de la calidad del sellado marginal y la primera comprobación cuidadosa de los contactos de oclusión estáticos y dinámicos se utilizó una masa de silicona A de baja viscosidad.
Para la colocación definitiva se grabaron durante 20 s con un gel de ácido fluorhídrico (< 5% IPS Ceramic Etching Gel, Ivoclar Vivadent) las superficies internas de las restauraciones de cerámica vítrea y a continuación se silanizaron (Monobond-S, Ivoclar Vivadent). Por el lado del diente se utilizó exclusivamente el sistema adhesivo para dentina Syntac. Para la fijación de la corona anterior de cerámica vítrea 11 se utilizó un composite de fijación de fraguado dual y baja viscosidad (Variolink II Base y Variolink II Catalyst, color 110). Todas las carillas y los onlays preparados oclusalmente fueron colocados exclusivamente mediante fotopolimerización, empleando únicamente Variolink II Base o Variolink Veneer. Para el fraguado definitivo se utilizó una lámpara de polimerización potente (nueva bluephase® con > 1.200 mW/cm2) (figs. 6 y 7).
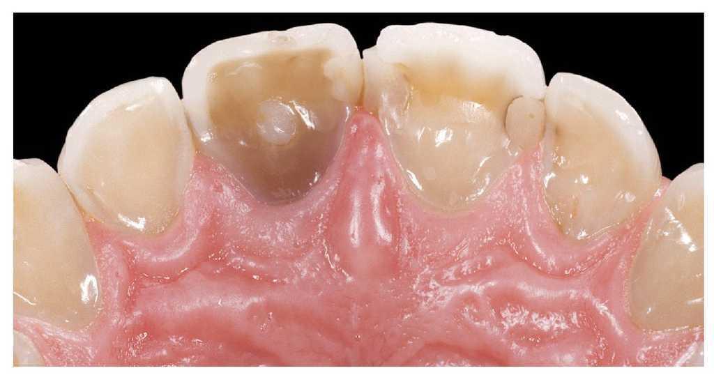
Fig. 6. Vista palatina de los dientes anteriores superiores fuertemente desgastados (situación inicial).
Fig. 7. El restablecimiento de la estética y de la guía anterior canina.
Tras la colocación de las restauraciones de cerámica vítrea y después del ajuste de precisión de la oclusión, se reconstruyeron los dientes anteriores inferiores mediante un sistema de composite muy estético y bien armonizado (Artemis® Professional Set, Ivoclar Vivadent) (figs. 8 a 11). Mediante la reconstrucción del volumen dental perdido fue posible satisfacer plenamente las expectativas estéticas del paciente (fig. 12).
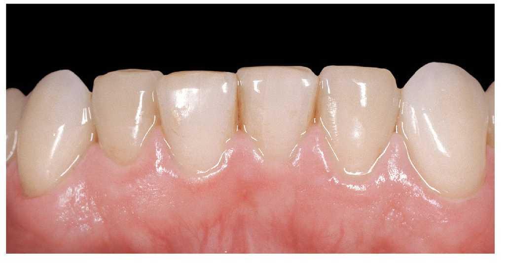
Fig. 8. Los dientes anteriores del maxilar inferior presentan abrasiones extendidas en la zona de los bordes incisales. El núcleo de dentina ya está expuesto. Todos los demás dientes ya han sido tratados con restauraciones de cerámica vítrea.
Fig. 9. La estratificación de las restauraciones de los dientes anteriores inferiores con un sistema de composite armonizado con el sistema de cerámica sin metal. Para una transición perfecta se crearon estructuras similares a mamelones en la sustancia dental dura existente. El contorno lingual se transfirió desde el encerado mediante llave de silicona.
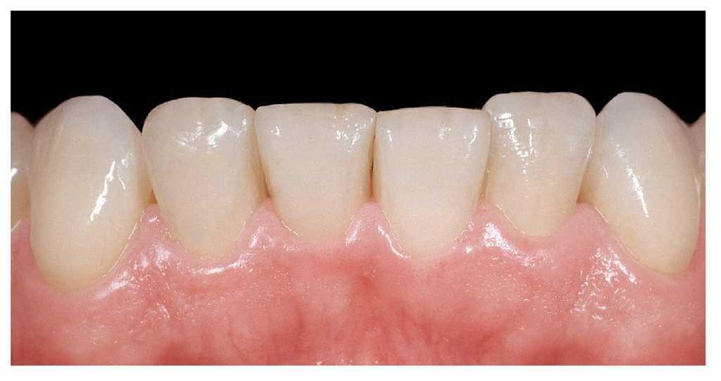
Fig. 10. La vista labial de los dientes anteriores inferiores reconstruidos mediante composite tras el ajuste de precisión de la oclusión dinámica y un primer pulido.
Fig. 11. La vista lingual de las obturaciones de composite ilustra el método aditivo y apenas permite apreciar transiciones visibles a la sustancia dental dura natural.
Fig. 12. Gracias a la modificación de las longitudes de los dientes, la línea de sonrisa presenta ahora un recorrido armonioso hacia el contorno del labio inferior.
Correspondencia
Prof. Dr. med. dent. Daniel Edelhoff.
Poliklinik für Zahnärztliche Prothetik. Ludwig-Maximilians-Universität. Goethestrasse 70, 80336 Múnich, Alemania.
Correo electrónico: daniel.edelhoff@med.uni-muenchen.de
ZT Oliver Brix.
Innovatives Dental Design. Dwight-D.-Eisenhower-Strasse 9, 65197 Wiesbaden, Alemania.
Correo electrónico: oliver-brix@t-online.de













