Introducción
En las clínicas odontológicas, el paciente informado se interesa de forma cada vez más frecuente y activa por los materiales de restauración dental blancos. La información a través de Internet, la televisión y los medios impresos ha llegado a la población y exige su tributo. A menudo, los pacientes se muestran muy insatisfechos desde el punto de vista estético con las coronas sin metales nobles costeadas por el seguro. Esto obliga a la industria dental a poner a disposición materiales de color dental que brinden al laboratorio protésico la oportunidad de ofrecer alternativas «blancas» a los metales no nobles. Una de estas alternativas se llama corona o puente monolítico de dióxido de zirconio translúcido.
Este artículo muestra la confección de coronas de dientes posteriores según el concepto ZENOSTAR-Konzept de Wieland Dental + Technik, Pforzheim, Alemania. Mediante consejos prácticos se pretende facilitar a los lectores el acceso y ayudarles a garantizar unas restauraciones básicas estéticas.
En los últimos años, con el dióxido de zirconio se ha consolidado en los laboratorios un material que no podía ni puede trabajarse con un concepto artesanal. El desarrollo del método y de los materiales ha madurado en muy poco tiempo hasta el estado actual.
Método
Entretanto, el usuario puede fresar en máquinas totalmente automatizadas, como la T1 (fig. 1) de Wieland, coronas totalmente anatómicas de dióxido de zirconio, por ejemplo a partir del material ZENOTEC Zr Bridge translúcido. A continuación pueden acabarse, utilizando por ejemplo materiales de glaseado Wieland especiales y los maquillajes pertinentes.
Fig. 1. La fresadora ZENOTEC T1.
Tras el escaneo, el usuario recibe una propuesta de diseño en el programa CAD. Por medio de las bibliotecas dentales (fig. 2) ya almacenadas en los paquetes de software o de su ampliación por el propio laboratorio, por ejemplo mediante el escaneo de encerados, dicha propuesta se transforma en construcciones de coronas y puentes totalmente anatómicas aplicando conocimientos protésicos especializados (fig. 3). A partir de una pieza bruta ZENOTEC Zr Bridge translúcida con un diámetro de 98 mm pueden fresarse aproximadamente de 20 a 30 unidades totalmente anatómicas. La ZENOTEC T1 con el mecanizado simultáneo de 5 ejes ofrece, en la experiencia de los autores, un fresado totalmente automatizado a un nivel muy elevado y ocupando poco espacio. Los parámetros de fresado están optimizados para la confección de restauraciones ZENOSTAR. Así, por ejemplo, se incorporan fácil y rápidamente fisuras utilizando fresas extremadamente finas con un diámetro de tan sólo 0,6 mm. Ya se han tenido en cuenta también los siguientes pasos de la evolución de las tecnologías digitalmente compatibles. Así, mediante la T1 pueden fresarse modelos si el odontólogo facilita datos digitales procedentes de un escáner intraoral abierto.
Fig. 2. En el método CAD pueden utilizarse elementos totalmente anatómicos procedentes de la biblioteca dental preinstalada.
Fig. 3. El software ZENO-CAD permite un manejo intuitivo y guía al protésico dental por los pasos de trabajo necesarios.
Material
La utilización de materiales innovadores en el laboratorio protésico es interesante y ofrece nuevos productos a la hora de dirigirse a los clientes. Al mismo tiempo, el fabricante de productos médicos, el protésico dental, está obligado a tener en cuenta la calidad de los materiales empleados y su durabilidad. El material ZENOTEC Zr Bridge translúcido satisface todas las directrices establecidas por la ley de productos médicos alemana (fig. 4).
Fig. 4. Tres coronas confeccionadas con el material ZENOTEC Zr Bridge translúcido. El material satisface todas las directrices establecidas por la ley de productos médicos alemana.
El material presenta la siguiente composición (porcentaje en peso): dióxido de zirconio (ZrO2 + HfO2) 94%, óxido de itrio (Y2O3) 5%, óxido de aluminio (Al2O3) < 1%, otros óxidos < 1%. La excelente translucidez se consigue mediante un proceso coordinado y optimizado desde la fabricación del polvo, pasando por la conformación, hasta el proceso de sinterización (fig. 5).
Fig. 5. La excelente translucidez del material ZENOTEC Zr Bridge translúcido se consigue mediante un proceso coordinado desde la fabricación del polvo, pasando por la conformación, hasta el proceso de sinterización.
Aplicación práctica
En la aplicación práctica se describen dos procedimientos distintos en sendas coronas molares. Las preferencias y los puntos fuertes personales de cada protésico dental desempeñarán un papel en el tipo de procedimiento.
Consejo: Es esencial pulir manualmente todas las superficies de masticación de las coronas y los puentes ZENOSTAR, utilizando un cepillo de pelo de bisonte y un poco de pasta de pulido de diamante. Esto es muy importante, ya que sólo mediante este pulido manual se logra que las coronas y los puentes monolíticos presenten valores de abrasión bajos en el antagonista. El requisito para ello es una superficie lisa.
Un estudio de simulación de la masticación* todavía no publicado de la Universidad de Zúrich ha confirmado el escaso efecto abrasivo de las restauraciones ZENOSTAR sobre el material cerámico y el antagonista.
* El estudio de la simulación de masticación ha comparado la corona ZENOSTAR con el diente natural, con una corona sin metales nobles y el recubrimiento de una estructura de dióxido de zirconio. El ensayo se llevó a cabo con 6 cuerpos de ensayo, los cuales fueron sometidos a carga con una fuerza de 50 Newton y durante más de 1,2 millones de ciclos en un medio acuoso con cambio de temperatura. Los 1,2 millones de ciclos equivalen a una duración de utilización de 5 años. En esta simulación pudo demostrarse que la corona ZENOSTAR pulida presentaba la menor abrasión del material y asimismo causaba el menor grado de desgaste en el antagonista. Este estudio ha confirmado asimismo que es imprescindible el pulido. En consecuencia, debe procurarse siempre obtener una superficie oclusal lisa. Con ZENO STAR Magic Glaze resulta posible aplicar la capa de glaseado sobre una superficie pulida lisa sin que se contraiga o en el borde ni se desprenda1.
Procedimiento 1
Tras el proceso de fresado se desbastan las espigas de sujeción y, si fuera preciso, se repasa por oclusal la superficie masticatoria empleando los instrumentos correspondientes para el tratamiento del dióxido de zirconio en estado parcialmente sinterizado (fig. 6). A fin de facilitar el trabajo y lograr fácil y rápidamente un mayor grado de croma, Wieland ha desarrollado los líquidos de coloreado ZENOSTAR Color Zr. Los líquidos se infiltran en las coronas o los puentes monolíticos mediante un pincel de plástico antes de la cocción de sinterización. Están disponibles los 16 colores dentales, así como 5 colores de efecto para la individualización del trabajo.
Fig. 6. Si se desea, se puede refinar adicionalmente la superficie oclusal empleando los instrumentos correspondientes para el tratamiento del dióxido de zirconio en estado parcialmente sinterizado.
Consejo: Los líquidos de coloreado han sido especialmente desarrollados para el concepto ZENOSTAR. Si se desea un mayor grado de croma, de este modo el usuario obtiene su color básico ya antes del proceso de maquillaje y glaseado. La ventaja reside en el hecho de que posteriormente son necesarias menos cocciones de maquillaje. ZENOSTAR Color Zr presenta colores vivos y cromáticos.
El procedimiento es sencillo. Los líquidos de coloreado ZENOSTAR Color Zr se toman con un pincel de plástico en función del color dental deseado y se aplican en ciclos alrededor del diente en los puntos deseados. El líquido es absorbido inmediatamente por la pieza bruta (fig. 7).
Fig. 7. Los líquidos de coloreado ZENOSTAR Color Zr se toman con un pincel de plástico y se aplican en ciclos alrededor del diente en los puntos deseados.
Consejo: Al principio puede resultar irritante el hecho de no poder apreciar los líquidos de coloreado. Después de haber confeccionado algunas coronas, el usuario desarrolla muy rápidamente una sensibilidad para la correcta aplicación.
El líquido se aplica también mediante ligeros toques en la fisura central. De este modo ya están coloreadas las zonas más profundas.
A fin de trabajar de forma aún más personalizada, están disponibles cinco colores de efecto. Antes de la sinterización se secan previamente los objetos siguiendo las instrucciones de trabajo. Tras el proceso de sinterización puede procederse al pulido, el glaseado y el maquillaje, tal como se describe en el procedimiento 2 (fig. 8).
Fig. 8. Tras el proceso de sinterización se observa la coloración cálida de la corona ZENOSTAR, la cual está ahora preparada para el proceso de maquillaje.
Procedimiento 2
En el caso de la corona totalmente anatómica fresada a partir de la pieza bruta translúcida ZENOTEC Zr Bridge, es preciso desbastar la espiga de sujeción. A continuación puede sinterizarse a la máxima densidad la corona en el horno inmediatamente. Tras el proceso de sinterización y el enfriamiento, se ajusta y se comprueba el objeto sobre el modelo, y si fuera necesario todavía puede adelgazarse ligeramente el margen cervical (fig. 9). Tras la sinterización de la restauración, para el abrillantado intenso del trabajo están disponibles la pasta de pulido ZENOSTAR Polish y los cepillos de pelo de bisonte especialmente desarrollados al efecto. A continuación tiene lugar la limpieza de la corona mediante chorro de vapor. La corona monolítica ya está ahora preparada para el proceso de glaseado y maquillaje.
Fig. 9. Antes del glaseado y del maquillaje se pule manualmente la corona ZENOSTAR, de modo que el diente antagonista en boca esté protegido contra la abrasión.
Consejo: En la práctica se ha acreditado el siguiente procedimiento: ya antes del maquillaje, se rocía la corona con ZENOSTAR Magic Glaze y se cuece (figs. 10 y 11). Después de esta cocción de glaseado, es posible que todavía sean visibles algunas pequeñas burbujas superficiales. Éstas desaparecen con la segunda cocción de glaseado, la cual tiene lugar tras las cocciones de maquillaje (fig. 12).
Fig. 10. La superficie de la corona rociada.
Fig. 11. El detalle muestra la superficie de finura homogénea.
Fig. 12. Después de la cocción de glaseado, es posible que todavía sean visibles algunas pequeñas burbujas superficiales. Éstas desaparecen con la segunda cocción de glaseado, la cual tiene lugar tras las cocciones de maquillaje.
A continuación se procede al maquillaje y la caracterización, por ejemplo mediante fisuras, de los cuerpos de dentina empleando WIELAND X Bodystains RZ, en este caso Bodystain A, y los X Stains RZ, concretamente Stain RZ Orange, Marone, Blue y White. El maquillaje de restauraciones es actualmente una técnica con la que están familiarizados la mayoría de los protésicos. Permite obtener resultados estéticos muy satisfactorios (fig. 13).
Fig. 13. El maquillaje de la corona.
Consejo: En la corona monolítica, a menudo un menor grado de caracterización resulta en un plus de estética en la boca (fig. 14).
Fig. 14. Tras la primera cocción, la corona muestra ya el color de la dentina.
Consejo: El material Soft Tray proporciona efectos excelentes, sobre todo en las coronas individuales ZENOSTAR. Introducido en la corona como pasta de cocción líquida y posteriormente depositado sobre el soporte de cocción, se solidifica durante la cocción. Así, la corona está protegida para evitar que caiga del soporte durante el proceso de cocción, y permanece firmemente asentada sobre su base durante el resto del maquillaje. Desarrollado originalmente para inlays cerámicos, sin duda todavía puede encontrarse en algún cajón (figs. 15 y 16).
Fig. 15. La pasta de cocción líquida introducida en la corona proporciona una sujeción firme sobre el soporte de cocción.
Fig. 16. Soft Tray fue desarrollado originalmente por ejemplo para inlays cerámicos, y todavía podría encontrarse en algún cajón de cerámica.
Tras esta segunda cocción, puede comprobarse el color dental a partir de la muestra de color y armonizarse con ésta durante un paso de trabajo posterior. Una vez concluida satisfactoriamente la comprobación del color, puede procederse a la tercera cocción, la cocción final de glaseado. Simultáneamente todavía pueden realizarse incluso pequeñas correcciones del color.
Conclusión
Tras la verificación de los puntos de contacto oclusales y proximales, y la limpieza final, la corona monolítica está terminada (figs. 17 y 18).
Fig. 17. La corona precoloreada con ZENOSTAR Color Zr, tras la cocción de brillo.
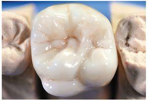
Fig. 18. Vista de la superficie oclusal acabada de la corona terminada.
En la experiencia de los autores, el concepto ZENOSTAR ofrece al usuario unas propiedades materiales óptimas y un aspecto translúcido. El material constituye una alternativa real como sustitutivo estético de las restauraciones sin metales nobles. La calidad de los trabajos requiere, desde el diseño de las superficies masticatorias hasta la individualización y el maquillaje, unos buenos conocimientos técnicos por parte del protésico dental para garantizar una prótesis funcional. Otras ventajas observadas por los autores son:
¿ las propiedades ópticas del material ZENOSTAR
¿ evitación del chipping o astillado
¿ el concepto de coloreado especialmente adaptado al material
¿ el proceso de sinterización optimizado
¿ escaso desgaste de las herramientas
¿ ahorro de tiempo
¿ resultados estéticos sin recubrimiento
El progreso técnico permite al laboratorio protésico ofrecer restauraciones de coronas y puentes de cerámica sin metal sin recubrimiento y de una sola pieza. Este tipo de restauración constituye un complemento valioso, especialmente para las restauraciones sin metales nobles utilizadas hasta la fecha.
La prótesis dental se encuentra actualmente en una fase de revolución constante y vertiginosa, cuyo final nadie es capaz de aventurar a día de hoy. Por un lado, los clientes odontológicos esperan la oferta de nuevos productos interesantes y atractivos. Por otro lado, existe una gran presión de costes. Para los laboratorios, sólo representan un factor de supervivencia en tanto que proveedores las empresas del sector dental que apoyan la prótesis dental y no se convierten en sus competidores. En este contexto, los avances que facilitan el trabajo, los materiales de alta calidad y las alternativas en cuanto a precios crean una buena base para el éxito sostenible de la prótesis dental.
Correspondencia
ZT Gilbert Gallant.
Neue Strasse 7, 61191 Rosbach, Alemania.
ZTM Dieter Knappe.
Weinstrasse 14, 76889 Schweigen-Rechtenbach, Alemania.
Correo electrónico: dieter.knappe@orange.fr



















