Introducción
Para confeccionar una prótesis completa de los maxilares superior e inferior de ajuste preciso y asiento satisfactorio, es imprescindible que el odontólogo y el protésico dental hablen el mismo idioma. Esto significa que el odontólogo y el protésico dental deben aplicar el mismo concepto. El autor aplica un concepto desarrollado durante sus décadas de colaboración con el Prof. Dr. Alexander Gutowski y el maestro en prótesis dental Michael Heinz Polz.
El odontólogo debe tener en cuenta, ya durante la primera toma de impresión funcional (impresión anatómica), la anatomía del maxilar edéntulo. Una prótesis completa sólo funciona mediante una extensión no excesivamente larga (sobredimensionada) ni demasiado corta (subdimensionada) del maxilar. Una prótesis completa funciona mediante fuerza de succión, abarcando correctamente la transición desde la extensión rígida a blanda en la zona dorsal y, más concretamente, mediante una extensión no sobredimensionada del pliegue gingivobucal. En el maxilar inferior, debe tomarse la impresión del espacio sublingual. En la zona lingual, las aletas linguales no deben pasar más de 0,5 mm por debajo de la cresta milohioidea. Si las aletas linguales fueran más largas, al masticar se expulsaría la prótesis de su posición.
El segundo aspecto más importante es la oclusión. El odontólogo debe ser capaz de realizar una determinación correcta de la relación maxilar (céntrica), a fin de poder encargar al protésico dental la confección del montaje correspondiente. También tras la confección, el odontólogo debe tomar un nuevo registro de mordida en céntrica con las nuevas prótesis, a fin de llevar a cabo un remontaje. Mediante ligeras contracciones o expansiones de los distintos materiales, los grosores se desplazarán en el rango de μm y ya no estarán en el lugar original. De ahí que sea imprescindible rectificar las prótesis conforme al concepto de oclusión de Polz (contactos A, B y C con tope de compensación y tope de cierre) antes de la colocación. Un paso importante para evitar zonas de presión por fricción.
Procedimiento
Paso 1
Confección de la cubeta funcional. Tras la confección de la primera impresión funcional se marca el margen funcional con un rotulador resistente al agua a aproximadamente 2 a 3 mm de distancia de la delimitación del margen. Con silicona amasable se configura el margen funcional, se cierra el espacio para la lengua y se vacía con yeso de impresión para que se rompa el yeso y no la cubeta (figs. 1 y 2).
Fig. 1. La impresión funcional (impresión anatómica) con un margen funcional realizado en silicona amasable (base).
Fig. 2. La primera impresión funcional vaciada en yeso de impresión.
Empleando una cuchilla X-Acto se recorta el margen funcional del modelo de yeso y se marca la extensión de la cubeta en los maxilares superior e inferior con un lápiz de dureza 8B o 9B. Ambos modelos se cubren completamente con agua y no se aíslan. La humedad basta como aislamiento, pero sólo en este paso de trabajo. Con un material autopolimerizable, p. ej. líquido y polvo Formatray (Kerr GmbH, Rastatt, Alemania), dos vasos Resimix grandes, Bechern, rodillo, placa y microfilm Formatray, se mezclan el líquido y el polvo hasta lograr una consistencia cremosa. A continuación se vierte todo desde un vaso Resimix al otro en un chorro fino y se cubre con agua, para que la resina pueda polimerizarse uniformemente. La placa y el rodillo se aíslan con microfilm. Una vez que la resina está parcialmente polimerizada en un estado viscoplástico, se extiende sobre la placa mediante el rodillo una lámina que se coloca sobre el modelo del maxilar superior húmedo y se rellena el pliegue gingivobucal. Deben eliminarse los sobrantes mediante una cuchilla X-Acto. Para el maxilar inferior se coloca sublingual y lingualmente en el pliegue gingivobucal la resina empastada en forma de caballete de tejado desde el centro de la cresta alveolar (figs. 3 y 4).
Fig. 3. La confección de una cubeta funcional.
Fig. 4. La adaptación de la resina autopolimerizable en el modelo.
Tras el endurecimiento en la olla a presión, se eliminan con una fresa para acrílico los sobrantes hasta la marca y se alivian las zonas retentivas. A continuación se aplican mediante resina fotopolimerizable (GD-Xacto-Comp según Läkamp) y bonding sendas llaves sobre los modelos de los maxilares superior e inferior, en primera instancia sólo como asa, pero de todos modos debería corresponderse ya con el recorrido de la cresta alveolar (figs. 5 y 6).
Fig. 5. El acabado de una cubeta funcional.
Fig. 6. El rodete oclusal duro colocado sobre la cubeta funcional (GD-Xacto-Comp según Läkamp).
Paso 2
Confección de modelos funcionales. Una vez que el odontólogo ha tomado las impresiones funcionales, se marca nuevamente el margen funcional con un rotulador resistente al agua, como se explica en el paso 1. En un molde de modelo, p. ej. SAM, se vierte alginato y se sumerge la impresión funcional en el alginato con el lado de la llave hacia abajo y el lado del paladar y de la cresta alveolar hacia arriba. Con ayuda de un calibre de altura se toman el centro del paladar en el maxilar superior y las aletas linguales en el inferior como calibre de altura (figs. 7 a 9).
Fig. 7. La cubeta para la confección del modelo funcional.
Fig. 8. Una tapa con imán para un Splitcas (modelo funcional).
Fig. 9. Una impresión funcional con calibre de altura hundida en alginato.
Tras su endurecimiento se recorta el alginato con una cuchilla X-Acto hasta la línea marcada del margen funcional (figs. 10 y 11). A continuación se vacía el molde con yeso superduro (Vel-Mix Stone). La tapa provista de imán se cubre también con yeso y se coloca sobre el molde. A continuación se cierra el conjunto con un sargento especial y se deja reposar hasta el endurecimiento (fig. 12). Acto seguido se retira la tapa y se procede al humedecimiento con un agente aislante yeso contra yeso (Renfert, Hilzingen, Alemania). Se coloca un portaimanes sobre el imán y si fuera preciso se vacía con yeso superduro (fig. 13). Posteriormente se coloca el modelo endurecido durante 1,5 min en un baño de agua a 58 ºC, y a continuación se levanta mediante el cuchillo para yeso la cubeta funcional y se recorta el modelo (fig. 14).
Fig. 10. Se acorta el alginato con el cuchillo X-Acto para implementar el margen funcional.
Fig. 11. La cubeta funcional ya está preparada para vaciarla con yeso superduro para el modelo funcional.
Fig. 12. Tras el vaciado se incorpora un sargento en la tapa de la cubeta para mantener la distancia correcta para el Splitcast.
Fig. 13. Se humedece con un agente aislante yeso contra yeso la tapa del modelo vaciado, a fin de vaciar el Splictast.
Fig. 14. La retirada de la cubeta funcional del modelo.
Nuevo rebase de los elementos auxiliares de registro con silicona de impresión. Se elimina por completo la silicona de la cubeta funcional y se rebasa con una silicona de viscosidad media, después de aplicar barniz adhesivo sobre los márgenes y la base. Nuevamente tan sólo se remojan los modelos. Este proceso es importante, dado que de lo contrario no podría volver a colocarse sin balanceo sobre el modelo la cubeta funcional retirada. Se rectifican los márgenes mediante una fresa afilada o un diamante grueso hasta el margen de resina (figs. 15 y 16).
Figs. 15 y 16. La cubeta funcional para el maxilar superior (15) y para el maxilar inferior (16) se rebasaron nuevamente sobre el modelo con silicona de viscosidad media, a fin de garantizar un asiento sin balanceo sobre el modelo.
Paso 3
Readaptación de la cubeta funcional para convertirla en elemento auxiliar de registro. El odontólogo ha medido mediante el pie de rey Meyding-Gutowski la antigua prótesis conforme a determinados criterios y especifica al protésico los valores reales y teóricos. A continuación se crean las llaves conforme a la especificación empleando resina fotopolimerizable (GD-Xacto-Comp según Läkamp, Schütz Dental, Rosbach, Alemania) y bonding. Se aplica el bonding para confeccionar una capa de dispersión artificial. Las resinas fotopolimerizables se unen tan sólo con una capa de dispersión. Si se aplica resina fotopolimerizable, durante el endurecimiento en estado no tallado se forma una capa de dispersión. Si se rectifica resina fotopolimerizable y se elimina la capa de dispersión, al volver a aplicar la resina fotopolimerizable -para establecer una unión- debe aplicarse una capa de dispersión artificial. Para ello se utiliza bonding. A continuación se rectifican las llaves. Se rectifica el maxilar inferior en forma de caballete de tejado y se aplican asideros para que el odontólogo pueda sujetar el elemento auxiliar de registro del maxilar inferior durante el registro.
Paso 4
Ajuste del modelo del maxilar superior tras la transferencia anatómica con arco facial al articulador de valor medio. Utilizando un elemento auxiliar de ajuste y una placa de zócalo se coloca el modelo del maxilar en el articulador mediante yeso de impresión (fig. 17).
Fig. 17. El modelo del maxilar superior articulado en el articulador mediante yeso de impresión con cubeta tras la transferencia con arco facial.
Paso 5
Asignación del modelo del maxilar inferior tras el registro céntrico en el articulador. Una vez realizado el registro céntrico, a continuación se inserta el modelo del maxilar inferior con el elemento de registro del maxilar inferior en las impresiones del maxilar superior como una llave en una cerradura. Con clavos y una pistola de pegamento Pattex se intercuspida el maxilar inferior con el superior y se ajusta nuevamente en el articulador con yeso de impresión (fig. 18).
Fig. 18. Asignación del modelo del maxilar inferior con cubeta tras el registro céntrico.
Paso 6
Readaptación del elemento auxiliar de registro para convertirlo en plantillas de estética-fonética. La modificación de los elementos auxiliares de registro es necesaria para proporcionar al protésico dental la información necesaria sobre la posición de los dientes, cómo se encuentra la mejilla en equilibrio con la lengua, cuál debe ser la posición de los dientes posteriores y cómo debe ser la parte roja de los labios. Esto proporciona, a su vez, la información sobre dónde deben situarse los dientes anteriores. Además, el protésico dental debe saber cómo debe disponerse el plano oclusal para que las prótesis no estén inclinadas en la boca. También es importante la información sobre la altura que debe tener la arcada dentaria inferior para que el paciente pueda situar correctamente los alimentos sobre las arcadas dentarias, ni los dientes inferiores ni los superiores deben resultar demasiado largos o cortos ópticamente. El protésico dental necesita todas estas informaciones para poder colocar correctamente los dientes. A continuación se completan nuevamente los elementos auxiliares de registro con resina fotopolimerizable indicando los valores especificados y se transfieren (fig. 19).
Fig. 19. La transferencia estética-fonética con control del plano de Camper y de la línea bipupilar.
A continuación, el odontólogo comprueba en boca del paciente la altura mediante la distancia de fonación e incorpora mediante un rotulador resistente al agua una marca vertical en la llave del maxilar inferior, para medir así la distancia de fonación. De esta manera puede determinar si en los sonidos F las llaves entran en contacto demasiado pronto o si la distancia es excesiva. A continuación traza la línea media. Para ello transfiere la línea media de Cupido a la plantilla del maxilar superior.
Si se divide el rostro en dos mitades, pasando por el centro de la punta de la nariz y el centro del mentón, el resultado deseado es la línea media de Cupido exacta. Para alcanzar el efecto visual ideal, se debe situar exactamente allí el centro de ambos incisivos.
A continuación se marca la línea de sonrisa, a fin de definir la longitud de los dientes y también la de la punta del canino, la cual debería encontrarse siempre en el recorrido del hoyuelo de la raíz de la nariz (fig. 20). Además, el odontólogo toma una impresión de la lengua para cerciorarse de que la lengua disponga del espacio suficiente. Todo ello se transfiere a las plantillas con un lápiz de dureza 1B o 2B. No en vano, todas estas informaciones son necesarias para comunicar al protésico dental cuál es la posición óptima para el posterior montaje de los dientes.
Fig. 20. La transferencia de todos los datos importantes, como la línea media, la delimitación incisal y el corredor bucal, con una llave de silicona amasable especial.
Paso 7
Confección de una llave de transferencia y modificación de las plantillas de estética-fonética para convertirlas en ayuda de montaje. Una vez se han transferido todos los valores a las plantillas de estética-fonética y se han ajustado en el articulador, en primer lugar se transfiere mediante silicona amasable la impresión de la lengua.
Se coloca la silicona amasable empastada en el espacio para la lengua, exactamente hasta la altura de la llave, a fin de establecer el ecuador de altura de los dientes posteriores inferiores. La silicona debería sobresalir ligeramente en la parte posterior del modelo, como retención. A continuación se aprieta la silicona amasable como una llave por labial y bucal en el maxilar inferior y se cierra el articulador, de modo que queden abarcados también los bordes incisales y las llaves laterales del maxilar superior. Una vez endurecida la silicona amasable, se abre el articulador y se recorta mediante un cuchillo X-Acto el sobrante de silicona hasta el borde incisal y para marcar el borde de los dientes posteriores por bucal. Se marca la línea media con una muesca fina en la silicona, de manera que el trabajo en su conjunto está trasladado casi como un documento. Mediante un rotulador fino resistente al agua se marcan a continuación la línea media, el borde incisal y la delimitación bucal de los dientes posteriores (fig. 21).
Fig. 21. La transferencia y la representación de los datos con un rotulador de fieltro resistente al agua.
Entonces se puede retirar la llave y la «lengua» de silicona, de modo que se ha transferido una documentación de datos necesaria para el montaje. A continuación se cortan con una fresa las paredes de resina fotopolimerizable y en función del espacio disponible también se perforan, a fin de prepararlas para el posterior montaje. Si las plantillas están perforadas, deben sellarse con cera muy caliente, de modo que las plantillas estén tan selladas que vuelvan a succionar. De este modo se ha modificado la plantilla de estética-fonética para convertirla en una ayuda de montaje. Así pues, la misma plantilla se utiliza para las siguientes funciones:
1. como cubeta funcional,
2. como elemento auxiliar de registro,
3. como plantilla de estética-fonética
4. y como ayuda funcional.
Paso 8
El montaje de los dientes. El odontólogo ha elegido la forma dental adecuada y adaptada individualmente al paciente. Para ello se utilizó un procedimiento altamente profesional: estudia fotografías del o la paciente en las que tenía entre 30 y 45 años (a no ser que el o la paciente sea aún muy joven y posea una dentición con dientes propios sin coronas ni puentes) y a continuación determina la forma del cuerpo: ¿atlético, leptosómico, pícnico o una forma intermedia? A cada persona le corresponden unas formas dentales determinadas. Con un pie de rey según el Dr. Beerendonk se mide la anchura de la base de la raíz de la nariz, dado que ésta equivaldrá al mismo tiempo a la anchura del juego de dientes anteriores. Se mide de punta del canino a la punta del canino. A continuación se aplica una llave de cera sobre la plantilla del maxilar superior desde el diente 13 al 23 y se coloca en el maxilar inferior la llave con la línea media marcada. En la llave de silicona también está reproducido el borde incisal.
En primer lugar se montan los dientes 11 y 21, totalmente en perpendicular a la base de la nariz. Los bordes incisales de los dos incisivos centrales también deben alinearse. A continuación siguen los dientes 12, 22, 13 y 23. Debe procurarse que resulte una arcada dentaria armoniosa. Si se trata de una paciente, se obtiene un resultado muy estético si el borde medial de un incisivo lateral se sitúa ligeramente por delante del incisivo central (fig. 22). El 90% de las mujeres europeas presentan esta disposición en la dentición normal. A continuación se montan los caninos en perpendicular al ángulo del ojo, de tal manera que el diente esté ligeramente rotado hacia fuera por mesial. Por distal, el canino indica el recorrido de los dientes posteriores. Es importante que el borde mesial del canino entre en el campo visual del interlocutor, para que el observador perciba conscientemente el frente e inconscientemente después los dientes posteriores. (Nota del autor: En la práctica, el odontólogo y el protésico dental se encuentran con pacientes en los que se tiene la impresión de que tienen demasiados dientes en la boca. En estos casos no se han tomado en consideración los bordes mesiales de los caninos).
Fig. 22. A continuación se lleva a cabo la adaptación de la cera en la plantilla de estética-fonética modificada.
A continuación se procede al montaje del frente dental inferior. En este caso, la distancia sagital hasta el borde incisal del frente dental superior constituye la llave, puesto que si se utilizan plantillas de estética-fonética ya se ha tenido en cuenta la distancia sagital. Si el paciente ya presentaba previamente un escalón sagital, debe presentarlo también en la prótesis completa. También en los caninos del maxilar inferior se debe procurar que el borde mesial esté ligeramente rotado hacia fuera. En el concepto de montaje aquí presentado, los dientes anteriores del maxilar inferior no deberían presentar contacto entre los dientes anteriores, pero sí los caninos. El concepto aquí presentado prevé un montaje con guía puramente canina, exactamente igual que en la dentición natural, y ningún contacto de grupo en el movimiento de laterotrusión. De ahí que también en el caso de los dientes posteriores sólo se monte hasta el primer molar y no exista curva de Spee. Pero centrémonos en el montaje: en primer lugar, se inserta de nuevo la lengua de silicona amasable, a fin de contar con la delimitación bucal y vertical de los dientes posteriores del maxilar superior. A continuación se monta el primer molar en intercuspidación correcta con el primer molar del maxilar superior y se fija por oclusal con una minigota de cera. Sólo entonces se hunde y se fija en la cera caliente de la llave de cera de montaje. A continuación se montan los primeros premolares y los segundos premolares en el maxilar inferior. El montaje debería realizarse de tal manera que el frente esté libre, y los caninos mantengan contacto con cinco grosores de shimstock y los dientes posteriores con un grosor de shimstock. (Nota del autor: Pese a lo mucho que hemos discutido sobre la conveniencia de confeccionar dientes protésicos adecuados a la edad conforme al concepto de oclusión de Heinz Michael Polz, lamentablemente no se llegó a ese punto).
A continuación se modela anatómicamente el montaje en cera y se devuelve a la consulta para la impresión de músculos y mejillas. Posteriormente vuelve al laboratorio para la confección (figs. 23a y 23b).
Fig. 23. a La prueba en cera en el paciente; b el encaje correctamente implementado en cera.
Paso 9
Confección tras la prueba en cera. Tras la prueba en cera se fijan con cera en el modelo los montajes en cera. Se humedecen los modelos con un agente aislante yeso contra yeso y se prepara la puesta en yeso. Para ello, el autor utiliza el sistema Futura-Press (Schütz Dental) (fig. 24).
Fig. 24. El equipamiento completo para la transferencia del montaje en cera en resina.
Empleando yeso superduro se procede al revestimiento de los modelos del maxilar superior e inferior en sendas mitades de cubeta. Una vez que el yeso está ligeramente solidificado, se eliminan los sobrantes de yeso hasta el margen del modelo y hasta el margen del lado interior de la cubeta, y se alisan bajo agua fría (ligero chorro de agua) y un pincel de pelo del 10 o del 12 (fig. 25).
Fig. 25. El montaje en cera en revestimiento de yeso superduro.
Cuando el yeso esté fraguado, se aplica con un bebedero de cera un canal de entrada en la parte dorsal del maxilar superior hasta la altura de los primeros molares y se hace lo mismo en el maxilar inferior por lingual en la región 6 en ambos lados. En la zona de los dientes anteriores tanto en el maxilar superior como en el superior se instala un pequeño canal de salida (fig. 26).
Fig. 26. Los canales de entrada y salida colocados para la posterior inyección de resina.
A continuación se envuelve la prótesis de cera con silicona amasable y clips de oficina de tal manera que las superficies oclusales e incisales de los dientes no estén cubiertas de silicona amasable. Es importante que permanezcan libres. Se colocan los clips de oficina hasta la mitad en la silicona todavía blanda, como retención se recomienda la unión de la silicona al yeso. Se sellan las mitades de la cubeta y se llenan con yeso superduro (importante: el yeso superduro facilita la retirada del revestimiento) (fig. 27). Una vez que el yeso está fraguado, se sitúa la mufla durante 2 min en un baño de agua calentado hasta 56 a 58 ºC y se abre. Se retiran las plantillas de montaje y la cera de montaje, se introducen los dientes desde la cubeta en un cedazo y se escaldan con agua hirviendo. A continuación, empleando un vaporizador se vaporiza cada diente y se libera de cera. Acto seguido se rugosifican los dientes empleando una piedra o un diamante.
Fig. 27. La contraparte vaciada con yeso superduro en la cubeta.
En el frente dental, el autor utiliza siempre dientes de cerámica, puesto que ofrecen una mejor transparencia y pueden modificarse mediante cocción. Esto es importante para poder configurarlos de manera adaptada a la edad. En la zona de los dientes posteriores, el autor utiliza preferentemente dientes de cerámica o de composite, en virtud de su resistencia a la abrasión.
A continuación se vuelven a adherir los dientes en la mufla con una pequeña gota de adhesivo instantáneo, en la posición lo más bucal posible junto a la silicona. Se aísla el modelo -y sólo el modelo- con aislante de alginato. Todo el exceso debe eliminarse inmediatamente empleando un pincel de pelo suave.
Cuando la película aislante esté totalmente seca, se aplica con un pincel un primer adhesivo sobre los dientes si son de composite y un primer para metal si son de cerámica. ¿Por qué opta el autor por primer para metal en dientes de cerámica? Los dientes de cerámica contienen óxidos de aluminio, y mediante el primer para metal se establece una unión química entre los dientes de cerámica y la resina.
A continuación se sellan las muflas y se mezcla la resina. El autor prefiere para ello Futura Gen rosa transparente. Futura Gen posee la ventaja de que el polímero contiene porciones polimerizadas, de modo que la contracción es algo menor que en otras resinas. La resina mezclada en el recipiente de cerámica se vierte en un chorro fino en el cilindro correspondiente, para que puedan salir las inclusiones de aire. A continuación se espera hasta que la resina esté amasada. Se dota la cubeta de un manguito para que la resina pueda ser inyectada (prensada) y sellada cuando sale por el canal de conexión (fig. 28). Al cabo de 20 min, la resina está polimerizada. Acto seguido se puede desatornillar la mufla y retirarla del yeso (fig. 29).
Fig. 28. La inyección de resina.
Fig. 29. La prótesis del maxilar superior polimerizada retirada del revestimiento tras la inyección.
Antes de retirar la prótesis del modelo, es preciso confeccionar un zócalo de remontaje. El protésico dental coloca el modelo en el Splitcast de nuevo en el articulador y ajusta el perno de apoyo a 0. En un vaso de plástico (vaso para sillón de tratamiento) se acorta con unas tijeras normales la altura de la tapa del vaso y a continuación se coloca sobre un zócalo Quicksplitt y se llena de yeso para impresión. Cuando el yeso está duro, se protegen con silicona amasable las superficies oclusal e incisal de la prótesis del maxilar superior, para de este modo ahorrar al paciente y al odontólogo un paso de trabajo y tiempo de tratamiento. La prótesis terminada se coloca de nuevo en el articulador en relación con el cráneo.
Tras el pulido se alivian con silicona amasable las zonas retentivas tanto en el maxilar superior como en el inferior y se cierra con silicona amasable el espacio para la lengua. A continuación, mediante yeso para impresión se confeccionan sendos modelos de remontaje de los maxilares superior e inferior. En estado blando se coloca como retención una lámina alveolada. Con ayuda de un zócalo de remontaje de la prótesis del maxilar superior y del modelo de remontaje, se vuelve a articular en relación con el cráneo mediante yeso para impresión (figs. 30 y 31).
Fig. 30. Las zonas retentivas aliviadas con silicona amasable en la prótesis y el aliviado del espacio para la lengua en el maxilar inferior para la creación del modelo de remontaje.
Fig. 31. La nueva articulación del maxilar superior en relación con el cráneo en el zócalo de remontaje para el remontaje.
Finalmente, se retiran del modelo las prótesis ya inyectadas y se procede a su acabado con una fresa, una fresa esférica (cono invertido), una fresa de fisura muy fina, papel de lija y soporte de lija (fig. 32). Del diente 14 hasta el 24 no se efectúa abrillantado intenso.
Fig. 32. El pulido de las prótesis.
Paso 10
Maquillaje del frente dental. Empleando una fresa Stippling, esto es, una semiesfera ligeramente acodada, se trabaja el frente dental acabado prepulido para dotarlo de una ligera piel de naranja, ejecutando movimientos ligeramente circulares y a un régimen de aproximadamente 6.000 revoluciones. A continuación se limpia el frente de resina y se seca mediante chorro de aire. Utilizando un pincel de pelo, se aplica primer del sistema PCS de Läkamp sobre el frente dental y se fotopolimeriza durante un minuto. A continuación se toman del surtido los colores rojo, blanco, azul y marrón (fig. 33) y se agitan enérgicamente para mezclarlos bien. Estos colores no son convencionales, sino composites coloreados sin relleno, y en consecuencia son aún más resistentes a la abrasión. El rojo se aplica en dos capas finas sucesivas y se fotopolimeriza cada capa durante un minuto. Acto seguido se aplica el blanco dos veces y se fotopolimeriza asimismo durante un minuto. Acto seguido se aplica una vez el azul y una vez el marrón y posteriormente se incorporan con rojo pequeños y sutiles vasos capilares. A fin de reproducir el modelo natural, se pueden incorporar también pequeñas hendiduras de Stillmann. El lema del autor en este sentido es el siguiente: crear arte sin que se note que es arte. A continuación se deja endurecer el conjunto nuevamente durante un minuto. Acto seguido se aplica transparente dos veces y se fotopolimeriza durante 9 min. Lo importante en este procedimiento es utilizar en primer lugar rojo, a fin de cubrir la resina rosa transparente, y posteriormente trabajar con blanco. Pero ¿por qué se deberían utilizar otros colores distintos al rojo, como p. ej. blanco?
Fig. 33. El sistema PCS-Color según Läkamp para la estética roja.
Si se observa cómo trabaja un periodoncista por ejemplo durante una intervención quirúrgica, se observa que, cuando la encía no está irrigada, parece tener un color rojiblanco ligeramente azulado. Cuando remite la anestesia y la encía vuelve a estar bien irrigada, recupera su color natural y tiene un aspecto blanquiazul, rojo y marrón. De ahí que el autor utilice por ejemplo también el color marrón.
Tras el endurecimiento del color transparente se libera de la capa de dispersión el frente dental utilizando el Cleaner del sistema PCS, a continuación se alisa con piedra pómez y finalmente se procede al abrillantado intenso con un disco de abrillantado (fig. 34). Posteriormente se limpian a fondo las prótesis. Se aplica un poco de GC Bite Compound (GC Germany, Múnich, Alemania) sobre las superficies de masticación y los caninos del maxilar inferior. En la zona de los primeros y segundos premolares se incorporan los asideros mediante resina fotopolimerizable y bonding. Ahora pueden entregarse al odontólogo las prótesis para su remontaje.
Fig. 34. La estética roja individualizada.
Paso 11
Remontaje. Antes de la inserción de la prótesis debería llevarse a cabo un remontaje, dado que debido a la contracción de polimerización se producen ligeras alteraciones de la oclusión. Esto puede corregirse mediante el remontaje. Al cabo de unos días debería repetirse este proceso, dado que vuelven a aparecer trastornos de la oclusión apreciables cuando las prótesis se han asentado en la mucosa. Si pese a ello continuaran apareciendo zonas de presión al cabo de un tiempo, por regla general se trata de zonas de presión por fricción. Esto ocurre muy a menudo en crestas alveolares atrofiadas o crestas blandas. En tales casos conviene tomarse la molestia de remontar por tercera vez. Sin remontaje, las prótesis completas tienen menor calidad funcional.
Una vez que el odontólogo ha registrado nuevamente una céntrica en el paciente, se asigna el maxilar inferior al superior y se ajusta en el articulador. Para ello se procede como sigue: se vuelven a colocar las prótesis sobre el modelo de remontaje y se adhieren al modelo mediante adhesivo Pattex. A continuación se coloca el maxilar inferior en las impresiones del maxilar superior y se adhieren mediante adhesivo termofusible los clavos doblados. Acto seguido se articula el maxilar inferior mediante yeso de impresión o de articulación. El maxilar superior ya se había colocado en el articulador en relación con el cráneo con ayuda del zócalo de remontaje. A continuación se procede a un control de Splitcast sin retirar el encaje. Ahora ya no pueden retirarse las prótesis del articulador. Se abre el encaje, pero las prótesis continúan fijadas al modelo. A continuación se lleva a cabo un análisis de la oclusión.
Para ello se marca con un rotulador de fieltro resistente al agua por bucal en los dientes posteriores la posición real de las cúspides del maxilar superior, y en el maxilar inferior la posición teórica de las cúspides del maxilar inferior. Posteriormente se tallan con un pulidor para cerámica o mediante una fresa de carburo de tungsteno en forma de pera los contactos prematuros en PCR (posición de contacto retral) hasta que se alcance un contacto uniforme en toda la zona de los dientes posteriores. A continuación se controla con lámina shimstock y se tallan los contactos A, B y C. En este proceso, no debe poderse hacer pasar la lámina shimstock entre las superficies de masticación anatómicas ni tan siquiera tirando enérgicamente. Los incisivos centrales y laterales deben dejar pasar al menos cinco grosores de lámina shimstock, es decir, no deben presentar contacto. El número de grosores aumenta en situación de mordida distal. Los caninos pueden estar en contacto. Los contactos A, B y C se marcan con un rotulador de fieltro resistente al agua. Durante la corrección de contactos de excursión deben respetarse los contactos PCR. A continuación se desenroscan los tornillos de protrusión hasta que se obtenga la posición de mordida borde a borde. Acto seguido se colocan discos de protrusión en el articulador a fin de conseguir una guía de protrusión paralela. Durante el tallado debería perseguirse también el contacto en los dientes 11, 21, 31 y 41. Para ello puede tallarse tanto en los incisivos superiores como en los inferiores, pero es imprescindible tener en cuenta criterios estéticos. Los contactos prematuros en la zona de los dientes posteriores deben corregirse en las vertientes inclinadas distalmente de las superficies de masticación del maxilar superior y en las vertientes inclinadas mesialmente de las superficies de masticación del maxilar inferior. Acto seguido vuelve a atornillarse milímetro a milímetro el tornillo de protrusión. En cada fase debería producirse contacto en los dientes anteriores, el cual debe marcarse con un rotulador de fieltro resistente al agua. A continuación se colocan insertos de Bennett azules para el movimiento lateral. Se marcan los contactos con la lámina de oclusión en PCR y se trasladan con el rotulador de fieltro resistente al agua. Se ejecuta un movimiento lateral hacia la derecha y se desliza hacia la izquierda la parte superior del articulador. En este proceso, la esfera condílea izquierda debe tener contacto con el inserto de Bennett izquierdo, y la esfera condílea derecha debe moverse hacia fuera a lo largo de la pared posterior de la carcasa condílea. Los contactos en los dientes 13 y 43 deben ser lineales, eventualmente también en 14 y 44. Se eliminan todos los demás contactos. Durante el movimiento lateral hacia la izquierda se procede a la inversa.
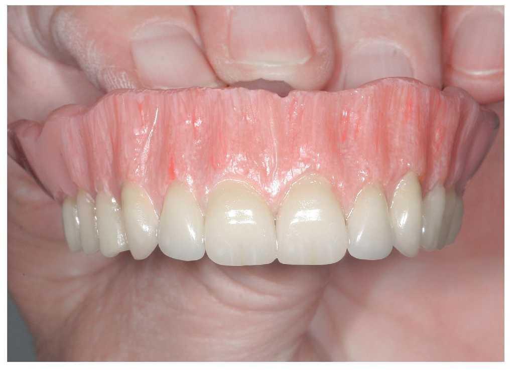
En el concepto de oclusión presentado debe conseguirse que, independientemente de la posición de movimiento de la que venga el paciente, los dientes alcancen siempre la intercuspidación, es decir, la relación cúspide-fosa. De este modo se fijan a la zona de apoyo de la prótesis las prótesis de los maxilares superior e inferior. A continuación se limpian las superficies de masticación con monómero, se lleva a cabo un control de Splictast del resultado del tallado, se retiran los asideros y se limpian las prótesis. Este procedimiento se repite de la misma manera una segunda o tercera vez. Entonces es visible en boca una perfecta adaptación a la mucosa, y las estéticas roja y blanca armonizan bien (fig. 35).
Fig. 35. La primera prueba en boca tras la confección.
Conclusión
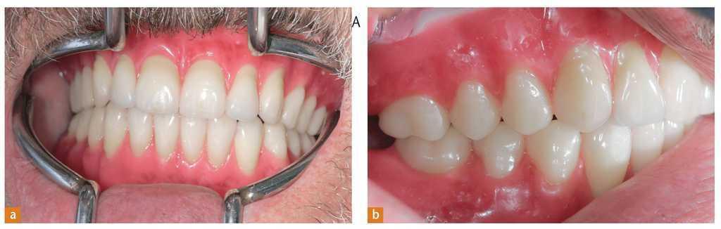
En caso de rehabilitaciones protésicas completas debería realizarse un remontaje como muy tarde cada dos años, y debe efectuarse una revisión anual. Si se implementa fielmente el procedimiento descrito en este artículo, el resultado son pacientes felices que reciben una prótesis dental no sólo funcional sino estética (figs. 36a a 37). Tenemos así un paciente satisfecho y feliz, y un protésico dental satisfecho (figs. 38 y 39): nueva calidad de vida gracias a prótesis completas perfectas.
Fig. 36. a Los contactos A, B y C marcados; b el tallado en el articulador tras el remontaje.
Fig. 37. El control de protrusión y laterotrusión tras el tallado de la protrusión y de la laterotrusión.
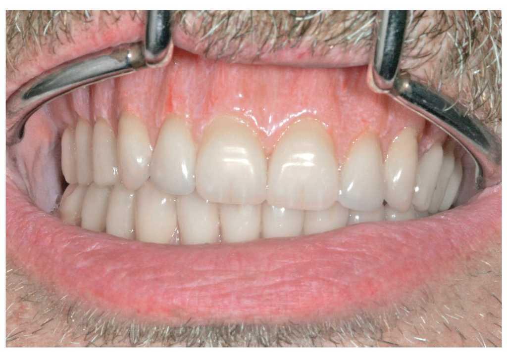
Fig. 38. El último control estético tras la colocación de las prótesis.
Fig. 39. El paciente feliz y sonriente.
Correspondencia
ZT Manfred Läkamp.
Erbdrostenstrabe 6, 48346 Ostbevern, Alemania.
Correo electrónico: Dentallabor_Laekamp@t-online.de







































