Introducción
La utilización de materiales de composite modernos posibilita una rehabilitación mínimamente invasiva, funcional y estética del diente dañado. La base de una restauración adhesiva duradera y de alto rendimiento es, además de un proceso de trabajo correcto, una configuración funcional correcta de la superficie de masticación. La oclusión estática y la dinámica deberían estar ajustadas funcional y armoniosamente entre sí. El principio de la oclusión biomecánica según el maestro en prótesis dental Michael Heinz Polz constituye el sistema más extendido para reconfigurar superficies de masticación en la prótesis dental y la odontología.
Polz adoptó la naturaleza como modelo y la estudió con detalle1. M. H. Polz examinó con el máximo detenimiento cada diente y a continuación analizó su morfología para determinar por qué está configurada de la manera en que lo está y cuál es el cometido de cada aspecto concreto. No en vano, un diente está provisto de cúspides, fisuras, crestas, etc. En sus estudios, Polz constató que, por ejemplo, los primeros premolares superiores e inferiores son principalmente responsables de la retención y el agarre de los alimentos, mientras que los segundos premolares y los molares se encargan más bien de despedazarlos y triturarlos.
En consecuencia, también en una rehabilitación conservadora debería tenerse en cuenta y reconstruirse la morfología de los distintos dientes. El material composite, además de todas sus ventajas, está también extraordinariamente indicado para el modelado de una superficie de masticación.
A partir de un ejemplo clínico se muestra la manera en que pueden configurarse restauraciones conservadoras de dientes posteriores en oclusión estática y dinámica armoniosa.
Caso clínico
Antes de iniciar cualquier restauración, es preciso hacerse una idea de conjunto exacta de la dentición y la mordida de un paciente.
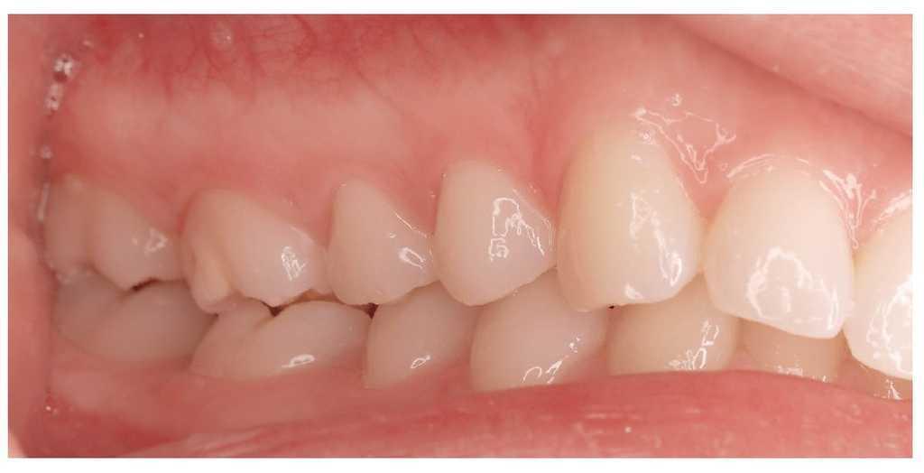
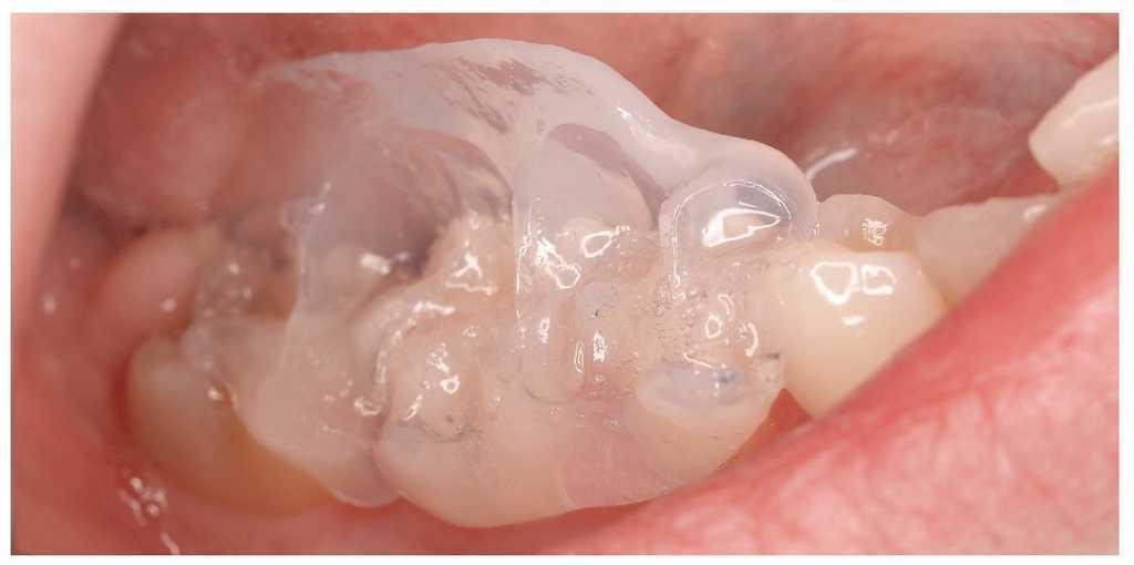
En el caso clínico aquí presentado, se trataba de una paciente con una mordida de clase I de Angle. La figura 1 muestra la vista lateral del primer y el cuarto cuadrantes. En la vista superior (fig. 2) se aprecia una obturación insuficiente en el primer molar inferior. Ésta deberá sustituirse por una obturación de composite.
Fig. 1. Vista lateral derecha.
Fig. 2. La vista superior del cuarto cuadrante muestra una obturación insuficiente en el diente 46.
Se confecciona una llave de silicona para una mejor orientación durante la configuración de las superficies de masticación. Para ello se aplica mediante jeringa un material para registro de mordida transparente (p. ej. Regofix, Dreve, Unna, Alemania) sobre la superficie de masticación, y a continuación el paciente ocluye en intercuspidación máxima (fig. 3) hasta el endurecimiento del material.
Fig. 3. La confección de la llave de silicona en intercuspidación habitual.
Esta llave permite determinar la cantidad de espacio disponible para el antagonista. En este caso, la antigua obturación era demasiado baja. Esto puede medirse empleando un calibre de dial. Además, la llave proporciona información sobre la situación de la cúspide mesiopalatina del primer molar superior (figs. 4 y 5).
Fig. 4. Vista superior de la llave de silicona.
Fig. 5. La llave de silicona.
El punto más bajo de la cúspide mesiopalatina del diente 16 (punción de sonda; fig. 6) sirve para la orientación de la situación futura de la fosa central del diente 46.
Fig. 6. La situación de la cúspide mesiopalatina en el diente 16.
Se traslada el punto más bajo al diente mediante un rotulador Edding. En paralelo al plano medial (fig. 7) se traslada a un diente adyacente el punto más bajo de la cúspide mesiopalatina, en este caso al diente 45. En ángulo recto con respecto a éste se traslada una línea a la superficie bucal (fig. 8).
Fig. 7. Vista superior de las líneas auxiliares para el posicionamiento de la fosa central.
Fig. 8. Vista bucal de las líneas auxiliares para el posicionamiento de la fosa central.
La combinación de estas dos líneas auxiliares servirá más adelante para la orientación de la situación de la fosa central.
Tras la elección del color y la anestesia se coloca directamente el dique de goma. El dique de goma (KKD Sympatic Dam, Kentzler-Kaschner Dental, Ellwangen, Alemania) se agujerea para al menos cuatro dientes, a continuación debería fijarse ya la grapa y el marco debería estar fijado al dique con espacio suficiente para entrar en la cavidad oral (fig. 9).
Fig. 9. El dique de goma preparado.
Se coloca en el diente 47 una grapa para molares, a fin de aislar de la cavidad oral los dientes 47 hasta 44 (fig. 10).
Fig. 10. Se coloca el dique de goma y se aíslan los dientes 47 hasta 44.
Acto seguido se retira la obturación y se excava el diente. Si fuera preciso, se comprueba la cavidad mediante un detector de caries (fig. 11). En este caso, el diente se reveló libre de caries.
Fig. 11. Se retiró la obturación del diente 46; el diente está libre de caries.
A continuación se prepara el diente para la unión al composite. El adhesivo para dentina utilizado es un adhesivo de tres componentes (Syntac Classic, Ivoclar Vivadent, Ellwangen, Alemania) (frasco 1: primer; frasco 2: adhesivo; frasco 3: bonding) (fig. 12). Se lleva a cabo una adhesión selectiva. Esto significa que en primer lugar se aplica el primer durante 20 s (fig. 13), manteniéndolo constantemente en movimiento. Posteriormente se seca la cavidad con aire comprimido. A continuación se aplica el adhesivo (fig. 14), el cual se mantiene también en movimiento, y finalmente se seca el diente con aire al cabo de 20 s. Después se aplica con un pincel en la cavidad una fina capa de bonding, el cual es posteriormente repartido en una capa fina y uniforme mediante aire comprimido (fig. 15). Acto seguido se debe polimerizar el bonding durante 20 s (fig. 16). A continuación se procede al biselado del esmalte mediante un diamante fino (fig. 17), en el espacio proximal; para ello se utiliza un instrumento de mano, una fresa de acabado de bordes (MF40PI, Deppler, Rolle, Suiza) (fig. 18), una de cuyas superficies no están diamantadas (superficie roja, fig. 19), a fin de no dañar el diente vecino (fig. 18).
Fig. 12. Syntac Classic es un adhesivo de tres componentes.
Fig. 13. Aplicación del primer.
Fig. 14. Aplicación del adhesivo.
Fig. 15. Aplicación del bonding.
Fig. 16. Fotopolimerización del bonding.
Fig. 17. Se bisela el esmalte utilizando un diamante fino.
Fig. 18. Biselado del esmalte en el borde proximal.
Fig. 19. Los instrumentos empleados para el biselado del borde.
A continuación se aplica una matriz abombada (Matrix, Danville, San Ramón, California, EE. UU.) y se calza con una cuña de madera. Se somete el esmalte a grabado con ácido fosfórico durante al menos 30 s (fig. 20). Después se enjuaga meticulosamente el ácido fosfórico y se seca la cavidad, antes de aplicar nuevamente bonding (fig. 21).
Fig. 20. Se coloca una matriz abombada y a continuación se somete el esmalte a grabado con ácido fosfórico.
Fig. 21. Nueva aplicación de bonding.
Se aplica el material de composite con un grosor de capa máximo de 2 mm. En este caso se utilizaron dentina Tetric Evo Ceram A 3,5 y esmalte A2 (Ivoclar Vivadent). Se calienta el material para aumentar su elasticidad y facilitar su manipulación. En primer lugar se crea una cavidad de una superficie a partir de una cavidad de dos superficies, aplicando para ello material de esmalte en la cavidad a lo largo de la matriz. Durante este proceso se debe procurar que la pared bucal no quede unida directamente a la pared lingual. Para el modelado y la aplicación del composite se han revelado ideales los instrumentos revestidos de teflón según el Prof. Krejci (fig. 22) de Hu-Friedy, Leimen, Alemania.
Fig. 22. Los instrumentos de modelado utilizados.
Una vez establecido el punto de contacto, puede retirarse la matriz (fig. 23).
Fig. 23. La confección de un punto de contacto en la superficie de masticación.
El material de dentina se aplica formando cúspides, de modo que se imite ya la forma de la superficie de masticación. En la figura 24 se observa cómo ya se ha aplicado por completo la capa de dentina.
Fig. 24. Las capas de dentina.
Acto seguido todavía se debe modelar el material de esmalte (fig. 25). Durante el proceso se debe tener en cuenta la convexidad de las cúspides. Por distal de la cresta triangular de la cúspide mesiobucal se halla una cúspide que limita hacia mesial la fosa central. La cúspide de trabajo es la cúspide bucal central. Ésta presenta una cresta triangular de forma esférica que termina en la «mochila de Polz». En ésta se encuentra un contacto central. También la cresta triangular mesiolingual termina en una mochila en la cual se encuentra un contacto céntrico. El tercer contacto céntrico se halla en la cresta triangular distolingual, la cual en este caso no está integrada en la superficie de obturación. Todos los movimientos de excursión de la mandíbula deben poder ser ejecutados por estos contactos y guiados de vuelta a éstos.
Fig. 25. La capa de esmalte.
Se retira el dique de goma y se procede al acabado y alisado de la obturación mediante un diamante fino y piedra de Arkansas. Se comprueba la oclusión y se tallan los movimientos estáticos y dinámicos. Gracias a la preparación con la llave, por lo general no son precisas grandes correcciones, ya que ante todo la fosa central se halla en la posición correcta. Se pule la obturación mediante un cepillo Okklu Brush sin refrigeración por agua.
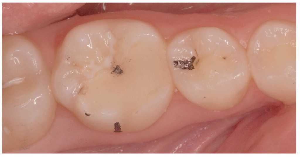
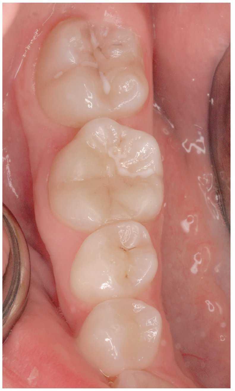
La figura 26 muestra la obturación de composite acabada con comprobación de la oclusión. Debido al trabajo con dique de goma, el diente está seco y en consecuencia el color no es perfecto. El diente se habrá recuperado al cabo de un par de días. La paciente tiene ahora una obturación de composite armonizada en oclusión estática y dinámica (fig. 27).
Fig. 26. Los contactos oclusales.
Fig. 27. La restauración de composite terminada.
Conclusión
Todo diente que vaya a reconstruirse debe haber sido estudiado con detenimiento en cuanto a su morfología, para poder configurarlo de la forma más fiel posible al modelo natural. Los principios básicos de la oclusión biomecánica son fundamentos para la configuración de una obturación.
Todo odontólogo y protésico dental debería haber estudiado la oclusión biomecánica según M. H. Polz e integrarla en su trabajo diario
Correspondencia
Dra. Julia Läkamp.
Erbdrostenstraße 6, 48346 Ostbevern, Alemania.
Correspondencia: praxis@dr-laekamp.de




























