Introducción
Existen diversos factores que pueden dañar los tejidos dentales duros. En muchos casos desempeña un papel muy importante la presencia de contactos funcionales o parafuncionales con el antagonista natural, con una restauración o con distintos alimentos21,30,56,61. En la rehabilitación protésica de gran envergadura de una dentición deteriorada, además del tratamiento de posibles DCM, hay que tener en cuenta aspectos como la relación vertical, la estética y también la elección del material correcto para restaurar el tejido dental duro6,31. En este contexto la resistencia y el color de los materiales de restauración constituyen unos criterios clave en el plan de tratamiento tanto para el paciente como para el clínico. En el pasado con frecuencia sólo se podía obtener una mayor resistencia a costa de la estética. Sin perder de vista la durabilidad ni la funcionalidad, hoy día trabajar con vistas a obtener una estética satisfactoria debería ser un criterio de decisión importante para el clínico en la planificación5,28,57-59.
En el pasado, para reconstruir las áreas de soporte oclusal de las unidades masticatorias en arcadas desgastadas por bruxismo se utilizaban a menudo restauraciones sin recubrimiento oclusal. La mejora de los recubrimientos metalocerámicos propició un mayor uso de las restauraciones de metal cerámica23,43,44. Las complicaciones más habituales en estas restauraciones eran, además de la descementación, la aparición de fracturas en la cerámica de recubrimiento25,42,48,63.
Con los sistemas CAD/CAM se abrieron nuevas posibilidades para la fabricación de prótesis fijas37,49. Desde los primeros desarrollos, no han dejado de aparecer nuevos sistemas CAD/CAM. Existen sistemas específicos para inlays, onlays, coronas, puentes y pilares de implantes. La digitalización intraoral ofrece en principio la posibilidad de fabricar directamente «en el sillón» restauraciones como carillas, inlays, onlays, coronas y puentes de pocas piezas11,18. Por otro lado, la mayoría de los sistemas efectúa el registro de datos del modelo para la fabricación indirecta de subestructuras de coronas y puentes que a continuación se dotan de un recubrimiento convencional12,13,36,47. Hasta el momento son pocos los sistemas CAD/CAM que ofrecen la posibilidad de diseñar y fabricar restauraciones con superficies masticatorias anatómicas que cumplan al mismo tiempo los requisitos biofuncionales32,34,41,64.
Además de la posibilidad de procesar bloques sinterizados, la mayoría de los sistemas realiza el fresado de cerámicas de dióxido de zirconio (principalmente Y-TZP e Y-TZP-A) cuando está parcialmente sinterizada. Los bloques utilizados en el pasado eran blancos y muy opacos, al igual que las estructuras resultantes. Ahora existe la posibilidad de infiltrar las restauraciones fresadas antes de la sinterización para dotarlas del color deseado. También se dispone de bloques coloreados previamente para algunos sistemas. Por otro lado, modificando la proporción de óxido de aluminio de la cerámica Y-TZP-A se puede influir en la translucidez. Cuanto mayor es la proporción de óxido de aluminio, mayores son también la resistencia a la flexión y la opacidad. Y viceversa, si se disminuye dicha proporción, se reduce la resistencia a la fractura y aumenta la translucidez de la cerámica49.
Ciertas mejoras notables en el software de diseño de algunos sistemas permiten integrar la relación oclusal con el antagonista en la planificación de la restauración por medio de un registro digital adicional de los registros de mordida. Así, ahora es posible fabricar restauraciones con superficies oclusales anatómicas y biofuncionales con cerámicas de óxidos de alta resistencia por medio de modernas fresadoras automáticas de cinco ejes. Con este método se pueden confeccionar restauraciones de color dentario sin cerámica de recubrimiento. Se puede llevar a cabo hasta cierto punto una caracterización maquillando a posteriori las restauraciones monocromáticas. Mues et al38 describieron este método de tratamiento tomando como ejemplo una corona unitaria de molar. Los autores desconocen la existencia de otros informes sobre la experiencia clínica en la aplicación de este tipo de restauraciones.
El objetivo del presente artículo es describir el uso de restauraciones de dientes posteriores de dióxido de zirconio biofuncionales y sin cerámica de recubrimiento durante la reconstrucción de una dentición que presenta una grave reducción de los tejidos duros dentarios. Se describen y se someten a debate los pasos necesarios para la planificación de un tratamiento de tal envergadura.
Caso clínico
Situación inicial
Un paciente de 64 años de edad acudió a la Policlínica Universitaria de Prostodoncia remitido por su odontólogo de cabecera para la rehabilitación protésica de su dentición, que presentaba evidentes muestras de desgaste. La anamnesis general no aportó datos reseñables salvo un diagnóstico de hipertensión. En la anamnesis específica se puso de manifiesto que durante la noche el paciente presentaba rechinamiento y apretamiento dentarios. En la exploración funcional no se observaron molestias musculares ni en las ATM. Sólo se constató un chasquido alternante y ocasional en las articulaciones temporomandibulares. La exploración extraoral reveló una musculatura masticatoria hipertrófica. El paciente presentaba una línea de sonrisa alta, también denominada línea de sonrisa gingival55 (figs. 1 y 2).
Figura 1. Cierre labial.
Figura 2. Sonrisa gingival debido a la elongación del segmento anterosuperior.
La exploración intraoral arrojó los siguientes resultados:
Ausencia de los dientes 18, 28 y 38
Déficit generalizado de tejidos duros dentarios por atrición, abrasión y erosión
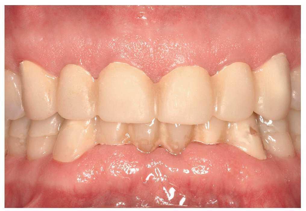
Destrucción de los tejidos duros dentarios más acusada en el sector anterior de ambas arcadas (fig. 3)
Figura 3. Destrucción grave de los tejidos dentales duros.
Índice de placa interproximal (IPI) = 100%, índice de sangrado sulcular (ISS) = 54 %
Obturaciones cervicales insuficientes en los dientes 11 y 27, defecto cuneiforme en el diente 46
Profundidades de sondaje por encima de los 5 mm en los dientes 26, 27, 36, 37, 47 y 48 (no fue posible confirmar la sospecha de una periodontitis agresiva, dado que el paciente se negó a que se realizara un estudio microbiológico)
Mordida borde a borde
Diagnósticos
Se establecieron los siguientes diagnósticos:
Tratamiento conservador insuficiente de la dentición con signos de abrasión
Periodontitis crónica localizada de los molares
Eichner clase A
Oclusión estática con mordida borde a borde
Oclusión dinámica con función de grupo bilateral
Tratamiento inicial
En primer lugar se sustituyeron las obturaciones deficientes (Tetric Evo Ceram, Ivoclar Vivadent, Ellwangen). En la Policlínica universitaria de Odontología conservadora y Periodoncia se llevó a cabo un tratamiento periodontal conservador que consistió en el raspaje y alisado radicular con cobertura antibiótica, tras el que se constató una reducción duradera de las profundidades de sondaje durante la reevaluación. Se registraron valores IPI e ISS del 68% y del 21% respectivamente a los tres meses y del 36% y del 19% a los 6 meses. Se incluyó al paciente en un programa de revisiones periódicas.
Éste mejoró la higiene oral y se mostró muy colaborador.
Plan de tratamiento
Para elaborar el plan de tratamiento se tomaron impresiones de la situación de ambas arcadas. A continuación se determinó la posición de reposo habitual y se llevó a cabo un registro provisional de la relación intermaxilar terapéutica.
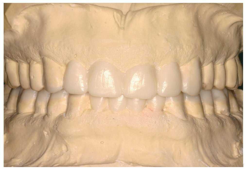
Una vez confeccionados los modelos de la situación inicial (fig. 4) se realizó el montaje en el articulador con respecto al cráneo según los parámetros de transferencia del arco facial. En el modelo se pudieron registrar las anchuras de las coronas clínicas y relacionar con las longitudes dentales previstas. El elevado grado de destrucción y la delgada anatomía de los dientes 31 y 41 hacían imposible dotarlos de coronas. Se planificó su extracción durante el tratamiento propiamente dicho después de la colocación de provisionales para conformar los tejidos blandos.
Figura 4. Modelos de la situación inicial.
Después del registro de mordida provisional se confeccionó un encerado diagnóstico (fig. 5). El aumento de la dimensión vertical previsto era de 5,5 mm (medido en los incisivos centrales superiores). En el maxilar el encerado se limitó a los dientes anteriores, mientras que en la mandíbula fue necesario reconstruir la arcada completa (fig. 6). El diente 48, clínicamente asintomático durante muchos años, debía ser conservado por deseo expreso del paciente y no se tuvo en cuenta en la planificación de las restauraciones indirectas. El contacto con el antagonista se debía crear con ayuda de una reconstrucción directa con composite.
Figura 5. Encerado tras la apertura de la dimensión vertical.
Figura 6. Vista oclusal del encerado de la arcada inferior.
Dado que el paciente rechazó cualquier tipo de intervención quirúrgica periodontal, el plan de tratamiento incluyó sólo correcciones de los tejidos dentales duros. Se duplicó el encerado y se fabricó con técnica de vacío una preforma para cada arcada (Erkodur klar, 1 mm, Erkodent, Pfalzgrafenweiler).
Una vez se informó al paciente sobre las intervenciones previstas fue posible simular en boca el objetivo del tratamiento restaurador con ayuda de las férulas fabricadas y de una resina para provisionales (Structur, Voco, Cuxhaven), (fig. 7). Se retiraron las férulas y la simulación permaneció en la boca del paciente sin otros medios de fijación. Se ajustó la oclusión estática y dinámica, y después de las explicaciones pertinentes, se dejó la simulación in situ durante 3 días a modo de prueba. Durante la noche el paciente utilizaba las férulas como medida de prevención para evitar una deglución o aspiración accidental.
Figura 7. Simulación bimaxilar intraoral.
En la sesión siguiente no aparecieron problemas reseñables por parte del paciente. Se mostraba satisfecho tanto con la función como con la estética y sólo afirmó tener cierta dificultad para hablar el día de la colocación. Después de la toma de impresiones para confeccionar los modelos se retiró por completo la resina.
Reconstrucción de la dimensión vertical
Para el tratamiento inicial de este tipo de casos complejos es necesaria la utilización de restauraciones terapéuticas provisionales. No obstante, en el presente caso esto no fue posible por razones económicas. Después de la simulación intraoral de la prótesis definitiva se ajustó la dimensión vertical terapéutica con ayuda de una férula de estabilización superior de PMMA (PalaXPress, Heraeus Kulzer, Hanau) (fig. 8). Un requisito indispensable era que el paciente estuviera dispuesto a llevar la férula confeccionada prácticamente en todo momento. El paciente la llevó durante todo el día sin ningún problema y sin molestias durante un periodo de 3 meses. Durante ese tiempo la férula aseguraba la adaptación funcional del paciente a la nueva dimensión vertical.
Figura 8. Férula de estabilización para la reorientación vertical.
Preparación definitiva, prótesis provisional, toma de impresiones de precisión y reevaluación de la relación intermaxilar
Los dientes de los sectores anterosuperior y anteroinferior fueron preparados para recibir coronas y un puente (fig. 9). Los dientes posteroinferiores, a excepción del 48, fueron preparados para recibir coronas de recubrimiento parcial (fig. 18). Sin embargo, para asegurar las restauraciones contra la incidencia de fuerzas transversales, se tallaron cajas interproximales con un sistema de ultrasonidos (Sonicsys approx, KaVo, Biberach), eliminando con ello los puntos de contacto. A la preparación de los dientes le siguió la extracción atraumática de las piezas 31 y 41.
Figura 9. Situación a las siete semanas de la preparación y de la extracción de los dientes 31 y 41.
Para la confección directa de los provisionales de resina (Structur) se pudieron utilizar las preformas existentes (fig. 10). El cementado se realizó con un cemento provisional sin eugenol (TempBond NE, KerrHawe, Bioggio, Suiza). El paciente llevó los provisionales durante cuatro semanas con el fin de garantizar una conformación eficaz de los tejidos blandos en el sector antero-inferior. Para favorecer la conformación de los tejidos blandos se amplió la base de los puentes provisionales en las regiones del 31 y del 41.
Figura 10. Restauraciones terapéuticas directas confeccionadas en función del encerado.
Antes de la toma de impresiones de precisión de los pilares se separó la encía de ambas arcadas con hilo de retracción del tamaño 0 (Ultrapak, Ultradent, South Jordan, EE. UU.). El hilo había sido impregnado previamente con una solución de cloruro de aluminio (Racestyptine, Septodont, Niederkassel). En ambas arcadas las impresiones se tomaron con cubetas individuales y poliéteres de diversa consistencia utilizando la técnica de doble mezcla (Impregum Penta & Permadyne Garant 2:1, 3M Espe, Seefeld).
Después de la toma de impresiones se determinó el color tomando como referencia los tejidos dentales duros del paciente (Vitapan Classic, Vita Zahnfabrik, Bad Säckingen) junto con el técnico dental. Para ello se utilizó una lámpara LED (Trueshade, Optident, Ilkley, Gran Bretaña) que simula de forma óptima las condiciones de la luz diurna con una temperatura del color de 5.500 Kelvin.
La relación intermaxilar se determinó con ayuda de un material de registro de color sobre una base de bisacrilato (LuxaBite, DMG, Hamburgo, Alemania). Se realizaron registros de mordida repetidos después de retirar consecutivamente los provisionales del lado derecho, del lado izquierdo y del sector anterior (fig. 11). Posteriormente fue determinada la posición del maxilar en relación con la base del cráneo y transferida al articulador (arco facial de Amann Girrbach, Pforzheim). Por último, se volvieron a cementar los provisionales con cemento provisional sin eugenol.
Figura 11. Registro de la dimensión vertical determinada terapéuticamente y verificada con las restauraciones provisionales colocadas en el sector posterior.
Confección de modelos, fabricación CAD/CAM y prueba de las estructuras, terminación y cementado definitivo de las restauraciones
Los modelos maestros confeccionados a partir de las impresiones de precisión (fig. 12) con una escayola extradura (escayola especial SAE color Ivory, Whip Mix, Louisville, EE. UU.) fueron escaneados (Organical Scan D 640, 3Shape, Copenhague, Dinamarca) después del segueteado y de representar los límites de la preparación. El conjunto de datos obtenido proporcionó una imagen detallada de la situación después de la preparación de los dientes superiores e inferiores. El registro intraoral fue utilizado junto con el registro de arco facial para posicionar los modelos maestros en el articulador con respecto al cráneo.
Figura 12. Modelos maestros montados en el articulador antes del escaneado.
El encerado de la reconstrucción prevista confeccionado durante la fase de planificación sirvió de modelo para las restauraciones. Se escanearon los modelos duplicados de ambas arcadas (Organical Scan D 640). Se determinó en el articulador la relación oclusal del encerado con una silicona de registro de mordida (Platinum 85, Zhermack, Badia Polesine, Italia) y también fue escaneada.
Se utilizó el software disponible (DentalDesigner, 3Shape) para sincronizar los conjuntos de datos de la situación después de la preparación, del encerado y del registro. Después de esta fase de trabajo se corrigió la forma inicial de las restauraciones con un instrumento de modelado virtual. El resultado fueron conjuntos de datos para el fresado de las coronas de recubrimiento parcial 34 a 37 y 44 a 47 (fig. 13) con superficies masticatorias anatómicas cuyo modelo había sido el primer encerado de la fase de planificación. Durante el diseño se procuró dotar de unas dimensiones suficientes a las cofias de las coronas unitarias 13 a 23 y a la estructura con pónticos del puente del sector anteroinferior (fig. 14). Por esa razón las cofias se confeccionaron con una pared de al menos 0,6 mm de grosor y los conectores con una sección mínima de 9 mm2 y una altura mínima de 3 mm respectivamente.
Figura 13. Encerado completamente anatómico del tercer cuadrante escaneado.
Figura 14. Estructuras con la imagen superpuesta del encerado de la arcada superior.
El fresado de los bloques de dióxido de zirconio sobredimensionados (zirconio Organic translúcido, R+K CAD/CAM Technologie, Berlín, Alemania) se llevó a cabo en una fresadora CNC de 4 ejes (Organical 4X-T, R+K CAD/CAM Technologie). Antes del proceso de sinterización subsiguiente se tiñeron todas las restauraciones (Vita In-Ceram YZ Coloring Liquide L2, Vita Zahnfabrik, fig. 15). Después de la sinterización, realizada a temperaturas de entre 1.500 y 1.600 ºC, las coronas de recubrimiento parcial y las estructuras adquirieron sus dimensiones definitivas. A continuación se adaptaron a los modelos maestros y se realizó el ajuste oclusal fino de las coronas de recubrimiento parcial.
Figura 15. Ejemplos de estructuras de dióxido de zirconio coloreadas (de derecha a izquierda: LL1 a LL4, YZ Coloring Liquide).
Se controló el ajuste de las estructuras (fig. 16) y de las coronas de recubrimiento parcial (figs. 17 y 18) en la boca del paciente con una silicona (GC Fit Checker, GC Europe, Lovaina, Bélgica). Con ayuda de papel de articular (papel de articular de prueba de 12 μm, Roeko, Langenau) se registraron las prematuridades y otras interferencias en la oclusión estática y dinámica. Éstas fueron eliminadas por completo mediante tallado selectivo con fresas diamantadas (Komet, Gebr. Brasseler, Lemgo).
Figura 16. Estructuras y coronas de recubrimiento parcial completamente anatómicas.
Figura 17. Coronas de recubrimiento parcial de dióxido de zirconio sin cerámica de recubrimiento.
Figura 18. Preparación, restauraciones terminadas y restauraciones cementadas en el cuarto cuadrante.
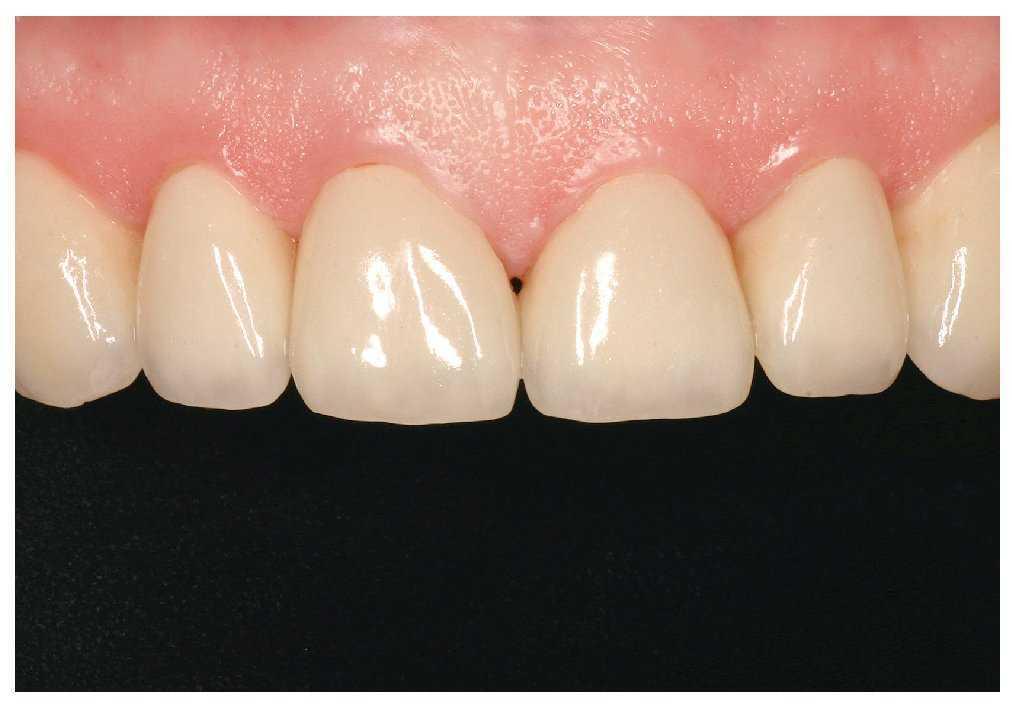
A continuación se aplicó en el laboratorio el recubrimiento de las estructuras del sector anterior, estéticamente relevante, utilizando la técnica de estratificación (IPS e.max Ceram, Ivoclar Vivadent, fig. 19). Se realizó un primer pulido de las coronas de recubrimiento parcial con la forma definitiva utilizando pulidores de goma lenticulares (EVE L 22, EVE Ernst Vetter, Pforzheim) y una pasta de pulido desarrollada específicamente para tratar dióxido de zirconio (Organical Polishing Paste, R+K CAD/CAM Technologie), después de lo que se realizó la caracterización individual (sistema IPS e.max Ceram, Ivoclar Vivadent, fig. 20). Seguidamente se aplicó el glaseado a las restauraciones recubiertas con la técnica de estratificación (pasta y líquido Ivoclar e.max Ceram, Ivoclar Vivadent) y a continuación se llevó a cabo la cocción de brillo a 750 ºC. Para terminar, se realizó el acabado y el pulido final con un cepillo de pelo de cabra (Polyrapid, Singen) y pasta de pulido (Organical Polishing Paste).
Figura 19. Restauraciones del sector anterior terminadas.
Figura 20. Vista lateral de las coronas de recubrimiento parcial de dióxido de zirconio sin recubrimiento en los dientes 44 a 47.
Después de controlar intraoralmente el ajuste, la estética y la función se prepararon las restauraciones para el cementado. Las caras internas de las restauraciones fueron chorreadas cuidadosamente (óxido de aluminio de 50 μm, Pluradent, Offenbach) a una presión de 2 bar65 y los restos de cemento provisional fueron eliminados de las superficies preparadas con copas de profilaxis (copas Prophy, Hager & Werken, Duisburgo, Alemania) sin pasta. Bajo un aislamiento relativo del campo llevado a cabo con aislantes de saliva (dry tips, Mölnlycke Health Care, Erkrath) y rollitos de algodón (rollos de algodón Luna de Roeko), se cementaron todas las restauraciones (figs. 18, 21 y 22) sin realizar un grabado ácido previo de la sustancia dentaria y utilizando un cemento de composite de polimerización dual autoacondicionador (Ralyx Unicem, 3M Espe). Una vez retirado el exceso de cemento se realizó un nuevo control intraoral de la oclusión.
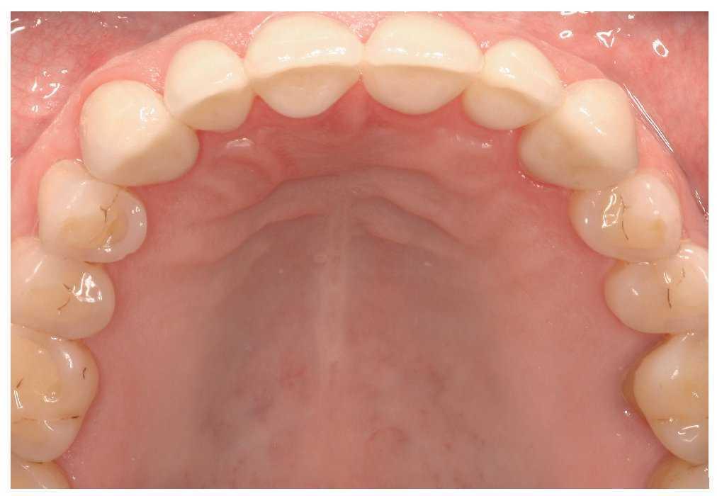
Figura 21. Vista oclusal de la arcada superior con las restauraciones cementadas.
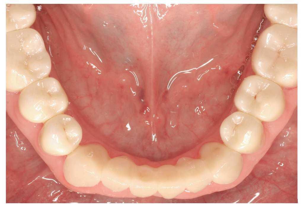
Figura 22. Restauraciones en la arcada inferior.
El diente 48 se restauró con una obturación de composite (Tetric EvoCeram) oclusomesial para restituir el contacto con el antagonista. Para proteger las restauraciones de cerámica y los tejidos duros dentarios durante la noche se le proporcionó al paciente una férula inferior Miniplast de 1,5 mm de grosor fabricada con técnica de vacío y sin ajuste superficial (Erkoflex-95 transparent, Erkodent).
Cuidados posteriores
La primera revisión se realizó a los tres días de la colocación (figs. 23 y 24) y las siguientes tuvieron lugar al cabo de una, dos y cuatro semanas. Se estableció una frecuencia trimestral de las visitas de revisión. Además de controlar la oclusión, la función y la férula inferior se realizaron reevaluaciones periódicas de la situación periodontal. Con la adopción de otras medidas de tratamiento periodontal inicial a los tres y a los nueve meses en el maxilar y en la mandíbula fue posible disminuir de forma duradera las profundidades de sondaje.
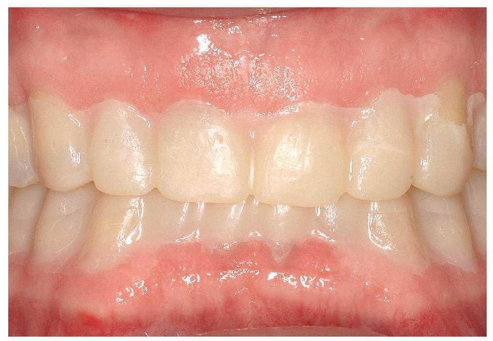
Figura 23. Aspecto de las restauraciones anteriores durante la primera revisión.
Figura 24. Rehabilitación terminada sin restauraciones de metal visibles.
Discusión
En la bibliografía se describe la reconstrucción protésica de gran envergadura en pacientes con pérdida de tejidos duros dentarios por diversas causas (bruxismo, bulimia, reflujo esofágico, etc.) en función de casos clínicos10,17,26,28,31,60,66. La restauración de lesiones pequeñas se puede realizar de forma mínimamente invasiva mediante reconstrucciones de composite33. Pero si los tejidos dentales duros presentan lesiones graves y existe pérdida de dimensión vertical, para la reconstrucción de las superficies masticatorias funcionales están indicadas restauraciones indirectas como coronas, puentes, coronas de recubrimiento parcial o carillas10,17,28.
Antes de la restauración definitiva para la adaptación funcional del paciente se puede llevar a cabo una reconstrucción temporal de las unidades masticatorias por medio de provisionales de larga duración57-59. En el caso presentado, por razones económicas personales, la adaptación a la nueva dimensión vertical se realizó con ayuda de una férula de estabilización con ajuste superficial.
Los estudios clínicos confirman tasas de supervivencia mayores de las coronas coladas que de las coronas metalocerámicas27. En función del tipo de material de la estructura metálica la fuerza de adherencia de la cerámica de recubrimiento determinaba el éxito a largo plazo23,25,62. Por esa razón, con frecuencia los pacientes que presentaban parafunciones eran tratados con restauraciones sin cerámica de recubrimiento. Los avances en el desarrollo de materiales cerámicos y la mejora de su unión al metal permitieron más tarde lograr buenos resultados también con coronas y puentes con recubrimiento8,9,39.
El dióxido de zirconio ha demostrado su eficacia como material para subestructuras de coronas y puentes de cerámica sin metal para la rehabilitación protésica de dientes anteriores y posteriores52. Las cerámicas de óxidos presentan una resistencia y una dureza mayores que las cerámicas de recubrimiento14,46. Las cerámicas de óxidos basadas en dióxido de zirconio mostraron una resistencia a la flexión claramente mayor que las basadas en óxido de aluminio, de ahí que el dióxido de zirconio se perfile como un material más adecuado para la fabricación de restauraciones de cerámica sin metal que van a someterse a esfuerzos elevados2,35,51,53.
Los ensayos de esfuerzo in vitro de coronas de caninos de cerámica sin metal con núcleo duro en función de dióxido de zirconio arrojaron valores en torno a los 1.500 N en el ensayo de rotura por compresión incluso con grosores de la subestructura de dióxido de zirconio de sólo 0,4 mm22. Los ensayos realizados con puentes de 3 piezas de cerámica sin metal en el sector posterior con núcleo duro y recubrimiento cerámico arrojaron valores de resistencia a la rotura en torno a los 2.000 N en el caso de las restauraciones con subestructura de dióxido de zirconio TZP7. En los puentes de 4 piezas del sector posterior se alcanzaron valores de entre 900 N y 1.500 N en función de la precarga y de la carga térmica y mecánica alternante29. En relación con el éxito de las restauraciones estos resultados se pueden equiparar por completo a los obtenidos con las prótesis metalocerámicas8.
Un factor diferenciador decisivo en el comportamiento a la rotura de las prótesis metalocerámicas y de las de cerámica sin metal lo constituye la tenacidad de rotura que presenta cada uno de los materiales de la subestructura. Las aleaciones de metal presentan una tenacidad de rotura muy elevada situada entre los 60 y los 100 MPa√m que puede provocar la desviación de una fisura a la cerámica de recubrimiento. Como consecuencia se producen fracturas tanto cohesivas como adhesivas en el recubrimiento. Las estructuras de metal en sí sólo se fracturan cuando su tamaño es demasiado reducido50.
El dióxido de zirconio, por su parte, posee una tenacidad de rotura de sólo 10 MPa√m, de modo que una fisura en la cerámica de recubrimiento puede propagarse a la subestructura y provocar la fractura de la restauración a pesar de que las dimensiones de la subestructura sean correctas y de que exista una unión eficaz al recubrimiento. Las fuerzas que inciden demasiado perpendicularmente en la subestructura son desfavorables52,54. Según los resultados obtenidos en los estudios in vitro dichas fuerzas pueden provocar que la cerámica de recubrimiento, además de fracasar por desprendimientos, perjudique el comportamiento a la fractura de la subestructura24.
Gracias a las posibilidades que ofrecen los sistemas CAD/CAM modernos, en situaciones poco exigentes desde el punto de vista estético se puede prescindir de un recubrimiento cerámico estratificado o sobreinyectado utilizando dióxido de zirconio del color dentario del paciente. De este modo, la utilización de coronas integrales monocerámicas permite evitar por completo las complicaciones asociadas al material de recubrimiento. Con la aplicación de estas restauraciones completamente anatómicas y sin recubrimiento se descarta el fracaso de la restauración cerámica por desprendimientos o la aparición de fisuras del recubrimiento cuando se deben soportar cargas oclusales muy elevadas como las ocasionadas por las parafunciones.
La generación virtual de unas superficies masticatorias correctas desde el punto de vista funcional y anatómico se puede llevar a cabo mediante los procedimientos de escaneado y edición virtual de un encerado convencional. También existe la posibilidad de utilizar formas dentarias estandarizadas de bases de datos virtuales especiales. Estos conjuntos de datos se basan en tipos morfológicos diversos de dientes artificiales. Asimismo, el sistema permite archivar formas dentarias escaneadas para utilizarlas posteriormente. Los conjuntos de datos obtenidos durante el diseño constituyen la base para la confección de este tipo de restauraciones completamente anatómicas con superficies masticatorias funcionales.
Gracias a su elevada resistencia, las restauraciones de dióxido de zirconio admiten tanto un cementado convencional como un cementado con la técnica adhesiva22. Sin embargo, no es posible acondicionar la superficie mediante grabado al ácido3. Las superficies de las caras internas cerámicas deben acondicionarse previamente mediante chorreado de partículas20,65. En el caso que nos ocupa para el cementado de las restauraciones se aplicó un cemento de composite autopolimerizable bajo aislamiento de la humedad relativo.
Dado que los estudios in vitro realizados hasta el momento sobre el comportamiento a la abrasión evalúan principalmente las cerámicas inyectadas y de recubrimiento, existía cierta inseguridad sobre el comportamiento a la abrasión de estas restauraciones de cerámica de óxidos sin recubrimiento y su influencia sobre el diente natural antagonista45. Los resultados de un estudio in vitro arrojaron valores equiparables en el desgaste sufrido por el esmalte dentario del antagonista con distintas cerámicas de silicatos tanto después del pulido como de un glaseado adicional1. Otro estudio in vitro dio como resultado una abrasividad menor en el antagonista con superficies cerámicas de silicatos con pulido de alto brillo que con las muestras glaseadas40. Los primeros resultados de estudios experimentales relativos al efecto abrasivo del dióxido de zirconio sobre el esmalte dentario sugieren que en presencia de una superficie pulida y lo más lisa posible no tiene por qué producirse una abrasión marcada15,16. En un estudio in vitro sobre restauraciones de dióxido de zirconio, las restauraciones fresadas y glaseadas a continuación mostraron un comportamiento a la abrasión más favorable que las restauraciones pulidas y no glaseadas4. Sin embargo, no existe una garantía clínica suficiente de la estabilidad funcional a largo plazo de dicho glaseado, dado que un tallado selectivo y la abrasión del glaseado durante la función podrían provocar la aparición de microrrugosidades. En conjunto, el tratamiento de la superficie sigue siendo un tema controvertido19. Básicamente en ambos procedimientos es muy importante llevar a cabo el alisado y el pulido intraorales de forma minuciosa sobre todo cuando se ha realizado un tallado selectivo inicial.
Conclusiones
En caso de pérdida de tejidos dentales duros debido a una parafunción la elección del material de restauración influye de forma decisiva en el éxito del tratamiento. Los avances en el campo de las tecnologías CAD/CAM y en las propiedades técnicas de los materiales han hecho posible la utilización de prótesis íntegramente cerámicas y sin recubrimiento. Dichas restauraciones monocerámicas pueden constituir en el futuro una alternativa de color dental biocompatible y económica tanto a las restauraciones metálicas como a las metalocerámicas en sectores menos críticos desde el punto de vista estético.
Correspondencia: F. Schneider.
Halle-Wittenberg. Grobe Steinstrabe 19, 06097 Halle (Saale), Alemania.
Correo electrónico: feux.schneider@medizin.uni-halle.de

























