Introducción
La rehabilitación implantoprotésica tras la pérdida de uno o varios dientes en el sector anterosuperior suele representar un gran reto para el odontólogo en ejercicio. En la era de la tecnología avanzada muchos pacientes dan por sentado que los implantes ofrecen una buena osteointegración y que este tipo de restauraciones restablecen la función de forma óptima. Hoy por hoy han quedado obsoletos los criterios de valoración del éxito basados principalmente en la integración sin problemas de los implantes en el hueso maxilar. La gran facilidad para acceder a la información técnica más reciente a través de medios como Internet hace que los pacientes estén cada vez más informados. Un mayor grado de aceptación de la cirugía estética y los cánones de belleza que se pretenden imponer desde medios como la televisión contribuyen a aumentar las expectativas de los pacientes en relación con el resultado estético de las restauraciones dentales en los sectores visibles.
Existe una gran variedad de factores que pueden afectar de forma negativa o positiva al resultado de la rehabilitación de esta región tan sensible: el hueso alveolar, la altura de las papilas, la línea gingival, la anchura de la encía insertada, el biotipo periodontal, las estructuras adyacentes, etc. La línea de sonrisa constituye un factor determinante sobre todo para los odontólogos poco experimentados en la colocación de implantes18. Todas estas estructuras deben ser tomadas en consideración cuando se ha planificado sustituir con un implante un diente que se ha perdido o que va a ser exodonciado. En este caso el descuido de un solo factor puede contribuir a un fracaso más o menos gravoso del implante.
Las exodoncias representan un proceso traumático que a menudo pueden provocar un déficit importante de tejidos duros y blandos. En especial la tabla vestibular se ve sometida a un proceso de reabsorción intensa que se inicia al cabo de sólo dos semanas y que a las ocho semanas ya ha ocasionado una pérdida de hueso media de 2 mm (reabsorción vertical). Después de 12 meses la anchura del hueso alveolar se reduce a aproximadamente el 50%, es decir, unos 5-7 mm. La mayor reabsorción se produce durante los tres primeros meses17. La tabla vestibular constituye una estructura sensible responsable en gran medida del éxito o del fracaso estético. Según un estudio realizado en muestras humanas su anchura oscila entre 0,1 mm y 1,9 mm (con una media de 0,6 mm en incisivos y caninos superiores)15.
La nutrición del hueso maxilar y mandibular se produce a través del propio hueso esponjoso, del periostio y del ligamento periodontal. En la tabla vestibular, fina y compacta, dicha nutrición se realiza principalmente a través del ligamento periodontal y del periostio. La exodoncia implica la pérdida del ligamento periodontal y la eliminación de dicha vía. Si además se levanta el periostio con un colgajo de espesor total, se provoca una mayor alteración o interrupción de la nutrición, lo que conlleva forzosamente una reabsorción intensa. Por esa razón en el ámbito de la implantología en la zona estética los esfuerzos científicos y clínicos de los últimos años se han concentrado en minimizar la reabsorción de los tejidos duros y blandos vestibulares. Para lograrlo se han desarrollado numerosos materiales y técnicas como la colocación de implantes inmediatos, la preservación del alvéolo, implantes de diseño festoneado, cirugía sin colgajo, cambio de plataforma («platform switching»), implantación asistida por ordenador y nuevos materiales de aumento. No obstante, para el clínico esta gran variedad de soluciones plantea un problema. La elección del método o del material correcto para el tratamiento de un caso concreto no siempre es fácil y lamentablemente las soluciones que se proponen con frecuencia obedecen a intereses comerciales.
La Clínica de Prostodoncia del Hospital Universitario de Aachen aplica desde hace años un sistema con una probabilidad de éxito elevada y altamente predecible cuyo contenido se describe a continuación.
Procedimiento sistemático
En la zona estética cada situación se debe analizar y tratar de forma específica. Sin embargo, también podemos realizar una clasificación general de las situaciones clínicas y tratar a nuestros pacientes de acuerdo con el sistema que hemos desarrollado (tabla 1).
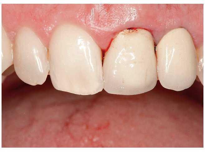
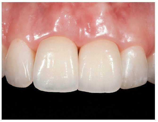
1. Situación: diente desahuciado con osteólisis periapical aguda y posible presencia de fístula (figs. 1a a 1f)
Figura 1a. El diente 21 presenta una osteólisis apical recidivante con fistulización vestibular que impide su conservación a pesar de haberlo tratado en repetidas ocasiones con obturaciones del conducto radicular y apicectomías.
Figura 1b. Después de la exodoncia atraumática se llevó a cabo el legrado del alvéolo y el sellado con tejidos blandos utilizando la técnica de «punch». El injerto de mucosa se fijó bien al margen gingival con sutura reabsorbible.
Figura 1c. Zona donante de la mucosa palatina obtenida con la técnica de «punch».
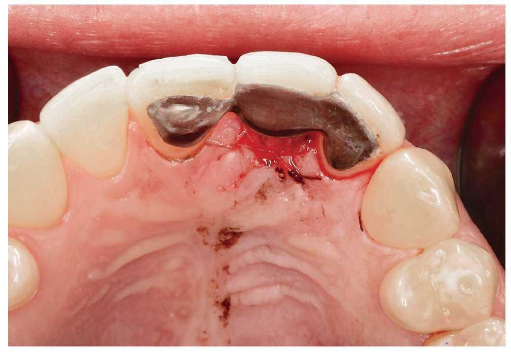
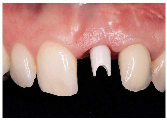
Figura 1d. Para la fase provisional se fijó un puente adhesivo a los dientes adyacentes.
Figura 1e. Vista anterior de la prótesis provisional. Había que evitar una presión excesiva sobre el injerto en la fase inicial de la integración.
Figura 1f. La situación de los tejidos blandos previa a la implantación o a la instauración de medidas de aumento debería ofrecer el aspecto mostrado en la imagen una vez finalizada la curación del alvéolo de extracción.
En estos casos, independientemente de la situación ósea y gingival, no llevamos a cabo ni una implantación inmediata ni un aumento de volumen de los tejidos duros. Recientemente se han publicado algunos estudios sobre la colocación de implantes inmediatos en alvéolos infectados, pero los resultados son contradictorios7,14 y no existen conclusiones a este respecto basadas en la evidencia. En estas situaciones se realiza únicamente una cobertura del alvéolo con tejido blando (injerto gingival libre o técnica de «punch») con el fin de preparar la situación para una posterior implantación o un aumento del volumen de hueso. Después de la exodoncia se lleva a cabo un legrado cuidadoso y minucioso del alvéolo. Se recomienda avivar o incluso socavar levemente los bordes de la encía marginal con una fresa diamantada o con un bisturí. Antes de suturar el injerto gingival conviene rellenar bien el alvéolo de extracción con sangre fresca (no aspirar).
El injerto se fija cuidadosamente con suturas finas y se adapta directamente al margen avivado o debajo de éste. Esta operación es indispensable para lograr una nutrición suficiente. Durante la fase de integración el paciente recibe una pequeña prótesis provisional o un puente adhesivo. Precaución: en la fase inicial hay que evitar ejercer una presión elevada sobre el injerto («Gentle Touch»). Una vez ha prendido el injerto se puede generar una «forma de póntico ovoide». Después de la curación del alvéolo (a las 6 u 8 semanas) se pueden seguir los pasos indicados en los puntos siguientes. Habrá que decidir en cada caso si hay que llevar a cabo un aumento, una implantación con medidas de aumento simultáneas o sólo una «implantación inmediata diferida».
2.1. Situación: exodoncia en alvéolo no infectado con defecto óseo vestibular y biotipo gingival fino (figs. 2a a 2l)
Figura 2a. Dientes desahuciados 11 y 21 con movilidad de grado III. El paciente no presentaba un biotipo gingival fino propiamente dicho, pero después de diversas intervenciones ha desaparecido la tabla vestibular en ambos dientes. Por esa razón se lleva a cabo el procedimiento descrito.
Figura 2b. La radiografía periapical muestra la situación crítica de los dientes 11 y 21.
Figura 2c. Dientes extraídos 11 y 21. Obsérvese la desproporción entre las coronas y la longitud de la raíz remanente.
Figura 2d. La situación clínica muestra la gravedad de la reabsorción de la tabla vestibular. En el presente caso no se puede llevar a cabo una implantación inmediata.
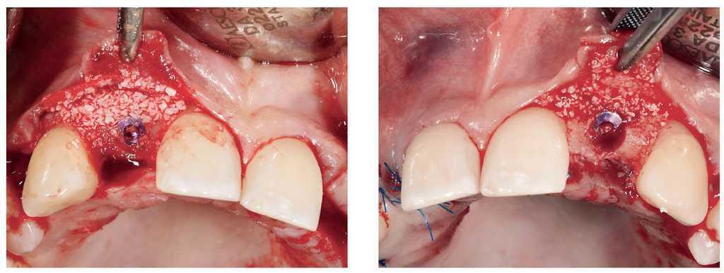
Figura 2e. Situación clínica después de las maniobras adoptadas para preservar el reborde alveolar con una mezcla de material de sustitución ósea (Bio-Oss) y partículas de hueso autógeno obtenido de la región retromolar.
Figura 2f. Sellado del área quirúrgica con un injerto libre de mucosa palatina. Los bordes del injerto fueron desepitelizados y suturados por debajo de la mucosa después de haber socavado la encía marginal con el fin de mejorar la nutrición.
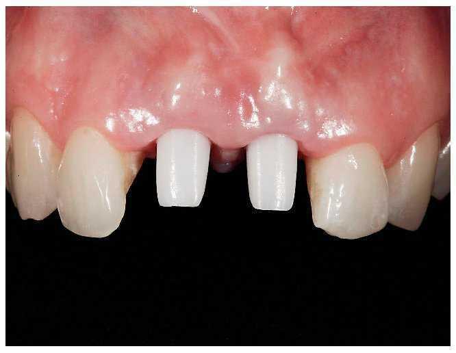
Figura 2g. Situación tras un periodo de integración de 7 meses. La restauración provisional fue un puente adhesivo. Obsérvese la buena conservación de la papila en las regiones 11/21.
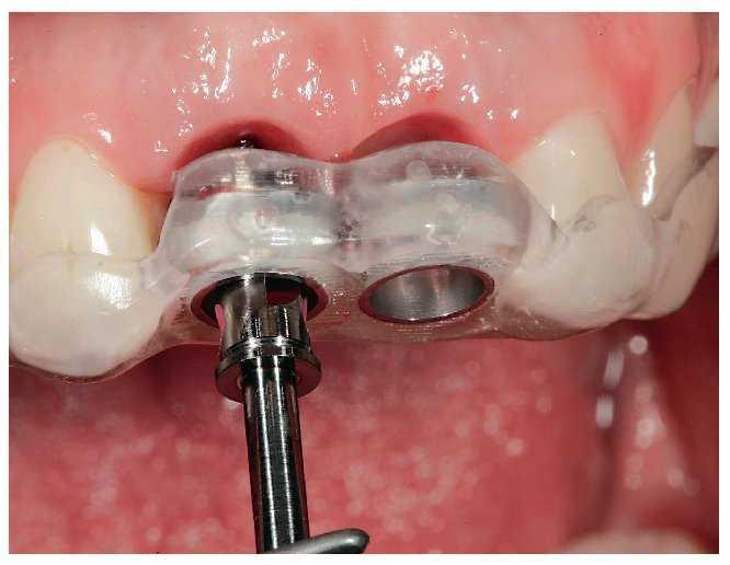
Figura 2h. Dado que con la preservación del alvéolo se obtuvo una situación óptima, se optó por una cirugía sin colgajo combinada con un procedimiento asistido por ordenador (Nobel-Guide, Nobel Biocare, Zúrich, Suiza).
Figura 2i. En las regiones del 11 y del 21 se colocaron dos implantes Replace (Nobel Biocare) con un diámetro de 4 mm y una longitud de 15 mm.
Figura 2j. Vista oclusal de la situación justo después de colocar los implantes. Se prefirió una integración transgingival.
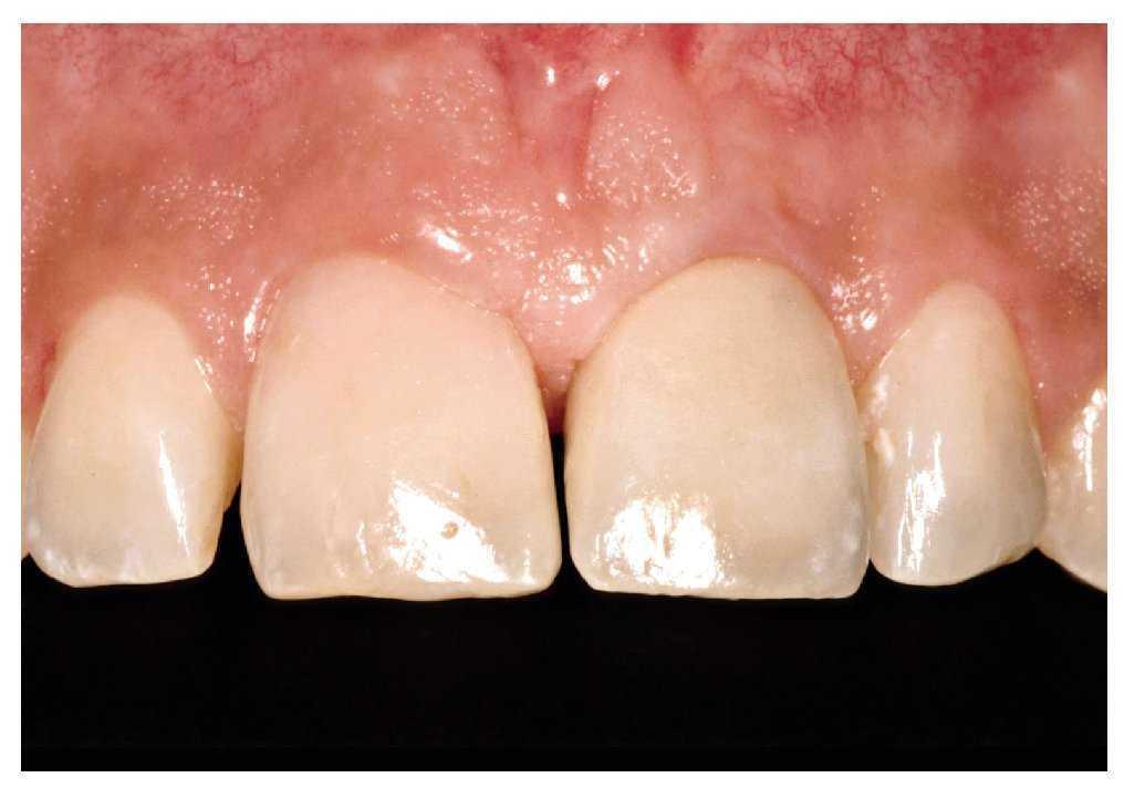
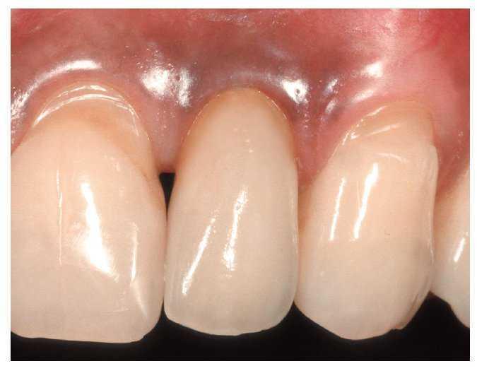
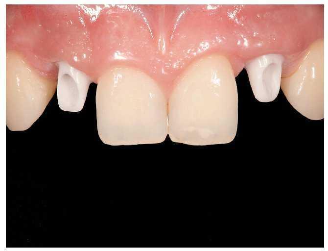
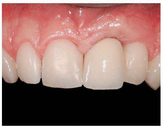
Figura 2k. Vista anterior con pilares de óxido de zirconio atornillados tras un periodo de integración de 5 meses.
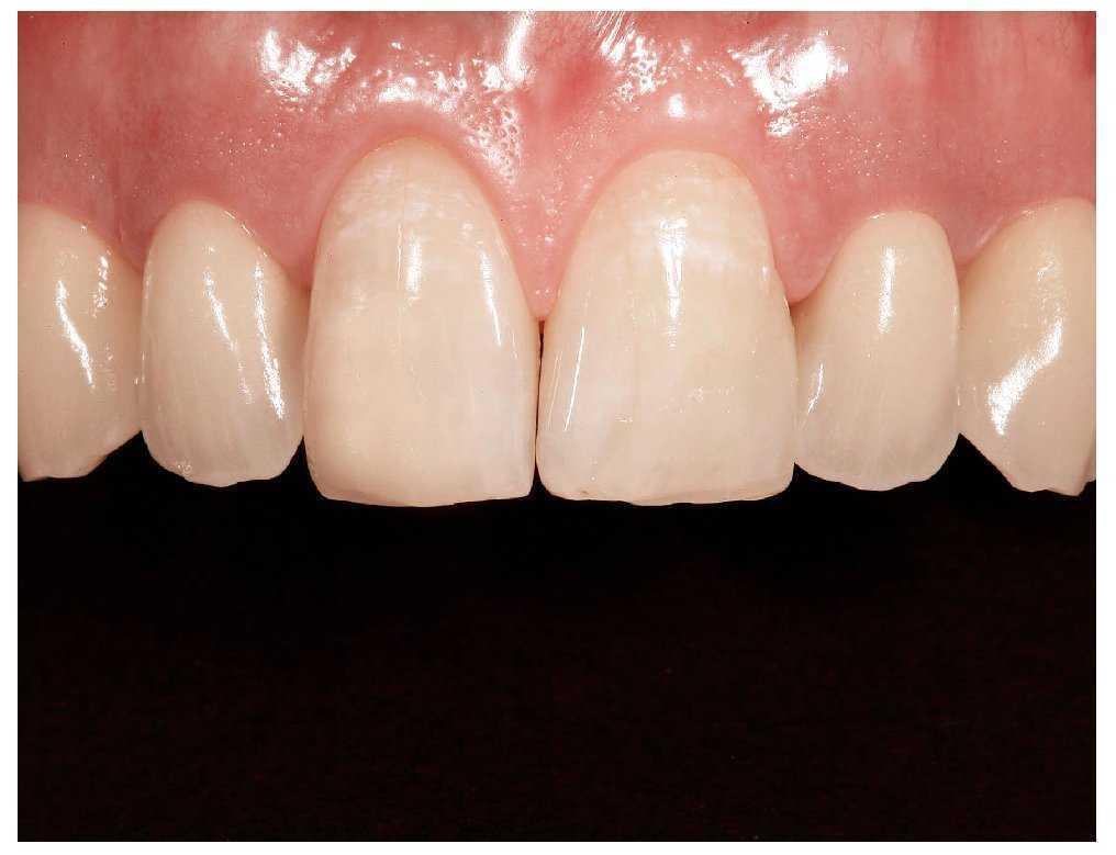
Figura 2l. Prótesis definitiva con coronas de cerámica sin metal (técnico de laboratorio: ZTM Oliver Brix).
Siempre que exista un biotipo gingival fino conviene actuar con prudencia. En estas situaciones es cuando se produce una reabsorción de hueso más intensa y a menudo también hay que contar con recesiones gingivales. Cuando el paciente presenta un biotipo gingival fino por lo general nos abstenemos de realizar una implantación inmediata aunque el defecto sea mínimo. Después del legrado del alvéolo y de avivar el margen gingival se instauran técnicas de preservación del alvéolo con una mezcla de hueso autógeno y material de sustitución ósea (como Bio-Oss, Geistlich Biomaterials, Wolhusen, Suiza; Puros, Zimmer Dental, Friburgo; Nanobone, Artoss, Rostock). Se recomienda obtener el hueso para el injerto de la región retromolar dada la baja tasa de complicaciones y la sencillez de esta técnica. Si la tabla vestibular presenta un defecto grave puede resultar necesario colocar sobre éste una membrana de colágeno reabsorbible. La membrana se coloca a través del alvéolo (sin levantar la encía) creando una bolsa vestibular mucoperióstica. Las medidas de aumento en las que se utiliza una mezcla formada por un autoinjerto y material de sustitución ósea de origen bovino liofilizado (Bio-Oss) han demostrado ser eficaces en tales situaciones1.
En la bibliografía se describen diversos métodos para el cierre coronal del alvéolo, como son la técnica de «punch», el uso de membranas reabsorbibles, de un póntico ovoide, de un provisional o de un injerto de tejido conjuntivo9,10,12. Los autores dan preferencia a una técnica de «punch» modificada o a un injerto pediculado de mucosa, dados los buenos resultados obtenidos. La técnica de «punch» está asociada a una tasa de fracasos elevada debido a que la nutrición del fragmento de mucosa es sólo marginal. Por esa razón se recomienda extraer el fragmento de mucosa con porciones sobresalientes de tejido conjuntivo, que se suturarán por debajo del margen gingival (técnica de «punch» modificada). Según nuestra experiencia el injerto pediculado de mucosa palatina constituye el mejor medio de cierre, pero también el último recurso. Para aplicar esta técnica es necesaria una gran experiencia en cirugía periodontal por parte del clínico e informar detalladamente al paciente sobre las molestias asociadas (herida abierta, dolor), tras lo que deberá dar su consentimiento. Una vez se ha llevado a cabo la preservación del alvéolo con buenos resultados recomendamos esperar de seis a ocho meses antes de colocar el implante, dado que hasta ese momento el tejido aumentado no alcanza la estabilidad suficiente para una implantación. En una situación ideal, es decir, en presencia de una encía queratinizada suficiente, se pueden insertar los implantes con «cirugía sin colgajo» (mediante un procedimiento asistido por ordenador, por ejemplo).
Si en la situación descrita en el punto 2.1 el defecto es demasiado amplio (ausencia de la tabla ósea vestibular completa), se adaptará al defecto un injerto de bloque de hueso obtenido de la región retromolar (sin levantamiento de colgajo). La falta de adaptación se corregirá con la adición de partículas de hueso. A continuación se lleva a cabo la sutura de los tejidos blandos. En caso de que las elevadas dimensiones del defecto impidan aplicar esta técnica terapéutica, se seguirán los pasos del punto 1 con el fin de lograr una buena situación de la mucosa antes de realizar un aumento del volumen óseo. Después de seis a ocho semanas se realizará un aumento importante del volumen de hueso con un injerto de bloque de hueso de la región retromolar, por ejemplo, o mediante ROG (regeneración ósea guiada). Si sólo se utiliza hueso autógeno para el aumento, la implantación debería realizarse como muy tarde a los cuatro o cinco meses de la intervención, dado que en este caso la reabsorción se instaura con mayor rapidez.
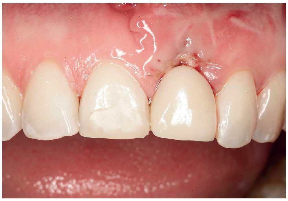
2.2. Situación: cresta alveolar curada con defecto óseo vestibular y biotipo gingival fino (figs. 3a a 3e)
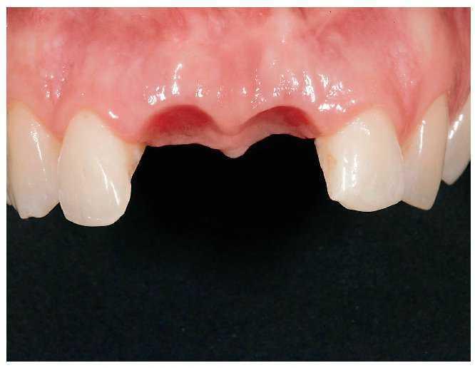
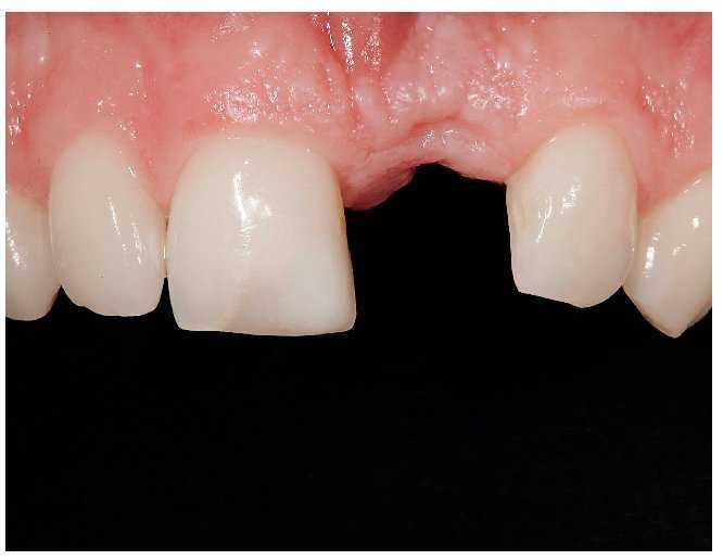
Figura 3a. Vista anterior de la situación; el diente 21 se encuentra ausente. El paciente se presentó en la clínica a los tres meses de haber perdido el diente por un traumatismo. Durante ese tiempo llevó una prótesis provisional facilitada por el odontólogo anterior.
Figura 3b. Situación intraoperatoria: aumento con un bloque de hueso procedente de la región retromolar. El injerto fue fijado con dos tornillos de osteosíntesis.
Figura 3c. También se modeló el área aumentada con ayuda del material de sustitución ósea Bio-Oss.
Figura 3d. Sutura hermética después del aumento.
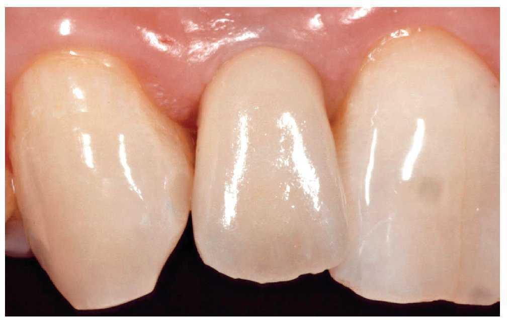
Figura 3e. Imagen final del tratamiento. Se colocó una corona de metal cerámica. El implante se insertó a los cinco meses de la intervención para aumentar el volumen de tejido. La fase de integración del implante se prolongó 4 meses.
En este caso se instauran en primer lugar medidas de aumento óseo. Entre los distintos métodos utilizados, han demostrado ser eficaces el uso de un injerto de bloque de hueso y de ROG. En determinadas circunstancias puede ser útil utilizar un material de sustitución ósea. Éste puede asumir la función de protección para prevenir la reabsorción de la porción de tejido aumentado (regeneración ósea guiada y protegida). La implantación se realiza después de un periodo de integración de entre cuatro meses (bloque de hueso) y seis meses (ROG). Para prevenir la temida reabsorción tardía y la recesión en pacientes con este biotipo gingival conviene aumentar el grosor de la encía con tejido conjuntivo. Esto se puede hacer inmediatamente después de la colocación o durante la exposición del implante.
3.1. Situación: exodoncia en alvéolo no infectado con defecto óseo vestibular y biotipo gingival grueso (figs. 4a a 4h)
Figura 4a. Diente 21 por extraer con movilidad de grado III.
Figura 4b. Durante la exodoncia atraumática con un periostotomo se produjo una fractura longitudinal del diente.
Figura 4c. La tabla vestibular se encontraba prácticamente intacta después de la exodoncia, de modo que se decidió realizar un pequeño aumento simultáneo a la colocación del implante.
Figura 4d. Vista oclusal tras la implantación con un implante Nobel Active (Nobel Biocare). Se aprecia la distancia de seguridad de al menos 1 mm con el alvéolo vestibular («jumping distance»). El espacio se rellenó con partículas de hueso autógeno obtenido de la región retromolar.
Figura 4e. La elevada estabilidad primaria permitió realizar una carga inmediata del implante. Se transformó la corona antigua en una prótesis provisional y se fijó en un pilar provisional.
Figura 4f. Para evitar sobrecargas se confeccionó una férula de protección sin contacto en la región de la prótesis provisional implantosoportada.
Figura 4g. Después de una fase de integración de 5 meses se colocó la prótesis (imagen con pilar de óxido de zirconio atornillado).
Figura 4h. Imagen final después de colocar una prótesis de cerámica sin metal.
En presencia de un defecto vestibular de grandes dimensiones se lleva a cabo la técnica de preservación del alvéolo descrita. Tras un periodo de integración de seis meses aproximadamente se realiza la implantación. Si la situación del hueso y de la encía es óptima, dicha implantación se puede llevar a cabo con una «cirugía sin colgajo», un método que a su vez se puede combinar eficazmente con un sistema de implantación asistida por ordenador.
En cambio, si el defecto vestibular observado en la extracción dentaria es reducido y por lo demás los tejidos blandos presentan una situación óptima, se puede llevar a cabo un aumento de volumen de tejido vestibular simultáneo a la colocación del implante. En función de las características del caso se decidirá si se realiza una carga inmediata del implante o si sólo se coloca un pilar de cicatrización. No obstante, si se instauran técnicas de aumento en vestibular, conviene proteger el tejido aumentado hacia coronal como mínimo con una membrana reabsorbible.
3.2. Situación: cresta alveolar curada con defecto óseo vestibular y biotipo gingival grueso (figs. 5a a 5g)
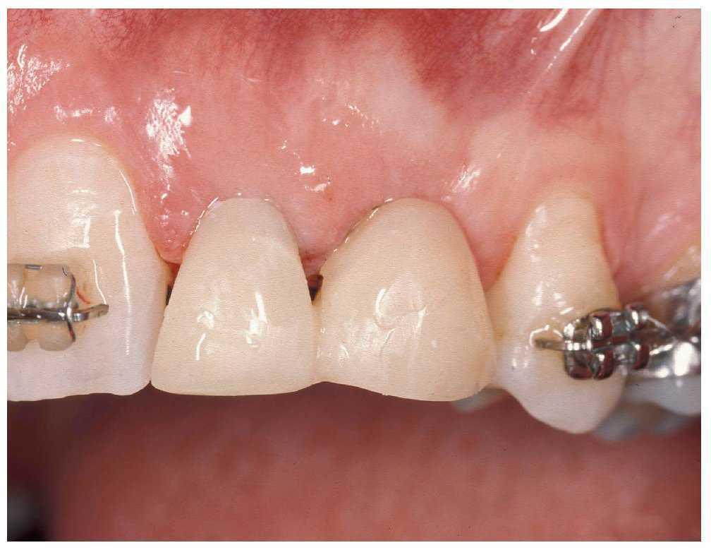
Figura 5a. Situación clínica con agenesia de los dientes 12 y 22 una vez finalizado el tratamiento ortodóncico previo.
Figs. 5b y 5c. La implantación se llevó a cabo con un aumento simultáneo del volumen de tejido utilizando material de sustitución ósea. Antes de cerrar el área quirúrgica se recubrió con una membrana reabsorbible.
Figura 5d. Vista oclusal tras el aumento y la implantación. La sutura hermética hizo necesaria una incisión en el periostio después del aumento del volumen de tejido. No se realizaron incisiones verticales por motivos estéticos.
Figura 5e. Exposición mediante la técnica de colgajo enrollado después de una fase de integración de 4 meses.
Figura 5f. Pilares de óxido de zirconio in situ.
Figura 5g. Tratamiento finalizado con coronas de cerámica sin metal.
Por lo general, en tales casos se planifica una implantación con aumento simultáneo. No obstante, en presencia de defectos óseos de grandes dimensiones hay que acometer el procedimiento en dos tiempos (aumento del tejido e implantación diferida). No suele ser necesario realizar un aumento de tejidos blandos.
4.1. Situación: exodoncia en alvéolo no infectado con buena situación ósea y biotipo gingival fino (figs. 6a a 6e)
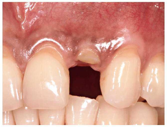
Figura 6a. Resto radicular del diente 22 por extraer. Biotipo gingival fino; obsérvense las recesiones en los dientes adyacentes.
Figura 6b. Después de la extracción atraumática de la raíz del 22 se observa la presencia de una tabla vestibular intacta.
Figura 6c. En la vista oclusal se aprecia la distancia de seguridad mantenida con respecto a la tabla vestibular fina después de insertar el implante.
Figura 6d. Vista anterior después de colocar el implante y aumento simultáneo con un injerto de tejido conjuntivo para prevenir la reabsorción.
Figura 6e. Corona de metal cerámica terminada. Se creó una recesión para imitar las estructuras adyacentes.
Se trata de una situación de pronóstico incierto que supone un desafío importante para el odontólogo en relación con la toma de decisiones y exige además una gran experiencia. En estos casos es posible colocar implantes inmediatos. Aunque hoy se sabe que una incongruencia entre el implante y el hueso alveolar de hasta 2 mm se resuelve de forma espontánea5,6, en esta situación conviene adoptar medidas de aumento para prevenir una reabsorción. La técnica consiste en preparar una bolsa mucoperióstica ante la tabla vestibular sin levantar la encía. A continuación se rellenan con partículas de hueso o con material de sustitución ósea tanto el espacio entre el implante y la tabla vestibular como la bolsa creada ante la tabla. En tales casos preferimos utilizar únicamente partículas de hueso autógeno. Para la carga del implante se procede como se describe en el punto 3.1. Si no se puede realizar una implantación inmediata (debido por ejemplo a la falta de experiencia del clínico, a la imposibilidad de estimar el grosor de la tabla vestibular o a la situación particular del paciente), habrá que recurrir a la técnica de preservación del alvéolo.
4.2. Situación: cresta alve olar curada con una buena situación ósea y biotipo gingival fino (figs. 7a a 7f)
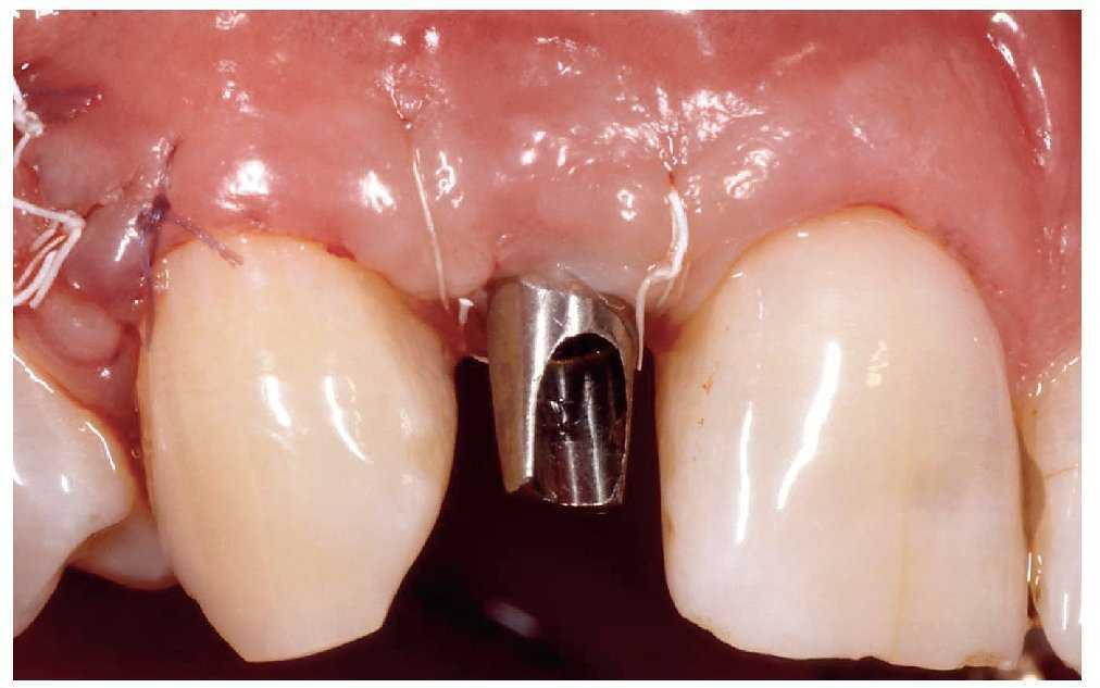
Figura 7a. Inserción del implante en una cresta alveolar curada con una encía fina. Se decidió levantar un colgajo con la forma que muestra la imagen para preservar las papilas.
Figura 7b. Situación clínica tras un periodo de integración de 4 meses. En la zona del implante se observa un colapso de la encía, bajo la cual se intuye la cabeza del implante.
Figura 7c. La exposición del implante se combinó con un engrosamiento de la encía por medio de un injerto de tejido conjuntivo.
Figura 7d. El injerto de tejido conjuntivo palatino.
Figura 7e. Situación a los diez días de la exposición del implante y del injerto de tejido conjuntivo. Se aprecia claramente el engrosamiento vestibular.
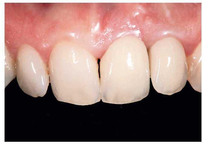
Figura 7f. Corona de metal cerámica 21 terminada y cementada.
En estos casos se realiza un engrosamiento de los tejidos blandos con un injerto de tejido conjuntivo simultáneo a la implantación. En determinados casos puede estar indicada la combinación de una implantación mínimamente invasiva con la creación de un colgajo enrollado para engrosar la mucosa vestibular. La cirugía sin colgajo combinada con procedimientos asistidos por ordenador puede suponer aquí una ampliación del espectro terapéutico. No obstante, hay que valorar esta posibilidad en cada caso concreto y en una situación de este tipo deberá ir acompañada siempre de un engrosamiento de la mucosa al menos en la cara vestibular.
5.1. Situación: exodoncia en alvéolo no infectado con buena situación ósea y biotipo gingival grueso (figs. 8a a 8e)
Figura 8a. Dientes temporales recidivantes que deben ser extraídos (movilidad de grado III) en las regiones 52/53 y 62/63 una vez finalizado el tratamiento ortodóncico previo.
Figura 8b. Vista anterior de los implantes insertados sin levantamiento de colgajo mucoperióstico («flapless»).
Figura 8c. Vista oclusal de los implantes insertados.
Figura 8d. Dado que la situación era óptima y presentaba una alta estabilidad primaria los implantes se cargaron inmediatamente con coronas provisionales directas ferulizadas.
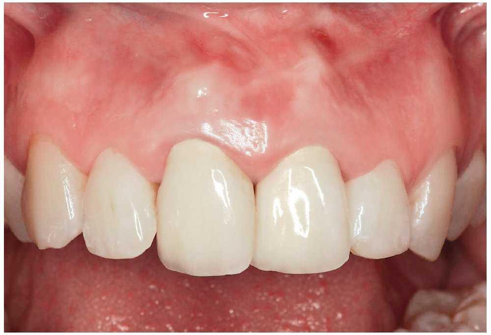
Figura 8e. La restauración definitiva se realizó con coronas unitarias de metal cerámica cementadas (laboratorio: Dentallabor Sieben, Eschweiler).
Para el odontólogo en ejercicio ésta constituye la situación con mayor probabilidad de éxito y con el pronóstico más favorable para la colocación de implantes inmediatos sin levantar la encía. En presencia de un espacio vestibular reducido incluso se puede prescindir de rellenar la «jumping distance» con partículas de hueso en determinadas circunstancias. Si el implante presenta una estabilidad primaria suficiente se puede realizar una carga inmediata. Sin embargo, el procedimiento que ofrece una mayor seguridad es en cualquier caso la conexión del implante con un pilar de cicatrización individualizado y sin carga. De nuevo la fase provisional transcurre con una prótesis provisional o con un puente adhesivo.
5.2. Situación: cresta alveolar curada con una buena situación ósea y biotipo gingival grueso (figs. 9a a 9c)
Figura 9a. Implante insertado en la región del 12 en una cresta alveolar curada y biotipo gingival grueso. Se reparó un defecto de fenestración mínimo en la región apical con partículas de hueso autógeno de la región adyacente. Sólo se realizó una incisión vertical en distal del diente 13 para evitar cicatrices en el sector más anterior.
Figura 9b. Puesto que se contaba con un implante largo, una estabilidad primaria elevada y una buena situación ósea en la zona de la cabeza, no existían impedimentos para una provisionalización inmediata.
Figura 9c. Resultado estéticamente satisfactorio de la rehabilitación con una corona de metal cerámica tras 5 meses de integración.
Dado que lo último que se desea es empeorar una situación tan favorable, la solución óptima en muchos casos es colocar los implantes sin levantar un colgajo mucoperióstico. Sin embargo, utilizar la cirugía sin colgajo sin más, absteniéndose de adoptar otras medidas diagnósticas (como determinar la anchura del hueso [«bone mapping»] o utilizar procedimientos asistidos por ordenador) sería como avanzar dando «palos de ciego». Si se prescinde de estos medios auxiliares, en la implantación se correría un riesgo muy alto de perforar el tejido vestibular o de cometer errores en el posicionamiento del implante8. Si no se han tomado estas medidas, la inserción del implante se tiene que llevar a cabo levantando un colgajo mucoperióstico por razones de seguridad (y más cuando el clínico posee menos experiencia). En este caso se recomienda recurrir a técnicas de colgajo mínimamente invasivas. Conviene evitar incisiones verticales en la zona visible o, al menos, ubicarlas lo más distalmente posible. En este caso se podría llevar a cabo una integración transgingival o una carga inmediata.
Discusión
En las áreas con relevancia estética el procedimiento quirúrgico influye en gran medida en el éxito de la rehabilitación protésica implantosoportada. El odontólogo debería saber que la primera intervención ya es decisiva (independiente de si se instauran técnicas de aumento o de si se realiza una implantación inmediata). Una vez colocado el implante, los errores que se hayan podido cometer, si no se han corregido antes, son muy difíciles o incluso imposibles de solucionar. Dada la gran diversidad de tratamientos disponibles y sus indicaciones es esencial realizar una planificación sumamente concienzuda y ejecutarla con la máxima precisión. Ante un determinado caso, debemos decidir si colocamos un implante inmediato, si adoptamos medidas para preservar el reborde alveolar o si llevamos a cabo una implantación inmediata diferida. Antes de la primera intervención es necesario que el procedimiento esté bien claro, que el odontólogo domine la técnica y que se haya dispuesto todo el material necesario (en especial para el manejo de complicaciones). Muchas publicaciones recientes informan sobre la colocación de implantes inmediatos con carga inmediata y a menudo los fabricantes difunden este método a través de la publicidad comercial.
Por un lado, sabemos que la implantación inmediata contribuye a preservar las papilas y muchos trabajos publicados recientemente se concentran principalmente en la situación de los tejidos blandos de la zona visible. Por otro lado, cabe preguntarse si una encía vestibular aparentemente estable sobre una tabla vestibular reabsorbida puede mostrar resultados positivos a largo plazo. La indicación de una implantación inmediata debe establecerse de forma sumamente precisa, dado que no es la clave del éxito en todas las situaciones, y un fracaso en esta región magnifica el daño11. Los estudios de Araujo et al2-4 demuestran que la implantación inmediata por sí sola no garantiza la conservación del hueso vestibular. Sin embargo, queremos apuntar de forma crítica que en dichos estudios se utilizaron implantes estándar de la casa Straumann (Basilea, Suiza) con una gran porción de superficie pulida que podrían ser los responsables de la reabsorción masiva de hueso. Además, en las imágenes clínicas e histológicas se observa que algunos de los implantes fueron colocados demasiado cerca de la tabla vestibular. Para evitar que se produzca una necrosis por compresión de estas estructuras vestibulares se debe dejar una distancia de separación de hasta 2 mm5,6. Esta distancia, a la que Botticelli et al5,6 denominan «Jumping distance», se resuelve según los mismos autores con la neoformación espontánea de hueso y sin medidas de aumento. Sin embargo, como ya es sabido, la neoformación de tejido conjuntivo y de epitelio es más rápida que la de hueso, por lo que en esa zona instauramos técnicas de ROG.
Aunque el manejo de tejidos blandos está adquiriendo una importancia cada vez mayor22, y algunas técnicas de cirugía periodontal están experimentando un auténtico renacimiento en el ámbito de la implantología, para nosotros el sustrato óseo sigue teniendo, como mínimo, la misma importancia. Según nuestra experiencia, por un lado sólo se pueden lograr resultados estables a largo plazo si se cuenta con una estructura de hueso suficiente. Y, por otro lado, otros trabajos científicos nos muestran que un engrosamiento de la encía tiene un efecto positivo en la conservación precisamente de la tabla ósea vestibular. Además, es posible ganar altura en la zona vestibular o de las papilas únicamente engrosando la encía con un injerto de tejido conjuntivo, por ejemplo16.
Si el paciente presenta un biotipo gingival fino, en cualquier caso hay que convertirlo en un biotipo gingival grueso. También hay que prestar una atención especial a la presencia de un margen lo suficientemente ancho de encía queratinizada. La existencia de una encía sana con una porción queratinizada amplia es muy importante no sólo desde el punto de vista estético, sino también funcional. La encía queratinizada ofrece por un lado una mayor protección frente a irritaciones de origen mecánico13 y, por el otro, previene la aparición de periimplantitis19.
Un consejo para el odontólogo: dada la complejidad de algunas técnicas quirúrgicas, antes de empezar con la colocación de implantes en el sector anterior conviene haber acumulado suficiente experiencia en la rehabilitación con prótesis implantosoportadas en el sector funcional. Para los primeros tratamientos resulta más conveniente elegir pacientes que presenten un efecto incisal (línea de sonrisa baja). El tratamiento de pacientes con efecto gingival (línea de sonrisa alta), en especial si presentan además un biotipo gingival fino, debe acometerse sólo si se dispone de una amplia experiencia en este campo. Este principio es válido sobre todo en la rehabilitación de brechas edéntulas amplias del sector anterior con varios implantes, dado que existe un riesgo elevado de que aparezcan «triángulos negros» entre los implantes20,21.
A pesar del peso preponderante que en estos casos tiene el procedimiento quirúrgico, no hay que olvidar que, entre otros factores, la elección del pilar y la calidad del trabajo de laboratorio también contribuyen de forma decisiva al éxito del tratamiento. Este aspecto se abordará con mayor detalle en una futura publicación.
Conclusiones
El mayor reto que debe afrontar el implantólogo dental es imitar las estructuras naturales y adaptar el resultado a la situación del paciente de tal modo que la rehabilitación protésica implantosoportada pase completamente desapercibida o sólo sea detectada por un experto en la materia. El implante debe pasar por una fase de osteointegración asintomática y libre de signos de inflamación. Los tejidos duros y blandos periimplantarios tienen que corresponderse con las estructuras adyacentes y la encía marginal debería presentar, a ser posible, un borde de encía queratinizada. La existencia de una encía sana con una porción queratinizada amplia es muy importante no sólo desde el punto de vista estético, sino también funcional. Estos componentes biológicos de la rehabilitación protésica implantosoportada conforman la base de todo el tratamiento posterior. El sistema descrito constituye una guía sucinta cuyo objetivo es ayudar al odontólogo en ejercicio en la toma de decisiones. El presente artículo se refiere exclusivamente al procedimiento quirúrgico, puesto que, en nuestra opinión, constituye con mucho la fase más compleja y con más implicaciones del tratamiento. Los abordajes terapéuticos descritos permiten lograr resultados predecibles, una situación estable de los tejidos duros y blandos, y un pronóstico favorable a largo plazo.
Correspondencia: M. Yildirim.
Consulta dental. Wilhelmstrabe 23-25, 52349 Düren, Alemania.
Correo electrónico: info@prof-yildirim.de
Página web: www.prof-yildirim.de
y
Clínica de Prostodoncia y Ciencia de los materiales. Hospital Universitario de Aachen. Facultad de Medicina de la Universidad Técnica de Renania Westfalia. Aachen (RWTH Aachen). Pauwelsstralie 30, 52074 Aachen, Alemania.
Correo electrónico: myildirim@ukaachen.de
B. Wessing.
Clínica dental del Luisenhospital. Boxgraben 99 52064 Aachen, Alemania.


























































