Introducción
¿Cómo accede un odontólogo a información de alto nivel de evidencia (véase la tabla 1 del artículo «Fin de la jornada» «Medicina basada en la evidencia/Odontología basada en la evidencia»: Quintessenz. 2008;59(9):919-25) en relación con una cuestión que desee resolver sin realizar una gran inversión en tiempo y dinero? Una pregunta sencilla con una respuesta no tan sencilla: si bien es cierto que es relativamente fácil y cómodo descargar esta información en la misma consulta o en el domicilio desde diversas bases de datos de Internet de acceso público o restringido (tabla 1), la enorme cantidad de datos disponibles y la calidad desigual de los mismos dificultan a veces la identificación rápida de la información deseada, si es que está disponible al alto nivel de evidencia deseado. Tener un nivel adecuado de inglés de la especialidad correspondiente es una condición indispensable para sacar provecho de la búsqueda en la mayoría de las bases de datos.
Para la especialidad de prostodoncia existe sólo un número reducido de artículos que informan de estudios clínicos aleatorizados de alto nivel de evidencia que comparan distintos tratamientos5,10,25, por lo que, por regla general, no se pueden elaborar metaanálisis a partir de los mismos19. De acuerdo con la información de la que dispone el autor, hasta ahora no se ha llevado a cabo en ningún país del mundo un estudio aleatorizado controlado que compare la eficacia clínica de los puentes convencionales, de los puentes adhesivos y de implantes unitarios. Por lo tanto, los metaanálisis y las revisiones sistemáticas disponibles sobre tratamientos protésicos hacen referencia «sólo» al análisis de estudios controlados, bien diseñados, de los distintos tratamientos1-4,7-9,11,15-17,19-23,26-28.
El nivel de evidencia de los metaanálisis de estudios clínicos aleatorizados que evalúan un único tratamiento es claramente inferior al de los metaanálisis de estudios clínicos aleatorizados en los que se comparan varios tratamientos. En estos metaanálisis se calculan, por ejemplo, las tasas de supervivencia medias de las restauraciones y/o de los dientes e implantes, pero dado que los tratamientos se utilizaron en grupos de pacientes distintos aplicando criterios de inclusión y exclusión diferentes, los datos son difícilmente comparables.
En los metaanálisis a menudo no se reflejan adecuadamente los avances que se producen en alguno de los tratamientos, como el cambio de los puentes adhesivos de dos elementos retentivos o aletas (tasa de supervivencia a los 5 años: 73,93%) en el sector anterior por puentes adhesivos de una aleta, de cerámica sin metal si procede12 (tasa de supervivencia a los 5 años: 92,3%), cuando se desea por ejemplo determinar la media de la tasa de fracasos de los puentes de doble aleta y de los puentes de una aleta23.
Consideración de datos de alta evidencia científica en la consulta dental
A continuación se propone un método para incorporar datos de gran calidad y accesibilidad universal a la decisión terapéutica en función del ejemplo del tratamiento de brechas unitarias (figs. 1 a 6). La reunión informativa entre el médico y el paciente otorga a éste el derecho a ser informado de las posibles alternativas de tratamiento para su caso particular con las respectivas ventajas, riesgos y costes, así como a decidir el tratamiento al que desea someterse. En este contexto, la eficacia a largo plazo del medio terapéutico, si bien es un criterio importante, no es el único, ya que también se han de incluir en la información datos como la duración del tratamiento, el coste, la invasividad, los problemas estéticos y los riesgos específicos, como la pérdida de vitalidad en preparaciones para coronas o el riesgo quirúrgico asociado a los implantes. (Observación: dado que se puede acceder sin restricciones a las bases de datos de Internet que se citan a continuación, el odontólogo también encontrará útil mencionar estos datos durante la sesión informativa por motivos médico-legales).
Figura 1a. Ausencia del diente 33, dientes adyacentes sin caries.
Figura 1b. Puente adhesivo de metal cerámica de doble aleta.
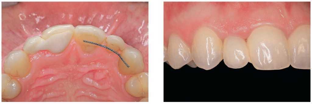
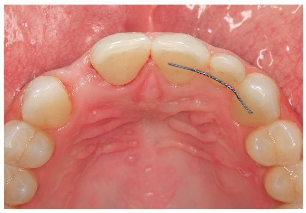
Figura 2a. Ausencia del diente 12, dientes adyacentes sin caries.
Figuras 2b y 2c. Puente adhesivo de cerámica sin metal de una aleta desde incisal (b) y vestibular (c).
Figura 3a. Ausencia del diente 22, dientes adyacentes restaurados con un tratamiento conservador.
Figuras 3b y 3c. Implante unitario con pilar (b) y corona unitaria (c).
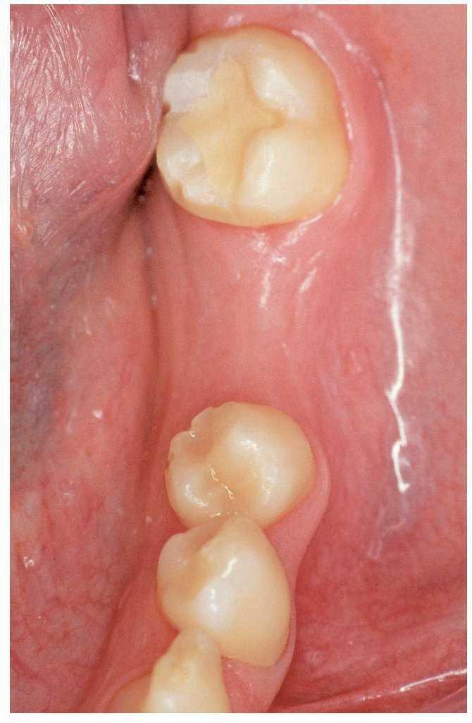
Figura 4a. Ausencia del diente 36, diente 35 sin caries y obturación oclusal en el diente 37.
Figura 4b. Puente adhesivo de metal cerámica de doble aleta que incluye la obturación oclusal.
Figura 5a. Ausencia del diente 36, dientes adyacentes destruidos por caries.
Figura 5b. Reconstrucción de los muñones después de la extrusión ortodóncica mediante imanes de los dientes pilares18.
Figura 5c. Puente de metal cerámica que sustituye al diente 36.
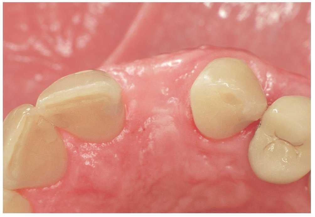
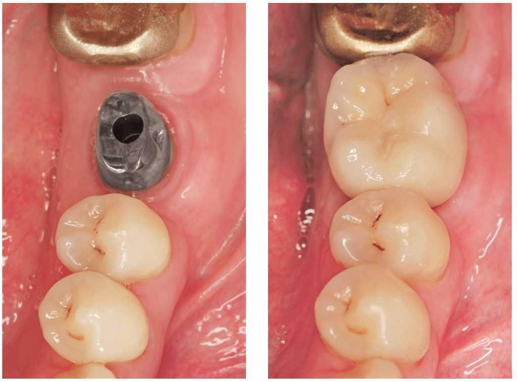
Figura 6a. Implante para sustituir al diente 36. Diente 35 sin caries y corona colada en el diente 37.
Figuras 6b y 6c. Implante unitario con pilar (b) y corona individual (c).
Si el odontólogo necesita obtener de forma rápida y sencilla información de nivel moderado de evidencia sobre el uso clínico y la eficacia de distintos tratamientos, puede consultar las opiniones de expertos sobre diversos tratamientos en las páginas de Internet de DGZMK (URL:www.dgzmk.de/index.php?lnk=m034X). En estas páginas se puede leer que los puentes adhesivos de una aleta en el sector anterior tienen una serie de ventajas frente a los puentes adhesivos de doble aleta y que los puentes adhesivos de cerámica sin metal conservan una buena eficacia durante un período de 5 años13. Estas páginas también contienen información sobre los riesgos específicos de la pérdida de vitalidad después de un recubrimiento con corona6. Sin embargo, la búsqueda de una comparación directa basada en la evidencia de los distintos tratamientos para la restauración de la brecha unitaria será en vano.
El dominio del inglés especializado facilita la localización relativamente rápida de estos datos en la base de datos de la National Library of Medicine (PubMed) (URL: www.pubmed.gov). Así, por ejemplo, la introducción de la combinación de términos «meta-analysis AND fixed AND prosthesis AND dentistry» en el campo de búsqueda a principios de agosto de 2008 proporcionó 27 referencias bibliográficas. Los textos localizados en PubMed permiten evaluar rápidamente la relevancia de la información en función del título y de los resúmenes. (Nota: las palabras clave se han de introducir sin entrecomillar. La exclusión del término «dentistry» proporcionó un total de 72 referencias a principios de agosto de 2008, de las que la mayoría procedía de la medicina humana. Por lo tanto, se puede utilizar el término «dentistry» para limitar la búsqueda a artículos de odontología, aunque con el riesgo de que se pierdan artículos relevantes si la indexación específica del artículo no es correcta. Para evitar este problema debemos, o bien revisar uno a uno todos los artículos identificados, o bien realizar una o varias búsquedas limitadas al campo de la odontología, por ejemplo, con los términos «dental» y «dentistry». En el caso del ejemplo seleccionado, sólo uno de los 27 artículos no pertenecía al campo de la odontología).
Las tasas de supervivencia indicadas en la tabla 2 proceden directamente de datos facilitados gratuitamente a través de resúmenes (abstracts) online, mientras que el resto de los datos indicados en la tabla proceden exclusivamente de publicaciones a texto completo. Para una buena comprensión de los puntos fuertes y de los puntos débiles de un metaanálisis que pueda interesar será imprescindible leer el texto completo de los artículos. Estos artículos se pueden encargar directamente online en formato pdf al enlace de la editorial mediante el pago con tarjeta de crédito o solicitar las separatas al autor principal a través del correo electrónico, dado que entre los datos de la correspondencia suele figurar una dirección de correo electrónico. Algunos artículos se pueden obtener también de forma gratuita a través de la red y otra forma económica de acceder a los mismos es solicitándolos a la Deutsche Zentralbibliothek für Medizin en Köln (URL: www.zbmed.de). De este modo se consigue, con un esfuerzo relativamente modesto, los resultados de búsquedas laboriosas de bibliografía reciente, que se pueden incorporar al asesoramiento de los pacientes y a la toma de decisiones. Las figuras 1 a 6 muestran las alternativas terapéuticas para el tratamiento de brechas unitarias, cada una de ellas con sus indicaciones específicas.
Discusión
Como muestra el ejemplo, hoy día es relativamente fácil obtener, con medios relativamente modestos, respuestas basadas en una alta evidencia científica a algunas preguntas concretas (sencillas) como la planteada acerca de la eficacia a largo plazo en general de algunos tratamientos, si bien con las limitaciones indicadas en la introducción.
Ahora bien, la búsqueda puede resultar considerablemente más difícil de tratarse de preguntas más complejas, comolas perspectivas de éxito de los tratamientos en situaciones especiales, como podría ser una mordida profunda, la presencia de defectos óseos en áreas edéntulas, una inserción periodontal disminuida de los dientes pilares, la presencia de parafunciones, la versión de los dientes pilares o la falta de espacio en la brecha. La dificultad puede ser similar si se han de tener en cuenta parámetros de evaluación como la satisfacción del paciente, las repercusiones funcionales y estéticas, los aspectos preventivos, la relación coste-beneficio o la gravedad de las posibles complicaciones. Hasta ahora estos datos apenas se han considerado en los metaanálisis de distintos tratamientos29.
Por consiguiente, en el proceso habitual de planificación del tratamiento protésico y de asesoramiento del paciente se deben tener en cuenta, por un lado, los resultados de estudios de alto nivel de evidencia (véase la tabla 1 del artículo «Fin de la jornada» «Medicina basada en la evidencia/Odontología basada en la evidencia» en Quintessenz. 2008;59(9):919-25), y relativizar, por otro lado, los resultados basados en niveles más bajos de evidencia (como opiniones de grupos de expertos). La experiencia personal del odontólogo con los distintos tratamientos sirve lógicamente también como evidencia de sus puntos fuertes y sus puntos débiles. No obstante, no se debería olvidar que a menudo determinados tratamientos protésicos, como los puentes adhesivos y las fijaciones por técnica adhesiva, no se tienen en cuenta sólo por no estar suficientemente familiarizados con los mismos14,31.
Del resto de los parámetros antes mencionados que intervienen en la decisión terapéutica, al autor le parecen especialmente importantes la satisfacción del paciente a largo plazo, los aspectos preventivos y la gravedad de las posibles complicaciones. Dado que por regla general suelen faltar datos fiables al respecto, sólo se podrán tomar las decisiones que correspondan después de haber informado al paciente y de acuerdo con éste. En posibles dientes pilares sin (o casi sin) caries se optará por el implante unitario o el puente adhesivo frente al puente convencional, debido al riesgo potencial de dañar la vitalidad pulpar como resultado de la preparación para coronas6. Si en el caso de brechas estrechas en el sector anterior o de raíces anguladas existe el riesgo de dañar el diente adyacente, la desventaja de una eficacia de un puente adhesivo ligeramente peor a largo plazo en comparación con un implante unitario queda sobradamente compensada por el riesgo menor asociado a su uso.
Estos pocos ejemplos ya muestran que, a pesar de tener en cuenta los datos de estudios clínicos de gran calidad metodológica, la recomendación terapéutica sigue siendo un proceso personalizado30. Al fin y al cabo es el paciente quien, después de ser debidamente informado, debería, puede y tiene que decidir cuál de las alternativas terapéuticas técnicamente factibles se debe aplicar en su caso. Lamentablemente, los pacientes no siempre están dispuestos a asumir esta responsabilidad y plantean la famosa pregunta en alguna de sus múltiples variantes: «¿Y usted, doctor, por qué tratamiento se decidiría?». Una pregunta algo ingenua, si se tiene en cuenta que los dentistas, para los tratamientos propios, se deciden a menudo por restauraciones distintas a las que utilizan en sus pacientes24.
Conclusiones
A pesar de que actualmente se puede acceder de forma rápida y sencilla a información de alta evidencia científica para ayudar a tomar una decisión terapéutica en pacientes que deben someterse a un tratamiento protésico de una brecha unitaria, existen otros muchos factores que carecen de un alto nivel de evidencia y que influyen en la planificación del tratamiento y en el asesoramiento del paciente.
Correspondencia: M. Kern.
Arnold-Heller-Strabe 16, 24105 Kiel, Alemania.
Correo electrónico: mkern@proth.uni-kiel.de
















