Pacientes con periodontitis y tratamiento ortodóncico: lo que antes era incompatible hoy es beneficioso
Ante casos complejos es necesaria la colaboración interdisciplinaria de profesionales expertos en los distintos campos como la periodoncia, la ortodoncia y la implantología para proporcionar al paciente un resultado funcional estable y estéticamente satisfactorio. La migración de los dientes anteriores con formación de diastemas y extrusión da lugar a importantes problemas funcionales y estéticos. Asimismo, la pérdida de dientes posteriores con afectación de furca o la mesioversión de los molares provoca una disminución de la dimensión vertical y, como consecuencia de la maloclusión secundaria, protrusión y abanicamiento de los dientes anteriores. Por ello es cada vez más importante conservar los dientes a largo plazo también en pacientes con periodontitis muy avanzada. En el pasado se consideraban incompatibles las medidas ortodóncicas en dientes afectados de enfermedad periodontal. El tratamiento ortodóncico puede desencadenar una reacción inflamatoria intensa en los dientes no sometidos a un saneamiento periodontal previo (Yamaguchi y Kasai, 2005). Por esa razón es imprescindible llevar a cabo el tratamiento periodontal de los dientes con periodontitis antes de instaurar el correspondiente tratamiento ortodóncico. En ausencia de inflamación, el riesgo asociado a las correcciones ortodóncicas es bajo aun en caso de un periodonto dañado por la enfermedad periodontal. Aunque los movimientos meramente de intrusión pueden dar lugar a una ganancia «relativa» de inserción (Nelson et al), se suelen asociar a una reabsorción radicular del orden de 1-3 mm, dado que la encía se mueve en la misma dirección hacia apical (Murokani et al. AJODI. 1982). En el modelo en animales de experimentación se pudo demostrar que los movimientos ortodóncicos mejoran la curación de defectos óseos en la rata (Vardim, Nemchovsky. JP. 2001): la aposición ósea fue 6,5 veces mayor que en el grupo control. La ganancia de inserción después del movimiento ortodóncico fue 1,8 veces mayor (Nemchovsky. JP. 2004) en los dientes con el periodonto dañado.
Los movimientos dentarios ortodóncicos por sí solos no dan lugar a una nueva inserción. Por consiguiente, pueden estar indicadas medidas regeneradoras para crear una nueva inserción (Tietmann y Bröseler. PERIO. 2006; Nemchovsky. Europ J Orthodontic. 2007).
Asimismo, los movimientos dentarios ortodóncicos por sí solos no originan la formación de cemento radicular nuevo.
Sin embargo, la combinación de intervenciones quirúrgicas periodontales regeneradoras y movimientos dentarios ortodóncicos permite conservar dientes que presentan una destrucción periodontal grave (Ghezzi et al. IJIPRD. 2008).
En este contexto no sólo es importante el restablecimiento de la función, sino también la estabilidad oclusal y la rehabilitación estética.
Anamnesis y exploración física
El tratamiento inicial de la enfermedad periodontal es fundamental una vez se ha obtenido una anamnesis completa del paciente y se le han practicado las pruebas complementarias pertinentes. En esta fase se recaba información importante, como el cumplimiento del paciente o la respuesta al tratamiento antiinfeccioso, y se decide sobre las pruebas microbiológicas para la identificación de gérmenes patógenos periodontales. Todos estos datos permitirán realizar una nueva evaluación encaminada a establecer el diagnóstico y el plan de tratamiento.
En el caso de dientes con destrucción periodontal grave existe una indicación estricta para la celebración de una consulta interdisciplinaria ortodóncica precoz durante el tratamiento inicial o, a lo sumo, a su finalización. La planificación terapéutica interdisciplinaria es la mejor forma de valorar el pronóstico de los dientes con destrucción periodontal grave y, a su vez, el objetivo del tratamiento, esto es, la conservación o la restitución de una arcada dentaria cerrada.
Planificación del tratamiento
El tratamiento se planifica en función de la situación clínica del periodonto una vez concluidas las medidas terapéuticas iniciales: las profundidades de sondaje superiores a 6 mm, dada su marcada tendencia a la recidiva (Eickholz, Pretzl. JCP. 2008), deben tratarse con medidas regeneradoras en combinación con cirugía a colgajo con el fin de ganar inserción. Al mismo tiempo, la disminución de la profundidad de sondaje mejora las condiciones para que el paciente siga una higiene bucal correcta, lo que facilita la prevención de las recidivas. La estabilidad del coágulo es fundamental en la cirugía periodontal regeneradora.
Por ello podría estar indicada la utilización de aparatología multibandas en dientes con destrucción periodontal grave con movilidad no fisiológica y dislocaciones antes de la intervención quirúrgica periodontal. Por una parte sirve para ferulizar los dientes con movilidad no fisiológica intensa y, por otra parte, esta medida es la que en realidad permite la intervención en un periodonto gravemente dañado.
Presentación de un caso
El caso siguiente es representativo de lo que se considera un concepto terapéutico interdisciplinario.
Anamnesis
El paciente, de 40 años, por lo demás sano, observó una movilidad no fisiológica progresiva en los sectores anterosuperior y anteroinferior así como una elongación de los dientes 21 y 16. En los últimos años diferentes profesionales le habían practicado sendos raspajes a cielo cerrado en diversas sesiones. El paciente refirió ser fumador de 20-25 cigarrillos al día desde hacía más de 20 años.
Exploración física
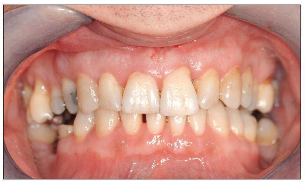
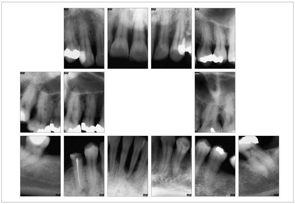
A pesar de que el odontólogo de cabecera había realizado un raspaje a cielo cerrado hacía menos de 2 meses, se observó un absceso periodontal subagudo supurado en los dientes 31 y 21 con destrucción periodontal grave. El diente 31 reaccionó positivamente a la prueba de sensibilidad al frío a pesar de mostrar una pérdida de inserción avanzada en mesial hasta el ápice (profundidad de sondaje [PPD] 11 mm en mesial). El aspecto de la encía correspondía al de un fumador importante: a pesar del grado de destrucción periodontal, la encía mostró un color rosa pálido con una queratinización intensa. El sangrado al sondaje (BOP) estaba muy disminuido como resultado del gran consumo de tabaco y, por lo tanto, se pasó por alto como signo de alerta precoz. Como consecuencia de la elongación secundaria a la destrucción periodontal el diente 21 (PPD 5278) mostraba un traumatismo oclusal. El paciente experimentó una mayor disminución de la dimensión vertical debido a la mesioversión del diente 37. La higiene bucal individual dejó entrever evidentes posibilidades de mejora. En las radiografías se observó una pérdida de inserción horizontal generalizada y vertical localizada (figs. 1 y 2).
Figura 1. Radiografías preoperatorias del 29/8/2006 facilitadas por el odontólogo remitente.
Figura 2. Situación clínica antes del tratamiento inicial.
Tratamiento inicial
En la primera visita se llevó a cabo una exploración exhaustiva y se informó detalladamente al paciente de los resultados. Se le recomendó someterse a un tratamiento periodontal sistemático acompañado de medidas regeneradoras. Se decidió que la planificación minuciosa del tratamiento se llevaría a cabo después de volver a evaluar la situación tras finalizar el tratamiento inicial. Debido a la destrucción periodontal generalizada grave y a las escasas posibilidades de conservación del diente 31, durante el tratamiento inicial se estimó conveniente realizar una interconsulta ortodóncica con objeto de evaluar la posibilidad, antes de empezar el tratamiento regenerador, de corregir la posición y de colocar un retenedor lingual en los dientes anteroinferiores 33 a 43 para ferulizar el diente 31 con movilidad grado III.
Durante el tratamiento inicial se llevó a cabo un cribado microbiológico para 11 gérmenes patógenos periodontales (Microdent-Test, Hain) debido a la pérdida de inserción avanzada en relación con la edad del paciente así como una prueba para la identificación de polimorfismos de la interleucina 1b (Hain) sobre la base de una anamnesis familiar positiva. La prueba del pool microbiológico mostró concentraciones muy altas de Porphyromonas gingivalis (P. g.), Prevotella intermedia (P. i.), Tannerella forsythensis (T. f.) y Treponema denticola (T. d.). La prueba fue negativa para A.a. (Aggregatibacter actinomycetemcomitans). La intervención quirúrgica periodontal posterior se llevó a cabo con cobertura antibiótica sistémica con metronidazol debido al espectro microbiológico identificado en las pruebas realizadas. La prueba del polimorfismo de la interleucina 1b fue positiva. El paciente decidió dejar de fumar después de ser informado exhaustivamente del riesgo asociado al tabaco en relación con el pronóstico de la enfermedad periodontal en curso.
El tratamiento antiinfeccioso dio lugar a una mejoría clara de los síntomas clínicos, lo que permitió emitir un pronóstico preciso para cada diente en el momento de la reevaluación llevada a cabo al final del tratamiento inicial con vistas a una planificación exhaustiva del tratamiento.
Interconsulta ortodóncica precoz
En la interconsulta ortodóncica se llegó a la conclusión de que era posible corregir con ortodoncia las malposiciones mediante aparatología multibandas después de un tratamiento periodontal regenerador eficaz. El objetivo de la corrección era lograr la intrusión del diente 21 elongado y el enderezamiento del diente 37 inclinado hacia mesial para obtener una normooclusión y colocar un futuro implante en la región del 36. Por medio de las fuerzas ortodóncicas intermitentes se pretendía aprovechar los efectos sinérgicos del tratamiento regenerador y del tratamiento ortodóncico para generar nuevas inserciones en el maxilar y en la mandíbula. Para la ferulización se colocaron los brackets de la aparatología multibandas 10 días antes de la intervención. En la mandíbula se colocó el arco para ferulizar el diente 31 con movilidad no fisiológica antes de la intervención, mientras que en el maxilar el arco no se colocó hasta el primer día del postoperatorio para asegurar un mejor campo visual y un mejor acceso durante la intervención quirúrgica (fig. 3).
Figura 3. Los brackets de la aparatología multibandas se colocaron 10 días antes de la intervención quirúrgica periodontal regeneradora. En la mandíbula, el arco para la estabilización intraoperatoria se encuentra colocado en el momento de la intervención, mientras que en el maxilar no se colocó hasta un día después de la intervención para no interferir en el campo quirúrgico.
La estabilidad del coágulo sanguíneo, la clave del éxito del tratamiento regenerador
Se practicó una incisión intrasulcular en la región de los dientes objeto del tratamiento regenerador con un bisturí microquirúrgico (Swann Morton 69) a fin de minimizar el traumatismo de los tejidos blandos. Asimismo, para exponer los defectos intraóseos se preparó de forma atraumática un colgajo mucoperióstico modificado preservando las papilas. Después de llevar a cabo una desgranulación minuciosa y del alisado radicular mecánico y automático se observó en la región del 31, entre otros, una bolsa infraósea de una pared con una pérdida de inserción de 16 mm en mesial y de 14 mm en lingual prácticamente hasta el ápice radicular. El cuadro intraoperatorio muestra claramente que sin la ferulización previa con la aparatología multibandas habría sido imposible llevar a cabo el tratamiento regenerador. Además, la ferulización del diente con movilidad no fisiológica asegura la estabilidad del coágulo sanguíneo, lo que contribuye decisivamente al éxito del tratamiento regenerador de dientes con destrucción periodontal grave.
Los defectos óseos se rellenaron con xenoinjertos de origen bovino (BioOss®, Geistlich, Wolhusen, Suiza) y se estabilizaron con una membrana de colágeno de origen porcino (BioGide®, Geistlich, Wolhusen, Suiza) (figs. 4a a 4e). Después de movilizar ampliamente el colgajo mucoperióstico a través de un colgajo de espesor parcial en apical y en la zona de la incisión vertical, se procedió al cierre sin tensión de la herida utilizando suturas de colchonero horizontales y suturas simples con hilo monofilamento 6/0 y 7/0 en la zona de las papilas (fig. 5).
Figuras 4a a 4e. Detalles del tratamiento regenerador. a Situación clínica en el maxilar 5 días después del tratamiento regenerador: cierre de la herida con sutura monofilamento 6/0 y 7/0, colocación del arco en «0» al día siguiente de la intervención. b Situación clínica en la mandíbula antes del tratamiento regenerador. c Campo quirúrgico lingual: bolsa ósea de una pared, pérdida de inserción de 14 mm en lingual y de 16 mm en mesial. d Campo quirúrgico vestibular: bolsa ósea de una pared, pérdida de inserción de 16 mm en mesial y de 8 mm en vestibular. e Campo después del aumento con colágeno BioOss® y recubrimiento con una membrana BioGide®.
Figura 5. Situación clínica en la mandíbula 10 días después de la intervención y en el maxilar 15 días después de la intervención. Cierre de la herida con sutura de colchonero con sutura monofilamento 6/0 y 7/0.
Tratamiento ortodóncico
El problema de los dientes con destrucción periodontal grave reside en evitar dentro de lo posible la versión controlada o no de los dientes que se van a movilizar. De forma ideal la traslación de este tipo de dientes debería realizarse aplicando la fuerza a través del centro de resistencia del diente. Sin embargo, cuando se ha perdido parte del aparato periodontal, el centro de resistencia se desplaza hacia apical, lo que obliga a llevar a cabo un análisis exacto del modelo de diagnóstico antes de colocar los brackets para tener en cuenta este aspecto biomecánico en el momento de colocarlos. En el presente caso, antes de la intervención quirúrgica periodontal se colocó en el maxilar aparatología multibandas con brackets de ranura de 0,18" y técnica de Ricketts. Dicha técnica se basa en el uso de arcos individuales segmentados, los cuales hacen posible este tipo de tratamiento.
En un primer paso se colocó un arco en «0» que no debe movilizar los dientes, sino que tiene una mera función de estabilización.
En la mandíbula se colocó el arco antes de la intervención quirúrgica periodontal debido al grado de destrucción periodontal, mientras que en el maxilar se colocó el arco al día siguiente de la intervención.
Los arcos, en los que se han moldeado todas las curvaturas para la estabilización, están fabricados en acero o en un material de níquel-titanio ligero. Para lograr una estabilización adicional de estos arcos ligeros se realiza una ligadura en ocho que se cruza en el espacio interproximal.
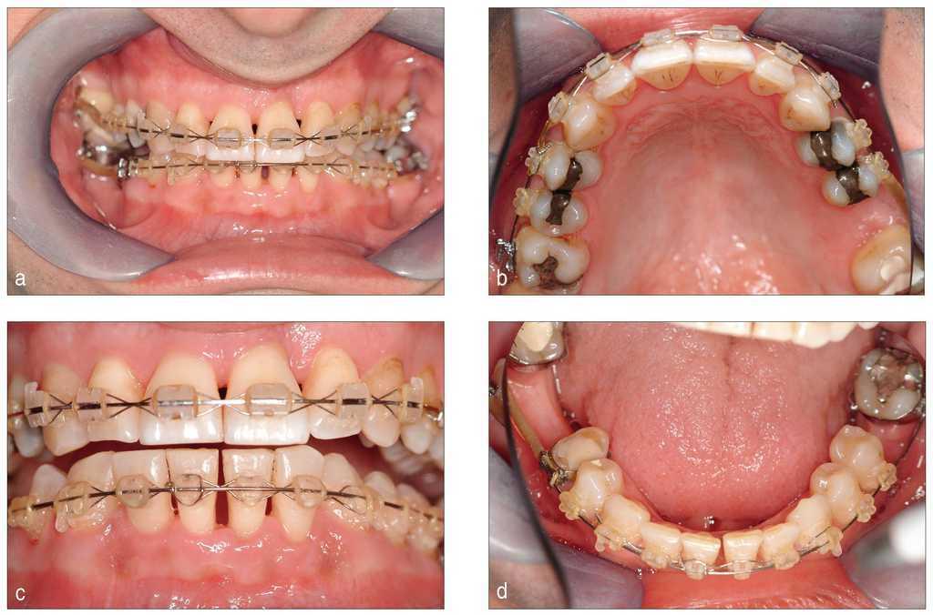
En el caso descrito se combinó un arco de níquel-titanio de 0,12" con una ligadura en ocho (figs. 6a a 6d).
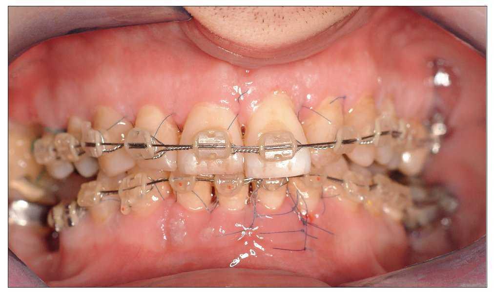
Figuras 6a a 6d. Situación clínica 1 año después de la intervención, 9 meses después de iniciar el tratamiento ortodóncico «activo».
Con este procedimiento se consigue tanto un efecto ferulizante para estabilizar el coágulo sanguíneo como una estimulación sinérgica simultánea del tejido periodontal por la acción de fuerzas fisiológicas poco intensas.
Una vez transcurrida la «fase de estimulación en reposo» se cambiaron los arcos y se fueron sustituyendo a intervalos de aproximadamente 8 semanas y ajustando en cada momento.
Con el primer cambio de arco se iniciaron las primeras movilizaciones leves de los dientes. Se respetaron escrupulosamente las fases de tratamiento ortodóncico habituales, como la fase de nivelación, la fase de guía, etc., para no someter al tejido periodontal a un sobreesfuerzo.
Se realizaron controles evolutivos cada 4 semanas, durante los cuales se comprobaron sobre todo el grado de movilidad y la vitalidad del diente 31, que presentaba una destrucción periodontal grave. Se enderezó el diente 37 mediante arcos continuos de níquel-titanio combinados con un resorte abierto e intermitentemente con un resorte de Burstone de TMA de 0,16-0,16". Por último, se estabilizó el resultado con un arco de acero de 0,16-0,16" y se retiraron las bandas al cabo de 8 semanas del último cambio de arco después de un período de tratamiento total de 18 meses. El mismo día se colocó un retenedor consistente en una férula fabricada con técnica de vacío de 0,2 mm de grosor para estabilizar los dientes en todas las direcciones de la fuerza. Inicialmente, el paciente llevó la férula aproximadamente 4-6 h durante el día y durante toda la noche, y al cabo de 3 meses sólo durante la noche. Se recomienda utilizar en el futuro un retenedor fijo de alambre Twistflex trenzado de 6 hilos en los sectores anterosuperior y anteroinferior (maxilar 019,5", mandíbula 017,5") para estabilizar los dientes sin excluir al tejido periodontal de la función.
El tratamiento de mantenimiento periodontal, la clave del éxito terapéutico a largo plazo
Un tratamiento de mantenimiento periodontal adaptado al riesgo patológico del paciente y realizado sistemáticamente determina en gran medida el pronóstico y el éxito a largo plazo del tratamiento. El refuerzo profesional de la higiene bucal en el hogar es muy importante también durante el tratamiento ortodóncico, un período en el que el paciente suele tener problemas para realizar una higiene bucal correcta (Bröseler y Tietmann. Parodontologie. 2007, 2009).
Uno o dos años después de iniciar el tratamiento, el cuadro es clínicamente y radiológicamente estable con una ganancia de inserción clara y profundidades de sondaje fisiológicas incluso en los dientes 31 y 21, cuyo pronóstico inicial era desfavorable (figs. 7 y 8a a 8c). El odontólogo que derivó al paciente puede asumir a partir de este momento el tratamiento restaurador posterior.
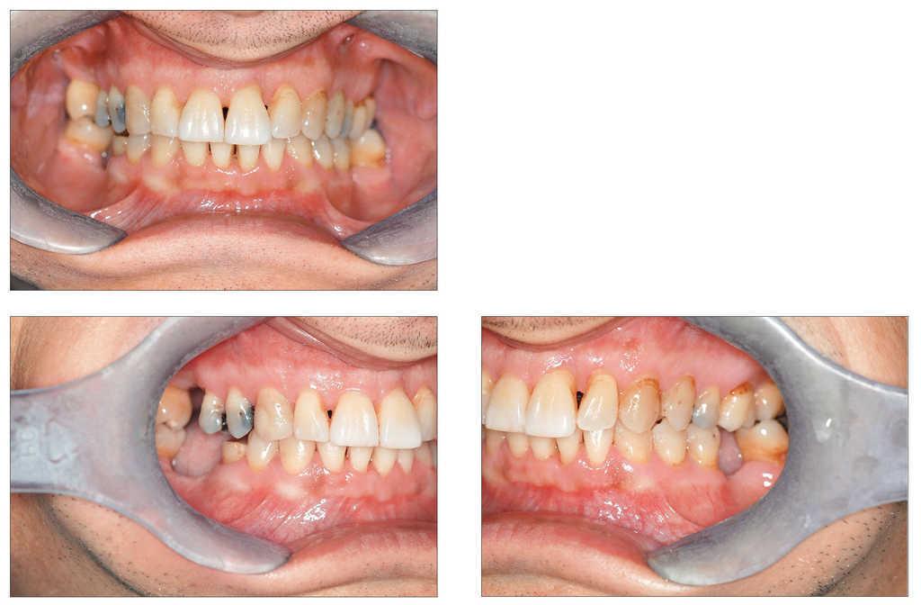
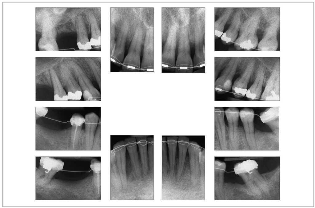
Figura 7. Imágenes radiográficas del 13/3/2008, 1 año después de la intervención: se aprecia una ganancia de inserción clara al cabo de sólo 9 meses del tratamiento ortodóncico «activo».
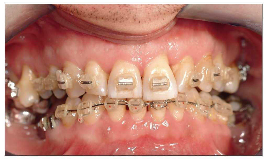
Figura 8. Situación clínica dos años después del inicio del tratamiento: se aprecia un periodonto estable sin alteraciones.
Solicitar la bibliografía a la autora.
Correspondencia: C. Tietmann.
Krefelder Str. 73, 52070 Aachen, Alemania.
Correspondencia: tiet mann@paro-aachen.de










