Introducción
El éxito de un tratamiento endodóntico depende en primer lugar de la eliminación de la causa de la alteración existente, es decir, de la erradicación de todos los microorganismos y de la eliminación de sus productos metabólicos así como de todo el tejido del sistema de conductos radiculares: la preparación químico-mecánica es de vital importancia y un requisito indispensable para lograr una desinfección suficiente del sistema de conductos radiculares.
El objetivo de la obturación es asegurar al más largo plazo posible los resultados conseguidos:
La obturación del conducto radicular debe impedir el paso de nuevas bacterias al sistema de conductos radiculares para evitar la reinfección.
Bloqueando el aporte de nutrientes se evitará el crecimiento y la multiplicación de los gérmenes residuales en el sistema de conductos.
Dado que para multiplicarse las bacterias necesitan espacio además de nutrientes, éste les debe ser privado con una obturación que ocupe por completo el sistema de conductos.
Se debe impedir la salida de las bacterias residuales y sobre todo de sus productos metabólicos del sistema de conductos radiculares.
En los orificios de salida del sistema de conductos radiculares en la superficie radicular se aplicará un sellado sobre el que se ha de regenerar tejido apical sano.
La complejidad de la morfología de los sistemas de conductos radiculares dificulta a menudo la desinfección completa. De estas estructuras forman parte conductos laterales y sobre todo istmos marcados que unen los conductos radiculares a veces con tramos de varios milímetros (figs. 1 y 2) y ofrecen espacio suficiente para alojar tejido pulpar (infectado). Además, durante la preparación de los conductos principales, se comprimen grandes cantidades de residuos en estos istmos16, lo que puede impedir una buena desinfección mediante soluciones de irrigación15. Al revisar los datos relativos a la morfología de los segmentos más apicales de los conductos radiculares, se pone de manifiesto que en los 3 mm finales del conducto radicular predominan secciones transversales muy ovaladas cuya instrumentación mecánica es muy complicada24. Se parte de la base de que durante la preparación de sección redonda se comprimen grandes cantidades de residuos en estos recesos ovalados, lo que dificulta la desinfección.
Figura 1a. Radiografía diagnóstica ortorradial del diente 43: una imagen radioopaca «interrumpe» el conducto radicular en el tercio medio de la raíz, fuerte curvatura apical del conducto radicular hacia mesial.
Figura 1b. En el segmento coronal de la raíz se observan dos conductos radiculares orientados en sentido vestibulolingual que están unidos por un istmo.
Figura 1c. En la proyección excéntrica de la conductometría se aprecia claramente la configuración tipo VI de Vertucci: los dos conductos radiculares están separados por un septo en el tercio medio y se unen nuevamente por debajo de éste mediante un istmo en el que se encuentran todavía restos de CaOH de la primera sesión. Los dos conductos muestran una trayectoria divergente en sentido apical para acabar en un foramen apical cada uno.
Figura 1d. Situación clínica en el momento de la adaptación del cono maestro para la compactación vertical en caliente.
Figura 1e. Radiografía de control después de la obturación termoplástica. Se logró una obturación homogénea y completa de este sistema de conductos radiculares complejo.
Figura 2a. La radiografía diagnóstica del diente 47 muestra una periodontitis apical postendodóntica.
Figura 2b. En sentido vestibular ya se observa un trayecto fistuloso.
Figura 2c. Situación después de la apertura cameral: la obturación existente carece de sellado marginal. No se identificó la luz del conducto radicular original. Alrededor del material de obturación se detecta tejido necrótico de aspecto negruzco, sobre todo en la zona distal donde el conducto radicular adopta una forma marcadamente ovalada. Se pasó por alto y no se preparó el istmo frecuentemente existente en los molares inferiores entre el conducto mesiovestibular y el conducto mesiolingual.
Figura 2d. Después de limpiar el suelo de la cámara pulpar salen a la luz las estructuras del sistema de conductos radiculares que se pasaron por alto en el primer tratamiento.
Figura 2e. Situación después del retratamiento de los conductos principales. Se aprecia con claridad el tejido existente en el istmo mesial.
Figura 2f. Situación después de la preparación completa del istmo mesial coronal. Se pudo palpar otro istmo en el tercio medio de la raíz mesial a través del que fluyó líquido de irrigación. Se preparó este istmo mediante instrumentos ultrasónicos.
Figura 2g. Situación después de la obturación termoplástica. Los istmos también muestran un buen sellado marginal.
Figura 2h. Radiografías de control después de la obturación: el tamaño de la luz obturada es considerablemente mayor en comparación con el tratamiento inicial. Se consiguió una obturación homogénea de los dos istmos situados en la parte coronal y apical de la raíz mesial.
Figura 2i. La radiografía de control realizada a los 12 meses mostró una curación ósea completa de la lesión apical.
Obviamente, a pesar de estas dificultades mencionadas, debe procurarse eliminar por completo las bacterias del sistema de conductos radiculares, si bien ante tales situaciones queda clara la finalidad de la obturación de los conductos radiculares. Existen estudios que sugieren una mayor tasa de éxito para los procedimientos termoplásticos8, aunque los datos actuales no aportan pruebas al máximo nivel de evidencia sobre la influencia del tipo y de la calidad de la obturación sobre el éxito del tratamiento. En este caso se plantean problemas sobre todo a la hora de aislar este factor de otros muchos factores que influyen en el resultado del tratamiento. La influencia del sistema inmunitario de los pacientes respectivos y las limitaciones de las técnicas radiográficas bidimensionales para visualizar las lesiones de origen endodóntico añaden más dificultad a la valoración. Los metaanálisis sobre el tema, basados en estudios mayoritariamente no disponibles en lengua inglesa y, por lo tanto, no accesibles a la revisión por gran parte de los especialistas en la materia17, generan más que nada escepticismo y no deberían ser tenidos en cuenta. Por ello, se recomienda instrumentar, desinfectar y obturar el sistema de conductos radiculares con el máximo nivel de optimización posible.
Técnica con cono central
El odontólogo dispone de diferentes métodos para la obturación de conductos radiculares. La técnica con cono central es un procedimiento practicado con asiduidad en las consultas dentales. Si bien es uno de los métodos más sencillos, en muchos casos, en vista de las peculiaridades anatómicas, no puede satisfacer ni las exigencias técnicas ni las recomendaciones del seguro obligatorio de enfermedad. La finalidad del tratamiento es realizar una preparación con sección redonda del conducto radicular y ocluirlo a continuación con el cono de obturación correspondiente que ajuste a la perfección. La forma irregular de los conductos radiculares, una forma ovalada marcada y los istmos existentes, sobre todo si se asocian a conductos curvos, impiden en muchos casos una preparación totalmente redonda sin perforar o debilitar excesivamente la raíz. Las radiografías rara vez proporcionan información útil al respecto, dado que la forma ovalada de la mayoría de los conductos radiculares se orienta en sentido vestibulolingual y no se detecta la insuficiencia de la obturación con cono central (figs. 3 y 4).
Figura 3a. Diente 21: radiografía diagnóstica: periodontitis apical con reabsorción del ápice radicular. La obturación del conducto radicular ofrece un aspecto tenue, pero con un sellado marginal correcto en sentido mesiodistal.
Figura 3b. Diente 21: situación clínica en el momento de la apicectomía: técnica con cono central en un conducto radicular ovalado. Se aprecia claramente la obturación insuficiente de la luz del conducto. Éste adopta una forma ovalada en sentido vestibulolingual, lo que no era visible en las radiografías.
Figura 4a. La radiografía diagnóstica muestra una obturación con sellado marginal en sentido mesiodistal.
Figura 4b. Situación clínica después de retirar la prótesis que necesitaba ser rehabilitada: el conducto radicular muestra un tramo largo ovalado en sentido vestibulolingual, lo que no se reflejó en la radiografía. El cono central existente sólo ocupa una pequeña parte del conducto radicular en sentido horizontal. Se observan algunos restos de sellador y mucho tejido necrótico en la luz residual.
Compactación lateral en frío
En Alemania, para la compactación lateral en frío sigue empleándose en muchos casos el término «condensación lateral». En realidad este término es incorrecto, dado que el procedimiento no tiene nada que ver con la condensación ni desde el punto de vista físico-técnico ni químico. Por ello, en el ámbito especializado internacional se emplea el término «compactación» (del inglés «compaction»). La American Association of Endodontists (AEE) cambió ya en 1998 el término «condensation» por «compaction» en la 6.ª edición del glosario «Contemporary Terminology for Endodontics».
En el plan de formación de la especialidad de endodoncia, la compactación lateral en frío de gutapercha sigue siendo el procedimiento de referencia. En muchas universidades la formación en técnicas termoplásticas sólo forma parte de programas de postgrado5. El aprendizaje de estas técnicas es más exigente, ya que requiere familiarizarse con el control de las propiedades del material de obturación en función de la temperatura. Asimismo, las exigencias de precisión en la instrumentación de los conductos radiculares son claramente superiores en el caso de las técnicas termoplásticas, dado que ésta desempeña un papel decisivo en el control de la viscoelasticidad del material termoplástico en el conducto radicular. Además, también hay que tener en cuenta que el riesgo de extrusión de material en sentido periapical es mucho menor en la compactación lateral en frío, dado que no se generan presiones verticales. Este es otro motivo por el que se recomienda esta técnica para el profesional inexperto.
Muchos estudios muestran un sellado satisfactorio en la compactación lateral en frío de gutapercha. Sin embargo, la mayoría de los estudios se realizaron en conductos radiculares rectos sencillos. La elección de este tipo de conductos no es casual, ya que permiten una mejor comparación de los resultados y descartar la influencia de estructuras anatómicas de distinto grado de dificultad en los estudios de diferentes técnicas o materiales. Por otra parte no siempre es tan fácil aplicar determinadas técnicas en condiciones anatómicas complejas (curvas marcadas, conductos en S, bifurcaciones profundas, istmos, nichos) como en los diseños de la mayoría de los estudios sobre sellado. Por ello, en dependencia de la anatomía, estos resultados no son aplicables a un gran número de dientes (figs. 5 y 6, fig. 1). Habrá que valorar en cada caso si las condiciones anatómicas existentes permiten aplicar una determinada técnica de obturación correctamente (véase más adelante) o si se pueden crear las condiciones para ello mediante la preparación adecuada del conducto radicular.
Figura 5. El diente 16 después de la obturación termoplástica: la sinuosidad extrema de la raíz mesial hace prácticamente imposible la expansión hasta una distancia de 1 mm de la longitud de trabajo con el riesgo extremo consiguiente de una fractura radicular.
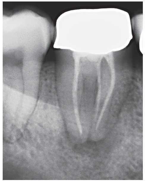
Figura 6a. Diente 47: la radiografía diagnóstica ortorradial muestra dos ápices radiculares separados en mesial y en distal. El trayecto distal del conducto parece finalizar en el tercio medio de la raíz.
Figura 6b. El sistema de conductos radiculares distal muestra una bifurcación al final del tercio medio radicular con restos de tejido en el istmo.
Figura 6c. Preparación finalizada del istmo distal.
Figura 6d. Control radiológico de las longitudes de trabajo.
Figura 6e. Vista del sistema de conductos distal con filtro UV antepuesto, dado que se utiliza un sistema de sellado adhesivo: obturación de los segmentos del conducto en apical de la furcación.
Figura 6f. Situación clínica después de la obturación termoplástica.
Figura 6g. La radiografía de control después de la obturación con técnica de inyección muestra el sistema de conductos radiculares completamente obturado junto con los istmos y algunos conductos laterales así como pequeñas extrusiones de material.
Incluso los sistemas con un único conducto radicular pueden plantear problemas si éste presenta, por ejemplo, una forma marcadamente ovalada hasta la zona más apical. Esta situación incrementa las exigencias a la plastificación y a la compactación del material de obturación en la parte más apical del conducto radicular para asegurar una adaptación completa del material a las paredes del conducto. Algunos estudios han mostrado que hasta en un 65% de los casos no se consiguió obtener una obturación completa estanca en dientes del sector anteroinferior con conductos radiculares ovales a aproximadamente 5 mm del ápice mediante la técnica de compactación lateral en frío27. Además, los conductos radiculares con una forma ovalada en los 5 mm más apicales son un hallazgo muy frecuente24. Más del 25% de las zonas apicales muestran una forma ovalada en tramos muy largos, por lo que ni siquiera en el conducto recto es posible una preparación con sección redonda sin dañar la raíz24.
Aunque los instrumentos para la obturación llegan con una cierta facilidad hasta la zona apical en el caso de conductos rectos, la dificultad aumenta a medida que se intensifica la curvatura radicular, empeorando proporcionalmente los resultados previsibles de la obturación del conducto radicular. En la compactación lateral en frío, sólo se conseguirá la compactación del material de obturación en las zonas en las que se puede trabajar con el espaciador. Si el espaciador no llega hasta la zona apical del conducto radicular no se produce compactación lateral y precisamente en esta zona apical tan importante sólo queda un cono central no adaptado. Hace ya tiempo que se pudo mostrar que, en la compactación lateral en frío, el sellado disminuye significativamente si el primer espaciador no llega al menos hasta 1-2 mm2 de la longitud de trabajo2. Para asegurar que se cumple esta condición hay que llevar a cabo en general una preparación mucho más laboriosa del conducto radicular. Sin embargo, en conductos radiculares muy curvos, a menudo ni siquiera con este procedimiento se consigue que el espaciador alcance una profundidad de penetración suficiente y se generan fuerzas laterales intensas sobre la pared del conducto radicular12. Es imprescindible tomar las medidas de todos los espaciadores en el conducto antes de la obturación para garantizar la profundidad de espaciado necesaria y que los instrumentos que se vayan a utilizar a una profundidad determinada no queden aprisionados entre las paredes del conducto radicular. El aprisionamiento accidental del espaciador aumenta claramente el riesgo de fractura durante la compactación lateral. Pero la toma de medidas, que lamentablemente es un paso frecuentemente olvidado, aumenta considerablemente la inversión en tiempo en esta técnica. Curiosamente algunos libros de texto ni siquiera mencionan la profundidad de espaciado necesaria.
La diversidad de formas y la variabilidad anatómica de los sistemas de conductos radiculares van mucho más allá de la existencia de conductos ovalados y muy curvados20. Las distintas variantes de configuraciones de conductos divergentes o confluyentes dan lugar a formas de conductos sumamente irregulares debido a la presencia más o menos marcada de septos e istmos y también de conductos en C. Estos últimos pueden aparecer en algunos tipos de dientes con una frecuencia de hasta un 52% dependiendo del grupo poblacional21. Los métodos de obturación termoplásticos muestran ventajas precisamente en conductos radiculares con formas anatómicas muy irregulares1,7,9-11,13,14,22,23,27 (fig. 7). Se ha de tener en cuenta también que el valor informativo de las distintas pruebas de sellado parece ser altamente variable19, entre las que destaca sobre todo la prueba de penetración de colorantes utilizada con frecuencia y valorada de forma muy crítica por algunos autores3,6,26, dado que no permite una diferenciación suficiente entre los distintos procedimientos y materiales.
Figura 7a. Diente 37 con un sistema de conductos radiculares en C: la radiografía diagnóstica del diente sometido a una apertura cameral previa realizada en otro centro permite identificar dos raíces fusionadas.
Figura 7b. Después de corregir la cavidad de acceso se puede observar que el conducto radicular mesiovestibular y el conducto radicular distal están unidos por un istmo en la parte coronal.
Figura 7c. La conductometría permite apreciar claramente el trayecto de los tres conductos principales.
Figura 7d. Después de la preparación de los conductos radiculares y de la eliminación de algunas zonas de los septos existentes se visualiza un istmo en mesial que está pendiente de preparación.
Figura 7e. Finalización de la obturación mediante técnica de inyección. El tramo en C se extiende a lo largo de los tercios radiculares medio y coronal.
Figura 7f. El control radiológico muestra una obturación homogénea y con un buen sellado marginal. Se observan tres conductos radiculares separados en la zona apical.
En resumen, se puede concluir que la compactación lateral en frío de gutapercha es una técnica con la que se obtienen resultados aceptables en condiciones anatómicas sencillas, pero que tiene limitaciones claras en función de la morfología del sistema de conductos radiculares. A esto hay que añadir que el procedimiento es considerablemente más laborioso de lo que se suele afirmar si se aspira a una ejecución correcta de la técnica.
Procedimientos termoplásticos
En esta situación conviene analizar el posible uso de procedimientos termoplásticos. Estos consisten en plastificar la gutapercha por calentamiento para lograr una mejor adaptación de la misma a las paredes del sistema de conductos radiculares. Las técnicas termoplásticas ofrecen una serie de ventajas frente a la compactación lateral en frío1,7,9-11,13,14,22,23,27, como una mejor adaptación tridimensional en nichos, recesiones, istmos y otras irregularidades de la pared del conducto, o en variantes anatómicas más complejas (fig. 8, figs. 1 a 3). Esto se aprecia sobre todo en el caso de reabsorciones internas (fig. 9). Se pueden aplicar también en conductos muy sinuosos en los que dependiendo de las circunstancias la compactación lateral en frío completa no es factible. A continuación se explica el procedimiento de la compactación vertical en caliente según Herbert Schilder.
Figura 8. El diente 17 después de una obturación termoplástica: la posibilidad de volver transparentes los dientes permite ilustrar con nitidez que la eliminación de tejido y la obturación completa también es factible en istmos complejos y conductos laterales (descalcificación y fotografía: Dr. Holm Reuver).
Figura 9a. En la radiografía se observa un anclaje insuficiente del perno, una obturación incompleta del conducto radicular, una reabsorción interna inmediatamente en apical del tercio medio radicular y un sellado retrógrado con amalgama después de una apicectomía.
Figura 9b. Después de retirar la corona y el perno intrarradicular y de la obturación se comprueba la ubicación de los restos de gutapercha existentes mediante una radiografía de control.
Figura 9c. Después de la remoción completa de la gutapercha queda a la vista el sellado retrógrado con amalgama y la laguna de reabsorción situada algunos milímetros por encima del sellado.
Figura 9d. Se eliminó el sellado retrógrado mediante ultrasonidos dejando al neoápice libre de restos de material.
Figura 9e. Se efectúa un control radiológico de la eliminación completa del sellado retrógrado.
Figura 9f. Una vez finalizada la preparación y después de una irrigación profusa con NaOCl asistida por ultrasonidos se procede al sellado apical con MTA (Dentsply DeTrey, Konstanz) con un grosor de capa de aproximadamente 4 mm. En la pared del conducto se visualiza claramente uno de los lados de la laguna de reabsorción.
Figura 9g. Control radiológico después del sellado apical con MTA.
Figura 9h. En un paso posterior se rellena la laguna de reabsorción desde apical a coronal mediante una técnica de inyección, reservando al mismo tiempo el espacio para el perno radicular previsto.
Figura 9i. Se realiza un nuevo control radiológico para comprobar la obturación homogénea completa de la laguna de reabsorción y, a continuación, se introduce un perno de fibra de cuarzo (VDW, Múnich).
Compactación vertical en caliente
La compactación vertical en caliente según Herbert Schilder es la técnica de obturación termoplástica más antigua18. Se introdujo en 1967 y se divide en dos fases: downpack y backfill.
Downpack
En la primera fase del proceso de obturación se calienta la punta maestra previamente adaptada con un transportador de calor («heat carrier») en tramos sucesivos de 3 a 4 mm y a continuación se compacta en sentido apical con atacadores fríos. Durante el calentamiento se eliminan porciones de gutapercha. De este modo se genera una ola de gutapercha caliente plastificada que se compacta sucesivamente hacia apical. La gutapercha actúa como un tampón sobre el sellador, que penetra en los recovecos más pequeños, y las irregularidades extensas de la pared se rellenan con gutapercha caliente. La bibliografía ofrece recomendaciones distintas acerca de la profundidad de penetración necesaria de los instrumentos calientes y de los atacadores. Diversos autores recomiendan una profundidad de hasta 3 a 5 mm antes de la longitud de trabajo, mientras que en algunos estudios se demostró que es necesario un calentamiento hasta 3 mm antes de la longitud de trabajo para asegurar el calentamiento y la adaptación completos de la gutapercha alojada en la zona apical4,25. Al final del downpack, el conducto principal vuelve a estar vacío a excepción de los 3 mm siguientes a la longitud de trabajo. Las casas comerciales ofrecen diversos dispositivos para el control electrónico de la temperatura de los atacadores calientes.
Backfill
En la segunda fase del proceso, denominada backfill, se rellena el espacio restante de nuevo con gutapercha. En la técnica original se introducían y calentaban varias porciones de gutapercha, pero actualmente se ha simplificado considerablemente esta operación con el uso de inyectores (fig. 10), que permiten la inyección continuada de gutapercha precalentada. Durante esta fase se rellena el conducto radicular con gutapercha desde la zona apical a la zona coronal.
Figura 10. Inyector Obtura MAX (Obtura Spartan, Earth City, EE. UU.) para la obturación termoplástica.
Compactación lateral en caliente según Herbert Schilder
La compactación lateral en caliente según Herbert Schilder incluye los pasos siguientes:
Adaptación del cono maestro: se introduce el cono principal de gutapercha de modo que tenga una resistencia apical a una distancia de 0,5 mm de la longitud de trabajo, pero sin que quede comprimido.
Se selecciona el tamaño del transportador de calor de manera que penetre en el conducto radicular hasta que quede a una distancia de 3 mm de la longitud de trabajo sin quedar aprisionado.
Se introducen atacadores manuales, preferiblemente de níquel-titanio, a intervalos de profundidad de aproximadamente 3-4 mm. En cada caso deben ser lo más grandes posible pero sin quedar aprisionados.
Se ajusta el inyector. Se adaptará la cánula de modo que llegue hasta la gutapercha en la zona apical para que pueda ser calentada con la punta, lo que permitirá una mejor fusión con el material inyectado.
A continuación se irriga el conducto, se seca y se aplica una fina capa de sellador.
Se introduce el cono maestro, se separa la parte coronal a una distancia de aproximadamente 1 mm por debajo del orificio utilizando para ello el transportador de calor y a continuación se realiza una primera compactación en sentido apical con el atacador correspondiente.
Se calienta un tramo de aproximadamente 3 a 4 mm del fragmento restante del cono maestro con el transportador de calor. Se retira la parte del cono principal en coronal de la punta del transportador de calor. La porción coronal del cono de gutapercha sigue estando caliente y se compacta con el atacador manual correspondiente en sentido apical. Para ello se aplica presión en la parte central, con lo que se genera una delgada capa de gutapercha que se desliza a pocos milímetros del atacador en sentido coronal. Al cabo de unos segundos se afloja el atacador y se compacta la capa de gutapercha generada en sentido apical.
En pasos sucesivos se calientan nuevos tramos y se compactan verticalmente hasta llegar a una distancia de 3 mm de la longitud de trabajo.
En el último paso se obtura la parte del conducto radicular que ha quedado vacía mediante la técnica de inyección desde apical a coronal.
Aprender a controlar el comportamiento térmico del material de obturación es tan decisivo para el éxito del tratamiento como la ejecución correcta de los distintos pasos de trabajo. Para ello hacen falta muchas horas de entrenamiento en dientes exodonciados.
Preparación del conducto radicular
La preparación del conducto radicular, que es esencial para el control de la presión generada en el downpack, es un factor decisivo para el éxito del procedimiento descrito. El tramo apical de 3-5 mm del conducto radicular debe ser preparado con una conicidad del 8-10%. Si bien en muchos casos se pueden utilizar conicidades apicales menores, su uso dificulta el control apical durante la compactación vertical. La preparación de la parte más apical para conseguir un acabado en punta exige, sobre todo en caso de conductos radiculares muy sinuosos, una estrategia específica y conocimientos precisos de las dimensiones de los instrumentos que se utilizarán para la preparación.
Conclusión
La técnica clásica de la obturación de conductos radiculares con la compactación lateral en frío es un método con el que se consigue un sellado bastante aceptable. Sin embargo, en dependencia de la morfología del conducto radicular, su aplicación correcta no siempre es factible. Las técnicas termoplásticas muestran actualmente menos limitaciones en este sentido y ofrecen además algunas ventajas en condiciones anatómicas más complejas. Sin embargo, su uso conlleva el riesgo de extrusión del material de obturación.
Correspondencia: C. Appel.
Poststrabe 17, 53859 Niederkassel (Alemania).
Correo electrónico: mail@carstenappel.de












































