Introducción
Las principales causas de la pérdida temprana de dientes temporales en la infancia son las caries de la infancia temprana y los traumatismos1,2.
La ausencia de múltiples dientes anteriores puede ocasionar alteraciones funcionales, psicológicas, fonéticas y eruptivas, especialmente si ocurren a temprana edad. Frente a esta problemática es necesario evaluar las posibilidades de tratamiento para estos niños. La observación y el control de erupción es una elección aceptable cuando las pérdidas han ocurrido a edades cercanas al recambio dentario; sin embargo si éstas ocurren a edades tempranas, es prudente considerar la colocación de aparatos protésicos, si es que los padres así lo desean3,4.
El objetivo de este trabajo es revisar las consecuencias de la pérdida dental prematura y revisar los beneficios y complicaciones del uso del aparato de Groper en niños, a través de la presentación de ocho casos clínicos.
Consecuencias de la pérdida dental prematura
Las pérdidas dentales en niños pueden ocasionar alteraciones a diferentes niveles, tales como:
Masticación: cuando existe una ausencia dental, el área de contacto dentario se reduce; se dificulta el morder y el masticar. Unos autores afirman que la nutrición puede verse afectada5,6; otros afirman que la alimentación no representa un problema ante la ausencia de incisivos superiores3,7.
Fonación: muchos sonidos se producen cuando la lengua contacta con las caras palatinas de los incisivos superiores y la pronunciación de algunas consonantes («z, c, v, f») puede verse afectada8. Existen estudios que indican que los pacientes con ausencia prematura de incisivos superiores presentan errores en la articulación de las palabras, en especial si son menores de 5 años9. Otros autores refieren que los niños con pérdidas dentales prematuras se acostumbran rápidamente a la situación y no presentan dificultades para hablar o pronunciar3,7,10.
Adquisición de hábitos bucales: en ocasiones la pérdida dental precoz conlleva a la adquisición de hábitos bucales como: exploraciones linguales en el espacio existente, succión de carrillos o labios en la zona o interposición de objetos. Si estos hábitos persisten, podrían ocasionar maloclusiones posteriores8.
Pérdida de espacio: la pérdida precoz de cualquier diente primario puede ocasionar una pérdida de espacio para el permanente debido al movimiento migratorio de los dientes adyacentes hacia el espacio edéntulo4. Esa circunstancia se agrava cuando se han perdido molares o caninos o si la pérdida dental anterior ocurrió antes de la erupción de los caninos primarios3,8.
Retraso eruptivo en la dentición permanente: mientras más precoz sea la pérdida dentaria, mayor será el riesgo de que los incisivos permanentes retrasen su erupción por la fibrosis de la encía11.
Aspectos psicológicos: quizás la consecuencia más importante de la ausencia prematura de incisivos sea la alteración psicológica que puede ocasionar en niños pequeños en pleno desarrollo de su autoestima3,12,13.
Aparato de Groper
Unos de los tratamientos comúnmente utilizados para reemplazar dientes anteriores ausentes son las prótesis fijas con frente estético. En 1984, Jasmin y Groper14 publicaron un artículo describiendo la confección de varios diseños de aparatos fijos con frente estético. En 2001, Waggoner3 describió el procedimiento para la confección de un aparato fijo estético, al que denominó Aparato de Groper.
El aparato de Groper es una prótesis similar al dispositivo de Nance, en el cual el frente estético está soldado a una barra palatina que se sujeta a bandas o coronas de acero cementadas en los molares primarios. Los dientes de reemplazo pueden asentarse directamente sobre el espacio edéntulo o sobre una base acrílica15.
Las ventajas de este mantenedor son: reestablece la estética, mejora la función, mantiene la integridad del arco; previene hábitos secundarios; es de fácil confección e indoloro; necesita poco tiempo de clínica y poca cooperación del niño; es difícilmente removido y necesita ajustes mínimos15,16. Entre las desventajas se incluyen: aflojamiento de las bandas y descementación, gingivitis, caries o descalcificaciones en los dientes adyacentes o pilares, interferencias oclusales o doblamiento de la banda con los dedos3,15.
A pesar de que este aparato parece solucionar de forma fácil y rápida la pérdida dental prematura en el sector anterior, existen pocos reportes clínicos describiendo los beneficios y complicaciones de la colocación de los aparatos de Groper en preescolares; ninguno de ellos publicado en España.
Material y método
Se realizó una revisión retrospectiva de ocho casos clínicos en niños portadores de aparatos de Groper, atendidos en el Posgrado de Odontopediatría de la Universidad de Barcelona, durante el periodo junio 2004-junio 2010. Se registraron tres áreas: características generales de los pacientes, beneficios psicológicos y funcionales de la sustitución protésica y complicaciones del uso de estos aparatos. Las características generales de los pacientes se obtuvieron a través de la revisión de las historias clínicas; los beneficios psicológicos y funcionales a través de una encuesta a padres y niños que se realiza como protocolo un mes después de colocar los aparatos. Las complicaciones fueron registradas mediante un registro protocolar realizado por el odontopediatra durante los meses de control.
Resultados
Los pacientes evaluados tenían un rango de edad entre 3 años, 9 meses y 4 años, 10 meses. La etiología de la pérdida temprana de incisivos superiores fue caries de la infancia temprana severa en seis de los ocho casos (fig. 1). Asimismo en la mayoría de casos (6/8) el aparato fue utilizado hasta el momento del recambio natural de los dientes; el cual ocurrió sin complicaciones. En un caso los padres decidieron no recolocar el aparato cuando éste se descementó a los 9 meses; el otro caso se encuentra en espera del recambio dentario. Las figuras 2 a 6 muestran la secuencia de rehabilitación que se utilizó para la colocación del aparato de Groper.
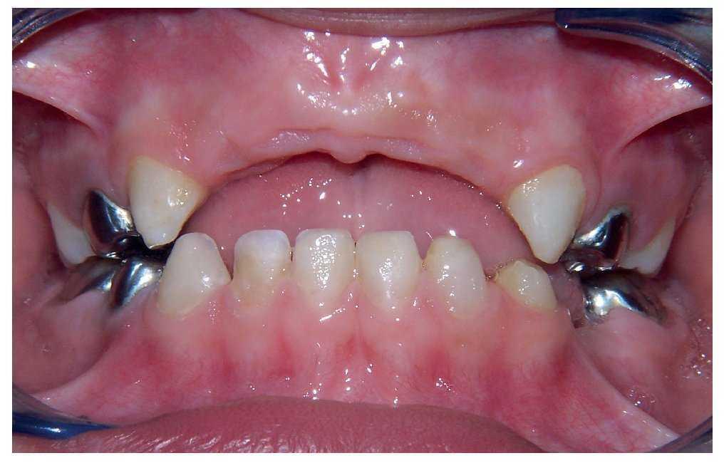
Figura 1. Niño de 4 años con caries de la infancia temprana que ameritó la extracción de sus incisivos superiores y la rehabilitación del sector posterior.
Figura 2. Aspecto extraoral de un niño de 4 años al cual se le extrajeron los incisivos superiores por caries.
Figura 3. Aspecto intraoral del paciente después de haber rehabilitado el sector posterior y de haber realizado las exodoncias anteriores.
Figura 4. Aparato de Groper cementado en los segundos molares primarios con ionómero de vidrio, antes de retirar el exceso.
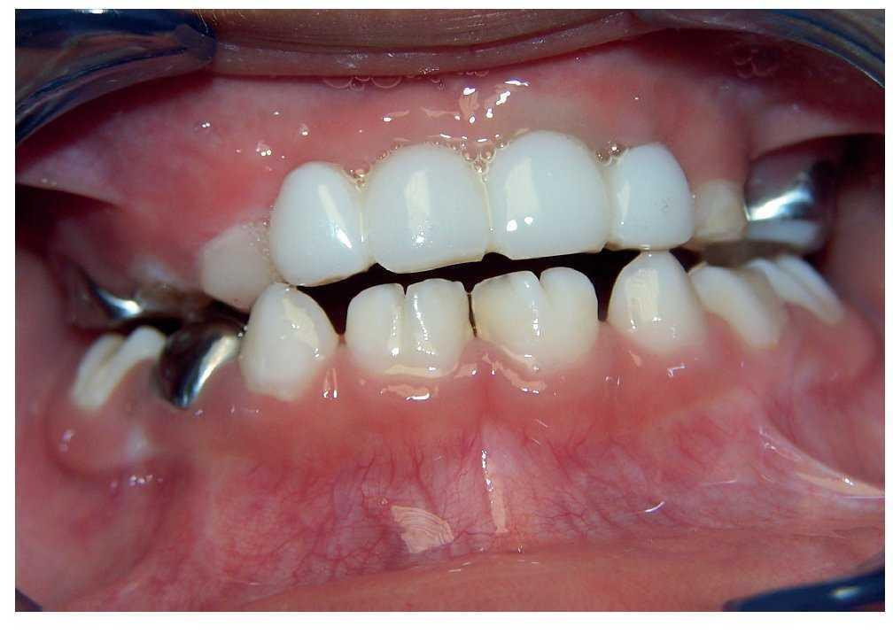
Figura 5. Aspecto intraoral del paciente después de haber colocado el aparato de Groper. Nótese la anatomía abultada y la falta de diastemas entre los dientes acrílicos.
Figura 6. Foto extraoral de la sonrisa del paciente con el aparato de Groper.
La tabla 1 resume las características generales de los 8 casos.
La tabla 2 describe los resultados de la encuesta que realizamos a los padres y los propios niños en relación con los beneficios psicológicos y funcionales de la sustitución protésica, un mes después de la colocación del aparato de Groper.
Las complicaciones que presentaron con la utilización del aparato de Groper durante el periodo evaluado, se resumen en la tabla 3 (fig. 7).
Figura 7. Una de las complicaciones más frecuentes con el uso de los aparatos de Groper fue la fractura de la banda y/o de la barra.
Discusión
Esta pequeña serie clínica demuestra el gran impacto que puede tener la caries de la infancia temprana en la pérdida dental prematura; ya que en seis de los ocho niños menores de 5 años, se extrajeron los cuatro incisivos superiores debido a esta patología. Tomando en cuenta que los niños con caries de la infancia temprana tienen mayor riesgo de presentar nuevas caries en la dentición permanente17,18, estos pacientes se encuentran incluidos en un estricto programa preventivo, con controles periódicos cada 4 meses.
En la encuesta realizada a los padres un mes después de la colocación del aparato, el 87,5% refirieron estar satisfechos con la rehabilitación protésica en sus hijos. Asimismo, la mayoría de padres refirieron que sus hijos: sonreían más; se miraban más en el espejo; habían cambiado positivamente su manera de relacionarse; comían más o mejor y hablaban más o mejor. Con respecto a los niños, a pesar de tener una corta edad, todos refirieron sentirse mejor con dientes que sin ellos y la mayoría (75%) refirió comer mejor.
En relación con las dificultades funcionales y fonéticas un mes después de colocar el aparato de Groper, se registró dificultad para comer y hablar en dos casos. Sin embargo en la visita control al tercer mes, éstas dificultades habían desaparecido. Por ello, creemos que las dificultades iniciales para comer o hablar con el aparato de Groper, al igual que en la restitución protésica en adultos, se presentan sólo durante el periodo de adaptación inicial, que no suele superar un mes.
En relación con las complicaciones, debemos decir que tuvimos más de las esperadas. Las más prevalentes en nuestra serie fueron (con 5 casos): gingivitis alrededor del aparato y/o en los dientes pilares; descementación del aparato; fracturas de la barra palatina o de la banda y repetición de modelos. Asimismo, la mitad de los pacientes doblaron la banda con el dedo o alimentos y en tres niños observamos fractura del frente estético y hábitos secundarios como la succión de labios o protrusión de la lengua. Sólo dos de los ocho pacientes presentaron caries o descalcificaciones en dientes adyacentes al aparato o en pilares.
Creemos que la alta prevalencia de descementaciones podría deberse a: una poca colaboración al momento de la cementación que no permite un campo totalmente seco; «jugueteos» de los niños con el aparato con el dedo o la lengua que pueden ocasionar continuos torques; efectos «palanca» debido a interferencia oclusales y/o al ser mayor la superficie ausente que la de soporte. Las fracturas de la banda/ barra se podrían atribuir a unas excesivas fuerzas de masticación unilaterales o a alimentos de consistencia dura en las zonas donde el aparato es más débil. Debido a la frecuencia de estas complicaciones, resulta de vital importancia advertir a los padres sobre esta probabilidad y no crear expectativas poco realistas sobre la retención y durabilidad del aparato a largo plazo.
La presencia de gingivitis en la mayoría de los niños resalta la importancia de una cita de educación y motivación sobre higiene oral a los padres, haciendo especial hincapié en que la higiene oral de estos niños es responsabilidad de un adulto, al menos hasta que ellos tengan la habilidad motora para realizar solos esta tarea, nunca antes de los 5 años19.
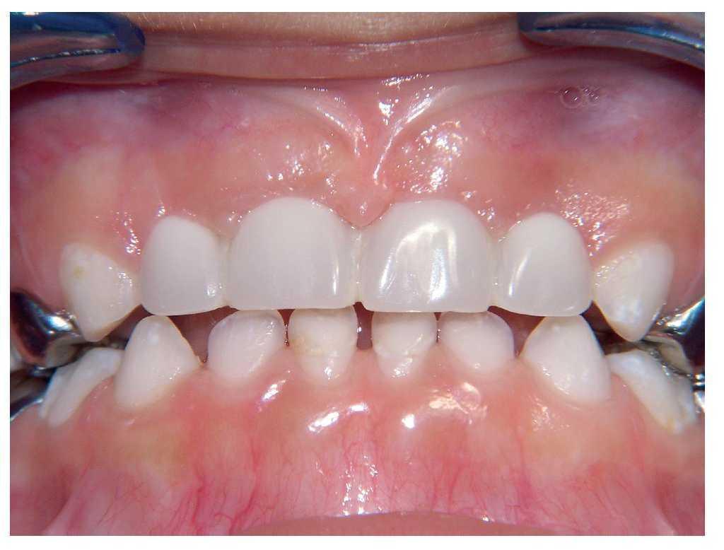
Por último, creemos importante mencionar que a pesar de una previa comunicación con los laboratorios protésicos, la forma y el color de los dientes seleccionados no resultó de nuestro agrado en dos casos (figs. 5 y 8). Creemos que no todos los laboratorios están acostumbrados a realizar este tipo de aparatología en preescolares ni poseen el material adecuado para la confección de prótesis estéticas en la dentición primaria y que las indicaciones estéticas deben ser muy claras para que el resultado sea aceptable (fig. 9).
Figura 8. Segundo caso en el que la anatomía y el color de los dientes acrílicos no imitaron, respectivamente, la anatomía y el color natural de los dientes primarios.
Figura 9. Aspecto estético aceptable de un aparto de Groper.
Conclusiones
Por una parte, la gran mayoría de niños y padres de nuestra serie refirieron una notable mejoría en su aspecto personal y social (fig. 10), y muchos de ellos indicaron una mejora en la masticación y fonación después de colocar el aparato de Groper.
Figura 10. Sonrisa de uno de los preescolares al mirarse en el espejo después de cementar el frente estético.
Por otra parte, existen una serie de complicaciones durante el tiempo de utilización de este tipo de aparatos, especialmente la descementación y la gingivitis. Por ello creemos conveniente realizar una exhaustiva historia clínica, evaluando de manera especial la higiene oral antes de la colocación del aparato y la motivación de los padres para la sustitución protésica. Es de vital importancia explicar a los padres tanto los beneficios como las complicaciones del uso de estos aparatos para no crear expectativas irreales.
Por último, cabe mencionar que a pesar de las complicaciones que puedan surgir con el uso de un aparato protésico con frente estético en preescolares, creemos firmemente que la pérdida dental anterior en la primera infancia puede afectar la seguridad y el normal desarrollo de la personalidad de algunos niños. Por esta razón, se debe valorar la rehabilitación estética del frente anterior en cada caso y decidir, junto con los padres, la mejor solución para el desarrollo psicosocial y funcional de sus hijos.
Correspondencia: M. Leiva.
C/ Provença 98, 4.º 3.ª, 08029 Barcelona Correo electrónico: miriamleiv@gmail.com
C. Palma.
Via Augusta, 28-30, 08006 Barcelona.
Correo electrónico: dracamilapalma@odontologiaparabebes.com














