Caso 645, mujer, 22 años
Calcificaciones intra y extraarticulares en la articulación temporomandibular
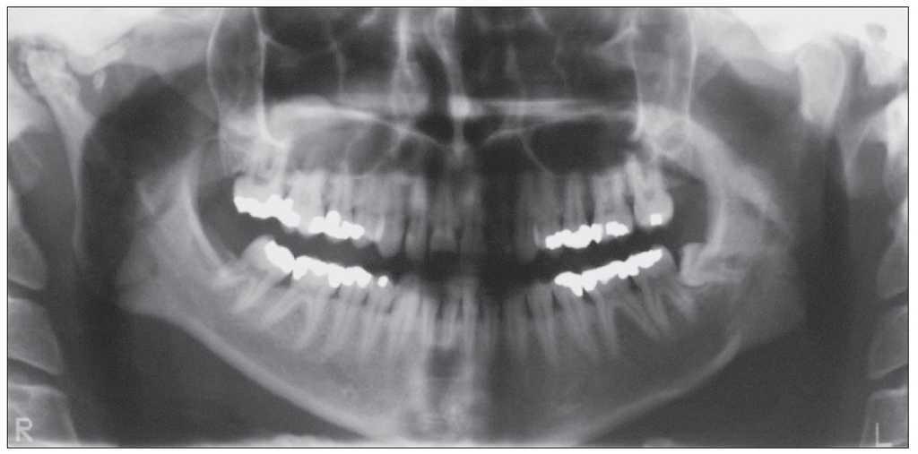
En la radiografía panorámica practicada a una paciente se detectó por casualidad una calcificación en proyección sobre la articulación temporomandibular derecha (fig. 1). La paciente no refirió dolor ni otras molestias.
Figura 1. Radiografía panorámica.
Para una valoración más detallada de las relaciones anatómicas y de las dimensiones de la calcificación se practicó una tomografía volumétrica digital dental. Se observaron múltiples calcificaciones de pequeño tamaño en la parte anterior y media del cóndilo articular (figs. 2 y 3). Se constató una calcificación de mayor tamaño directamente encima del cóndilo. Al mismo tiempo llama la atención un ensanchamiento marcado de la base craneal (fig. 4). Este hallazgo sugiere una posible etiología inflamatoria de las calcificaciones. En pacientes muy jóvenes hay que tener presente la posibilidad de una artritis reumatoide, si bien en el caso que nos ocupa la ausencia de sintomatología clínica iría en contra de este diagnóstico. La falta de síntomas es más bien una característica de la condromatosis sinovial. Esta enfermedad rara que se acompaña de la formación de encondromas aislados, los cuales se calcifican posteriormente, no suele provocar dolor en la articulación temporomandibular hasta fases avanzadas. Es posible observar encondromas libres en el espacio articular. En estos casos hay que hacer el diagnóstico diferencial con una osteocondrosis disecante (OCD).
Figura 2. Tomografía volumétrica digital dental: plano sagital.
Figura 3. Tomografía volumétrica digital dental: plano coronal.
Figura 4. Tomografía volumétrica digital dental: plano coronal. Obsérvese la anchura de la base craneal en comparación con el lado contralateral.
Correspondencia: D. Schulze.
Im Kreuzacker 6, 79252 Stegen (Alemania)
Correo electrónico: dirk.schulze@ghostdoc.de





