Caso 644, hombre, 13 años
Diente 13 desplazado y retenido
El paciente acudió a la consulta para la evaluación de la posición del diente 13. En la anamnesis destaca un traumatismo en el sector anterior a la edad de 6 años. El diente 53 avulsionado fue sustituido por un mantenedor de espacio.
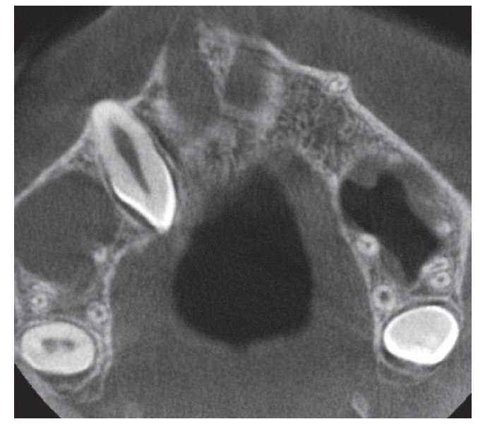
Se obtuvo una tomografía volumétrica digital dental para evaluar una posible movilización del diente 13. En la reconstrucción panorámica (fig. 1) se visualiza el diente 13 muy desplazado en sentido craneal, situándose inmediatamente debajo y cerca de la línea media del seno maxilar derecho. En el plano axial (fig. 2) se observa que la parte coronal del diente ha sufrido una malrotación hacia distal. La reconstrucción sagital (fig. 3) muestra un fragmento apical de la raíz del diente 13 muy curvado hacia craneal.
Figura 1. Tomografía volumétrica digital dental: reconstrucción panorámica.
Figura 2. Tomografía volumétrica digital dental: plano axial.
Figura 3. Tomografía volumétrica digital dental: plano sagital.
Para evaluar la capacidad de movilización de dientes desplazados en pacientes jóvenes se utilizan dos criterios importantes: la visualización completa del espacio periodontal (presencia de una anquilosis) y la configuración de la raíz. Sólo se logra una visualización suficiente del espacio periodontal con un contraste adecuado si el tamaño de lado de los vóxeles es inferior a 200 μm. Por lo tanto, la presencia de una anquilosis incipiente o de anomalías de la morfología o de la topografía radicular pueden influir negativamente o incluso impedir la movilización. En el caso que aquí se comenta, la capacidad de movilización es muy limitada una vez finalizado el crecimiento radicular. Desde una perspectiva actual y con la posibilidad de elegir una técnica tomográfica, debe calificarse de obsoleta la radiografía oclusal utilizada durante tanto tiempo.
Correspondencia: D. Schulze.
Im Kreuzacker 6, 79252 Stegen (Alemania).
Correo electrónico: dirk.schulze@ghostdoc.de




