Caso 630, mujer, 29 años
Desplazamiento discal anterior sin reducción
La paciente acudió a la consulta por un dolor en la articulación temporomandibular derecha. Durante la exploración no se logró percibir un chasquido de apertura de la boca.
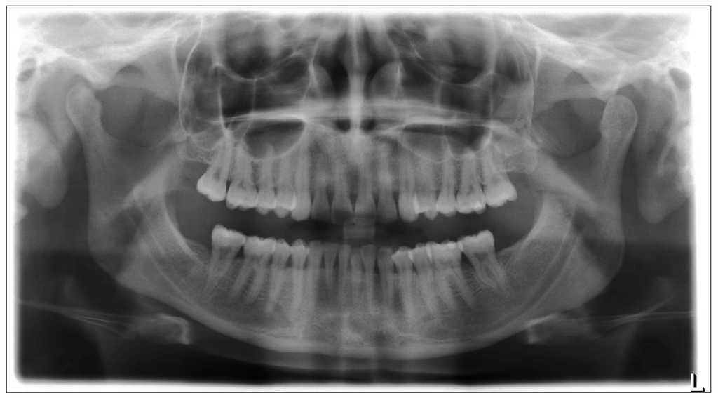
La radiografía panorámica realizada con una ligera apertura de la boca mostró una leve alteración en el borde óseo anterior del cóndilo derecho (fig. 1). La radiografía funcional de la articulación temporomandibular confirmó este hallazgo y puso de manifiesto además una disminución de la movilidad de la articulación temporomandibular en ambos lados (fig. 2). Los cóndilos no lograban alcanzar la posición típica directamente en caudal del tubérculo articular.
Figura 1. Radiografía panorámica.
Figura 2. Radiografía funcional de la articulación temporomandibular.
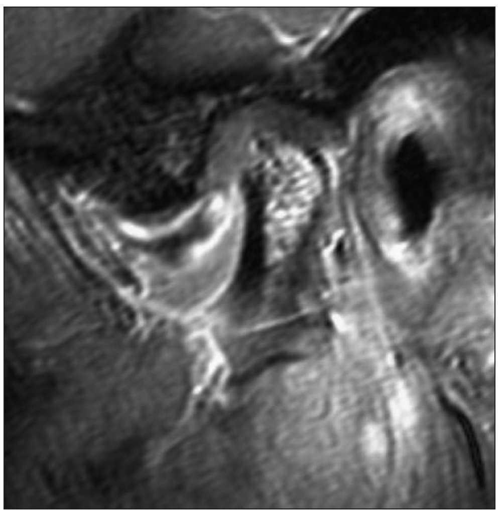
Se obtuvo una resonancia magnética de las articulaciones temporomandibulares debido a los signos de erosión existentes en el cóndilo derecho. Con la boca cerrada, se observa un desplazamiento discal anterior en el lado derecho y también la erosión anteriormente descrita de la sustancia compacta ventral del cóndilo (fig. 3). Al alcanzar la máxima apertura bucal, el disco es desplazado más hacia ventral (fig. 4). Este hallazgo es un signo patognomónico de un desplazamiento discal anterior sin reducción.
Figura 3. Resonancia magnética-plano oblicuo sagital con boca cerrada.
Figura 4. Resonancia magnética-plano oblicuo sagital con boca abierta.
En estos pacientes se suele producir inicialmente una reducción que finaliza con un chasquido. En el momento en que deja de producirse el chasquido, los pacientes refieren un dolor claro, lo que indica que ya no existe reducción.
Correspondencia: Dirk Schulze.
Clínica Universitaria de Odontología, Medicina Oral y Maxilofacial. Sección de Radiología. Hugstetter Strasse 55, 79106 Friburgo de Brisgovia, Alemania.
Correo electrónico: dirk.schulze@uniklinik-freiburg.de





