Caso 629, mujer, 57 años
Pérdida de sensibilidad en el mentón izquierdo tras la inserción de un implante en la región 36 a 37
La paciente acudió a la consulta con una sensación de entumecimiento persistente en el lado izquierdo del mentón y del labio inferior. La paciente refirió que un mes antes su odontólogo le había colocado un implante en la región 36. Al cabo de poco tiempo aparecieron la sensación de entumecimiento y también un dolor urente en esta zona. El odontólogo retiró el implante al día siguiente de la aparición de este cuadro y lo sustituyó por uno más corto.
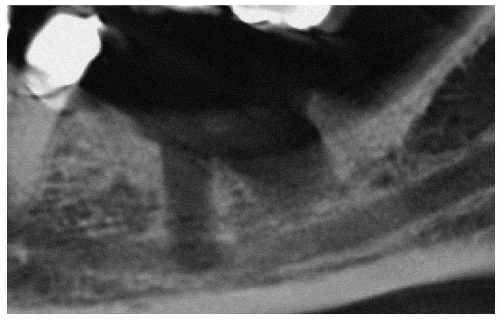
La radiografía panorámica muestra la situación después de la inserción del primer implante, que se proyecta nítidamente sobre el conducto dentario inferior (fig. 1). Después de retirar el implante, se realizó una tomografía volumétrica digital dental. En ésta se observa una perforación cuya parte superior se sitúa en lingual del conducto dentario inferior y, la inferior, penetra en el conducto dentario inferior desde lingual (figs. 2 a 4). Más de 1 año después de la inserción del implante sigue persistiendo la sensación de entumecimiento completo.
Figura 1. Radiografía panorámica.
Figura 2. Tomografía volumétrica digital dental - plano axial.
Figura 3. Tomografía volumétrica digital dental - plano sagital.
Figura 4. Tomografía volumétrica digital dental - plano transversal.
Este tipo de molestias puede aparecer incluso sin una lesión directa del nervio dentario inferior, dado que durante la perforación se comprime tejido óseo en una zona próxima al conducto y esto se puede acompañar de una alteración edematosa del perineuro.
Correspondencia: Dirk Schulze.
Clínica Universitaria de Odontología, Medicina Oral y Maxilofacial. Sección de Radiología.
Hugstetter Strasse 55, 79106 Friburgo de Brisgovia, Alemania.
Correo electrónico: dirk.schulze@uniklinik-freiburg.de





