Caso 625, varón, 10 años
Fractura intraarticular de la cabeza del cóndilo izquierdo
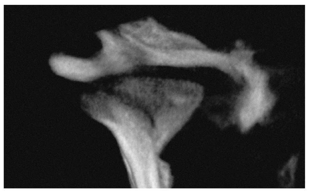
El paciente acudió al servicio de urgencias de nuestra clínica después de sufrir un accidente de bicicleta. La radiografía panorámica (fig. 1) muestra fracturas amelodentinarias en mesial de los dientes 11 y 21. El diente 11 avulsionado como resultado del traumatismo fue reimplantado en primera instancia por la dentista de guardia. La radiografía panorámica no permitió descartar con certeza una fractura del cóndilo izquierdo. En la tomografía volumétrica digital (figs. 2 a 4) practicada posteriormente se observó una fractura intraarticular sin dislocación. Esto permitió descartar con certeza una fractura de cuello.
Figura 1. Radiografía panorámica.
Figura 2. Tomografía volumétrica digital dental, plano coronal.
Figura 3. Tomografía volumétrica digital dental, plano axial.
Figura 4. Tomografía volumétrica digital dental: técnica de representación volumétrica (VRT).
El presente caso corresponde a una fractura de la cabeza del cóndilo de tipo A que engloba a todas las fracturas intraarticulares mediales. Estas fracturas se asocian a menudo al deslizamiento del fragmento medial hacia caudal. El tipo B incluye las fracturas que penetran lateralmente en la cápsula articular. El tipo C comprende las fracturas de cuello altas.
Correspondencia:
Dirk Schulze.
Clínica Universitaria de Odontología, Medicina Oral y Maxilofacial. Departamento de Radiología. Hugstetter Strasse 55, 79106 Friburgo de Brisgovia, Alemania.
Correo electrónico: dirk.schulze@uniklinik-freiburg.de





