Caso 626, mujer, 59 años
Queratoquiste en mandíbula izquierda
La paciente acudió a la consulta para el estudio diagnóstico de una masa en la mandíbula izquierda detectada en una radiografía panorámica (fig. 1). En la radiografía se observa una imagen radiolúcida bien delimitada que se extiende en la apófisis alveolar mandibular desde la región 38 hasta la parte media de la rama mandibular. No se logra una delimitación clara con respecto al conducto dentario inferior izquierdo. En la exploración física no se observaron diferencias entre ambos lados en lo que se refiere a la inervación sensitiva de los respectivos nervios mentonianos.
Figura 1. Radiografía panorámica.
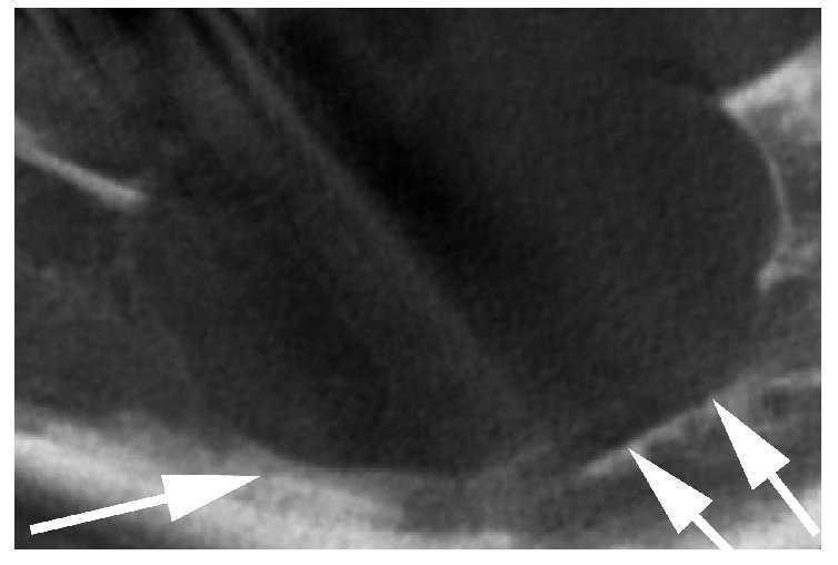
En la tomografía volumétrica digital dental solicitada de forma complementaria se aprecia una masa hipodensa circunscrita con un tamaño de 33 x 18 x 13 mm. El conducto dentario inferior izquierdo está desplazado hacia caudal y lingual (fig. 2). Se observa una apófisis alveolar tumefacta como consecuencia de la masa (fig. 3, flechas negras).
Figura 2. Tomografía volumétrica digital dental, plano sagital. Las flechas blancas marcan el trayecto del conducto dentario inferior (fig. 3).
Figura 3. Tomografía volumétrica digital dental, plano coronal.
El examen histopatológico reveló la presencia de un queratoquiste. Esta alteración también conocida como tumor odontogénico queratoquístico o quiste primordial aparece frecuentemente en la mandíbula como una lesión monoquística de límites bien definidos. Son frecuentes las tumefacciones mandibulares con formación de bordes lesivos ondulados («indentaciones» o «crenación»). El queratoquiste representa el 10% de todos los quistes localizados en el maxilar y la mandíbula. Puede aparecer también en el contexto de un síndrome de Gorlin-Goltz o de un síndrome de Marfan.
Correspondencia:
Dirk Schulze.
Clínica Universitaria de Odontología, Medicina Oral y Maxilofacial. Departamento de Radiología. Hugstetter Strasse 55, 79106 Friburgo de Brisgovia, Alemania.
Correo electrónico: dirk.schulze@uniklinik-freiburg.de




