Para la reconstrucción de los dientes pilares desvitalizados existen diferentes sistemas y materiales para los postes y muñones. Los postes metálicos que tradicionalmente se han venido utilizando exhiben una excelente estabilidad del material y han mostrado buenos resultados clínicos a largo plazo1. Sin embargo, los postes metálicos y las reconstrucciones de muñón-poste metálicas, por su color y su inadecuada transmisión de la luz, comprometen el resultado estético de la reconstrucción final2. En principio, se asume que los postes metálicos grises son una de las posibles razones que justifican el cambio de color que sufren las raíces y que conduce finalmente a una coloración grisácea de la encía en el área cervical2,3. Sin embargo esta especulación, no ha podido ser probada hasta la fecha. Por otro lado, las reseñas clínicas si han demostrado que los postes y muñones oscuros conducen a cambios de color de la reconstrucción en la región marginal4-9. Esto ocurre sobretodo cuando se combinan los postes metálicos grises con reconstrucciones totalmente cerámicas y translúcidas5. Teniendo en cuenta lo anterior, para poder conseguir resultados estéticamente agradables, es necesario enmascarar adecuadamente el color oscuro, gris de los postes y muñones metálicos. Esto se puede llevar a cabo mediante cementos opacos y reconstrucciones que impidan el brillo de los colores poco naturales10,11.
Para situaciones con altos requerimientos estéticos una buena alternativa de tratamiento son los sistemas de poste y muñón de colores estéticos. Además estos postes pueden cementarse también con cementos translúcidos estéticos que mejoran la transmisión de la luz. Por lo tanto están indicados en combinación con materiales restauradores translúcidos12. En 1995 se introdujeron los postes totalmente cerámicos blancos confeccionados en cerámica de zirconio de alta resistencia12. Estos postes cerámicos exhiben un brillo similar al de la sustancia dentaria natural13. En contraste con los postes y muñones metálicos, la aplicación de postes blancos mejora el resultado estético de las reconstrucciones totalmente cerámicas13. Por otra parte, recientemente se ha recomendado el empleo de muñones cerámicos blancos para imitar con mayor precisión el brillo de los dientes naturales13.
Sin embargo, la cerámica es quebradiza y propensa a la fractura debido a fatiga14. Se han reseñado complicaciones clínicas como fractura catastrófica de la cerámica, postes y muñones, lo que en la mayoría de los casos conduce a la perdida del diente pilar15. Para reducir el riesgo de fractura manteniendo al mismo tiempo los beneficios estéticos, se han desarrollado los postes blancos de vitrocerámica con módulo de elasticidad similar al de la dentina16. Los postes de fibra han demostrado suficientes propiedades biomecánicas en diferentes estudios in vitro con condiciones de carga similares a las que se producen in vivo17,18. Los dientes restaurados con postes de fibra resultaron en un menor número de fracturas y en modos de fallo más favorables comparados con los dientes con postes de oro, titanio, o zircanio16,19-21.
A diferencia de las propiedades mecánicas, hasta el momento no se ha analizado de manera sistemática el efecto de los distintos tipos de postes sobre el color de las raíces, muñones, y reconstrucciones.
El propósito de este estudio fue estudiar si los materiales de poste aplicados de acuerdo con los procedimientos clínicos rutinarios afectaban al color de las raíces, muñones de composite, y coronas totalmente cerámicas. La hipótesis fue que ni los postes blancos ni los grises inducirían cambios de color en las raíces, muñones o reconstrucciones.
Método y materiales
Cuarenta incisivos superiores recién extraídos y sin caries se dividieron en 4 grupos de 10 dientes cada uno. Los dientes se dividieron en incisivos con raíces grandes e incisivos con raíces pequeñas. Se distribuyeron los dientes de tamaño mayor y los dientes de tamaño menor de forma equilibrada en los 4 grupos. Los grupos se asignaron aleatoriamente a uno de los siguientes 4 tipos de postes:
Postes blancos (prueba)
Zirconio (Zi) (CosmoPost, Ivoclar Vivadent)
Fibra de vidrio (Fv) (ParaPost, Colténe Whaledent)
Postes grises (control)
Titanio (Ti) (Mooser, Unor)
Fibra de Carbono (Fc) (Cytec Carbon, Hahnenkratt)
Los dientes se limpiaron, y los residuos de los tejidos periodontales se eliminaron cuidadosamente mediante un raspador. Se llevó a cabo el tratamiento de conductos de los dientes empleando un sistema de endodoncia rotatorio (ProFile, Dentsply-Maillefer) y limas calibradas (ProFile 0,06) hasta una lima apical maestra de calibre 40 ISO (Organización Internacional de Estandarización).
Tras la instrumentación final, se obturaron los conductos radiculares con puntas de gutapercha (Autofit Greater Taper Gutta Percha 0,06, Analytic Endodontics) y cemento de conductos AH Plus de Dentsply.
Se realizó una preparación dentaria estandarizada siguiendo las recomendaciones generales para las reconstrucciones de metalcerámica22, modificadas para las reconstrucciones totalmente cerámicas23. Brevemente, se prepararon los dientes mediante una fresa de diamante con conicidad de 6 grados en el hombro y sección transversal apical de 1 mm (n.º 305 L, Intensiv). Después, se cortó horizontalmente la parte coronal de los dientes pilares, dejando un ferrule dentinario vertical circunferencial de 2 mm de altura. El lecho para el poste se preparó empleando los taladros propios de cada sistema hasta una profundidad intrarradicular apical de 7 mm desde el margen dentinario incisal del ferrule. Se preparó un inlay de conducto, dejando un grosor dentinario circunferencial estandarizado de la pared del ferrule de 1 mm.
Los postes se cortaron 3 mmm por encima del ferrule. Antes de colocar los postes, se aisló con vaselina la superficie de la dentina para permitir más adelante la retirada de los mismos y de los muñones. Los postes de Zi y de Ti se abrasionaron con oxido de aluminio de 30 mm de calibre, y se establecieron uniones entre los postes y los muñones de composite mediante la aplicación de un primer para aleaciones (Alloy Primer, Kuraray). Los postes de Fv y Fc se silanizaron (Monobond S, Ivoclar Vivadent) de acuerdo con las recomendaciones del fabricante. A continuación se procedió a colocar los postes en el interior de los conductos radiculares correspondientes, y se fabricaron los muñones empleando un composite (Tetric Ceram A3,5 dentina, Ivoclar Vivadent) de color equivalente al A3,5 de la guía Vita Classical (Vita Zahnfabrik). Después se prosiguió con la preparación final de los especimenes siguiendo los criterios antes mencionados, obteniendo una altura de pilar de 5 mm, con ferrule de 2 mm y una preparación de hombro marginal circunferencial de 1 mm de grosor (fig. 1).
Figura 1. Especímenes de poste-muñón grises (Ti, Cf) y blancos (Zi, Gf) y sus correspondientes raíces, representando a los cuatro grupos estudiados para análisis de las diferencias de color. La preparación dentaria estandarizada abarcó un hombro circunferencial de 1 mm y un ferrule de 2 mm. Los postes y muñones se fabricaron de manera que pudieran ser retirados para el análisis del color.
Para la fabricación de las coronas totalmente cerámicas, los dientes pilares se colocaron en un maxilar artificial y se escanearon con una cámara intraoral digital (Cerec Chairside, Sirona). Las coronas se diseñaron digitalmente con un grosor estandarizado de 1,0 mm en el margen, 1,2 mm en el tercio inferior de la corona, y 1,5 mm en los tercios medio e incisal empleando para ello un software de diseño/fabricación asistida por ordenador (CAD/CAM) (Cerec 3D, framework design, Sirona). Las coronas se tallaron a partir de piezas de vitrocerámica translúcidas (IPS ProCAD, E100, Ivoclar, Vivadent) y se glasearon siguiendo las instrucciones del fabricante.
Para evitar que la desecación de la sustancia dentaria produjera cambios en el color original del diente, los especimenes se almacenaron en un ambiente húmedo (cámara de cloruro sódico) durante todo el experimento. El estudio se realizó a lo largo de 30 días.
Se analizó la influencia del color del poste sobre el color de las raíces dentarias respecto a los procedimientos clínicos aplicados rutinariamente. En estos procedimientos, los postes grises se cementan con cementos opacos para enmascarar su color. En cambio, con los postes blancos se emplean cementos translúcidos estéticos para aumentar la transmisión de la luz12.
En el presente estudio, el cementado de los postes fue solo simulado, ya que se debía permitir la retirada de los mismos y de los muñones y las coronas tras completar las mediciones espectofotométricas. La simulación se realizó reemplazando las pastas catalizadoras de los cementos por vaselina, manteniendo así a los cementos sin fraguar. La cementación de los postes y muñones grises se simuló empleando el color opaco del cemento de resina (Panavia 21 OP, Kuraray). La cementación de los postes blancos y de las coronas se simuló aplicando el color estético del mismo cemento de resina (Panavia 21 TC, Kuraray).
En los grupos que tenían postes grises (Ti y Fc), la cementación de los postes y de los muñones se simuló mezclando la base opaca (OP) con vaselina en una proporción de 1:1. En los grupos con postes blancos (Zi y Fv), se mezcló con vaselina la base de color estético, translúcida (TC) y a continuación se aplicó. Después se eliminó cuidadosamente el exceso de cemento. La cementación de las coronas de cerámica se simuló en todos los grupos de la misma forma, mezclando la base de color estético en proporción de 1:1 con vaselina. El cemento se aplicó a la superficie interna de las coronas, y las restauraciones se asentaron sobre los dientes pilares mediante presión digital. Finalmente se eliminó cuidadosamente el exceso de cemento.
Valoración espectofotométrica del color
Se empleó un espectofotómetro reflectante (Spectroshade, N.º LUA005, Medical High Technologies) para conseguir una evaluación objetiva del color. Este espectofotómetro ha sido descrito en previos estudios, y las condiciones del experimento se realizaron de acuerdo con las descripciones descritas en ellos24. Antes de cada medición, se calibró la cámara con una muestra de cerámica blanca y verde suministrada por el fabricante. Para intentar simular las condiciones intraorales para las valoraciones del color, los especimenes se colocaron en un maxilar artificial que se introdujo en una caja que disponía de un mecanismo de apertura similar al de apertura de la cavidad oral (fig. 2).
Figuras 2a y 2b. Valoración espectrofotométrica del color en un maxilar artificial situado en una caja que simulaba la cavidad oral.
Para la medición del color, el adaptador de las lentes estándares del espectofotómetro se posicionó perpendicular a la superficie estudiada sobre la zona respectiva. Una vez centrada la imagen resultante del área definida en el cuadrado de medición mostrado sobre la pantalla del ordenador, se obtuvo una imagen que mostraba al menos 3 mm2 de la superficie estudiada definida. La determinación del color se ejecutó sobre el monitor del ordenador.
La diferencia de color (ΔE) entre los cuatro grupos se calculó para las siguientes comparaciones (figs. 3 y 4):
Figura 3. Detalle de los grupos estudiados y las zonas de medición para las comparaciones A, B y C.
Figura 4. Detalle de los grupos de estudio coronados y de las localizaciones de medición para las comparaciones D y E.
A. Parte coronal de la raiz (por debajo del hombro de la preparación): vacía o con poste y muñón.
B. Parte coronal de la raiz: poste y muñón solos o postes y muñones cubiertos con cemento (poste gris con cemento opaco; poste blanco con cemento estético).
C. Centro del muñón de composite: postes y muñones blancos o postes y muñones grises.
D. Tercio inferior de la corona cementada o lingote de cerámica original (E100, correspondiente a los colores Vita A1 y A2).
E. Centro de la corona cementada o lingote de cerámica original.
Para evaluar la diferencia de color entre las mediciones espectofotométricas individuales de acuerdo con las comparaciones arriba mencionadas, se emparejaron las dos imágenes respectivas colocándolas una encima de la otra mediante el software correspondiente del espectofotómetro. A continuación se capturó el color en una misma región tres veces, en ambas imágenes, y se calcularon los valores medios24. Después se determinaron consecutivamente en cada punto de interés los parámetros de color CIE-Lab (Comisión Internationale d'Éclairage, L = luminosidad, a = saturación a lo largo del eje rojo-verde, b = saturación a lo largo del eje amarillo-azul), y se calculó la diferencia de color (ΔE) entre las dos situaciones de acuerdo con la siguiente ecuación24-26:
ΔE = [(Lantes - Ldespués)2 + (aantes - adespués)2 + [(bantes - bdespués)2]1/2
Para realizar una evaluación clínicamente relevante de la diferencia de color, los valores ΔE se compararon con el umbral ΔE crítico de 3,7 para distinción del color intraoral percibido por el ojo (a simple vista)27.
Análisis estadístico
Los datos se visualizaron por medio de trazados gráficos. Se calcularon los valores medios, las desviaciones estándares, y los errores estándares de las medias para cada grupo y todas las comparaciones. Se emplearon el análisis de varianza (ANOVA) de un factor y la prueba de Kruskal-Wallis para analizar los datos para comparaciones (A, B, C, D, y E) (P < 0,05). Lógicamente se realizaron todos los procedimientos de comparación múltiple pareada empleando la prueba de Tukey para establecer comparaciones estadísticamente significativas entre las medias individuales de los grupos de prueba (P < 0,05).
Resultados
Tanto los postes blancos cono los grises indujeron solo ligeros cambios de color en las raíces (comparación A). Además, estos cambios de color radiculares no se vieron influidos de forma significativa por la aplicación del cemento correspondiente (comparación B). Sin embargo, la desviación estándar del cambio de color fue más elevada en los postes grises cubiertos con cemento opaco que en los postes blancos cubiertos con cemento estético. En ambas comparaciones (A y B) las diferencias de color quedaron bastante lejos del umbral clínico de ΔE 3,7.
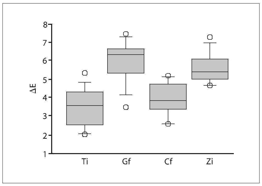
Sin embargo los postes grises si condujeron a un cambio de color significativo y clínicamente visible en los muñones de composite (comparación C; P < 0,0001), prueba de Kruskal-Wallis (tabla 1, fig. 5). Ello se debió fundamentalmente a la luminosidad (L) significativamente menor de los muñones de composite de los postes grises comparada con la de los postes blancos (comparación C; P < 0,0001, Prueba de Sheffé) (tabla 2). Las diferencias de color entre las regiones marginales de las coronas de cerámica y el color original de los lingotes fueron significativamente más elevadas en los postes y muñones blancos que en los grises (comparación D; P < 0,0001, prueba de Kruskal-Wallis). La luminosidad media medida (mL) del lingote de cerámica fue de 68,9 ± 0,2. Comparativamente la luminosidad media de las coronas en las regiones marginales fue más elevada en los postes y muñones blancos (tabla 2). Los postes y muñones grises indujeron menor aumento de la luminosidad, lo que indicaba que este determinado lingote de cerámica (colores Vita A1-A2) se parecía más en luminosidad a los postes y muñones grises que a los blancos (tabla 2).
Figura 5. Representación gráfica con cajas de las diferencias de color (ΔE) en la comparación C. Se encontró un cambio de color del muñón de composite significativamente mayor en los postes grises (Ti, Cf) que en los poste blancos (Zi, Gf).
El aumento del grosor de la cerámica a 1,5 mm, en los postes y muñones blancos y grises, en las regiones axiales de las coronas, indujo diferencias de color similares entre las coronas y los lingotes de cerámica (comparación E) (tabla 1, fig. 6). Finalmente, se advirtió un efecto beneficioso global de los postes y muñones blancos en comparación con los grises respecto a la luminosidad de las coronas de cerámica, aunque no en grado significativo (tabla 2).
Figura 6. Representación gráfica con cajas de la las diferencias de color (ΔE) en comparación D. En comparación con el lingote cerámico original bastante grisáceo, los postes grises (Ti, Cf) indujeron diferencias de color en los tercios inferiores de las coronas menores que los postes blancos (Zi, Gf).
Discusión
En el presente estudio el color de los postes de endodoncia no tuvo influencia clínicamente relevante sobre el color de las raíces. Los postes grises no indujeron en las raíces cambios de color grises. Respecto al color de los muñones, los postes grises indujeron un cambio de color significativamente más elevado de los muñones de composite que los postes blancos. Finalmente el color de los postes y muñones si exhibió una influencia significativa sobre el color de la región marginal de las coronas cerámicas. En las regiones centrales, los postes y muñones blancos y grises indujeron un grado de cambio de color similar.
Los resultados del presente estudio demuestran que el color oscuro de una raiz no se ve influido ni por la aplicación de cementos opacos en los postes grises ni por el empleo de postes blancos. El sombreado grisáceo frecuentemente observado de la encía alrededor de los dientes no vitales no se asocia al material del poste. Consecuentemente, y sobretodo en pacientes con biotipo fino de los tejidos blandos que presentan poca capacidad de enmascaramiento28, el cambio de color de la raiz en si mismo sigue representando un importante problema para el resultado estético en la áreas visibles de los maxilares (fig. 7). El cambio de color puede ser causado por numerosos factores, como necrosis pulpar, hemorragia intrapulpar, remanentes de tejido pulpar, materiales de obturación para endodoncia, medicamentos intracanaliculares, o materiales de restauración oscuros29. Un método frecuentemente defendido para mejorar el aspecto de los dientes no vitales que han sufrido cambios de color es aplicar en ellos agentes destinados al blanqueamiento de la dentina. Los métodos de blanqueamiento tradicionales se aplican en la profundidad de los conductos para mejorar el color de las raíces, sin embargo, se ha reseñado que este método puede inducir destrucción del periodonto, lo que conduce a un elevado riesgo de reabsorción radicular30. Por ello, resulta urgente desarrollar nuevos métodos de blanqueamiento intrarradiculares no destructivos
Figura 7. Ejemplo clínico del sombreado grisáceo de la encía adyacente a una raiz no vital obscurecida.
Capaces de reducir el oscurecimiento de las raíces y, en consecuencia, el sombreado grisáceo de la encía adyacente.
Recientemente se ha evaluado in vitro e in vivo La influencia del color de los distintos substratos sobre el color de la cerámica11,31-34. En todos los estudios, excepto en uno33, los especimenes con color oscuro, condujeron a un importante cambio de color de la cerámica11,31-33. Los resultados del presente estudio concuerdan con estos hallazgos. Concretamente, los cambios de color clínicamente visibles fueron debidos a la importante disminución de la luminosidad del composite en los postes grises. En cambio en las regiones marginales de las coronas cerámicas con postes y muñones blancos, la luminosidad aumentó. También en las regiones centrales, se observó el efecto beneficioso de los postes y muñones blancos. En los postes y muñones blancos, el cambio de color que se produjo se mantuvo por debajo del umbral de las diferencias de color clínicamente visibles de 3,727, mientras que en los postes y muñones grises se situó significativamente por encima del umbral. Sin embargo, las diferencias no fueron estadísticamente significativas entre los dos. El grado de discoloración está fuertemente correlacionado con el grosor y la opacidad de la cerámica11,31,32,34-36. Cuando se aumentó el grosor, se demostró un mejor efecto de enmascaramiento de la cerámica, que prevenía los especimenes grisáceos y las discoloraciones11,31,32,34. En el presente estudio, que examinó grosores de cerámica marginales de 1,2 mm, el cambio de color de la cerámica causado por los postes y muñones fue más pronunciado en las regiones marginales que en las regiones centrales, que presentaban un grosor de 1,5 mm. En estas regiones, el efecto de enmascaramiento del color de los postes y muñones mejoró, aunque no fue optimo. Para el enmascaramiento de las reconstrucciones de poste y muñón en coronas de vitrocerámica, se recomendó un grosor de al menos 1,6 mm a 2,0 mm11,31.
Otra opción en los postes y muñones oscuros sería enmascararlos mediante cementos opacos34. Sin embargo cuando se aplica este método, el resultado estético final no es totalmente controlable11. Otro método para disimular los postes grises sería emplear como material de muñón composites de colores opacos37. A pesar de que tipo de composites presentan una opacidad mucho mayor solo permiten conseguir el enmascaramiento efectivo de los fondos oscuros cuando se emplean mínimos de composite de 2 mm37. Esto puede ser resultar muy problemático en los dientes de tamaño pequeño, como los incisivos laterales. En los dientes pequeños, el grosor del muñón muchas veces es menor de 2 mm. En resumen, todos los «métodos de enmascaramiento» tienen sus problemas. O bien no resuelven completamente los problemas estéticos, o bien obligan a eliminar una mayor cantidad de sustancia dentaria de la deseada. Siguiendo los requisitos actuales de los conceptos de tratamiento restaurador no invasivos, la investigación futura debería centrarse en el desarrollo de métodos de blanqueamiento intrarradiculares no lesivos.
El presente estudio analizó el efecto estético de los postes grises y blancos aplicados según los protocolos clínicos rutinarios. El diseño del estudio se centró en la obtención de resultados que pudieran ser trasladables a la situación clínica. Con esta intención, se analizó la influencia del color de los postes sobre las raíces dentarias en combinación con los respectivos cementos empleados en la práctica clínica. Gracias a ello el estudio, además de estudiar la influencia del color de los postes, permitió comparar conceptos de tratamiento clínico. Una limitación del presente estudio, sin embargo, fue la diferente aplicación de cementos en los postes blancos y grises. Para poder comprender totalmente las diferencias es necesario llevar a cabo en el futuro investigaciones con un mismo tipo de cemento.
Conclusión
Dentro de las limitaciones del diseño del presente estudio, podemos concluir que el sombreado grisáceo de la encía adyacente a las raíces oscurecidas no puede reducirse ni eliminarse mediante la aplicación de postes blancos. Sin embargo, los postes y muñones blancos combinados con coronas de vitrocerámica, influyen de forma positiva en el resultado estético. En los casos en los que encontramos ya colocados postes y muñones oscuros para poder disimular el substrato oscuro debemos asegurar un espacio superior a 1,5 mm para la corona de vitrocerámica.
Agradecimientos
Los autores quieren mostrar su agradecimiento al Dr. Giorgio Menghini y a Mrs Bogna Stawarczyk por su valiosa ayuda en el análisis estadístico de los datos. Además, agradecen a las compañías Unor y Hahnenkratt su apoyo en este estudio por el suministro de los postes y a Ivoclar Vivadent por el suministro de los postes y el composite.
Correspondencia: I. Sailer.
Department of Fixed and Removible Prosthodontics and Dental Material Science. Center for Dental and Oral Medicine. University of Zurich. Plattenstrasse 11, CH-8032 Zúrich, Suiza.
Correo electrónico: irena.sailer@zzmk.uzh.ch










