Introducción
El objetivo del diagnóstico radiográfico en odontología y en medicina oral y maxilofacial es reproducir las complejas áreas anatómicas del esqueleto facial de la forma más detallada posible y sin superposiciones. No cabe duda de que el diagnóstico mejora cuando el objeto por examinar se encuentra representado en varios planos espaciales en lugar de en sólo una vista.
Habitualmente la radiografía panorámica sirve de base para emitir el diagnóstico. Con frecuencia también es necesario realizar radiografías intraorales para poder visualizar mejor un área determinada, aunque en muchos casos no aportan información nueva. Resulta más conveniente realizar imágenes en un segundo plano con el fin de obtener una representación completa de la alteración patológica detectada. En la odontología y la medicina oral y maxilofacial se puede lograr dicho objetivo por medio de dos sistemas. Se trata de la radiografía panorámica (RP) y de la tomografía volumétrica digital (TVD). No se debe olvidar la radiografía oclusal axial clásica, que permite obtener una imagen intraoral de la zona mandibular en un segundo plano.
Radiografía panorámica y TVD
La radiografía panorámica ha evolucionado a lo largo de los años y se ha convertido en el sistema de referencia para reproducir no sólo los dientes, sino también otras zonas del esqueleto facial, como la articulación temporomandibular y el tercio medio de la cara. Una de las mejoras destacables fruto del perfeccionamiento de la radiografía panorámica es la tomografía transversal. Estas tomografías se pueden realizar con la unidad de radiografía panorámica y permiten obtener una representación tridimensional del diente y del maxilar. Aunque no se trata de imágenes tridimensionales propiamente dichas, las tomografías transversales son imágenes en un segundo plano y complementan los cortes longitudinales de la RP para incrementar la seguridad diagnóstica y terapéutica.
Las indicaciones para obtener una imagen diagnóstica de los dientes, l a cavidad oral y los senos maxilares en un segundo plano, es decir, perpendicular a la RP, son muy numerosas. Con frecuencia un tamaño muy reducido y la presencia de puntos adyacentes muy cercanos entre sí hacen necesaria una segunda radiografía que permita delimitar con exactitud la extensión del objeto de examen.
Además de la información topográfica, el aspecto médico-legal constituye un factor cada vez más importante. Así, en muchos casos la tomografía transversal ya proporciona un diagnóstico satisfactorio y seguro sin necesidad de recurrir a la TVD ni a la TC.
La ampliación de la información diagnóstica beneficia tanto al odontólogo como al paciente. El odontólogo obtiene una reproducción más detallada del objeto de examen, lo que le permite instaurar el tratamiento con mayor seguridad. En muchos casos los beneficios son mayores que los riesgos, de modo que en diagnósticos más complejos la indicación suele estar justificada. Para el paciente, disponer de la imagen en varios planos del problema que tratar le proporcionará una mayor información y aumentará su grado de comprensión y de satisfacción en relación con las intervenciones previstas.
La radiografía panorámica y la TVD son dos sistemas radiográficos totalmente distintos, algo que se pone de manifiesto tanto en la calidad de la imagen como en el valor informativo de las exploraciones. La radiografía panorámica trabaja con el principio de la difuminación. Las estructuras no contenidas en la capa radiográfica se desdibujan en mayor o menor grado cuanto más alejadas se encuentran de dicha capa. No obstante, estas estructuras se reproducen en el receptor de imagen y en algunos casos pueden tener un efecto perturbador sobre la imagen. La calidad de imagen de las radiografías panorámicas transversales se pudo mejorar notablemente con ayuda de la radiología digital, de modo que ahora permite esclarecer muchos más diagnósticos que en el pasado.
Por su parte, la TVD se puede considerar una sucesora de la tomografía clásica. Con ella se puede reproducir en detalle la totalidad del esqueleto facial en todos los planos. La alta calidad de la imagen digital permite reproducir en la misma medida hallazgos de los dientes, del maxilar y del tercio medio de la cara hasta el punto de que permite aclarar todas las dudas diagnósticas, a excepción de casos aislados. Entre las principales ventajas cabe destacar la baja exposición a la radiación en comparación con la TC y la menor aparición de artefactos provocados por el metal en la zona de los dientes.
La importancia de la tomografía transversal se puede exponer por medio de las siguientes características:
Calidad de la imagen: gracias a los sistemas digitales se ha podido seguir reduciendo el grosor de corte, lo que ha permitido mejorar notablemente la calidad de imagen especialmente en el sector posteroinferior (fig. 1).
Figura 1. Control postoperatorio después de la colocación de un implante en la mandíbula derecha.
Disponibilidad: la tomografía transversal no requiere más aparatos, dado que se puede realizar con una unidad de radiografía panorámica. No obstante, dicha unidad debe cumplir ciertos requisitos técnicos y una condición indispensable: la capacidad de generar un corte estrecho. Por consiguiente, el propio odontólogo puede realizar las radiografías rápidamente con el equipo de la consulta y con un coste menor que la TVD o a la TC.
Indicaciones: la tomografía transversal tiene múltiples aplicaciones cuando se trata de aclarar cuestiones diagnósticas sencillas. La planificación de implantes unitarios, la presencia de masas quísticas o de dientes retenidos y también la obturación de conductos radiculares son sólo algunos ejemplos de las áreas en las que se puede utilizar la tomografía transversal (figs. 2 y 3). En los casos excepcionales en los que la información proporcionada por la imagen no es suficientemente concluyente se puede realizar además una exploración con TVD.
Figura 2. Cortes transversales e imagen piloto con dos implantes en el conducto nervioso.
Figura 3. Cortes transversales e imagen piloto con material de obturación de conductos en el conducto nervioso.
Básicamente la tomografía transversal y la TVD complementan el diagnóstico radiográfico aportando otras perspectivas. El clínico puede emitir sus diagnósticos con una seguridad mayor que en el pasado y planificar el procedimiento quirúrgico correcto sin pérdidas de tiempo. Los dos métodos deberían utilizarse con más frecuencia; la tomografía transversal para diagnósticos sencillos y la TVD para planificaciones terapéuticas complejas. Con la TVD los odontólogos disponen de un método radiográfico de altas prestaciones y perfectamente válido que permite reproducir alteraciones patológicas o realizar una exploración preoperatoria en todos los planos.
Cortes longitudinales estrechos
La tomografía transversal se ha mejorado para obtener cortes longitudinales estrechos con un pasillo de corte de cinco dientes. Se trata de un método radiográfico comparable a la radiografía panorámica, pero los cortes son más estrechos, de modo que el maxilar y la mandíbula se pueden reproducir con mayor detalle. En el sector anterior los cortes longitudinales siguen de forma exacta la curvatura de la arcada y en el sector posterior son lineales. Esta adaptación a la forma de la arcada permite reducir las superposiciones al mínimo en la zona del ecuador.
Estas características hacen que sea posible utilizar los cortes longitudinales en todas las áreas. La calidad de la imagen es superior y la aplicación más sencilla en comparación con otras técnicas. Se pueden combinar cortes longitudinales con un grosor mayor (5 mm) con tres cortes transversales estrechos para obtener una imagen tridimensional de la zona por tratar. Otra opción es realizar tres cortes longitudinales paralelos más estrechos. Este método de alta precisión resulta muy útil para localizar obturaciones de conductos en la región molar (figs. 4 y 5).
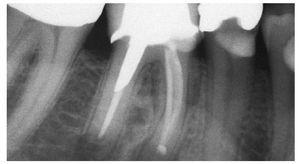
Figura 4. Detalle de una radiografía panorámica con el diente 26 de tres raíces endodonciado.
Figura 5. Reproducción por separado de los conductos obturados de las raíces palatina, mesial y distal.
La opción de gran formato permite visualizar áreas más amplias. Por consiguiente, las imágenes longitudinales se utilizan cuando las radiografías intraorales no son suficientes por su pequeño formato (figs. 6 a 8).
Figura 6. Visualización deficiente del ápice radicular tras la apicectomía del diente 46.
Figura 7. Visualización completa y sin distorsiones con cortes estrechos longitudinales para el control de la apicectomía del diente 46.
Figura 8. Conductos radiculares obturados con una imagen radioopaca debida a una lesión poliposa basal del seno maxilar.
Conclusión
La tomografía transversal digital permite esclarecer una gran cantidad de diagnósticos en el ámbito de la odontología y de la medicina oral y maxilofacial. Desde su introducción en el año 1995, la calidad de la imagen se ha mejorado constantemente. Pero la aplicación de sensores digitales ha supuesto un avance sin precedentes. Los nuevos cortes longitudinales complementan las eficaces imágenes transversales. La combinación de ambas técnicas ha permitido mejorar notablemente el diagnóstico, puesto que con ellas se puede obtener una reproducción detallada tridimensional de la situación dental y maxilar (figs. 9 y 10).
Figura 9. Cortes transversales para visualizar material extraño subgingival.
Figura 10. Visualización del material extraño en tomografías longitudinales.
La experiencia acumulada durante años demuestra que con la tomografía transversal se puede cubrir una gran parte de los diagnósticos en cirugía, endodoncia, periodoncia y, naturalmente, en implantología sin grandes costes y con una exposición a la radiación reducida. La necesidad justificada de obtener una imagen tridimensional de alteraciones patológicas se puede cubrir en muchos casos con la radiografía panorámica. Dado que la TVD aporta sin duda un mayor valor diagnóstico, esta técnica se reservará a los casos de diagnóstico difícil y complejo. Sin embargo, la radiografía panorámica transversal y longitudinal es suficiente para esclarecer una gran cantidad de diagnósticos. La reproducción de la alteración patológica en varios planos es decisiva y con la tomografía transversal de última generación se puede realizar más fácilmente que en el pasado. Por consiguiente, la importancia de la tomografía transversal ha ido en aumento y en muchos casos constituye una alternativa a la TVD.
Correspondencia: A. Fuhr,
Martinistraße 52, 20246 Hamburgo, Alemania.
Correo electrónico: afuhrman@uke.uni-hamburg.de











