El retratamiento de una endodoncia es un método tera-péutico acreditado para la conservación de los dientes naturales. Se crean las condiciones adecuadas para fa-vorecer la curación de una lesión persistente después de una endodoncia. No existe una relación entre el tama-ño de la radiolucidez apical y la indicación de un retratamiento ortógrado o retrógrado. Las tasas de éxito dependen de la posibilidad en cada caso de la resolución de los problemas que plantean los conductos radi-culares respectivos. El uso de un microscopio dental, de técnicas de preparación sonoabrasivas mínimamente in-vasivas y de ultrasonidos para la limpieza y la desinfec-ción amplía el espectro terapéutico y las posibilidades de conservar los dientes naturales. En los casos compli-cados es útil que se establezca una buena colaboración entre el endodoncista y el odontólogo general.
IntroducciónEn dientes con daños irreversibles en la pulpa el trata-miento de conductos ortógrado primario consigue conservar el diente afectado en más del 90% de los casos si se aplican los conceptos terapéuticos clásicos de la endodoncia. La presencia de una infección bacteriana del complejo pulpodentinario asociada a una pulpa necrótica y una periodontitis apical disminuye la tasa de éxito hasta el 60–80%. La prevalencia de la periodontitis apical se sitúa en un 12–64% en la franja de edad de 20–30 años y en el 55–82% en los pacientes de edades comprendidas entre 50 y 60 años23–25,28. Con el enveje-cimiento aumenta también la proporción de dientes en-dodonciados y de dientes con periodontitis apical. Con el aumento general de la edad de la población se incre-menta la necesidad de retratamiento de dientes endodon-ciados13.
Las causas más importantes de alteraciones postera-péuticas incluyen la persistencia de microorganismos después del tratamiento inicial, conductos radiculares o segmentos de conductos radiculares no tratados, sella-do deficiente de restauraciones con corona o, en casos aislados, la aparición de reacciones a cuerpo extraño e infecciones extrarradiculares14,31,35,36,39. Una enfermedad postendodóntica puede ir acompañada de sintomatología clínica ocasional o persistente.
En las radiografías se observan a menudo alteraciones apicales persistentes o de aparición reciente. Por otro lado, la ausencia de síntomas o de hallazgos patológicos bidimensionales en las radiografías no significa que se pueda descartar la existencia de enfermedades postera-péuticas. Las áreas de radiolucidez apical pueden quedar enmascaradas en función del haz de radiación, o bien es posible que la colonización microbiana del sistema de conductos no haya desencadenado todavía una reacción inflamatoria en el hueso alveolar.
La finalidad del retratamiento endodóntico es crear las condiciones para la curación completa y la conservación a largo plazo de un diente. La limpieza y la desinfección completas del sistema de conductos favorecen la remisión de los síntomas clínicos y la curación de las reacciones inflamatorias periapicales20. Un retratamiento realizado a tiempo logra en determinados casos prevenir la aparición de una enfermedad secundaria de carácter infeccioso.
Para valorar los resultados del tratamiento endodón-tico es necesario realizar controles clínicos y radiológi-cos. En general, se recomienda llevar a cabo un primer control al cabo de 6 meses. Los dientes con periodonti-tis apical deben ser sometidos a controles de repetición hasta la regresión completa de la translucidez apical o perirradicular. El período hasta la curación completa puede prolongarse hasta los 4 años18.
Las tomografías tridimensionales serán las que permi-tirán, junto con la exploración clínica y las radiografías bidimensionales, un mejor control del proceso curativo en el futuro.
Indicación del retratamientoEl retratamiento endodóntico está indicado en los si-guientes casos:
- •
Dientes endodonciados con signos radiográficos de una periodontitis apical persistente o de nueva aparición secundaria al tratamiento endodóntico.
- •
Dientes endodonciados con síntomas clínicos de una periodontitis apical secundaria al tratamiento endodón tico.
- •
Dientes endodonciados con signos radiográficos o clínicos de una obturación deficiente de los conductos (como falta de homogeneidad, conductos o segmentos de conductos no tratados, material de obturación de cali- dad dudosa u obsoleto, como puntas de plata) sin signos clínicos o radiográficos de periodontitis apical.
- •
Obturaciones radiculares con exposición a la cavi- dad oral y a la dentina cariada.
- •
Dientes endodonciados con reabsorciones inflama- torias externas progresivas.
En estudios epidemiológicos la tasa de éxito del tratamiento endodóntico en presencia de una periodontitis apical fue de sólo un 35–78% de los casos23,27. Los estudios clínicos controlados muestran resultados claramente mejores con cifras que varían entre el 77% y el 94% de los casos11,22. Las tasas de éxito mayores reflejadas en los estudios clínicos se consiguieron en centros universitarios y en consultas de endodoncistas. La gran variabilidad de los resultados es un indicio de la posible relación entre el resultado del tratamiento y la formación y el nivel de actualización de los terapeutas, de los medios técnicos dis-ponibles y, sobre todo, de un tiempo de tratamiento ade-cuado. Si además de la infección bacteriana se produce un bloqueo o un desplazamiento de la trayectoria de los conductos durante la primera endodoncia, la tasa de éxito experimenta una disminución adicional notable16.
Las condiciones esenciales para llevar a cabo un retratamiento endodóntico incluyen una exploración, un diagnóstico y un plan de tratamiento precisos. El tratamiento se desarrolla en tres fases diferenciadas:
- 1)
Remoción atraumática de restauraciones y de materiales de obturación.
- 2)
Solución de los problemas que hubieran apareci- do durante el primer tratamiento (errores de instrumen tación como formación de escalones, perforaciones o fragmentos y variantes anatómicas como obliteraciones parciales o ramificaciones profundas).
- 3)
Limpieza, desinfección y sellado del sistema de conductos.
Además de las preguntas sobre enfermedades médicas generales y tratamientos farmacológicos que pudieran alterar la respuesta inmunitaria del paciente6,33 también son importantes las preguntas relativas a los tratamientos endodónticos anteriores. Cuanto más precoz ha sido el tratamiento endodóntico de un diente, mayor es el ta-maño de los túbulos dentinarios y más facilidades exis-ten para la colonización bacteriana a través de istmos anchos y de un foramen apical amplio. Asimismo, un foramen apical ancho puede favorecer el desplazamiento periapical de material de obturación antiguo. Se puede estimar también el período de tiempo a lo largo del que se ha producido la colonización bacteriana.
Los signos sugestivos de una determinada patogénesis son importantes para descartar las posibles causas de la enfermedad postendodóntica. No es raro que en dientes sin caries, que fueron endodonciados y que mostraban una periodontitis apical, persista la causa original de la enfermedad. En este tipo de dientes es importante bus-car variantes anatómicas como fisuras radiculares o una invaginación1,7 (figs. 1a y 1b). Las lesiones secundarias a traumatismos requieren una revisión exhaustiva de la región directamente afectada y de los antagonistas en el marco de la que se examinará la sensibilidad y se busca-rán microfisuras, fracturas y reabsorciones.
Se pasó por alto la puerta de entrada de una infección en un diente 12 sin caries a través de una invaginación. Vista desde palatino con displasias del esmalte en incisal y un agu-jero ciego con apertura ca-meral central (a). Radiografía con contraste del diente 12 para determinar la trayecto-ria de los conductos radicu-lares. Se desvitalizó el diente 11 en otro centro (b).
La duración y el tipo de tratamiento ortodóncico pre-vio o de tratamiento funcional en la disfunción tempo-romandibular (DTM) influyen en el estado periapical radiográfico de los dientes. Las imágenes radiolúcidas periapicales pueden deberse a procesos de remodelación ósea o a una colonización bacteriana del complejo pul-podentinario, por lo que requieren un estudio diagnósti-co diferencial21.
Es imprescindible documentar los posibles síntomas patológicos. Si bien los datos relativos a un cuadro de dolor no son comparables desde el punto de vista cua-litativo ni se pueden clasificar de forma inequívoca, pueden aportar algún tipo de información que facilite el diagnóstico diferencial.
Exploración física y pruebas complementariasLas pruebas que se realizan antes de llevar a cabo una primera endodoncia no varían de forma esencial de las efectuadas antes de un retratamiento. Una forma de pro-ceder sistemática y precisa en la exploración clínica y radiológica y en su documentación es decisiva para un diagnóstico y un diagnóstico diferencial de precisión.
La exploración física y las pruebas complementarias incluyen los siguientes apartados:
- •
Evaluación de la mucosa (tumefacción, cicatrices, fístulas, tinciones/tatuajes, depósitos, sangrado).
- •
Palpación, percusión y movilidad dentaria.
- •
Valores de sondaje y afectación de furca (seis a ocho puntos de medición).
- •
Carga funcional estática y dinámica, infracciones, facetas de desgaste.
- •
Radiografía.
- •
Prueba de sensibilidad.
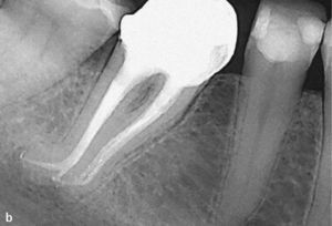
Antes de tomar una decisión sobre la conveniencia de instaurar un retratamiento endodóntico hay que asegurarse de que el diente se pueda conservar. En caso de le-siones de caries profunda que requieren probablemente un alargamiento coronario quirúrgico por medio de una osteotomía y una preparación subgingival, se ha de eva-luar con una actitud especialmente crítica los intentos repetidos de conservar el diente (figs. 2a y 2b). Además de los desafíos técnicos existentes a la hora de solventar los problemas que presentan los conductos, en el proce-so de toma de decisiones previo al inicio del tratamiento también hay que tener en cuenta la carga funcional pre-vista del diente. Especialmente en el caso de los dientes unirradiculares es necesario disponer de una porción de corona natural de al menos 2mm para la restauración38.
Radiografía inicial del diente 16 obtenida para deter-minar las perspectivas de conser-vación. No se visualiza bien la tra-yectoria del conducto radicular. Una infraobturación y una lesión de caries profunda distal sugieren que la inversión para conservar el diente será cuantiosa (a). Una vez finalizado el tratamiento endodóntico hará falta un alargamiento coronario quirúrgico o una extrusión ortodóncica para poder realizar una restauración con corona adecuada (b).
En el momento de planificar un tratamiento en una consulta de odontología general se debe partir siempre de la base de que el tratamiento se llevará a cabo en va-rias fases. En muchos casos no se podrá fijar un calen-dario de tratamiento preciso hasta haber establecido un diagnóstico invasivo más exhaustivo.
Después del aislamiento absoluto del campo con dique de goma se prepara la cavidad de acceso endodóntico. Si ello no fuera posible por el grado de destrucción de la corona se debería estabilizar el diente afectado en la medida de lo posible con una reconstrucción adhesiva18.
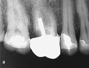
Una vez evaluada la situación después de la apertura cameral se puede decidir si es factible conservar la restauración (corona) existente o si se ha de eliminar total-mente (fig. 3). Con la visualización de los orificios de entrada de los conductos y de los istmos se puede determinar el número de conductos tratados y no tratados, lo que permite elaborar un plan financiero más ajustado (fig. 4). Al mismo tiempo se puede determinar el mé-todo y el material de obturación utilizado en la primera endodoncia. El despliegue de medios para la retirada del material de obturación antiguo puede variar mucho y debe ser incluido en la planificación del material y de los tiempos de tratamiento (fig. 5). En este sentido des-tacan los pernos de cerámica, las puntas de plata corroí-das y parcialmente fracturadas o los portadores plásticos recubiertos de gutapercha que exigen mucha experien-cia, tiempo y medios auxiliares técnicos óptimos3.
Evaluación de la situación después de la aper-tura cameral. Una vez preparada la cavidad de acceso endodóntico en el diente 27 se observa intracoronalmen-te una caries secundaria a la altura del margen mesial de la corona. Una vez finalizado el tratamiento endodóntico será imprescindible confeccionar una corona nueva para evitar filtraciones.
Vista del diente 17 después de la preparación de la cavidad de acceso endodóntico y exposición de los orificios de entrada de los conductos. En la imagen se pueden distinguir tres conductos radiculares tratados en la primera endodoncia (flechas negras), tres orificios artificiales sin perforación (flechas amarillas) y dos tra-mos vitales no tratados del sistema de conductos mesio-vestibular (flechas rojas).
Con el uso de la electrometría se consiguen diferen-ciar claramente orificios de entrada de conductos en localizaciones atípicas y perforaciones, lo que permi-te elegir el cemento reparador adecuado en función del lugar en el que se encuentre la perforación. Una preparación en profundidad en seco de los orificios de entrada de los conductos radiculares con fresas redondas de tallo largo de tamaño 005-012 (Drux, Gummersbach) facilita la identificación de fracturas verticales y de infracciones. Los residuos generados durante la preparación se depo-sitan en las fisuras y las marcan (fig. 6). La conservación de un diente con una fractura vertical no es reco-mendable debido a su mal pronóstico, de modo que el diagnóstico invasivo ampliado permite mantener la inversión en tiempo y dinero dentro de límites razonables.
ComplicacionesUna situación de partida complicada con problemas pendientes de solucionar incrementa el riesgo de complicaciones intraoperatorias: perforaciones, fractura de instrumentos, extrusión de material de obturación anti-guo y/o preparación de escalones19,26. Por este motivo se recomienda solicitar la colaboración de un endodoncista con experiencia en el uso de un microscopio dental y de técnicas de preparación sonoabrasivas mínimamente in-vasivas5.
Secuencia terapéuticaRemoción atraumática de restauraciones y de materiales de obturaciónAntes de iniciar el nuevo tratamiento del sistema de conductos radiculares es necesario eliminar los materiales de reconstrucción de muñones y retirar los pernos aplicados con sistemas de adhesión dentinaria macrome-cánica o microrretentiva.
En el caso de pernos roscados prefabricados se retira el material de reconstrucción del muñón sin tocar el perno de retención, se afloja el cemento a lo largo de la superficie de unión con una técnica mínimamente invasiva y a continuación se hace oscilar el perno con ultrasonidos mediante movimientos circulares. Una vez aflo-jada la unión cementada se puede desenroscar y retirar el perno roscado del conducto en sentido antihorario sin ejercer fuerza.
Las reconstrucciones con perno-muñón confeccio-nadas a medida se rebajan con una fresa de metal duro hasta alcanzar un tamaño equivalente al diámetro del conducto radicular. Después de exponer la junta de cemento se puede proceder a una preparación mínimamente invasiva a lo largo del perno radicular con ayu-da de ultrasonidos y teniendo en cuenta las estructuras anatómicas. Para este cometido ha demostrado ser eficaz el uso de limas de acero de tamaño ISO 20 y 25 con el sistema Endochuck (EMS, Nyon, Suiza). Como alterna-tiva se pueden utilizar limas Irri K (VDW, Múnich) del mismo tamaño.
Los pernos cerámicos sólo se pueden extraer sacrifi-cando más tejido duro. Previamente se retira la reconstrucción del muñón con preparación en húmedo. Se rebaja el diámetro de los pernos cerámicos bajo refrigeración con agua, lo que permite seleccionar una fresa trefina del diámetro adecuado (MicroMega, Oberursel) para la remoción. La alternativa al uso de estas fresas sería la preparación sonoabrasiva mínimamente invasiva con limas ultrasónicas. Si en la radiografía inicial ya se observa que el perno cerámico está cementado en el conducto radicular con la técnica adhesiva en un tramo superior a 7mm, se debería optar por una endodoncia retrógrada.
Los pernos de fibra de vidrio o fibra de cuarzo se pueden extraer fácilmente con una fresa redonda de tallo largo bajo un flujo de aire continuo15 (en prepa-raciones secas). En caso de anclajes extremadamente profundos en el conducto radicular se pueden eliminar los residuos mediante la aplicación de ultrasonidos.
Solución de problemas surgidos durante laprimera endodonciaEl uso de un instrumento óptico que proporcione como mínimo entre 8 y 30 aumentos y de una fuente de luz coaxial con una temperatura de color parecida a la de la luz diurna es una condición esencial para la resolución de problemas. Ha quedado demostrada la eficacia de los microscopios dentales con iluminación de xenón3. El gran aumento hace imprescindible trabajar con un buen apoyo junto a un sillón con apoyabrazos adecuado (Er-goSit, Jadent, Oberkochen). Algunos instrumentos de última generación (Leica, Wetzlar) aprovechan las ven-tajas de la iluminación LED para disminuir los gastos de explotación.
Se recomienda extender la cavidad de acceso endo-dóntico hacia mesial y hacia vestibular, sobre todo en los molares. En todos los casos se debe asegurar ade-más un acceso rectilíneo al tercio coronal del conducto radicular. De detectarse una perforación en la zona de la cámara pulpar, se procede en primer lugar a la limpieza, la desinfección y el sellado correcto de la misma. Las per-foraciones que comunican con la cavidad oral se pueden sellar mediante técnica adhesiva con composite (figs. 7a a 7d) y las perforaciones con contacto óseo se reparan preferentemente con cemento MTA (ProRoot MTA, Mai-llefer, Ballaigues, Suiza) (figs. 8a y 8b).
Obturación de una perforación de gran tamaño que comunica con la cavidad oral. Radiografía inicial del diente 26 con una infraobturación, una imagen radiolúcida apical y una imagen radiolúcida en la zona de la trifurca-ción radicular (a). Imagen de la perforación después de la limpieza en el centro de la trifurcación (b). Sellado adhesivo de la perforación con composite (c). La radiografía del diente 26 practicada 2 años después de finalizar el tratamiento endodóntico muestra una regeneración completa de la trifurcación (d).
Radiografía de control después de la reparación de una perforación externa inducida por un proceso de reabsorción. La reparación con MTA se encuentra por debajo del límite del hueso alveolar (a). En la radiografía de control practicada 1 año después de la intervención se observa una disminución clara de la imagen radiolúcida en la zona de la bifurcación (b).
La obturación antigua se elimina totalmente. Si la radiografía inicial ya muestra imágenes sugestivas de una «vía falsa» o de un escalón no se deberían utilizar limas de revisión que trabajan activamente en el extre-mo del instrumento (figs. 9a y 9b). Con esta medida se ataja el riesgo de provocar perforaciones adicionales o de empeorar el escalón durante el retratamiento40. Para la eliminación manual se pueden utilizar limas de Heds-tröm, pero para la eliminación mecanizada son útiles las limas de níquel-titanio. La lima ProFile.04 (Maillefer) es un instrumento universal adecuado para la eliminación de obturaciones de gutapercha30. Para la remoción de gutapercha más dura o de material de sellado duro se pueden recomendar las limas FlexMaster 15.06 y 20.06 (VDW) siempre y cuando se trabaje con apoyo17. El uso de disolventes facilita la penetración en el material de obturación, si bien no mejora la calidad de la limpieza. En determinados casos puede resultar incluso más com-plicado retirar la gutapercha reblandecida y parcialmen-te licuada, dado que su consistencia plastificada facilita una mayor penetración en los istmos32.
Radiografía mesioexcéntrica del diente 46 con un diagnóstico de vía falsa y una preparación con escalón. Se observan desviaciones de la trayectoria original del conducto radicular tanto en mesial como en distal. Se utilizó una punta de gutapercha para visualizar el trayecto fistuloso en relación con la imagen radiolúcida apical (a). Después de la corrección manual y de la conformación mecanizada del sistema de conductos radiculares se pudo evitar una perforación lateral. Al cabo de 1 año la radiolucidez apical había desaparecido (b).
Dado el gran desgaste de los instrumentos conviene controlar su integridad durante todo el tratamiento. De apreciarse signos de deformación se recomienda su sus-titución inmediata. Todos los instrumentos de níquel-tita-nio son de un solo uso y se deben eliminar correctamente por motivos de toxicidad y de higiene2,37.
Se recomienda preparar y desinfectar en primer lugar todos los conductos que se puedan instrumentar por completo con el fin de reducir al mínimo la colonización microbiana en el interior de los conductos. A continuación, pero sólo después de cubrir los otros conductos radiculares con una torunda de espuma o de algodón es-téril, se continúa el tratamiento de los conductos radiculares obstruidos o perforados. En presencia de una vía falsa o de un escalón, la palpación con un instrumento de mano curvado de tamaño ISO 10 o con un Micro-Opener (Maillefer) permite volver a localizar el trayec-to original del conducto radicular (figs. 10a y 10b). Las preparaciones mínimamente invasivas con ultrasonidos, guiadas por la anatomía, facilitan a menudo el contacto visual y crean las condiciones necesarias para seguir con la preparación manual y mecanizada y para la conformación de los conductos radiculares obstruidos.
Una curvatura apical marcada y una preparación con escalón distal en el diente 46 impiden una instrumentación completa. Radiografía con contraste para determinar la ubicación exacta del escalón distal (a). Control al cabo de 1 año de la intervención sin signos patológicos apicales. Sospecha de una discrepancia marginal en el mar-gen distal de la corona (b).
Al estudiar la posibilidad de extraer fragmentos hay que tener en cuenta la disponibilidad de medios auxilia-res técnicos adecuados, el procedimiento, la experien-cia individual y, por último, los costes del tratamiento, dado que los procesos de extracción son muy laboriosos y comportan un gasto importante en material y tiempo. Algunas situaciones clínicas complejas como la presencia de varios fragmentos en el interior del conducto o determinadas combinaciones de obstrucciones, escalo-nes o perforaciones aumentan el esfuerzo total que hay que realizar para conservar el diente correspondiente. Las técnicas mínimamente invasivas se han conseguido imponer gracias al uso del microscopio dental.
El procedimiento para la extracción de fragmentos consta de los siguientes pasos:
- •
Preparación de una cavidad de acceso endodóntico ampliada.
- •
Preparación de un acceso recto mínimamente invasi- vo hasta llegar al fragmento.
- •
Preparación de un espacio de activación.
- •
Aflojamiento y luxación del fragmento.
- •
Extracción del fragmento.
La elección del método adecuado para la extracción de fragmentos varía en función de su ubicación y de su longitud.
Sin duda con las vibraciones ultrasónicas solas no se consigue desbloquear los fragmentos de una determi-nada longitud. Los fragmentos situados en zonas api-cales requieren una extracción especialmente cuidado-sa (figs. 11a y 11b).
Extracción de un fragmento retenido en el foramen apical. En la imagen se observa, además del fragmento de pequeño tamaño situado en la zona periapical (flecha), una imagen radiolúcida apical sugestiva de una colonización bacteriana intraconducto persistente (a). Se logró la extracción completa del fragmento sin extrusión periapical (b).
Una vez solventadas las obstrucciones intraconducto, se puede proceder a la preparación manual o mecanizada y a la conformación del sistema de conductos radiculares. El hipoclorito sódico (NaOCl) al 1-3% y el gluconato de clorhexidina (CHX) al 1–2% han mostrado ser efica-ces para la desinfección. Para la eliminación del barrillo dentinario se puede utilizar EDTA al 17% o ácido cítri-co al 10%. Ambas soluciones sirven también para la irrigación entre las aplicaciones de NaOCl y de CHX para evitar la precipitación de CHX12,43.
La irrigación ultrasónica contribuye a una mejor eliminación de residuos de la superficie del conducto radicular preparado y de los huecos en segmentos de conducto radicular que no se pueden instrumentar41. El líquido de irrigación para cada conducto radicular debe activarse du-rante aproximadamente 2min con ultrasonidos42.
La forma más sencilla de secar los conductos radicu-lares es utilizar puntas de papel estériles con una coni-cidad del 4%. No se recomienda la desecación excesiva del sistema de conductos radiculares con aire comprimi-do, dado que puede favorecer la formación de microfisu-ras y la aparición de un enfisema10.
A diferencia de lo que ocurre en los tratamientos en-dodónticos primarios, en el retratamiento endodóntico no existen diferencias en la aplicación de las técnicas de obturación avaladas científicamente. La compactación lateral y la compactación vertical de gutapercha en combinación con un sellador de resina epoxi son adecuadas para este fin. El MTA es un material de sellado óptimo para la regeneración biológica en caso de reabsorciones apicales, de ensanchamiento del foramen apical como consecuencia de tratamientos repetidos y preparaciones extensas o de apicectomías8.
Una vez finalizada la obturación radicular se recomienda sellar la cavidad de acceso endodóntico median-te un adhesivo dentinario para evitar filtraciones corona-rias. El sistema de conductos radiculares se sella a una distancia de aproximadamente 1–2mm por debajo del orificio de entrada del conducto con un composite flui-do de polimerización dual o fotopolimerizable34. En fun-ción de la indicación, se recomienda utilizar pernos de fibra de vidrio para las restauraciones adhesivas9.
4,29.












