INTRODUCCIÓN
La incidencia de sarcoma secundario a radioterapia es rara, con una incidencia del 0,035-0,8%1. El riesgo de desarrollar un sarcoma después del tratamiento con radioterapia en un cáncer de mama es del 0,2%2. Cuando aparece el osteosarcoma, en la mayoría de los casos, se presenta en las estructuras esqueléticas.
Presentamos un caso de osteosarcoma extraesquelético, localizado en el tejido celular subcutáneo, por encima del pectoral mayor, en una mujer después de recibir radioterapia tras una mastectomía radical según la técnica Patey a causa de un carcinoma ductal infiltrante de mama izquierda.
CASO CLÍNICO
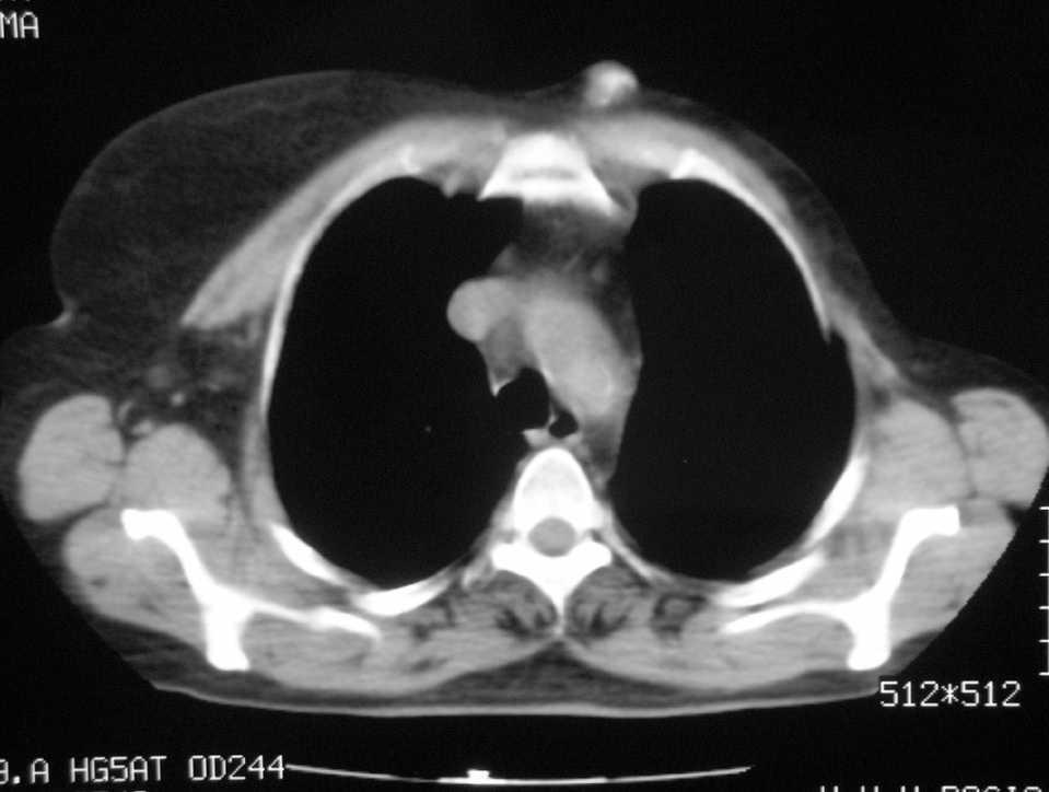
Paciente de 60 años de edad, con el antecedente quirúrgico de mastectomía radical modificada según la técnica de Patey en el año 1994, diagnosticada de carcinoma ductal infiltrante de 2,1 cm de diámetro, con 7 de 18 ganglios afectados, el 75% de receptores estrogénicos. Tras la intervención se somete a poliquimioterapia con protocolo secuencial 4-epirrubicina y CMF (ciclofosfamida, metrotexato y 5-fluorouracilo) y a sesiones de radioterapia (dosis total administrada de 50 Gy, 2 Gy por sesión). Continúa durante 5 años en tratamiento con tamoxifeno. Acude a la consulta de patología mamaria, derivada por el servicio de oncología, por presentar un nódulo paraesternal izquierdo, adherido a los planos profundos, de reciente aparición, que ha crecido hasta alcanzar los 2 cm de diámetro. Se aporta estudio mediante tomografía computarizada (fig. 1), donde cabe destacar la descripción de un nódulo parcialmente calcificado en el tejido celular subcutáneo, por delante del comienzo del manubrio esternal, en su lado izquierdo, que no parece relacionarse con los planos musculares. En la gammagrafia ósea aparece un aumento de captación del trazador (99mTC) muy bien delimitada en la parte izquierda de la unión del manubrio con el cuerpo esternal. La ecografía de partes blandas realizada informa de la presencia de un nódulo de 17 mm, subcutáneo, situado por encima del músculo pectoral, con zonas alternantes hiperecogénicas e hipoecogénicas, no vascularizado.
Figura 1. Tomografía computarizada de tórax. Nódulo paraesternal izquierdo por encima del músculo pectoral.
Se le propone a la paciente una extirpación de la lesión, al sospechar una recidiva del carcinoma de mama izquierda. Se realiza una cuadrantectomía tipo romboidal, llegando hasta el plano muscular.
El diagnóstico del anatomopatólogo, una vez descartada la posibilidad de recidiva de carcinoma de mama metastásico mediante técnicas de inmunohistiquímica (CK-PAN y marcadores hormonales negativos), fue de osteosarcoma que contacta con borde profundo de resección.
Se reinterviene a la paciente unos días después para la ampliación de la resección del músculo pectoral, con el fin de dejar los márgenes tumorales libres. En la actualidad, la paciente está en el período postoperatorio tras la segunda intervención.
DISCUSIÓN
El osteosarcoma es un tumor de hueso maligno que generalmente se desarrolla durante la adolescencia. Tiende a afectar al fémur (extremo distal), el húmero (extremo proximal) y la tibia (extremo proximal). Este cáncer se presenta con más frecuencia en los huesos más grandes y en el área de hueso de índice de crecimiento más rápido. Sin embargo, el osteosarcoma se puede presentar en cualquier hueso.
Los criterios de Cahan et al3 para el diagnóstico del sarcoma posradiación son los siguientes: historia de radioterapia previa, el tumor se localiza en la zona donde se aplicó la radiación, período de latencia largo y confirmación histológica del sarcoma.
En nuestro caso se cumplen todos los criterios, con un período de latencia de 12 años. El período de latencia es muy variable, en torno a 10-15 años1,4,5. Según la experiencia de Laskin et al6, los osteosarcomas extraesqueléticos posradiación tienen un período de latencia por debajo de la media, circunstancia que no se cumple en nuestro caso.
Los osteosarcomas aparecen normalmente en pacientes jóvenes, aunque los osteosarcomas extraesqueléticos se presentan en pacientes mayores, en edades comprendidas entre la quinta y la sexta décadas de la vida7.
La dosis de radiación recibida está en torno a los 50-60 Gy5,8. En nuestro caso se siguió una pauta habitual de radioterapia consistente en una dosis total de 50 Gy, repartida en 20 sesiones de 2 Gy cada una. Laskin et al6 concluían que el tipo de sarcoma, la localización y la supervivencia era independientes de la dosis de radiación recibida, aunque los pacientes que habían recibido una mayor cantidad tenían un período de latencia más corto.
El riesgo de desarrollar sarcoma después de la radiación en el cáncer de mama se ha estimado en torno al 0,2% a los 10 años. El osteosarcoma es el sarcoma más frecuentemente relacionado con la radioterapia (en un 50% de los casos), localizado normalmente en la pared torácica o en los huesos de la extremidad superior.
Alpert et al9 describen un caso de osteosarcoma extraesquelético secundario a radioterapia en el cáncer de mama englobado en el músculo pectoral mayor. La peculiaridad de nuestro caso es la aparición en el tejido celular subcutáneo que recubre al músculo pectoral mayor.
El osteosarcoma extraesquelético tiene una recurrencia local en torno al 50%7,10 y una supervivencia a los 5 años en torno a un 30%10. El lugar de metástasis más frecuente es el pulmón10. Aunque parezca un contrasentido, según la revisión de Sordillo et al7, la radioterapia puede incrementar la supervivencia y el retraso de la aparición de la recurrencia. Además, según el mismo autor, la quimioterapia puede ser útil en el manejo inicial de los pacientes con estas lesiones7.
Correspondencia:
Dr. J. Álvarez de Sotomayor Merino.
Unidad de Patología Mamaria.
Castillo de Marchenilla, 2, Portal 4, Bajo A.
41013 Sevilla. España.
Correo electrónico: jalvarezdesotomayor@hotmail.com; pitual23@hotmail.com
Fecha de recepción: 26/4/06.
Aceptado para su publicación: 15/9/06.


