El cáncer de mama lobulillar infiltrante presenta un especial tropismo sobre la cavidad peritoneal, aparato genitourinario y gastrointestinal. Describimos 2 casos de carcinomatosis peritoneal secundaria a la diseminación metastásica de un carcinoma lobulillar infiltrante de mama. El diagnóstico se hizo años después de la aparición del tumor primario. La carcinomatosis peritoneal (asociada a metástasis genitourinarias y/o gastrointestinales) en cáncer de mama es rara, siendo más frecuente en el tipo lobulillar infiltrante. Su diagnóstico es difícil dada la inespecificidad de la sintomatología y el largo periodo que, con frecuencia, ocurre desde el diagnóstico inicial del tumor mamario hasta la afectación peritoneal. La sospecha clínica y el estudio histológico-inmunohistoquímico ayudan a diferenciar entre un tumor primario de cavidad peritoneal y metástasis de carcinoma de mama. Debe individualizarse el tratamiento en cada caso.
Invasive lobular breast cancer has a special tropism for the peritoneal cavity and gastrointestinal and genitourinary systems. We describe 2 cases of peritoneal carcinomatosis secondary to metastatic spread of lobular carcinoma of the breast. The diagnosis was made several years after detection of the primary tumor. The peritoneal carcinomatosis (with genitourinary or gastrointestinal metastases) in breast cancer is rare and is most frequent in invasive lobular carcinoma. Diagnosis is difficult because the symptoms are often nonspecific and there is often a long interval between the initial diagnosis of breast cancer and peritoneal involvement. Clinical suspicion and histological-immunohistochemical study help to differentiate between a primary tumor of the peritoneal cavity and the presence of metastatic breast carcinoma. Treatment should be individualized in each patient.
La carcinomatosis peritoneal, acompañada de metástasis genitourinarias y gastrointestinales, por cáncer de mama, es poco frecuente y refleja un estadio avanzado de la enfermedad. Se ha relacionado, sobre todo, con el tipo histológico lobulillar infiltrante. Los síntomas son inespecíficos o están ausentes, y pueden aparecer varios años después de la detección del tumor primario, por lo que, con frecuencia, es difícil diferenciar entre un tumor primario de la cavidad peritoneal y metástasis de un cáncer de mama.
El diagnóstico es importante para el manejo de la paciente, pues el tratamiento es diferente para cada caso y se han descrito remisiones parciales o completas de la enfermedad con el tratamiento médico adecuado (quimioterapia y hormonoterapia) y, en ocasiones, con cirugía citorreductora.
Descripción de los casosPresentamos 2 casos de carcinomatosis peritoneal diagnosticados varios años después del carcinoma de mama, observándose desaparición de los implantes peritoneales tras el tratamiento quimioterápico y/u hormonoterápico adyuvante.
Caso 1Mujer de 47 años, con antecedente de carcinoma lobulillar infiltrante en mama izquierda (tratado mediante mastectomía izquierda + linfadenectomía axilar izquierda + poliquimioterapia) (fig. 1).
Tras un periodo libre de enfermedad de 9 años, acude a revisión periódica ginecológica, refiriendo leves molestias en la fosa iliaca izquierda de 2 meses de evolución. Las pruebas analíticas muestran elevación de Ca 125 (171,7U/ml). El resto de exploraciones, sin hallazgos. Dos meses después, la ecografía vaginal muestra un anejo izquierdo irregular, aumentado de tamaño (7cm de diámetro mayor) y ecoestructura heterogénea, con formación quística simple paraanexial de 30×32mm y moderada cantidad de líquido libre en Douglas (fig. 2). Ca 125 343,2U/ml.
Otras pruebas realizadas: gastroscopia; negativa; colonoscopia; negativa; RMN pélvica: masa de probable origen anexial izquierdo indicativa de cistoadenocarcinoma ovárico, con adenopatías patológicas en ambas cadenas iliacas, ascitis y engrosamiento nodular del mesenterio indicativos de carcinomatosis peritoneal.
Ante la sospecha de tumoración ovárica izquierda, se realiza una laparotomía exploradora, objetivándose ascitis moderada, útero y anejo derecho normales, y anejo izquierdo de consistencia sólido-quística, aumentado de tamaño (fig. 3). Se realiza biopsia intraoperatoria de ovario izquierdo, con resultado de tumor epitelial maligno, por lo que se completa cirugía con histerectomía total + doble anexectomía + linfadenectomía pélvica y aortocava + omentectomía + apendicectomía.
El resultado definitivo de Anatomía Patológica informa de la presencia de metástasis de carcinoma lobulillar de mama que afecta a ambos ovarios, trompas, cérvix, cuerpo uterino, epiplón, apéndice y a 26 de las 29 adenopatías aisladas.(fig. 4). Inmunohistoquímica: CK AE1/AE3 (+), CK 7 (+), CK 20 (–), CD 10 (–), receptores de estrógenos (+ 5-10%), receptores de progesterona (+ > 95%), C-erb 2 (+/+++).
En la PET-TC realizada tras la cirugía, se objetivan múltiples metástasis ganglionares supra e infradiafragmáticas (fig. 5).
Se inicia tratamiento quimioterápico con Taxotere® carboplatino, añadiéndose posteriormente bevacizumab. Tras 6 ciclos de quimioterapia, la PET-TC muestra ausencia de enfermedad maligna macroscópica, siendo compatible con respuesta completa de la enfermedad de base (fig. 6). Marcadores tumorales y radiografía de tórax, negativos.
Actualmente, la paciente ha cumplido un año libre de enfermedad y se encuentra asintomática.
Caso 2Mujer de 63 años, diagnosticada de carcinoma lobulillar infiltrante de mama izquierda (receptores de estrógenos (–), receptores de progesterona (++++/++++), Ki67 (++). Tres meses después, consulta por dolor abdominal.
La TC abdominal describe la presencia de una masa pélvica que engloba el útero, con posible afectación de parametrios. RMN y PET-TC, negativas.
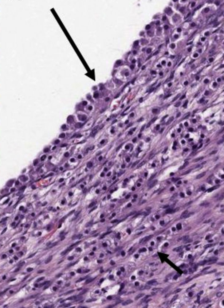
Se practica una laparoscopia diagnóstica para la toma de biopsia, objetivando la presencia de pelvis congelada y una masa abdominal. Se toma biopsia de la misma, siendo compatible con metástasis de carcinoma lobulillar de mama (fig. 7) Inmunohistoquímica: CK-19 (+ 100%), receptores de estrógenos (+ 90%), receptores de progesterona (–), Ki 67 (< 5% +), P53 (–) y Cerb-B2 negativo (0/+++).
Imagen histológica de la masa biopsiada. a) Tejido ovárico infiltrado, en la zona superior de la imagen, por las células tumorales, de pequeño tamaño y muy homogéneas entre sí. Abajo se aprecia parte de un cuerpo albicans (estrella). b) Infiltración del tejido adiposo epiploico por las células neoplásicas, algunas de ellas con morfología en «anillo de sello» (flecha). En el recuadro se aprecia positividad para citoqueratina 19 (CK19).
Se inicia tratamiento con hormonoterapia (letrozol + Ca++).
Cinco meses después de la cirugía, la TC abdominal muestra la presencia de implantes peritoneales sospechosos de malignidad. La gammagrafía ósea muestra metástasis óseas en los arcos posteriores de la 8.ª y 10.ª costillas izquierdas.
Actualmente prosigue tratamiento con hormonoterapia.
DiscusiónEl cáncer de mama es el tumor maligno más frecuente en la mujer. La incidencia calculada aproximada en España es de 15.000 nuevos casos de cáncer de mama.
Los lugares más frecuentes de metástasis son el hueso, el pulmón, la pleura, el hígado, las glándulas suprarrenales y el cerebro.
Sin embargo, diversos estudios señalan que el patrón de metastatización del cáncer de mama presenta diferencias significativas según su tipo histológico, ya sea ductal o lobulillar1–4. Así, mientras los carcinomas ductales infiltrantes metastatizan con más frecuencia a ganglios linfáticos, pulmón y pleura, los carcinomas lobulillares lo hacen en el tracto gastrointestinal, genitourinario, hígado, médula ósea y en el peritoneo y el retroperitoneo. La razón de este comportamiento diferente no está clara, es posible que la pérdida de expresión de la molécula de adhesión E-cadherina en el carcinoma lobulillar pueda ser la responsable, entre otras causas. No obstante, lo expuesto anteriormente es discutido por otros autores5.
La frecuencia de metástasis ováricas en las pacientes afectadas de un cáncer de mama se estima en un 15-30% de los casos3,4. Las metástasis uterinas de origen extrapélvico son raras, siendo el cáncer de mama la primera causa6,7. El tracto gastrointestinal se ve afectado por metástasis de origen mamario en casos avanzados, con una frecuencia descrita del 2 al 18%.
Dentro de las metástasis del aparato genital y gastrointestinal, la carcinomatosis peritoneal presenta una baja incidencia con una gran morbimortalidad, con escasas referencias en la literatura sobre el pronóstico y el manejo clínico y terapéutico de estas pacientes.
En el presente artículo, presentamos 2 casos de carcinomatosis peritoneal secundaria a carcinoma lobulillar de mama, diagnosticados en nuestro hospital en los últimos 7 años.
En términos globales, el intervalo entre el diagnóstico de cáncer de mama y la aparición de metástasis peritoneales oscila según la literatura desde meses hasta varios años e incluso décadas después8-11. Los casos presentados en este artículo así lo confirman. En uno de ellos, el diagnóstico de carcinomatosis se realizó 9 años después del cáncer de mama, mientras que en el segundo el intervalo transcurrido fue de tan solo 3 meses.
Generalmente, la aparición tardía de las metástasis, junto con la inespecificidad de los síntomas, resultan en un bajo índice de sospecha y su diagnóstico puede resultar difícil, sobre todo diferenciar entre un tumor primario de la cavidad peritoneal y la presencia de metástasis de un carcinoma de mama. Los síntomas dependerán del órgano afectado y de la progresión de la enfermedad (metrorragia, dolor y distensión abdominal, obstrucción intestinal, hemorragia digestiva, etc.).
Las pruebas diagnósticas, por tanto, serán diferentes según los síntomas (ecografía ginecológica transvaginal, TC, RMN, tránsito gastrointestinal, histeroscopia y otros estudios endoscópicos), aunque en muchas ocasiones no proporcionarán el correcto diagnóstico preoperatorio8.
En los casos de afectación ovárica, las metástasis de origen mamario son habitualmente de pequeño tamaño (menor de 5cm), de carácter sólido y en más de la mitad de los casos son bilaterales. La frecuencia de las metástasis microscópicas varían entre el 24 y 31%4,12.
Respecto a los marcadores tumorales (CEA, CA 125, CA 15-3), son bastante inespecíficos y su utilidad diagnóstica en estas pacientes es discutida. Sin embargo, en aquellos casos en los que se encuentren elevados al diagnóstico podrán ser utilizados como herramienta de monitorización durante el tratamiento y seguimiento12-14.
La identificación de esta afección tiene gran importancia, ya que va condicionar no solo el pronóstico de la paciente sino también el posterior tratamiento adyuvante que, en algunos casos, ha conseguido remisiones prolongadas de la enfermedad3,8,15.
Por tanto, ante una paciente con antecedente de carcinoma de mama (especialmente lobulillar) con síntomas gastrointestinales o genitourinarios en la que en pruebas de imagen se diagnostique un nuevo tumor en estas localizaciones o bien carcinomatosis peritoneal, deberemos pensar en la posibilidad de afectación metastásica de origen mamario. En este sentido, el empleo de la laparoscopia diagnóstica para la obtención de biopsias, así como la valoración de la extensión de la enfermedad y resecabilidad, son recomendables15.
En pacientes con antecedentes de cáncer de mama en que se realiza el diagnóstico de una neoplasia del tracto genital, gastrointestinal o peritoneal, se recomienda realizar una comparación entre el estudio histológico e inmunohistoquímico de la pieza (implantes peritoneales, tumor ovárico, biopsias uterinas, etc.) y el del tumor de mama primario, pues una concordancia entre ambos estudios nos orientaría hacia el posible origen mamario del tumor genital, gastrointestinal o de la carcinomatosis peritoneal15,16.
Dentro de los marcadores inmunohistoquímicos más importantes que pueden indicar origen mamario encontramos los receptores de estrógenos y de progesterona, la proteína gross cystic disease fluid protein-15 (GCDFP-15), la expresión de la citoqueratina 7 y 20, la proteína p53 y el oncogén c-erbB29,11,16. La proteína gammaglobulina es un marcador muy sensible para el cáncer de mama, pero también se expresa en el tracto genital femenino y en sus neoplasias, sobre todo a nivel de endocérvix y endometrio10.
Desde el punto de vista histológico, en el carcinoma lobulillar, es característica la presencia de hileras de células tumorales, formando una «fila india», dispersas en la matriz fibrosa, así como células con grandes vacuolas citoplasmáticas, que recuerdan a las células en anillo de sello del carcinoma difuso gástrico, apendicular o colónico.
En términos generales, el pronóstico de estas mujeres es sombrío y depende esencialmente de la difusión peritoneal de la enfermedad, así como del número y la localización de otras metástasis en el momento del diagnóstico. La media de supervivencia descrita para los casos de carcinomatosis peritoneal es de 2 años (aunque varía desde unos pocos meses hasta años)5,8,10,11.
En nuestra serie, la supervivencia (para la carcinomatosis peritoneal secundaria al cáncer de mama) es de 19,6 meses, si bien ambas pacientes permanecen con vida en la actualidad.
El manejo terapéutico de estas pacientes es controvertido y variable debido al escaso número de publicaciones de estudios retrospectivos y con grupos heterogéneos de pacientes.
Existen estudios que demuestran remisiones de la enfermedad metastásica con tratamiento médico (quimioterapia sistémica, hormonoterapia y trastuzumab, según los casos) entre un 32-53% de los casos5,10. La elección de terapia sistémica debe basarse en la edad, las condiciones clínicas, los receptores hormonales y los tratamientos previos10.
Respecto a la cirugía citorreductora, si bien el beneficio está claramente establecido en el cáncer de ovario, no ocurre lo mismo en lo que concierne a las metástasis ováricas de cáncer de mama. Para algunos autores parece razonable proponer un tratamiento quirúrgico en aquellas pacientes con metástasis pélvicas si el intervalo entre el diagnóstico de cáncer de mama y la aparición de estas metástasis es superior a 5 años (reflejo de una biología tumoral menos agresiva), y siempre que sea posible realizar una cirugía citorreductora óptima, ya que se han descrito supervivencias estadísticamente más elevadas en presencia de residuos tumorales iguales o inferiores a 2cm3,15,17. El carácter terapéutico y/o pronóstico de la linfadenectomía pélvica y paraaórtica está sin definir en esta enfermedad metastásica.
Para otros autores, el papel de la cirugía sería solo paliativo (especialmente en casos de afectación gastrointestinal) o cuando el diagnóstico no fuera claro10,11.
Como consecuencia de la supervivencia extremadamente variable en estas pacientes con diseminación peritoneal, el tratamiento (quirúrgico o sistémico), con el fin de prolongar el control de la enfermedad, está justificado, en particular si no existen otras metástasis8,10.
En los casos en los que las metástasis abdominales o pélvicas sean el primer signo de un diagnóstico de cáncer de mama, existen estudios retrospectivos que sugieren un beneficio en términos de supervivencia sin progresión, cuando se realiza extirpación con márgenes sanos del tumor primario mamario15.
Los factores pronósticos también están sin determinar sobre la base del escaso número y el mal pronóstico de las series tratadas y publicadas; los resultados son contradictorios respecto a la influencia en la supervivencia de: estadio inicial del cáncer de mama, tipo y grado histológico, receptores hormonales y el tiempo de recurrencia > 5 años4,5. Sí se acepta con más unanimidad que el residuo tumoral menor a 2cm mejora la supervivencia; por el contrario, la edad avanzada y la afectación gástrica ensombrecen el pronóstico3,9.
ConclusionesLa afectación metastásica peritoneal, genital y gastrointestinal en el contexto de un cáncer de mama es poco frecuente; sin embargo, constituyen un nuevo desafío para los oncólogos por un incremento en su prevalencia.
En el contexto de antecedente de cáncer de mama con aparición de síntomas o nuevos tumores en estas localizaciones, se debe pensar en la posibilidad de metástasis.
El manejo terapéutico de estas pacientes debe individualizarse según los casos, en espera de resultados de nuevos estudios y ensayos clínicos.
Responsabilidades éticasProtección de personas y animales. Protección de personas y animales. Los autores declaran que para esta investigación no se han realizado experimentos en seres humanos ni en animales.
Confidencialidad de los datos. Los autores declaran que han seguido los protocolos de su centro de trabajo sobre la publicación de datos de pacientes y que todos los pacientes incluidos en el estudio han recibido información suficiente y han dado su consentimiento informado por escrito para participar en dicho estudio.
Derecho a la privacidad y consentimiento informado. Derecho a la privacidad y consentimiento informado. Los autores declaran que en este artículo no aparecen datos de pacientes.
Conflicto de interesesLos autores declaran no tener ningún conflicto de intereses.








