Casos clínicos
Metástasis mamarias de un melanoma de vulva. A propósito de un caso
Breast metastasis of a vulvar melanoma. A case report
A. Zientalska
A. Mariscal2
J. R. Méndez1
O. Serra
M. Gómez
S. García
A. Tarrats
Servicio de Obstetricia y Ginecología
1 Servicio de Anatomía Patológica
2 Servicio de Radiología
Hospital Universitari «Germans Trias i Pujol»
Badalona (Barcelona)
Correspondencia:
Dr. A. Tarrats Oliva
Servicio de Obstetricia y Ginecología
Hospital Universitari «Germans Trias i Pujol»
Carretera de Canyet, s/n
08916 Badalona (Barcelona)
Fecha de recepción: 19/7/99
Aceptado para publicación: 11/10/99
INTRODUCCION
Se presenta un caso de melanoma maligno amelánico en una paciente de 55 años, con metástasis mamarias múltiples bilaterales.
DESCRIPCION DEL CASO
Paciente de 55 años, sin antecedentes familiares ni personales de gravedad, que consulta por presentar una tumoración en labio mayor derecho de vulva de unos cinco meses de evolución. Refiere presentar un nódulo indoloro, no pruriginoso en la vulva, de crecimiento progresivo. Al mismo tiempo comenta tener un nódulo mamario.
A la exploración la paciente presenta una gran tumoración que afecta labios mayor y menor derechos, dolorosa a la palpación, ulcerada, que en su cara interna llega a la mitad de la vagina. No se palpan adenopatías inguinales. Presenta edema vulvar difuso. Se palpan varios nódulos en ambas mamas, de movilidad limitada, compatibles con neoplasia. No se palpan ganglios axilares. La paciente ingresa para biopsia y estudio de extensión.
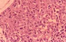
En la exploración bajo anestesia se aprecia una lesión infiltrante que ocupa labio derecho de la vulva de 8 x 7 x 7 cm y que penetra en tercio inferior de vagina, donde se ulcera. La lesión está adherida al pubis en su parte supero-interna. No se palpan adenopatías. El cérvix es macroscópicamente normal. No se pueden delimitar ni útero ni anejos por obesidad de la paciente. Se practica biopsia de la lesión y su examen anatomopatológico informa de infiltración difusa por melanoma maligno amelánico (Fig. 1).
Figura 1. Biopsia de vulva: infiltración de epidermis por células neoplásicas.
Se practica mamografía (Figs. 2 y 3), en la que se observan múltiples nódulos dispersos por ambas mamas, de diferentes tamaños y contornos mal definidos, la mayor en mama derecha de 30 mm y de 35 mm en la izquierda. Dada la historia de la paciente, se sospecha un origen metastásico. Se practica PAAF, que es compatible con tumor maligno. Las células neoplásicas son morfológicamente similares a las de la biopsia vulvar (Fig. 4).
Figuras 2 y 3. Mamografía: múltiples nódulos metastásico en ambas mamas.
Figura 4. PAAF: células melanóticas con necrosis celular en el centro.
El resto del estudio de extensión incluyó Rx tórax, RNM pélvica, ecografía abdominal y gammagrafía ósea. Se diagnosticaron metástasis múltiples que afectaban hígado, isquión, cuello y trocánter mayor izquierdos, trocánter menor derecho, huesos ilíacos derechos y D10 y L4, con ascitis y derrame pleural. Localmente había afectación de vejiga, recto y músculos del suelo pélvico
Durante su ingreso presenta discreto empeoramiento de su estado general y función hepática, con descompensación edematosa. Inicia quimioterapia con DTIC con buena tolerancia clínica. Se practican varias paracentesis evacuadoras con examen anatomo-patológico compatible con metástasis de melanoma.
Tras dos ciclos de quimioterapia no hay respuesta clínica al tratamiento sino progresión franca de la enfermedad, anemia con plaquetopenia e insuficiencia renal. A los 2,5 meses tras el diagnóstico se produce el éxitus.
DISCUSION
El melanoma maligno de vulva, a pesar de ser el segundo de los cánceres vulvares en frecuencia, es un tumor poco corriente, ya que representa menos del 5 por 100 de los cánceres en esta zona(1-4) y su incidencia va disminuyendo(5). De ellos, sólo entre un 5-10 por 100 son amelánicos(1). En la mayoría de los casos aparece después de los 50 años, sobre todo en los labios mayores y menores, sobre pubis, en la zona de clítoris y menos frecuentemente en la horquilla, vestíbulo o meato uretral(3,6). Se desarrolla sobre un nevus pigmentado, pero también sobre piel sana(1,4,6). Cuando son amelánicos, su diagnóstico va a ser exclusivamente microscópico, ya que su aspecto a la exploración difiere poco del carcinoma epidermoide(1).
Su agresividad es imprevisible, pero existe una elevada tendencia a desarrollar metástasis regionales por vía linfática y a distancia por vía hematógena(4). Durante el embarazo pueden haber metástasis placentarias y en el feto(7,8). Las localizaciones más frecuentes van a ser en hígado, pulmón y huesos, aunque también se han notificado metástasis en endometrio(9,10). En la revisión bibliográfica realizada no hemos encontrado referencias anteriores respecto a la posibilidad de desarrollar metástasis en mamas, por lo que nos parece interesante comunicar esta contingencia.
BIBLIOGRAFIA
01 Benjamin E, Greer MD. Gynecologic oncology, Elsevier Science Publishing Co, Inc 1991, De. Figge DC. Rare vulvar malignancies; chap. 13. p. 239-44.
02 Panizzon RG. Vulvar Melanoma. Semin Dermatol 1996;15:67-70.
03 Räber G, Mempel V, Jackisch Ch, Hundeiker M, Heinecke A, Kürzl R, et al. Malignant melanoma of the vulva. Cancer 1996;78:2353-8.
04 DeMatos P, Tyler D, Seigler HF. Mucosal melanoma of the female genitalia: A clinicopathologic study at the Duke University Medical Center. Surgery 1998;124:38-48.
05 Ragnarsson-Olding B, Johansson H, Rutqvist L-E, Ringborg U. Malignant Melanoma of the Vulva and Vagina. Cancer 1993;71: 1893-7.
06 Philip J. Di Saia. Ginecología oncológica, 4.ª ed. Madrid: Panamericana; 1991. p. 197-9.
07 Colbourn DS, Nathanson L, Belilos E. Pregnancy and Malignant Melanoma. Semin Oncology 1989;16:377-87.
08 Philip J. Di Saia. Ginecología oncológica, 4.ª ed. Madrid: Panamericana; 1991. p. 392-4.
09 Vincent T. De Vita, Jr., MD, Samuel Hellman, MD, Steven A. Rosenberg, MD, PhD. Cancer. Principles and Practica of Oncology. Lippincott-Raven Publishers 1997, Chap.41.2:1979-1980.
10 Luxman D, Jossiphov J, Cohen JR, Wolf Y, David MP. Uterine metastasis from vulvar malignant melanoma. A case report. J Reprod Med 1997;42:244-6.





