Ginecología
Neoplasias malignas múltiples primarias de ovario y endometrio
Multiple primary malignant neoplasms of the ovary and endometrium
P. Llaneza
M. Seco1
C. Pérez-Rodrigo
J. Lasheras
A. Herrero-Zapatero1
J. Ferrer
Cátedra y Servicio de Obstetricia y Ginecología
1 Cátedra y Servicio de Anatomía Patológica.
Hospital Central de Asturias
Universidad de Oviedo
Correspondencia:
Plácido Llaneza Coto
Servicio de Obstetricia y Ginecología I
Hospital Central de Asturias
Celestino Villamil, s/n
33006 Oviedo
E-mail: pllanezac@sego.es
Fecha de recepción: 12/2/99
Aceptado para publicación: 17/5/99
RESUMEN
Objetivo: Revisar las neoplasias múltiples malignas con afectación de ovario y endometrio diagnosticadas en nuestro Servicio.
Sujetos y métodos: Estudio retrospectivo de: cuatro neoplasias múltiples primarias sincrónicas de ovario y endometrio (grupo A), cuatro adenocarcinomas de endometrio metastatizados al ovario (grupo B) y tres tumores de ovario metastatizados al endometrio (grupo C).
Resultados: Las neoplasias múltiples malignas sincrónicas de ovario y endometrio suelen diagnosticarse en estadios precoces y muestran un mejor pronóstico que los cánceres metastatizados.
Conclusiones: La distinción entre tumores independientes (sincrónicos o metacrónicos) y tumores metastatizados es importante dadas las implicaciones clínicas y terapéuticas que conlleva.
PALABRAS CLAVE
Neoplasias malignas múltiples primarias; Neoplasias malignas sincrónicas; Ovario y endometrio.
ABSTRACT
Objective: We review the malignant neoplasms involving the endometrium and ovary diagnosed in our Hospital.
Material and methods: Four multiple malignant primary neoplasm involving ovary and endometrium (group A), four carcinomas of the endometrium with ovarian metastasis (group B) and three ovarian neoplasms with endometrium metastasis (group C) were evaluated.
Results: The multiple malignant primary neoplasm involving ovary and endometrium used to have better prognosis than cancer classified as metastatic, according an early diagnosis.
Conclusions: Distinction between and independent and metastatic tumors of the ovary and endometrium must be developed due to clinical and therapeutic implications.
KEY WORDS
Multiple Primary Malignant Neoplasms; Synchronous Malignant Neoplasm; Ovary and Endometrium
INTRODUCCIÓN
Tanto el ovario como el endometrio pueden ser origen de tumores malignos o lugar de asiento de metástasis de otros cánceres, pero resulta poco común que desarrollen simultáneamente dos neoplasias malignas primarias hablándose entonces de «neoplasias malignas múltiples primarias»(1-3). La aparición de los dos cánceres puede ocurrir de manera sincrónica o metacrónica en el tiempo y puede originarse a partir de un estímulo oncogénico común que induzca su desarrollo (por ejemplo, el caso de la asociación de algunos cánceres de mama y endometrio, en la que el ambiente hormonal juega probablemente algún papel) o puede ser que una determinada predisposición genética facilite su desarrollo; en este sentido, cada vez conocemos más de los vínculos entre genética y cáncer, existiendo ciertos trastornos oncogénicos familiares como el denominado «Síndrome de cáncer mama-ovario»(4), o el «Síndrome de Lynch II», en los que existe afectación de la mama, el ovario, el colon y el endometrio(5).
La primera descripción de una neoplasia maligna múltiple primaria la hizo Theodore Billroth en 1889(1) y aunque desde entonces se han publicado varios casos, es poco lo que conocemos de ellas, no estando claramente definidos cuáles son los criterios diagnósticos, pronósticos y terapéuticos(6-12).
Desde un punto de vista clínico se abren unos interrogantes que son difíciles de responder: ¿Se trata de un tumor primario de endometrio con metástasis en el ovario? ¿Es un tumor primario de ovario con metástasis en el endometrio? ¿Son tumores independientes que se desarrollan simultáneamente? Solamente una estrecha colaboración entre el cirujano, el patólogo y el oncólogo puede ofrecer una evaluación correcta del caso y clasificar a la paciente bien como un estadio II de carcinoma de ovario, bien como un estadio III de cáncer de endometrio de la clasificación de la International Federation of Gynecology and Obstetrics (FIGO), o bien como dos neoplasias malignas múltiples primarias y sincrónicas con su estadio correspondiente. Desde el punto de vista del pronóstico y del tratamiento tiene aún más importancia el tema, ya que ambos serán diferentes según la decisión diagnóstica que adoptemos. Se comprende así el interés que tiene conocer cuándo es un tumor primitivo de ovario, cuándo primitivo de endometrio o cuándo son tumores independientes.
MATERIAL Y MÉTODOS
Se ha realizado un estudio retrospectivo de los cánceres con afectación ovárica y endometrial tratados en nuestro Servicio en los últimos diez años. Se buscaron los casos con este diagnóstico y todas las preparaciones fueron revisadas por uno de los autores que realizó un segundo estudio de las laminillas archivadas. Los criterios anatomopatológicos que se muestran en la tabla 1 fueron la guía básica para clasificarlos, a la vez que se tenían en cuenta los hallazgos quirúrgicos, la impresión general del cirujano responsable de la intervención y los datos de la evolución de la enferma durante el seguimiento.
Tabla 1 Criterios histológicos en qué basarse para considerar un tumor como una neoplasia maligna múltiple primaria (tumor sincrónico), como un cáncer primitivo de endometrio o como un cáncer primitivo de ovario | ||
| Neoplasias malignas múltiples primarias de ovario y endometrio | Primitivo de endometrio con metástasis en ovario | Primitivo de ovario con metástasis en endometrio |
| Malignidad de ambos componentes. | Malignidad de ambos componentes. | Malignidad de ambos componentes. |
| Misma/distinta histología. | Ovarios < 5 cm. | Mismo tipo histológico. |
| Cáncer uterino pequeño. | Patrón multinodular. | Afectación hilio ovárico. |
| Asociación a hiperplasia endometrial. | Mismo tipo histológico. | Permeación linfática. |
| Escasa invasión miometrial. | Invasión miometrial profunda. | Lesión endometrial pequeña con endometrio normal a su alrededor. |
| Ausencia de invasión vascular y/o linfática. | Invasión vascular y/o linfática. | |
| Ausencia de invasión tubárica. | Invasión tubárica. | |
| Ausencia de invasión hilio ovárico. | ||
El diagnóstico se orientaba hacia: 1) Neoplasias malignas múltiples primarias sincrónicas (grupo A) cuando se observaba malignización de ambos compontentes, tipo histológico distinto o idéntico, cáncer uterino pequeño asociado a una hiperplasia endometrial, ausencia o muy escasa invasión miometrial, ausencia de invasión de las trompas y ausencia de permeación vascular y/o linfática tanto en el endometrio como en el ovario. 2) Tumor primitivo de endometrio metastatizando al ovario (grupo B) si existía malignización de ambos componentes, ovarios con tamaño menor de 5 cm, patrón de afectación ovárica multinodular (existencia de nódulos tumorales separados que afectan tanto al «córtex» como a la medular del ovario), mismo tipo histológico, invasión del miometrio, invasión vascular y/o linfática, invasión por extensión de la trompa uterina (bien de su luz o de su serosa). 3) Tumor primitivo de ovario metastatizando a endometrio (grupo C) si había malignización de ambos componentes, mismo tipo histológico, tumor que afectaba al hilio ovárico, existencia de permeación linfática y lesión endometrial pequeña asentando sobre un endometrio normal(13-15) (tabla 1).
Se estudiaron los siguientes datos: la edad, los antecedentes familiares o personales, la paridad, la menopausia, la existencia o no de tratamiento hormonal sustitutivo de la menopausia, la sintomatología clínica, los estudios de extensión tumoral, el estadio, el tipo histológico, el grado de diferenciación, los patrones de afectación ováricos y endometriales, la afectación miometrial y la invasión linfática y vascular. No hubo pérdidas durante el seguimiento que se continúa en aquellas pacientes que permanecen vivas.
RESULTADOS
Los casos estudiados se clasificaron en tres grupos: A) cuatro fueron considerados como neoplasias malignas múltiples primarias sincrónicos; B) cuatro como tumores primitivos de endometrio con metástasis en el ovario; C) tres como primitivos de ovario con metástasis en el endometrio (tabla 2).
Tabla 2 Resumen de los casos presentados. Los casos 1-4 son considerados como neoplasias malignas múltiples primarias sincrónicas de ovario y endometrio. El caso 5 es un tumor de la granulosa inductor de un cáncer de endometrio. Los casos 6-9 son cánceres de endometrio con metástasis en el ovario. Los casos 10-12 son tumores de ovario con metástasis en el endometrio | |||||||||
| Casos | Edad | Ap endom. | Ap ovario | E ovario | E endom. | Tratamiento | Seguimien. | Status | |
| A 1 | 58 | End/Muc. | End/Muc. | IbG1 | IbG1 | C+Q | 65 m | Muerta enf. | |
| A 2 | 57 | Endomet. | Endomet. | IcG1 | IbG1 | C+Rx | 68 m | Viva LE | |
| A 3 | 62 | Endometri. | Endometri. | IaG1 | IbG1 | C+-Rx | 39 m. | Viva LE | |
| A 4 | 74 | Endometri. | Endometri. | IcG1 | IbG1 | C+-Rx | 28 m | Viva LE | |
| B 5 | 62 | Mucinoso | Mucinoso | IIIaG1 | C+Rx | 89 m | Viva LE | ||
| B 6 | 71 | Endometri. | Endometri. | IIIaG2 | C+Rx | 30 m | Viva PE | ||
| B 7 | 83 | End/Muc. | End/Muc | IIIaG1 | C+Rx | 6 m | Viva LE | ||
| B 8 | 63 | Endometri. | Endometri. | IVG2 | C+Q | 6 m | Viva PE | ||
| C 9 | 45 | Endometri. | Endometri. | IIIcG3 | C+Q | 26 m | Muerta enf. | ||
| C 10 | 64 | Mucinoso | Mucinoso | IIIcG2 | C+Q | 50 m | Muerta enf. | ||
| C 11 | 39 | Endometri. | Endometri. | IIbG2 | C+Q | 33 m | Muerta enf. | ||
| C = Cirugía. Q = Quimioterapia, Rx = Radioterapia. LE = Libre de enfermedad. PE = Progresión de la enfermedad. | |||||||||
| Grupo A = Neoplasias malignas múltiples primarias sincrónicas. | |||||||||
| Grupo B= Tumores de endometrio metastatizando al ovario. | |||||||||
| Grupo C= Tumores del ovario metastatizando al endometrio. | |||||||||
La edad media de las enfermas con tumores sincrónicos fue de 62 años (rango: 57-74) y de 61 años (rango: 45-83) para los tumores metastásicos. De toda la serie cuatro pacientes relataban en su historia familiar antecedentes oncológicos (una pertenecía al grupo de tumores sincrónicos) y ninguna mostraba antecedentes personales de neoplasias malignas diagnosticadas previamente. Sólo tres enfermas eran nuligestas (las tres del grupo de tumores metastásicos), ninguna presentaba antecedentes de endometriosis y todas, salvo la paciente más joven, eran menopáusicas que nunca habían realizado terapia hormonal sustitutiva con estrógenos.
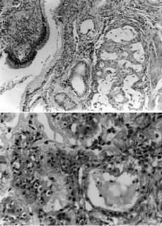
En los tumores considerados como sincrónicos (grupo A), el motivo de consulta más común fue la metrorragia postmenopáusica, salvo una paciente que aquejaba dolor en hipogastrio en la que se diagnosticó una masa anexial. Todas estas pacientes fueron sometidas a cirugía, siendo los hallazgos anatomopatológicos de adenocarcinoma endometrioide bien diferenciado tanto en el endometrio como en el ovario, salvo en un caso en el que se apreció un adenocarcinoma mixto endometrioide/mucinoso bien diferenciando en ambas localizaciones (Figs. 1 y 2). Tras la cirugía consideramos los cuatro casos como cáncer de endometrio estadío I y como cáncer de ovario estadío I (en las dos pacientes consideradas como ovario Ic la cápsula del tumor se había roto durante la cirugía). Tres pacientes recibieron radioterapia adyuvante después de la cirugía y una quimioterapia con regímenes de platino. El tiempo medio de seguimiento fue de 50 meses (rango: 68-28 meses). La paciente que presentaba un adenocarcinoma mixto mucinoso/endometrioide falleció a consecuencia de su enfermedad tras 65 meses de seguimiento, todas las demás enfermas se encuentran sanas en el momento actual.
Figura 1. Adenocarcinoma endometrioide bien diferenciado de útero con adenocarcinoma endometrioide bien diferenciado de ovario.
Figura 2. Adenocarcinoma bien diferenciado con patrón cribiforme y diferenciación mucosecretora y adenocarcinoma mixto endometrioide/mucinoso de ovario.
Las cuatro pacientes con un tumor primitivo de endometrio metastatizando al ovario (grupo B) consultaron por metrorragia posmenopáusica. Tres pacientes fueron sometidas a cirugía reglada para cáncer de endometrio con histerectomía total abdominal, doble anexectomía, citología peritoneal y exploración de cadenas ganglionares; mientras que en otra paciente se realizó cirugía de estadiaje para cáncer de ovario. El informe anatomopatológico mostró dos adenocarcinomas de endometrio (uno bien diferenciado y el otro moderadamente diferenciado), un adenocarcinoma mucinoso y un adenocarcinoma mixto endometrioide/mucinoso, ambos bien diferenciados. En todos los casos se realizó tratamiento coadyuvante con radioterapia. El seguimiento medio fue de 32 meses (rango 89-6 meses). Las cuatro pacientes se encuentran vivas, si bien hay que mencionar que en una de ellas existe una progresión de la enfermedad por diseminación linfática a un ganglio supraclavicular, constatada histológicamente tras 30 meses de seguimiento, y en otra paciente, considerada estadio IV, existe también progresión de la enfermedad con metástasis hepáticas tras seis meses de seguimiento.
Finalmente los tres casos que se juzgaron como primitivos de ovario metastatizando al endometrio (grupo C) consultaron por: metrorragia postmenopáusica, sensación de distensión abdominal y molestias en hipogastrio. Las tres pacientes se sometieron a cirugía reglada para cáncer de ovario y los hallazgos anatomopatológicos fueron: adenocarcinoma endometrioide en dos casos y adenocarcinoma mucinoso en el otro. Las tres pacientes recibieron quimioterapia coadyuvante con platino. El tiempo medio de seguimiento fue de 36 meses (rango 50-26 meses) y las tres fallecieron a causa de su enfermedad.
DISCUSIÓN
Existen cuatro vías posibles de diseminación de los tumores: continuidad directa, desprendimiento superficial, metástasis linfática y diseminación hematógena; la vía linfática es la que suelen usar los cánceres de endometrio para alcanzar al ovario, siendo más fácil que un tumor endometrial origine metástasis en el ovario que a la inversa, dada la protección que el miometrio aporta al endometrio(9). Se calcula que entre el 2%(11) y el 20%(16) de los pacientes con carcinoma de endometrio tienen extensión al ovario, mientras que sólo del 1,4%(8) al 3,8%(17) de los cánceres de ovario tienen afectación endometrial.
No hay, por el momento, criterios diagnósticos diferenciales que distingan con seguridad cuándo la afectación tumoral maligna de ambos órganos es una neoplasia maligna múltiple primaria sincrónica o cuándo es un cáncer con metástasis; rasgos anatomopatológicos que a primera vista podrían resultar obvios como el que ambos tumores fuesen de distinto tipo histológico --con lo cual se descartaba la posibilidad de una metástasis--, pueden ser rebatidos si admitimos el llamado «sistema mulleriano extendido», término con el que se describen una serie de estructuras de origen embriológico común (superficie ovárica, trompas uterinas, cuerpo uterino y cérvix) sobre las que un mismo estímulo oncogénico puede inducir neoplasias múltiples que podrían mostrar el mismo tipo histológico en órganos distintos sin ser necesariamente un tumor primario y una metástasis(8,18,19) (Fig. 3).
Figura 3.
Sabiendo que los criterios histológicos clásicos no pueden aclarar algunos casos, se ha intentado profundizar en el estudio histológico midiendo los índices de ploidía del DNA con citometría de flujo y realizando inmunohistoquimia(15); la idea de estos trabajos es intentar distinguir la metástasis del tumor primario según presenten o no los mismos índices de aneuploidía y de perfil inmunohistoquímico; sin embargo, no debe olvidarse que en muchas ocasiones las metástasis o incluso zonas distintas de un mismo tumor presentan características diferentes, por ello aunque los resultados pueden servir de ayuda, no afirman el diagnóstico de un modo infalible(15).
No se conocen cuáles pueden ser los estímulos que inducen una transformación maligna multifocal y sincrónica en estos órganos, pero se ha comunicado que podrían tener alguna relación: los antecedentes de anovulación y la infertilidad(8) e, incluso, la terapia con estrógenos(20); en nuestra serie, ninguno de dichos factores de riesgo aparecía. Algún trabajo encontró una edad media de las pacientes en el momento del diagnóstico más baja que la que habitualmente se señala para los cánceres de ovario y endometrio(8); nuestras pacientes presentaban edades similares. Se ha comunicado también que la sintomatología clínica con la que debutan las neoplasias malignos múltiples primarios es la hemorragia uterina anormal, lo cual probablemente facilita el diagnóstico en estadios precoces(21) las enfermas estudiadas aquí consultaron en su mayoría por sangrado vaginal anormal.
En cuanto al pronóstico, nuestras enfermas tuvieron la siguiente evolución: buena en las neoplasias múltiples primarias sincrónicas (grupo A) con histología endometrioide y buen grado de diferenciación, y peor en la que presentaba una histología más desfavorable (adenocarcinoma mixto endometrioide/mucinoso). Los estudios de otros autores muestran resultados similares(8,9). Respecto a las pacientes con cáncer de endometrio metastatizando en el ovario (grupo B) cabe hacer una distinción que ya ha sido señalada en la literatura: las pacientes que presentan una diseminación extrauterina limitada al ovario y/o la trompa tienen un pronóstico mejor que aquellas pacientes con diseminación pélvica múltiple; sin embargo, este pronóstico favorable, se ve claramente ensombrecido cuando existe afectación linfática; de modo que cuando además de la afectación anexial existe una diseminación linfática, no parecen existir curaciones con los métodos terapéuticos actuales(22,23) lo que ocurre en una de nuestras pacientes en donde existía una importante afectación linfática del cáncer endometrial que muestra, tras 30 meses de seguimiento, una progresión de la enfermedad con ganglios linfáticos supraclaviculares positivos. Además, en este grupo otra paciente presenta progresión de la enfermedad y en una tercera el tiempo de seguimiento es aún muy corto (seis meses). Por último, los cánceres de ovario metastatizando al endometrio (grupo C) han fallecido todos durante el seguimiento.
Nuestra corta serie sirve para plantear nuevamente el problema diagnóstico y terapéutico al que nos enfrentamos cuando encontramos un tumor ovárico y endometrial en la misma paciente. Pensamos que los cánceres sincrónicos en los que el tumor ovárico muestra una histología de adenocarcinoma endometrioide, buen grado de diferenciación y estadio Ia y el cáncer de endometrio tiene, asimismo, una histología de adenocarcinoma endometrial bien diferenciado y sin invasión miometrial o cuando ésta es mínima, pueden ser tratados sólo con cirugía; por el contrario, cuando la histología del cáncer ovárico o endometrial sea distinta del adenocarcinoma endometrioide y el grado de diferenciación sea moderadamente diferenciado o indiferenciado, aunque sean considerados como neoplasias múltiples primarias sincrónicas (lo cual ocurrirá en situaciones excepcionales) deberían recibir algún tipo de terapia adyuvante. Por último, los cánceres que sean considerados como ováricos o endometriales con metástasis deberían ser tratados según el estadio en que se encuentren.
BIBLIOGRAFIA
01 Billroth T. Chirurgische Klinik. Wien 1871-6. Nebs einem Gesamnt-Bericht über die chirugischen kliniken in Zürich und Wien während der jahre 1870-6: Ërfahrundgen auf dem Gebiete der praktischen chirurgie p 258. 1879. Berlin, A Hirschwald. Citado en Porta P, Lalle M, Palazzetti P, Villani C, Pachi A, Stentella P. Multiple Primery Neoplasms. Consideration on 42 cases. Eur J Gynaec Oncol 1995;XVI:482-7.
02 Annegers J, Malkasian G, Patterns of Other Neoplasia in Patientes with Endometrial Carcinoma. Cancer 1981;48:856-9.
03 Mazur M, Hsueh S, Gersell D. Metastases to the female genital tract. Analysis of 325 cases. Cancer 1984;53:1978-84.
04 National Institutes of Health Consensus Development Conference Statement, Ovarian Cancer: Screening, Treatment, and Follow-up. Gynecolo Oncol; 1994:S4-S14.
05 Lynch H, Conway T, Lynch J. Hereditary ovarian cancer pedigree studies, part II. Cancer Genet Gytogent 1991;52:161-83.
06 Cahan W. Interantional Workshop on Multiple Primary Cancers. Cancer 1977;40:1785-6.
07 Moertel C. Multiple Primary Malignant Neoplasms. Historical Perspesctives. Cancer 1977;40:1786-92.
08 Eifel, P, Hendrickson M, Ross J, Ballon S, Martínez A, Kempson R. Simultaneous Presentation of Carcinoma Involving the Ovary and the Uterine Corpus. Cancer 1982;50:163-70.
09 Ulbright T, Roth L. Metastatic and Independet Cancer of the Endometrium and Ovary: A Clinocopathologic Study of 34 Cases. Hum Pathol 1985;16:28-34.
10 Russell P, Bannatyne P, Solomon H, Stoddard L, Tatterdall H. Multifocal tumorignesis in the upper female genital tract: Implications for staging and management. Int J Gynecol Pathol 1985;4:192-210.
11 Lauchlan S. The secondary müllerian system. Obstet Gynecol 1972;27:133-146.
12 Porta P, Lalle M, Palazzetti P, Villani C, Pachi A, Stentella P. Multiple Primery Neoplasms. Consideration on 42 cases. Eur J Gynaec Oncol 1995; XVI: 482-487.
13 Scully R. Ovarian tumors. A review. Am J Pathol 1977;87:686-720.
14 Fox H. Multiple primary neoplasms of the upper female genital tract (abstract). Int J Gynecol Pathol 1983;1:319.
15 Prat J, Matias-Guiu X, Barreto J. Simultaneous Carcinoma Involvint the Endometrium and the Ovary. A Clinocpahtologic, Inmmunohistochimcal and DNA Flow Cytometric Study of 18 Cases. Cancer 1991;68:2455-9.
16 Zaino R, Unger E, Whitney C. Synchronous carcinomas of the uterine corupus and ovary. Gynecol Oncol 1984;19:329-35.
17 Silverman S, O''Neil R, Mikuta J. Multiple malignant tumors associate with primary carcinoma of the ovary. Surg Gynecol Obstet 1972;134:244-8.
18 Woodruff K, Solomon D, Sullivant H. Multifocal Disease in the Upper Genital Canal. Obstet Gynecol 1985;65:695-8.
19 Eisner R, Nieberg R, Berek J. Synchronous Primary Neoplasms of the Female Reproductive Tract. Gynecol Oncol 1989;33: 335-9.
20 Ziel H, Finkle W. Increase risk of endometrial carcinoma among users of cojugated estrogens. N Engl J Med 1975;293: 1164-7.
21 Pearl M, Johnston C, Frank T, Roberts J. Synchronous dual primary ovarian and endometrial carcinomas. Int J Gynecol Obstet 1993;43:305-12.
22 Takeshima N, Hirai Y, Yano K, Tanaka N, Yamuchi K, Hasumi K. Ovarian Metastasis in Endometrial Carcinoma. Gynecol Oncol 1998;70:183-7.
23 Chen S. Operative treatment in stage I endometrial carcinoma with deep myometrial invasion and/or grade 3 tumors sugically limited to the corpus uteri. Cancer 1989;64:1843-5.




