INTRODUCCION
La dismenorrea es una afección muy frecuente en las adolescentes y las mujeres jóvenes, ya que la presenta, en un mayor o menor grado, el 40-50% de ellas1,2.
Según la etiología de la dismenorrea, se distinguen 2 tipos: primaria, también denominada esencial o funcional, y secundaria, debida a una enfermedad orgánica específica, entre otras, las malformaciones uterinas.
El útero unicorne con cuerno rudimentario y endometrio funcionante puede ser causa de dismenorrea debido a la distensión que produce la sangre en una cavidad cerrada y el desarrollo consecuente de hematometra, hematosalpinx y menstruación retrógrada. El tratamiento es necesariamente quirúrgico y la intervención recomendada es la exéresis del cuerno rudimentario3.
La incidencia de las malformaciones uterinas aunque es difícil de establecer, según la literatura médica actual, oscila entre el 0,1 y el 4% de las mujeres de la población general4,5.
El objetivo de este artículo es describir 3 casos clínicos de nuestro servicio que asocian dismenorrea y útero unicorne con cuerno rudimentario derecho no comunicado y endometrio funcionante, haciendo especial hincapié en el diagnóstico y el tratamiento.
CASOS CLINICOS
Caso 1
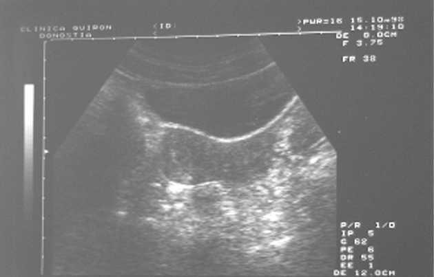
Paciente de 16 años de edad, que acude a la consulta externa de ginecología en noviembre de 1998 por presentar una dismenorrea intensa. Aporta una ecografía con diagnóstico de útero bicorne unicollis, con hematometra de 12 x 6 mm en la cavidad derecha. La exploración ginecológica es normal y el diagnóstico histeroscópico es de útero unicorne. Se propone la realización de una laparoscopia. La paciente, junto con sus padres, decide demorarla y hacerla si persisten los dolores. Reingresa en septiembre de 2000 por el mismo motivo, y ese mismo año, a causa de un dolor abdominal intenso en el hipogastrio y la fosa ilíaca derecha, se le practica una laparotomía fuera de nuestro hospital, con el único hallazgo de una tumoración dura de unos 5 cm en la porción superior derecha del útero, que no se extirpa. El 30 de enero de 2001 se le realizó una laparotomía con exéresis del cuerno rudimentario derecho. Desde entonces, se encuentra asintomática, sin dismenorrea (fig. 1).
Figura 1. Ecografía.
Caso 2
Paciente que acude a la consulta externa de ginecología en abril de 2003, a la edad de 37 años, por presentar intensos dolores abdominales que, según ella, comenzaron en la menarquia y se han mantenido hasta la actualidad. Acude para tratamiento quirúrgico. Aporta ecografía informada de útero bicorne unicolis, con una cavidad normal y otra dilatada, y una imagen de 7 mm en su interior compatible con pólipo endometrial. Además, aporta histerosalpingografía (HSG) e histeroscopia que informan de un útero unicorne, y una resonancia magnética (RM), con informe de útero bicorne con dilatación de útero derecho en relación con el endometrio engrosado o hematocolpos. Tiene como antecedente 3 gestaciones: la primera, en el año 1985, que fue un aborto del primer trimestre con legrado uterino; la segunda, en el año 1995, un parto eutócico a las 34 semanas con un feto que pesó 1.950 g; la última, en el año 2000, tras una amenaza de parto prematuro tratada con tocólisis y corticoides, se le practicó una cesárea en la semana 38 por presentación de nalgas (el feto pesó 2.840 g). En la cesárea se hizo un diagnóstico de útero septo completo con gestación en hemiútero izquierdo. El hemiútero derecho era hipoplásico. El diagnóstico de la ecografía vaginal en nuestro servicio fue de útero doble con hematometra de 2 cm en el cuerno derecho. El diagnóstico definitivo es de útero unicorne con cuerno rudimentario derecho y endometrio funcionante. Se propuso realizar una exéresis del cuerno derecho, pero la paciente exigió una histerectomía, que fue practicada el 15 de mayo del mismo año (figs. 2 y 3).
Figura 2.Pieza de histerectomía.
Figura 3.Pieza de histerectomía abierta.
Caso 3
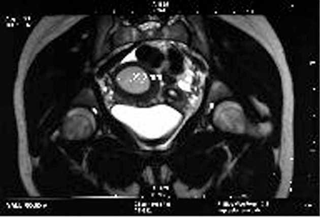
Paciente de 13 años de edad, que acude a la consulta externa de ginecología el 21 de enero de 2005 por presentar un dolor intenso desde la menarquia. El dolor ha sido cíclico y se ha intensificado notablemente en los últimos meses, y en la actualidad es continuo e inaguantable. Aporta una ecografía con diagnóstico de útero bicorne unicollis, con cuerno rudimentrario y hematometra de 4 cm. Se practica RM con el mismo diagnóstico. Se practicó una laparotomía con exéresis del cuerno rudimentario el 30 de enero (figs. 4-6).
Figura 4. Resonancia magnética.
Figura 5. Exéresis de cuerno rudimentario por laparotomía.
Figura 6.Cuerno rudimentario abierto.
DISCUSION
La incidencia de las malformaciones uterinas es difícil de establecer, ya que en ocasiones cursan asintomáticas y, en parte, por las diferentes técnicas diagnósticas usadas (con una mayor o menor precisión). Las frecuencias obtenidas por diferentes estudios son las siguientes: el 0,1-4,3%6 de la población general, según la bibliografía, en la población no seleccionada, entre el 3,55,6 y el 4%5 de las mujeres fértiles, y entre el 6,37 y el 13%6 en las infértiles. La malformación más frecuente es el útero septo6 (33,6%). El útero unicorne supone entre el 2,4%7 y el 13,7%4,6 de todas las malformaciones mullerianas.
El útero unicorne se engloba en el grupo II de la clasificación de la Sociedad Americana de Fertilidad8. Dentro de este grupo hay 4 subgrupos: a) con cuerno rudimentario comunicado; b) con cuerno rudimentario no comunicado y endometrio funcionante, que es al que nos referimos; c) con cuerno rudimentario sin cavidad, y d) sin cuerno rudimentario. La causa es una anomalía en el desarrollo de uno de los conductos de Müller4-9.
El diagnóstico del útero unicorne con hematometra es difícil de establecer, por desconocimiento, como lo demuestra los casos 1 y 2, donde las mujeres tuvieron una demora innecesaria e injustificada para obtener el tratamiento adecuado. Se debe sospechar ante una dismenorrea primaria especialmente intensa y duradera que no cede con la analgesia habitual o incluso puede aumentar de intensidad5,10. La intensidad del dolor puede tener relación con el tamaño de la cavidad del cuerno rudimentario y con la funcionalidad del endometrio que la reviste11.
Se ha observado que en el 74% de los uteros unicornes coexiste el cuerno rudimentario, no comunicante en el 90% de los casos3,12-14. Tanto la ecografía como la RM han mostrado ser excelentes para el diagnóstico del útero unicorne con cuerno rudimentario funcionante15-17. Ninguna de las técnicas destacó sobre la otra, aunque una de las ventajas que puede tener la ecografía es que es una prueba habitual en la práctica tocoginecológica rutinaria.
El útero unicorne también puede ser diagnosticado mediante HSG y/o histeroscopia, técnicas de manejo usual en nuestra especialidad.
La laparoscopia/laparotomía aislada como diagnostico de útero unicorne puede ser insuficiente, ya que al ser una técnica que imposibilita la visión intracavitaria del útero; muchos de los úteros unicornes pueden ser confundidos con bicornes. Grinbizis recomienda la asociación de dichas técnicas con la histeroscopia para una clasificación correcta de las malformaciones.
Siempre que haya una malformación genital debe buscarse una anomalía renal y/o de vías urinarias, realizando para ello una ecografía abdominorrenal y/o urografía intravenosa5. En los casos clínicos descritos en este artículo se realizaron ecografías abdominales para descartar malformaciones renales coexistentes, que fueron normales (no se realizaron urografías).
Según la literatura médica, los úteros unicornes presentan una mayor prevalencia de endometriosis que el resto de malformaciones uterinas6,18-21 afirmación que no hemos podido confirmar.
En cuanto se refiere a enfermedad obstétrica, sólo una de nuestras pacientes ha estado embarazada, tuvo un aborto del trimestre, un parto prematuro en la semana 34 y una cesárea por presentación de nalgas tras una amenaza de parto prematuro. Todas ellas son complicaciones descritas en el útero unicorne con una tasa de abortos del 37,1%, de parto pretérmino del 16,4% y de partos a término del 45,3%6.
Otra complicación descrita es la rotura uterina del útero unicorne rudimentario comunicado durante la gestación3,16,22, que ocurre generalmente en el segundo trimestre. La causa es que el cuerno uterino comunicado no tiene una estructura normal como consecuencia del desarrollo anómalo del conducto de Müller, motivo que anima a la búsqueda de cuernos rudimentarios en úteros unicornes diagnosticados casualmente en pacientes con deseos genésicos en el curso de una histeroscopia y/o HSG.
Como tratamiento, es necesaria la exéresis del cuerno rudimentario no comunicado con endometrio funcionante y, muy probablemente, también en el comunicado por el riesgo de rotura del útero gestante durante el embarazo. Nosotros hemos recurrido a la laparotomía pero también se utiliza la laparoscopia3,23-29.
Como conclusión, en toda mujer con dismenorrea y hematometra en la ecografía o en la RM, se debe pensar que el diagnóstico es de útero unicorne con cuerno uterino rudimentario y hematometra, diagnóstico que se puede confirmar con histeroscopia y/o HSG. Confirmado el diagnóstico, el tratamiento es la exéresis del cuerno rudimentario por laparotomía o por laparoscopia.
Correspondencia:
Dra. I. Aizpitarte.
Servicio de Ginecología y Obstetricia. Hospital Donostia.
Paseo Doctor Beguiristain, 109. 20080 Donostia. Guipúzcoa. España.
Correo electrónico: iuoohay@yahoo.es
Fecha de recepción: 14/9/2005.
Aceptado para su publicación: 29/11/2006.







