INTRODUCCIÓN
La incidencia de la atresia yeyunoileal oscila entre 1/3.000 y 1/5.000 recién nacidos. La localización de las atresias yeyunoileales no es uniforme, de forma que son más frecuentes en el íleon distal (36%), y en segundo lugar en el yeyuno proximal (31%), el yeyuno distal (20%) y el íleon proximal (13%). Excepcionalmente, se manifiesta antes de la semana 24 de gestación. Por otro lado, el polihidramnios está presente en mayor medida, cuanto más proximal es la atresia. La asociación con alteraciones cromosómicas es baja.
La causa de obstrucción puede ser orgánica (vólvulos, malrotación, duplicación intestinal, etc.) o funcional.
Una de las complicaciones a tener en cuenta en el control de la atresia es la peritonitis meconial por perforación intestinal, la cual se manifiesta por la presencia de ascitis, calcificaciones o contenido libre en la cavidad, que se presenta en un 6% de los casos.
CASO CLÍNICO
Se trata de una paciente de 39 años de edad, sin antecedentes de interés, tercigesta con dos abortos anteriores, remitida con 32 semanas de gestación a la unidad de diagnóstico prenatal por una formación quística pélvica de 6 cm de diámetro, y sospecha de quiste ovárico fetal asociado a polihidramnios. La gestación ha cursado dentro de la normalidad; se practicó una amniocentesis en la semana 16 por añosidad, que dio como resultado un 46 XX normal, y una ecografía de cribado de malformaciones en la semana 20, donde se descartaron malformaciones fetales.
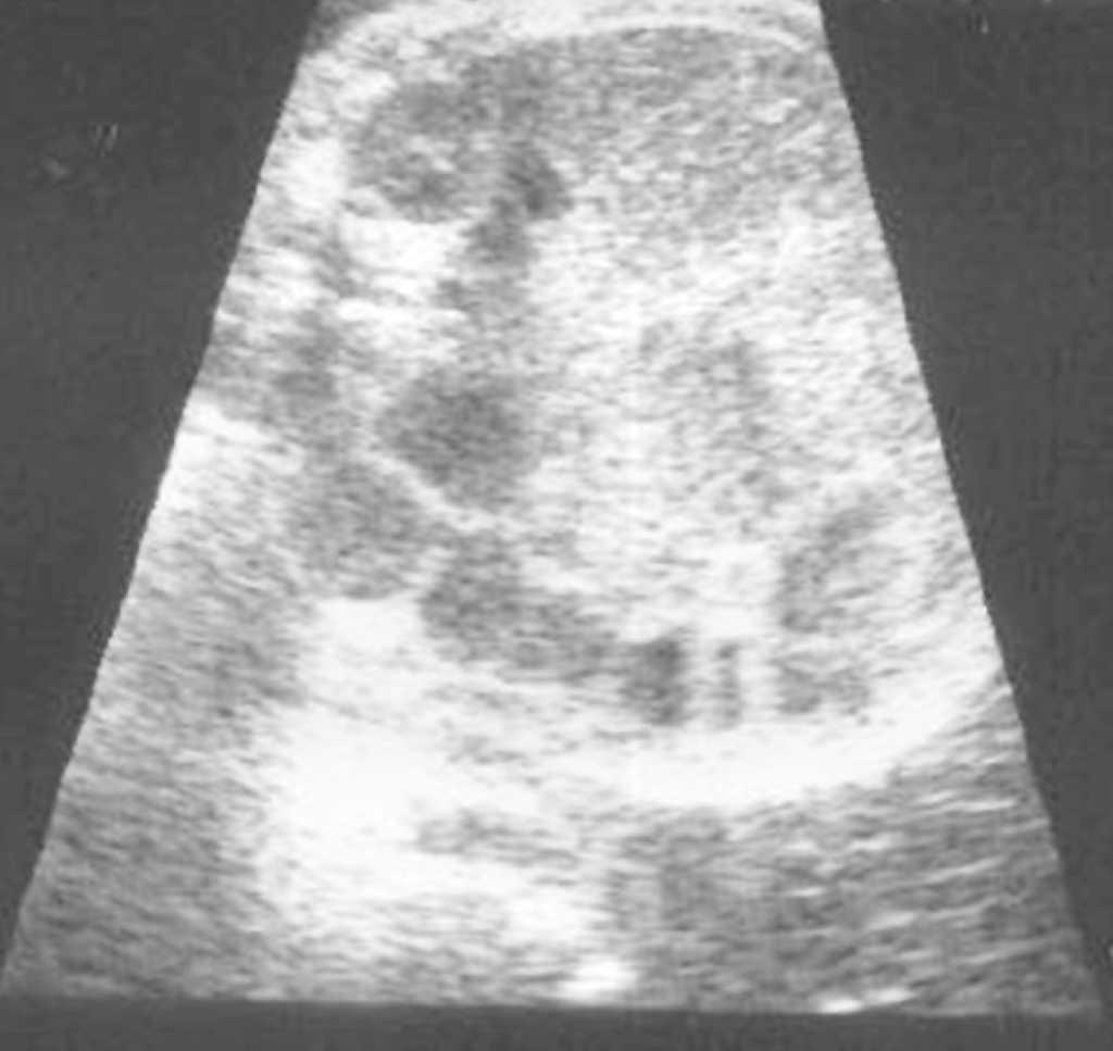
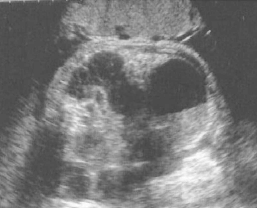
En un primer estudio ecográfico, practicado en la semana 32 + 2, destaca un circunferencia abdominal fetal (CAF) mayor al percentil 95 y un polihidramnios con índice de líquido amniótico (ILA) de 23. En el hemiabdomen inferior se visualiza una tumoración redondeada de aspecto quístico, desde la vejiga al borde hepático, de 59 x 48 x 46 mm de diámetro, con nivel líquido-sólido, compatible con quiste ovárico fetal, con parte sólida avascular (figs. 1 y 2). Las asas intestinales distales se encontraban dilatadas, con peristaltismo y rechazadas en hemiabdomen izquierdo probablemente por compresión extrínseca (fig. 3). No se visualiza líquido libre ni calcificaciones. El resto de la exploración ecográfica se encontraba dentro de la normalidad.
Figura 1.Corte sagital de abdomen fetal con formaciones anecoicas con contenido ecogénico en su porción declive.
Figura 2.Corte sagital del abdomen fetal con asas intestinales dilatadas con contenido en su interior.
Figura 3.Corte sagital del abdomen fetal con asas intestinales dilatadas en íntimo contacto con estructura quística.
Se establece una primera aproximación diagnóstica de tumoración quística intraabdominal, que comprime órganos vecinos originando dilatación de asas intestinales, pero sin descartar afecciones de origen digestivo.
En un segundo estudio ecográfico, realizado en la semana 34 + 2, se aprecia en el hemiabdomen izquierdo y de predominio caudal la formación quística anteriormente descrita, además de múltiples imágenes de contornos bien delimitados con niveles sólido-líquido, que se comunican entres sí, con presencia de peristaltismo. Presentaba un hidramnios de 44 mm y el resto de la anatomía fetal no presentaba otros hallazgos patológicos.
En ese momento se sospecha como causa más probable una atresia de íleon proximal o de yeyuno, apoyado en la presencia de polihidramnios y la dilatación de las asas con contenido líquido localizada en la pelvis fetal (que indica un origen distal).
Dado que el hidramnios es bien tolerado por la paciente, no se realiza amnioevacuación y se decide actitud expectante con controles semanales.
La paciente ingresa con 35 + 3 semanas por rotura prematura de membranas, por lo que se realiza una inducción directa del parto, y nace mediante un fórceps por expulsivo prolongado una niña de 3.050 g.
La recién nacida es valorada por el servicio de pediatría y cirugía pediátrica, y se realiza un estudio de imagen con ecografía abdominal y radiografía simple de abdomen, con los mismos hallazgos que en el estudio prenatal y, con el diagnóstico de obstrucción intestinal, a las 18 h del nacimiento se interviene quirúrgicamente. Los hallazgos son de un yeyuno e íleon terminal de pequeño calibre con meconio en su interior y una estenosis yeyunal aislada. Se observa un quiste mesentérico de 50 mm que no se comunica con el intestino y se reseca. Se realiza una resección de la porción afectada y anastomosis terminoterminal, con evolución favorable del postoperatorio.
DISCUSIÓN
Las atresias son las malformaciones más frecuentes del intestino delgado1. La atresia se define como una obstrucción completa del intestino delgado.
Desde el punto de vista etiológico, la atresia intestinal es el resultado de un trastorno vascular, que produce necrosis del segmento afectado con su reabsorción posterior.
La imagen ecográfica de atresia intestinal se caracteriza porque en los cortes transversales del abdomen fetal se observan asas de intestino delgado dilatadas proximales al punto de obstrucción, con claro peristaltismo, y se asocia a polihidramnios cuando la obstrucción es elevada. En nuestro caso, se observó un notable polihidramnios que se incrementaba en las exploraciones sucesivas, lo que nos orientó, junto con los hallazgos ecográficos, al diagnóstico. El polihidramnios es más frecuente cuanto más proximal es la localización de la atresia, y puede ser la causa de partos prematuros y de rotura prematura de membranas, como ocurrió en nuestra paciente.
Por otro lado, ante un polihidramnios es obligado un estudio exhaustivo de las anomalías fetales, puesto que hoy en día el principal factor etiológico del polihidramnios son las anomalías congénitas2.
El diagnóstico de la atresia yeyunoileal es habitualmente posterior a las 24 semanas y la localización precisa de la obstrucción es imposible. La asociación con alteraciones cromosómicas se da aproximadamente en un 7%.
El diagnóstico diferencial se debe establecer con quistes fetales abdominales, originados de ovario (fue la primera sospecha diagnóstica en nuestro caso y rara vez asociado a polihidramnios), del tracto urinario (quiste renal, hidronefrosis, urinoma), hepatobiliar (quiste hepático, del colédoco, esplénico, onfalomesentérico, uracal) o intestinal (vólvulos, dilatación intestinal, cloaca persistente), seudoquiste meconial. En el caso de que las imágenes quísticas presenten peristaltismo nos lleva a pensar en una lesión de origen intestinal.
La mayor parte de las anomalías asociadas están relacionadas con el tracto gastrointestinal, mientras que las anomalías extraintestinales son raras. Las malformaciones extraintestinales asociadas son menos frecuentes que en los casos de atresia de localización en otra porción intestinal, como esófago, duodeno o atresia anorrectal. En un 45% de los casos de atresia yeyunoileal hay una asociación con las malformaciones del tracto intestinal: malrotaciones (23%), defectos en la pared anterior del abdomen, como onfalocele y gastrosquisis (6%), duplicaciones intestinales (3%) y atresia esofágica (3%)3-7. En una revisión de 277 casos de neonatos con atresia intestinal4, se encontró que en los casos de atresia yeyunoileal, un 27% se asoció a vólvulo intrauterino, un 16% a gastrosquisis y un 12% a íleo meconial. Sweeney et al8, en una revisión de 83 casos de atresia yeyunoileal, encontraron que un 42% de los casos de atresia yeyunal tenían malformaciones mayores asociadas, frente a un 2% en las atresias ileales. Además, un 47% de las atresias yeyunales eran únicas, frente a un 91% de las ileales. En esta serie de casos la mortalidad fue de un 16%, de los cuales el 84% fueron atresias yeyunales.
Pueden aparecer complicaciones, como peritonitis meconial, en un 6% de los casos, debido generalmente a una torsión del intestino con posterior necrosis y perforación. Ecográficamente, se manifiesta como calcificaciones peritoneales dispuestas en forma periférica o en abdomen, asociadas con quistes intraabdominales o ascitis.
Hay también causas funcionales de obstrucción intestinal9, como la clorhidrorrea congénita (raro), el síndrome de hipoperistalsis intestinal megacistis-microcolon (raro), en que además de una dilatación de asas hay una asociación con la megavejiga, o bien íleo meconial por impactación de meconio en íleon distal.
En el manejo anteparto de estas pacientes se deben hacer seguimientos ecográficos cada 2-3 semanas para valorar el polihidramnios y la dilatación de las asas, y así evitar complicaciones, como la peritonitis meconial y las derivadas del polihidramnios. El parto se permite por vía vaginal.
La clínica que manifiestan estos recién nacidos puede ser de vómitos biliares, más precoces en los casos de atresias más proximales.
El tratamiento de estos pacientes es quirúrgico. Es fundamental que el neonato al nacer sea valorado inmediatamente por el cirujano. En las formas aisladas de atresia ileal distal tras la corrección quirúrgica el pronóstico es excelente, con una supervivencia de casi el 100%. La porción proximal afectada no suele tener funcionalidad, por lo que se reseca para evitar problemas de peristaltismo anormal y se realiza una anastomosis terminoterminal.
El pronóstico de estos pacientes depende de la cantidad de intestino funcional tras la cirugía. En general, 40 cm de intestino delgado funcional se considera adecuado. La mortalidad intraoperatoria observada por Dalla Vechia et al4 fue de un 0,8% para los casos de atresia yeyunoileal, y la complicación a largo plazo fue el desarrollo de un síndrome de intestino corto en un 84%. Los pacientes con múltiples atresias tienen peor pronóstico que los pacientes con una atresia aislada.
Correspondencia:
Dra. R. García Rodríguez.
Avda. Marítima del Sur, s/n. 35016 Las Palmas de Gran Canaria. España.
Correo electrónico: raquelgarciarod@hotmail.com
Fecha de recepción: 25/7/05.
Aceptado para su publicación: 26/5/06.




