INTRODUCCIÓN
Las pacientes con antecedente de cáncer mamario presentan un riesgo elevado de desarrollar otro tumor en la misma mama o en la mama contralateral. La prevalencia de tumores sincrónicos y metacrónicos oscila entre el 1-3% y el 5-7%, respectivamente1,2. Los métodos aceptados actualmente para realizar un cribado de la mama contralateral son la exploración física (EF) y la mamografía; las tasas de detección con cada uno de estos procedimientos oscila entre el 0,2-1% para la EF y el 1-3% para la mamografía1. La resonancia magnética (RM) ha demostrado ser una técnica eficaz para detectar un tumor mamario en casos con adenopatía axilar neoplásica y primario desconocido3. Asimismo, la RM permite detectar focos neoplásicos «ocultos» en la mama afectada por un tumor ya diagnosticado4,5. En muchos centros la EF y los estudios radiológicos se centran en la mama homolateral, y no se estudia la mama contralateral de forma sistemática. Sin embargo, el diagnóstico temprano de una neoplasia contralateral en una paciente ya diagnosticada de un cáncer mamario modifica el tratamiento, potencialmente reduce la tasa de recidivas y puede mejorar el pronóstico. La detección de tumores mamarios con RM, «ocultos» a la EF y la mamografía, tiene implicaciones importantes en lo que respecta al cribado y el estudio preoperatorio de las pacientes diagnosticadas de cáncer de mama.
Presentamos un caso recientemente diagnosticado y tratado en nuestro servicio en el que se detectó mediante RM una lesión «oculta» a la EF, la mamografía y la ecografía.
CASO CLÍNICO
Una paciente, de 40 años de edad, acude a nuestra consulta por un nódulo en la mama derecha (MD). Se trata de una mujer primípara que presenta como antecedentes familiares 2 primas hermanas maternas diagnosticadas de cáncer mamario a los 32 y 33 años de edad, respectivamente. No presenta antecedentes personales de interés. La EF informa de mamas pequeñas, simétricas con tacto glandular algo sustituido por grasa. En la línea intercuadrántica superior (LICS) de la MD se palpa un nódulo duro, pétreo, de 1,5 cm de diámetro, adherido a planos profundos pero no a la piel. No se aprecian retracciones dérmicas ni de pezón. No se objetiva telorrea a la expresión. La exploración de la axila derecha (AD) no informa de adenopatías. La exploración de la mama izquierda (MI) y de la axila izquierda (AI) es completamente irrelevante.
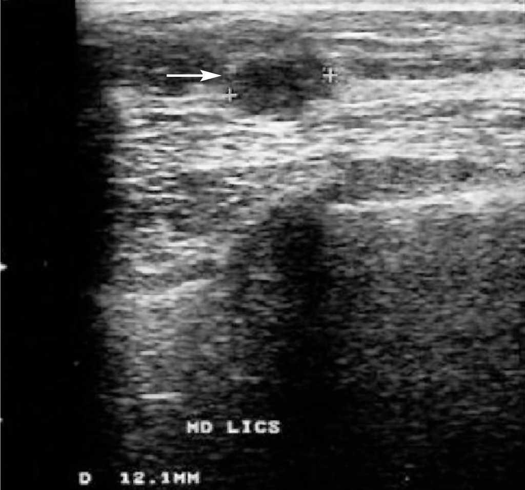
Ante la sospecha de neoplasia mamaria en MD se solicita la realización de una mamografía, ecografía y RM bilaterales. La mamografía muestra unas mamas con tejido fibroglandular de predominio denso con un nódulo espiculado de aproximadamente 1 cm en la LICS de MD. No se aprecian lesiones en MI (fig. 1). La ecografía bilateral confirma la presencia de un nódulo sólido de 1 cm con bordes irregulares, que coincide con la tumoración palpable en la LICS de MD. El estudio de MI no presenta hallazgos significativos (fig. 2). La RM bilateral informa de «... lesión nodular espiculada en LICS de MD con patrón de captación sugestivo de malignidad y que se extiende caudalmente a través de la línea intercuadrántica en presencia de pequeños nódulos satélites con patrones de captación similares que se aproximan hacia el pezón». La lesión nodular principal alcanza unos 14 mm de diámetro mayor, mientras que el conjunto de las lesiones satélites alcanzan unos 15 mm. En MI, «... captaciones significativas en fase arterial con presencia de un pequeño nódulo mal delimitado con un patrón de captación sugestivo de malignidad y con pequeñas lesiones satélite que se extienden caudalmente al igual que en la MD». Estas lesiones están en el cuadrante inferoexterno (CIE), en proximidad de la línea intercuadrántica inferior, a unos 2,5 cm del pezón (fig. 3). Ante el hallazgo de un área sospechosa en la RM de MI se decide solicitar una mamografía magnificada de cuadrantes inferiores de MI, que es informada como normal (fig. 4). Se decide biopsiar con aguja gruesa la masa de MD, y el resultado es de carcinoma ductal infiltrante (CDI) de grado 2.
Figura 1. Mamografía bilateral. Mamas con tejido fibroglandular de predominio denso con una imagen espiculada de aproximadamente 1 cm en la línea intercuadrántica superior de la mama derecha (flecha).
Figura 2. Ecografía de la mama derecha. Se confirma la presencia de un nódulo sólido de 1 cm de tamaño con márgenes irregulares y cuya topografía coincide con la de la masa palpable (flecha).
Figura 3. Resonancia magnética bilateral. Se aprecia una lesión nodular espiculada en línea intercuadrántica (LIC) superior de la mama derecha con patrón de captación sugestivo de malignidad, y que se extiende caudalmente a través de la LIC inferior en presencia de pequeños nódulos satélite con patrones de captación similares (flecha). La lesión nodular principal alcanza unos 14 mm de diámetro mayor, mientras que el conjunto de las lesiones satélite alcanzan unos 15 mm. En la mama izquierda se aprecian captaciones significativas en fase arterial, en presencia de un pequeño nódulo mal delimitado, con un patrón de captación sugestivo de malignidad y varias lesiones satélite que se extienden caudalmente al igual que en la mama derecha. Estas lesiones están en el cuadrante inferoexterno en proximidad de la LIC inferior, a unos 2,5 cm del pezón (flecha).
Figura 4. Magnificación mamográfica del cuadrante inferoexterno de la mama izquierda. No se aprecian hallazgos significativos.
Se indica una mastectomía radical modificada (MRM) de MD, dado el pequeño tamaño de la mama y la aparente infiltración de pezón, y una biopsia intraoperatoria de CIE de MI. El resultado histológico de la MRM es de CDI grado 3 de 1,2 cm en su diámetro mayor, con signos de infiltración linfática y carcinoma ductal in situ (CDIS) asociado (grado 2 y 3, cribiforme, sólido y comedo). Los bordes de resección están libres, así como los 24 ganglios axilares resecados. El estudio de la biopsia de MI informa de CDIS asociado a áreas de mastopatía proliferativa con hiperplasia ductal florida, hiperplasia ductal atípica (HLA), papilomatosis y adenosis. La paciente es remitida al servicio de radioterapia (RT) para finalizar el tratamiento local de MI y al servicio de oncología médica para programar el tratamiento sistémico.
DISCUSIÓN
La RM mamaria ofrece una alta sensibilidad (85-100%)6,7; su menor especificidad (40-100%) y su alto coste económico, sin embargo, limitan su utilización clínica como método de cribado en la población general7,8. En la actualidad hay una evidencia creciente que apunta a que la realización de una RM puede ser de utilidad clínica en ciertos grupos de alto riesgo: mujeres con antecedentes personales o fuerte carga familiar de cáncer de mama, mujeres con predisposición genética y mujeres con diagnósticos previos de lesiones premalignas o carcinomas in situ9-13.
Desde que realizamos una RM bilateral de forma sistemática a las pacientes con cáncer mamario hemos estudiado 50 casos; de ellos, sólo hemos diagnosticado un caso (2%) de cáncer contralateral, que hubiese pasado inadvertido de no ser por la RM. Este porcentaje es inferior al comunicado por otros grupos (tabla 1). Se ha comunicado que el porcentaje de neoplasias contralaterales diagnosticadas mediante biopsia «a ciegas» del CSE de la mama contralateral es del 3%14. Con la RM, por tanto, se obtiene el mismo resultado evitando la realización de un gran número de biopsias.
Los estudios que analizan las neoplasias mamarias contralaterales detectadas exclusivamente mediante RM señalan que alrededor de la mitad de los casos son CDIS15,16. La sensibilidad de la RM para detectar CDIS se sitúa entre el 40 y el 100%, y aumenta si se tiene en cuenta más los factores de tipo morfológico y menos los comportamientos dinámicos de las lesiones: sólo el 9% de los CDIS presentan lavados rápidos o mesetas17. La detección de un mayor número de CDIS gracias a la RM ha reavivado una polémica clásica --ya se desató con la llegada de la mamografía de cribado--: para algunos los métodos de cribado llevan a detectar lesiones no evolutivas e inocuas y, por tanto, a sobretratar a los pacientes18. Hoy sabemos que aunque los cánceres infiltrantes provienen de tumores in situ, no todos evolucionan a tumores infiltrantes. En la actualidad, se impone progresivamente la opinión, basada en estudios de cribado realizados con mamografías, de que la mayoría de los CDIS detectados en primera ronda de un programa de cribado son progresivos; así, incluso la detección y la exéresis de un CDIS en una paciente joven tendrá efectos beneficiosos a medio plazo19.
En los casos en que no se disponga de un sistema de biopsia guiado por RM, la detección de lesiones «ocultas» en las mamografías, las ecografías y la EF plantea un dilema diagnóstico importante. En algunos casos, las pacientes que se enfrentan a la presencia de una lesión detectada exclusivamente mediante la RM --pero que no es posible biopsiar adecuadamente-- pueden optar por una mastectomía de la mama en cuestión. Aunque la mastectomía puede ser una buena opción terapéutica, tanto la paciente como el clínico deben ser conscientes de la limitada especificidad de la RM antes de tomar una decisión.
Podemos concluir afirmando que es factible la realización de una RM bilateral en las pacientes con cáncer mamario. Queda por dilucidar si todas o sólo algunos grupos de pacientes obtendrán beneficios de la realización de esta prueba; intuitivamente, las pacientes más beneficiadas podrían ser aquellas con mayores riesgos de cáncer de mama: las mujeres con mamas densas, con antecedentes familiares o personales de cáncer de mama y/o portadoras de mutaciones genéticas que aumenten su riesgo de cáncer de mama. Por último, es necesario desarrollar y divulgar nuevas técnicas de biopsia guiadas por RM, puesto que la realización de RM sin ellas puede llevar a tomar decisiones terapéuticas precipitadas basadas en presunciones diagnósticas.
Correspondencia:
Dr. A. Millet.
Hospital Clínico Universitario de Valencia.
Blasco Ibáñez, 17. 46010 Valencia. España.
Correo electrónico: amillets@yahoo.es
Fecha de recepción: 8/6/05.
Aceptado para su publicación: 14/3/06.






