INTRODUCCIÓN
Los pólipos endometriales son lesiones benignas constituidas por una proliferación localizada de las glándulas y del estroma endometrial, recubiertos por epitelio y que se proyectan por encima de la mucosa adyacente1-4. Aunque resulta difícil establecerlo con exactitud, se estima que se presentan en una cuarta parte de la población general, y en muchos casos son asintomáticos5. Cuando produce sintomatología se manifiestan en forma de sangrado uterino anormal.
Los pólipos pueden presentar erosión, hemorragia, necrosis y, con menor frecuencia, hiperplasia atípica o malignización, ya sea en forma de adenocarcinoma o carcinosarcoma1,2,6-9.
En un estudio descriptivo y retrospectivo, se presentan los hallazgos clinicopatológicos y la evolución de 6 casos de adenocarcinoma endometrioide originado en un pólipo endometrial para determinar qué factores pueden influir en el comportamiento de estas lesiones.
MATERIAL Y MÉTODOS
Desde octubre de 1995 hasta mayo de 2004 se han estudiado en nuestro centro un total de 1.989 pólipos endometriales, y en 6 de estos casos se encontró un adenocarcinoma endometrioide originado en el pólipo y se han estudiado las características clínicas, ecográficas, histeroscópicas y la evolución de cada uno de ellos así como los hallazgos de las histerectomías con doble anexectomía efectuadas en las 6 pacientes. Como variables morfológicas se han revisado de forma retrospectiva el tamaño del pólipo, el tamaño de la lesión maligna, la localización del cáncer (si se encontraba en la periferia del pólipo o en su región central), el grado histológico del cáncer según la FIGO10, el estado de la base y la presencia o no de embolias tumorales en los vasos linfáticos del pólipo.
RESULTADOS
La edad media de las pacientes fue de 61,5 ± 9,9 años (rango: 50-71), todas eran menopáusicas y ninguna tomaba tamoxifeno (tabla 1). La forma de presentación clínica fue de sangrado uterino anormal en todas, a excepción de una paciente que estaba asintomática y la lesión se descubrió en un control ecográfico rutinario. El estudio ecográfico fue normal en una paciente, se sospechó un pólipo endometrial en 3, uno de ellos con signos de malignidad, y un mioma en las otras 2 pacientes. La histeroscopia reveló la presencia de una lesión polipoide intracavitaria en los 6 casos, 3 de ellas sospechosas de malignidad.
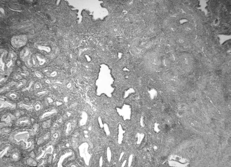
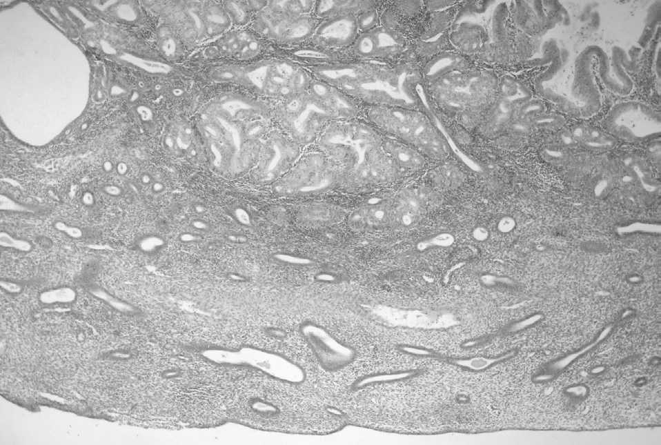
En 4 pacientes el diagnóstico de pólipo con adenocarcinoma se efectuó en una biopsia y en las otras 2 en la pieza de histerectomía, pues en ambas la biopsia previa reveló un adenocarcinoma sin criterios morfológicos de pólipo (tabla 2). El tipo histológico fue siempre endometrioide, y en el caso 1 se apreciaban focalmente algunas áreas serosas. El grado histológico según la FIGO fue G1 en 4 casos y G2 en los 2 restantes. El tamaño medio de los pólipos fue de 2,6 ± 1,7 cm (rango: 0,8-2,6) y en todos ellos la afectación por parte del adenocarcinoma era parcial; es decir, siempre se identificaron áreas de pólipo endometrial convencional conservadas. El tamaño medio de las neoplasias fue de 1,5 ± 0,6 cm (rango: 0,3-2). El cáncer se localizaba en la periferia del pólipo en 4 casos (fig. 1) y en la región central en 2 (fig. 2). En uno de los 2 casos en los que la lesión se encontraba en la porción central del pólipo existía afectación neoplásica del margen de resección. Sólo en uno de los casos se constató permeación tumoral de vasos linfáticos del pólipo.
Figura 1.Adenocarcinoma endometrioide situado en la porción periférica de un pólipo endometrial. Se observan glándulas no neoplásicas y vasos con paredes engrosadas (caso 3).
Figura 2. Adenocarcinoma endometrioide en la región central de un pólipo endometrial (caso 2).
En todas las pacientes se practicó una histerectomía y doble anexectomía sin linfadenectomía. En las 4 pacientes en las que el diagnóstico de adenocarcinoma en pólipo endometrial se había efectuado previamente en la biopsia, no se constató tumor residual y en las 2 en las que el diagnóstico se efectuó en la pieza de histerectomía no se apreció infiltración miometrial, y en ambos casos el endometrio adyacente al pólipo era normal. Todas las pacientes han seguido acudiendo a controles hasta la actualidad y se encuentran vivas y libres de enfermedad tras un seguimiento medio de 45 meses (rango: 6-96).
DISCUSIÓN
La prevalencia de los pólipos endometriales en la población general es del 24% y en el 20% son múltiples2,3,5. Clásicamente, los pólipos endometriales se han subdividido por orden de frecuencia en hiperplásicos, atróficos y funcionales, estos últimos presentan las características del endometrio adyacente2,3. Se pueden complicar por infarto, erosión, necrosis, hemorragia y decidualización de la estroma y más raramente se puede observar hiperplasia, carcinomas de cualquier tipo o adenosarcomas originados en un pólipo endometrial2. La presencia de un carcinoma originado en un pólipo endometrial se estima entre el 0,5 y el 5% de los pólipos1,2,6-8,11, habiéndose descrito carcinomas endometrioides, mixtos, de células claras y serosos, siendo estos últimos más frecuentes en pólipos atróficos de mujeres de edad12-14. En nuestra casuística hemos encontrado un carcinoma en un pólipo endometrial en un 0,3% de ocasiones (6/1.989) y en todos ellos el tipo histológico fue el endometrioide. El primer caso de adenocarcinoma originado en un pólipo endometrial fue descrito por Iseki en 192415, y en 1944 Ferris y Dockerti16 establecieron como criterios diagnósticos de adenocarcinoma originado en un pólipo endometrial: que el carcinoma debía estar limitado a una porción del pólipo, la base del pólipo debía estar libre y el endometrio que rodeaba la base del pólipo debía ser normal. Desde entonces se han publicado casos aislados o pequeñas series6.
Atendiendo a los criterios de Ferris y Dockerti16 y con el advenimiento de nuevas técnicas como la histeroscopia que permite biopsiar lesiones endometriales de forma dirigida, la ausencia de lesión en la base del pólipo puede no ser representativa, ya que se trata de una extirpación incompleta, como es el caso de una de nuestras pacientes en la que la lesión neoplásica se encontraba en la región central del pólipo afectando a su margen de resección y con ausencia de tumor residual en la histerectomía que se practicó posteriormente. En pacientes en las que la biopsia del pólipo se efectúa en consulta, puede ser que la resección no sea completa; sin embargo, cuando la polipectomía se practica utilizando un resectoscopio, es más probable que la extirpación sea total y con margen de resección libre de neoplasia. No obstante, la benignidad de la mucosa endometrial adyacente y/o la afectación parcial del pólipo por la neoplasia son criterios indispensables para el diagnóstico diferencial de un adenocarcinoma originado en un pólipo de un adenocarcinoma polipoide o de la invasión de un pólipo endometrial por un adenocarcinoma del endometrio. También debe diferenciarse de los tumores mullerianos mixtos malignos o carcinosarcomas que habitualmente presentan una configuración polipoide, pero en estos casos, tanto el componente glandular como el estromal son malignos9.
Los pólipos endometriales traducen una tendencia del endometrio a desarrollar lesiones proliferativas, por lo que podrían representar un riesgo para desarrollar cáncer de endometrio2, no obstante no existen evidencias concluyentes de que el hecho de haber tenido un pólipo endometrial incremente el riesgo de presentar un cáncer de endometrio. Aun así, y teniendo en cuenta que un 12-34% de pacientes con cáncer de endometrio presentan pólipos endometriales2,6,8, hay estudios que demuestran que tras un seguimiento a largo plazo, aquellas mujeres que han presentado un pólipo endometrial tienen una mayor prevalencia de cáncer de endometrio (un 3,5% de prevalencia observada frente a un 0,4% de prevalencia esperada)17. La ecografía es una técnica útil para la detección de pólipos endometriales, en especial si se visualiza el pedículo vascular18; no obstante, no es suficientemente sensible para detectar focos de malignización en éstos.
El tratamiento de los pólipos con adenocarcinoma debe ser el mismo que el del adenocarcinoma que no se origina en un pólipo, aunque en pacientes jóvenes con deseo de preservar la fertilidad y con un adenocarcinoma confinado en un pólipo con la base libre de lesión, la polipectomía mediante resector podría ser una opción terapéutica curativa, siempre y cuando no existiesen otros factores de riesgo, que por el momento y debido a la escasez de casos no están determinados de forma fidedigna. Esto no es válido en el caso de un carcinoma seroso por su alta incidencia de multifocalidad2,3,12.
La conducta a seguir ante un pólipo endometrial convencional es la de practicar controles rutinarios. Cuando en un pólipo se detecta una lesión neoplásica y ésta se halla confinada al pólipo y es de bajo grado de malignidad, puede plantearse un tratamiento conservador, ya sea la resección del pólipo o una histerectomía, en función del deseo de fertilidad de la paciente.
AGRADECIMIENTO
A Ignacio Rodríguez del Servicio de Epidemiología.





