Se presenta el caso de una recién nacida prematura que ingresó con diagnóstico de megauréter, malformación vesical y ascitis, y con una masa pélvica de aspecto quístico cuya etiología no fue posible establecer en el periodo prenatal. Se le practicaron múltiples estudios de imágenes y, finalmente, con resonancia magnética en el periodo posnatal, se le hizo diagnóstico de hidrometrocolpos con efecto compresivo sobre las vías urinarias, confirmado en la cirugía.
El hidrometrocolpos es inusual en la vida neonatal y aparece como una masa pélvica de aspecto quístico en los estudios por imágenes. Se hizo una breve revisión de la literatura científica, que incluyó los hallazgos imaginológicos más importantes.
The case is presented of preterm newborn patient admitted with diagnosis of congenital megaureter, bladder malformation, and ascites with a pelvic cystic mass for which it was not possible to define the aetiology in the prenatal period. Multiple imaging studies were performed, with magnetic resonance imaging finally providing the diagnosis of hydrometrocolpos with compressive effect on the urinary tract, which was confirmed post-operatively in the postnatal period.
Hydrometrocolpos is unusual in neonates, and it appears as a pelvic cystic mass in the imaging studies. A literature was performed that included the most important imaging findings of this condition.
El hidrometrocolpos es una alteración detectada infrecuentemente en la vida neonatal. En la mayoría de los casos se diagnostica en la niñez o en la pubertad, aunque puede ser diagnosticada incluso en la etapa prenatal; existen múltiples causas que lo producen, incluyendo las obstrucciones vaginales congénitas y las malformaciones del seno urogenital.
Esta enfermedad se manifiesta como una masa intraabdominal que en el ultrasonido y en la resonancia magnética (RM) tiene aspecto quístico con material particulado en su interior, asociándose o no a otras anomalías, especialmente a ureterohidronefrosis, por su efecto obstructivo. Se presenta el caso de una recién nacida prematura con una masa intraabdominal de aspecto quístico, cuya etiología no pudo establecerse en el periodo prenatal y que requirió diferentes estudios imaginológicos en el periodo neonatal para establecer el diagnóstico de hidrometrocolpos.
Historia clínicaSe trata de una paciente de 17 horas de nacida, que fue remitida con diagnóstico de recién nacida prematura de 35 semanas de gestación, con megalouréter y malformación de la vejiga, con antecedente de ascitis fetal (fig. 1). Durante la gestación se practicó amnioscentesis, el cariotipo fue normal y los estudios para TORCH fueron negativos.
Ecografia obstétrica. Corte coronal del feto, en el que se observa una imagen quística de pared gruesa, comunicada con lo que pareciera corresponder a la vejiga; se sospecha megauréter y megavejiga. Nótese el líquido libre en cavidad abdominal. En la evaluación retrospectiva, las imágenes quísticas observadas probablemente correspondían al cuello uterino (a la derecha de la imagen) y al útero (a la izquierda), distendidos por material mucoide.
Como antecedentes de importancia, la madre presentabahipotiroidismo en tratamiento y riñón en herradura.
La paciente fue producto de la segunda gestación, y nació mediante cesárea por ruptura prematura de membranas y prematuridad; su peso al nacer fue de 1.910g.
Ingresó con signos vitales estables y en el examen físico se documentó microcefalia, microftalmia, abdomen distendido con petequias y aparente diastasis de los rectos, con genitales externos femeninos de apariencia normal.
A su ingreso se manejó con diagnósticos de restricción del crecimiento intrauterino simétrico, posible infección por parto prematuro de causa no clara, taquipnea transitoria del recién nacido, malformación congénita (megauréter, megavejiga) y sospecha de aneuploidía.
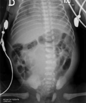
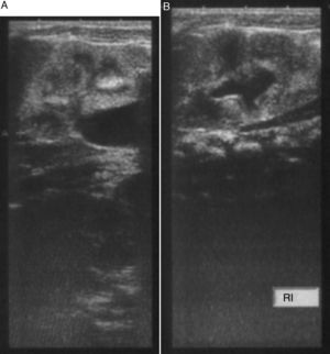
En el ecocardiograma se demostró comunicación interauricular (ostium secundum), conducto arterioso persistente e hipertensión pulmonar. La radiografía simple de abdomen evidenció una imagen radioopaca que ocupaba el mesogastrio y rechazaba las asas intestinales (fig. 2). Se sospechó una megavejiga, sin descartarse obstrucción de los uréteres y la uretra, por lo cual se practicó ecografía renal. En esta se informó ureterohidronefrosis con hidronefrosis izquierda de grado II y derecha de grado III, y aumento difuso de la ecogenicidad renal bilateral, posiblemente por insuficiencia renal crónica (fig. 3); además, se evidenció imagen de masa que ocupaba el mesogastrio y el hipogastrio, de aspecto quístico con partículas en su interior y con aparente comunicación con la vejiga. Se consideró que podía corresponder a un quiste del uraco, por lo que se sugirió practicar una cistouretrografíamiccional.
En la cistouretrografia se observó rechazo de la vejiga hacia adelante por una masa densa no dependiente ni relacionada con las vías urinarias, descartándose quiste del uraco y megavejiga; no había reflujo vésico-ureteral ni valvas uretrales (fig. 4). Se consideraron los diagnósticos de hidrometrocolpos y, menos probablemente, de quiste ovárico. Se complementó con resonancia magnética, la cual confirmó un hidrometrocolpos con efecto compresivo sobre las vías urinarias (fig. 5).
Cistouretrografía miccional. A. Proyección lateral en la que se observa la vejiga con medio de contraste, rechazada hacia Adelante por una masa densa no dependiente ni relacionada con las vías urinarias. B. Proyección anteroposterior durante la micción, en la cual se descartan reflujo vésico-ureteral y valvas uretrales.
Resonancia magnética. A y B. Adquisiciones axiales en T2 con saturación grasa, donde se observa imagen de aspecto quístico de pared gruesa e hipointensa, correspondiente a la cavidad uterina desviada lateralmente hacia la izquierda, en comunicación con otra imagen quística de pared delgada correspondiente al cuello uterino, hallazgos indicativos de hidrometrocolpos. C. Adquisición coronal en T2, donde se observa la importante distensión del cuello uterino con contenido hiperintenso y con extensión de la colección hacia la cavidad uterina. A la derecha del hidrocolpos se observa la dilatación del uréter derecho.
Por su evolución clínica hacia la mejoría, se decidió practicar el cierre del conducto arterioso persistente y, mediante cistoscopia, colocaron catéter de autorretención en el lado izquierdo, con dificultad por el efecto compresivo. Se practicó una vaginoscopia en la cual se observó atresia de la vagina en su tercio distal, por lo que se abortó el procedimiento perineal y se optó por una laparotomía infraumbilical. Se hizo la colpostomía y se drenó la colección pélvica, hidrometrocolpos de aproximadamente 60ml. Se les explicó a los padres el manejo futuro de la colpostomía y la corrección de la atresia vaginal.
DiscusiónEl hidrometrocolpos es inusual, especialmente en neonatos (0,006%), y se describe como una acumulación de líquido o secreciones mucosas en la cavidad uterina y la vagina1,2. Puede diagnosticarse en el periodo prenatal1 aunque su diagnóstico in utero es raro3 y usualmente se hace en el tercer trimestre4; deben buscarse anomalías asociadas, para la asesoría de los padres y el planeamiento del manejo posnatal5. El hidrometrocolpos se manifiesta como una masa quística pélvica-abdominal, cuya complicación más frecuente es la uretero-hidronefrosis por su efecto compresivo1–3, con insuficiencia renal secundaria6. Otras complicaciones son estreñimiento, ascitis, edema y cianosis de las extremidades1.
En este caso, la aproximación diagnóstica de las complicaciones obstructivas de las vías urinarias se hizo de forma prenatal, incluyendo signos ecográficos de insuficiencia renal, secundaria a la compresión por una probable megavejiga. Sin embargo, el diagnóstico definitivo de hidrometrocolpos, solo se hizo en el periodo posnatal.
El himen imperforado, el tabique vaginal transverso completo o la agenesia o hipoplasia vaginal parcial pueden causar hidrocolpos (acumulación de líquido en la vagina) e hidrometra (acumulación de líquidos en la cavidad uterina)1,3,5; en los casos de hidrometrocolpos, se presenta una importante dilatación de la vagina5. Varios casos de hidrometrocolpos neonatal también se han asociado a malformaciones del seno urogenital o cloacal3,4, caracterizado por una única apertura perineal para la uretra, el recto y la vagina7.
La detención del desarrollo del seno urogenital puede ocurrir en cualquier etapa, lo cual resulta en un amplio espectro de alteraciones de la anatomía genitourinaria, rectal y perineal externa3. La obstrucción vaginal congénita usualmente se presenta con hidrometrocolpos secundario a la secreción mucosa de las glándulas cervicales fetales, como reacción a las hormonas maternas8. El tamaño de la colección depende de la concentración de estrógenos maternos y de la sensibilidad de los receptores del aparato genital fetal1.
El himen imperforado produce el 50% de las obstrucciones vaginales congénitas y se presenta en 0,1% de las recién nacidas5,8. El tabique vaginal tiene una incidencia de 1 porcada 30.000 a 84.000 mujeres8: 45% en el tercio superior, 40% en el tercio medio y 15% en la porción inferior de la vagina4; cuando se sospecha, la vaginoscopia es de gran ayuda para su diagnóstico y para determinar el nivel de la obstrucción8. En el examen físico, nuestra paciente presentaba genitales externos de apariencia normal y sólo con la vaginoscopia se pudo demostrar la atresia vaginal que producía acumulación de secreciones en la cavidad endometrial y en el canal cervical, bajo influencia de las hormonas maternas.
La mayoría de los casos de hidrometrocolpos son esporádicos, aunque también se han asociado a otras anomalías congénitas, como polidactilia, ano imperforado, anomalías vasculares y clítoris bífido. No obstante, la mayoría de las anomalías se presentan en las vías urinarias: duplicación ureteral, membrana uretral y riñones multiquísticos o hipoplásicos1,8. En este caso se encontró una asociación cardiovascular, sobre la cual no se encontró reporte en la literatura científica consultada.
El diagnóstico prenatal es difícil y usualmente se retrasa, por la presentación tardía en el embarazo y el gran número de diagnósticos diferenciales de masa quística pélvica fetal3; entre estos, se incluyen atresia intestinal, microcolonmegaquístico, duplicación intestinal, quistes ováricos, uropatía obstructiva7 y teratoma sacrococcígeo5. Los recién nacidos con anomalías obstructivas congénitas, se pueden presentar con hidrometrocolpos, hematocolpos o piometrocolpos9 y suelen someterse a numerosos estudios. El diagnóstico temprano y el tratamiento adecuado evitan laparotomías e histerectomías innecesarias.
La secuencia de eventos observados en el ultrasonido prenatal, incluyen ascitis fetal transitoria, aparición y crecimiento progresivo de una estructura bilobulada quística en la pelvis fetal que puede contener detritos, mala visualización de la vejiga fetal, hidronefrosis bilateral, reducción en el volumen de líquido amniótico, retraso del crecimiento intrauterino y anomalías vertebrales7.
En el ultrasonido neonatal se demuestra una masa quística en la línea media, con ecos internos por el material mucoide y los detritos celulares5; se puede extender hacia el introito, y acompañarse de edema labial y membrana interlabial en los genitales1. Además, se puede observar hidronefrosis o hidrouréter y otras anomalías renales asociadas8.
La resonancia magnética se ha considerado una herramienta complementaria3 y puede requerirse cuando el diagnóstico no esclaro o para evaluar la existencia de otras posibles anomalías1.
En este caso, con el ultrasonido prenatal se detectó una masa de origen desconocido, asociada a ureterohidronefrosis secundaria y ascitis. Después del parto, se consideró la posibilidad de megavejiga y quiste del uraco, los cuales se descartaron mediante la cistouretrografíamiccional. Esta confirmó la localización posterior de la masa y su falta de relación con el sistema urinario, apareciendo la sospecha diagnóstica de hidrometrocolpos. Finalmente, el diagnóstico definitivo se estableció mediante la resonancia magnética y se confirmó con los hallazgos operatorios.
El tratamiento del hidrometrocolpos implica, como primer paso, el drenaje del líquido acumulado, con lo cual suele mejorar la hidronefrosis en la mayoría de los casos6, y posteriormente, se establece la comunicación entre el epitelio vaginal y el de la vulva3. Al drenar el líquido, debe dejarse un catéter transperineal por dos a cuatro semanas para evitar que nuevamente se acumule líquido. El momento adecuado para el tratamiento definitivo no se ha establecido pero es de gran importancia el diagnóstico de la malformación que afecta la anatomía genital antes de la intervención quirúrgica debiado a que puede ser extremadamente dificil reintervenir sobre el tejido cicatricial10, pero debe tenerse en cuenta que el retraso en el tratamiento se ha asociado con aparición de endometriosis1, especialmente cuando hay obstrucción vaginal completa, a lo cual se suma el deterioro de la capacidad reproductiva4. Otros autores describen que la cirugía en neonatos o niños puede asociarse con un mayor número de complicaciones, por lo que aconsejan aplazar el procedimiento1.
En el presente caso, se prefirió optar por la cirugía temprana debido a los efectos secundarios sobre las vías genitourinarias. No drenar el hidrometrocolpos, además de asociarse a daño renal por un efecto mecánico sobre el trígono (con megauréter e hidronefrosis secundarios), también se asocia a piocolpos (infección de las paredes de la vagina) y perforación con peritonitis grave. Estas dos últimas complicaciones se asocian con grave daño de la vagina, lo que puede limitar su reconstrucción en el futuro6. Por estas razones, es importante tener una alta sospecha, y brindar el diagnóstico y el tratamiento oportunos6.
ConclusiónEl hidrometrocolpos es una condición frecuentemente detectada en la vida neonatal. Sin embargo, debe considerarse dentro de las posibilidades diagnósticas de una masa de aspecto quístico localizada en la pelvis del feto y la recién nacida.






