Las infecciones oportunistas y las neoplasias continúan siendo una importante causa de morbimortalidad en los pacientes con enfermedad VIH/sida, especialmente en los que no reciben tratamiento antirretroviral de gran actividad (TARGA), los que desconocen su condición serológica frente al VIH-1 y, finalmente, en los sujetos que no mantienen una adecuada adherencia al tratamiento antirretroviral. La aspergilosis es una infección oportunista infrecuente pero generalmente fatal en esta población de pacientes. La enfermedad VIH/sida es la tercera condición predisponente para el desarrollo de aspergilosis invasora, luego del trasplante de médula ósea y la enfermedad hepática. En estos pacientes la aspergilosis invasora se comprueba en aquellos con valores de linfocitosT CD4+ de menos de 50células/μl. La neutropenia y el uso de glucocorticoides en altas dosis son dos factores predisponentes en estos pacientes. Las formas diseminadas son infrecuentes y se caracterizan por el compromiso de sitios extratorácicos, como sistema nervioso central (SNC), articulaciones, huesos, piel y el globo ocular. La localización pulmonar es la más frecuente, seguida de los senos paranasales, la órbita y el SNC. La localización cerebral se comprueba en el 10 al 40% de las formas diseminadas, por lo general a partir de la diseminación hemática desde el pulmón. Puede presentarse como lesiones de masa cerebral ocupante (abscesos) —la más frecuente—, aracnoiditis diseminada, infartos cerebrales o de la médula espinal y abscesos epidurales.
Caso clínicoSe describe una paciente VIH positiva que desarrolló una lesión de masa cerebral ocupante con las características de un absceso en el lóbulo frontal izquierdo. De acuerdo con las recomendaciones vigentes para este tipo de pacientes, se inició tratamiento empírico para toxoplasmosis, sin respuesta. La paciente deterioró su estado clínico y neurológico, por lo que se realizó una biopsia estereotáxica con fines diagnósticos. Los estudios microbiológicos e histopatológicos del material obtenido permitieron arribar al diagnóstico de aspergiloma cerebral.
ConclusionesAunque infrecuente, la aspergilosis del SNC es una complicación grave en el contexto de la enfermedad VIH/sida y se caracteriza por su presentación clínica inespecífica que retrasa el diagnóstico y se asocia con una elevada morbimortalidad. Aquí se describe el caso de una paciente con enfermedad VIH/sida avanzada que recibió corticoides en forma prolongada y desarrolló un aspergiloma cerebral que evolucionó de manera desfavorable a pesar del tratamiento instituido.
Opportunistic infections and neoplasms are important and frequent causes of morbidity and mortality in patients with AIDS, especially in those who not receive highly active antiretroviral therapy (HAART) or those who do not know their serological status to the retrovirus and finally, those who have a poor adherence to antiretroviral therapy. Aspergillosis is an infrequent but commonly fatal opportunistic infections among HIV-infected individuals. HIV/AIDS disease is the third predisposing condition of invasive aspergillosis, after bone marrow transplantation and liver disease. Invasive aspergillosis usually occurs among AIDS patients with less than 50 CD4 Tcells/μL. Major predisposing conditions include neutropenia and prolonged treatment with high doses of steroids. Disseminated forms are infrequent and are characterized by the spread of the infection to extrathoracic organs such as central nervous system (CNS), joints, bones, skin and the ocular globe. Pulmonary location is the most frequent, followed by sinusitis, and CNS involvement. Brain involvement is confirmed in 10% to 40% of the invading forms, and is generally the result of hematic dissemination from another organ, usually the lung. CNS involvement includes occupying brain mass lesions (abscesses), as the most frequent clinical presentation, disseminated arachnoiditis, cerebral or spinal cord infarction, and spinal epidural abscesses.
Clinical caseHere we describe a 24 year-old female patient with AIDS who developed a space occupying mass of the left frontal lobe. According with the habitual practice in a patient with HIV infection, focal neurological signs, the presence of lesions compatible with cerebral abscesses in the neuroimaging and deterioration of cellular immunity, an empirical anti-toxoplasma treatment was started. Patient deteriorates his clinical condition and requires stereotactic biopsy of the frontal lobe lesion. The combination of histopathological examination of the material obtained from the lesions and the microbiological studies confirmed the diagnosis of cerebral aspergilloma.
ConclusionsAlthough uncommon, central nervous system aspergillosis in the setting of AIDS is important because the unspecific clinical presentation and the high morbimortality. This report describes an AIDS patient with a history of severe cellular immunosuppression associated with HIV and previous and prolonged treatment with steroids who developed a cerebral aspergilloma, which was fatal despite antifungal treatment.
La aspergilosis es una complicación frecuente en pacientes oncohematológicos, fundamentalmente en aquellos con leucemia y en los receptores de trasplante de médula ósea o de órganos sólidos. Sin embargo, esta infección fúngica grave también se debe considerar en otras situaciones vinculadas a inmunosupresión, como la enfermedad debida al virus de la inmunodeficiencia humana (VIH) y su consecuencia, el síndrome de inmunodeficiencia adquirida (sida)1. Hasta hace pocos años, el 75% de las micosis invasoras se diagnosticaban en estudios de autopsias2. En los últimos años se han producido importantes avances en el enfoque diagnóstico y terapéutico de la aspergilosis. En este sentido, las diferentes técnicas de diagnóstico por imágenes, las técnicas de diagnóstico microbiológico y la detección de antígeno galactomanano de Aspergillus spp. resultan de gran utilidad, sumadas al aporte que brinda la histopatología. El desarrollo de nuevas moléculas de antifúngicos completa la lista de progresos registrados en los últimos años en relación con la aspergilosis3.
Caso clínicoMujer de 24 años con diagnóstico de infección por VIH adquirida por transmisión vertical, con mala adherencia al tratamiento antirretroviral de gran actividad (TARGA) implementado en el año 2011. Como antecedentes había presentado toxoplasmosis del sistema nervioso central (SNC) y meningoencefalitis por Cryptococcus neoformans en septiembre de 2016 con mejoría clínica y radiológica luego del tratamiento instaurado en base a pirimetamina/sulfadiazina y terapia antifúngica con la combinación de anfotericinaB desoxicolato más fluconazol en el período de inducción del tratamiento. En ese momento se reinició el TARGA, con un recuento de linfocitosT CD4+ (LTCD4+) de 15células/μl (2%).
La paciente nuevamente abandonó el TARGA y la profilaxis secundaria para toxoplasmosis y criptococosis, lo que motivó una nueva internación en diciembre de 2016 por deterioro del sensorio y lesiones de masa cerebral ocupante con características de abscesos múltiples supratentoriales. Se realizó punción lumbar, obteniéndose un líquido cefalorraquídeo (LCR) claro con prueba de reacción en cadena de polimerasa (PCR) para virus JC, citomegalovirus (CMV), virus de Epstein Barr (EBV) negativas. La antigenemia para Cryptococcus fue positiva con un título de 1/100 y la antigenorraquia fue positiva solo con LCR puro. Por sus antecedentes se volvió a indicar tratamiento contra toxoplasmosis y criptococosis. Luego de 5semanas de tratamiento de inducción se reinició el TARGA en base a emtricitabina, tenofovir, atazanavir y ritonavir, el cual recibió de manera ininterrumpida y con buena adherencia desde enero de 2017.
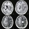
En febrero de 2017 presentó movimientos involuntarios de miembro superior e inferior derechos, de tipo coreico, que motivaron la consulta al servicio de neurología y la indicación de risperidona. En ese momento la resonancia magnética (RM) de cerebro mostró la persistencia de lesiones bifrontales y temporal izquierda sin realce luego de la administración del contraste intravenoso y lesiones hipointensas en T2 y Flair lenticulocapsulares bilaterales.
En junio de 2017 presentó episodio de pérdida del conocimiento. Se realizó tomografía computada (TC) de cerebro sin contraste que mostró lesión hipodensa en la región de los ganglios basales del lado izquierdo y en la región frontal derecha con colapso ventricular. Presentó deterioro del sensorio, disartria, nistagmo horizontal, trastornos en la deglución y hemiparesia faciobraquiocrural derecha. Se practicó punción lumbar con un examen fisicoquímico y citológico de LCR en valores normales. Se efectuó PCR para virus JC, CMV, EBV y virus Herpes tipo 6 (HHV-6) con resultados negativos. La preparación con tinta china fue negativa y los cultivos para hongos y micobacterias resultaron igualmente negativos. Se volvió a reiniciar tratamiento empírico para encefalitis por Toxoplasma gondii y para meningoencefalitis por Cryptococcus neoformans con fluconazol a la dosis de 800mg/día, más corticosteroides intravenosos en altas dosis como antiedematosos. La carga viral para VIH fue de 7.261 copias/ml con log103,86, y el recuento de LTCD4+ fue de 62células/μl (6%). La paciente mejoró clínicamente, persistiendo los movimientos coreicos del hemicuerpo derecho, los trastornos deglutorios y una discreta paresia braquiocrural derecha asociados a bradilalia.
En julio de 2017, luego de 50días de tratamiento para toxoplasmosis del SNC, se realizó una nueva RM de cerebro con gadolinio que evidenció la aparición de una imagen nueva, de aspecto nodular, localizada en la convexidad frontal izquierda, isointensa en T1 y Flair, de señal heterogénea en T2, con realce en anillo tras la administración del contraste intravenoso y con presencia de edema vasogénico perilesional que provocaba efecto de masa y desplazamiento de las estructuras de la línea media (figs. 1 y 2). El foco motor progresó a hemiplejía braquiocrural derecha con empeoramiento del trastorno deglutorio y sensorio alternante. La TC de tórax no mostró lesiones. Se decidió realizar una biopsia cerebral estereotáxica (fig. 3), con obtención de material purulento, amarronado, del aspirado de la lesión (fig. 4). La tinción de Ziehl-Neelsen del material cerebral fue negativa, al igual que el examen de Gene Xpert® (MTB/RIF GeneXpert®) para detección de micobacterias. La tinción de Gram, la serología para Chagas y la parasitemia también resultaron negativas. En el examen micológico en fresco del material cerebral obtenido se observaron hifas hialinas tabicadas de un Eumicete (fig. 5), y con la tinción de Grocott, hifas ramificadas en ángulo agudo (fig. 6). En el cultivo en medio de Sabouraud-miel y agar infusión cerebro corazón a 28 y 37°C desarrolló Aspergillus sección fumigati.
Se inició tratamiento con anfotericinaB desoxicolato a dosis habituales. La paciente presentó deterioro del sensorio y evolucionó de manera desfavorable sin respuesta al tratamiento antifúngico y óbito.
ComentariosLa aspergilosis es una infección oportunista cosmopolita que se adquiere generalmente por vía inhalatoria. Por esta razón, los focos primarios son el pulmón y los senos paranasales. Los conidios germinan e invaden los tejidos cuando no son fagocitadas por los macrófagos alveolares o por los polimorfonucleares. La neutropenia grave (<500neutrófilos/mm3) y prolongada (>10días), una función fagocitaria deficiente y las alteraciones de la inmunidad celular, como la que se observa en pacientes con enfermedad VIH/sida avanzada, son los principales factores predisponentes para el desarrollo de formas invasoras y diseminadas de la enfermedad4. El uso crónico de corticoides y otros fármacos inmunosupresores aparecen como otros factores de riesgo para aspergilosis5. Aspergillus fumigatus es la especie aislada con mayor frecuencia, como en la paciente que se describe, pero también se aíslan otras especies, como A.niger, A.flavus y A.terreus6. Las formas diseminadas son infrecuentes y se caracterizan por la extensión de la infección a órganos extratorácicos como el SNC, las articulaciones, los huesos, la piel y el globo ocular6. La localización pulmonar es la más frecuente, seguida por la sinusitis y el compromiso del SNC7. El compromiso cerebral se comprueba en el 10 al 40% de las formas invasoras y es generalmente el resultado de la diseminación hemática desde otro órgano, generalmente el pulmón8. El compromiso del SNC incluye las lesiones de masa cerebral ocupante (abscesos), como en el caso que se presenta, aracnoiditis difusa, infartos cerebrales o medulares y abscesos epidurales espinales7.
Desde el punto de vista fisiopatogénico, Aspegillus invade el SNC por vía hemática; las hifas producen oclusión vascular con infartos o pueden invadir y atravesar las paredes de los capilares produciendo infartos sépticos con cerebritis y abscesos. La localización más común son las áreas irrigadas por la arteria cerebral media y anterior9. De las tres especies de hongos que con mayor frecuencia comprometen el SNC —Cryptococcus, Aspergillus y Candida—, Aspergillus es el que más se asocia con la formación de abscesos10.
El cuadro clínico de los aspergilomas cerebrales es inespecífico y no difiere de otros abscesos del SNC. Debe tenerse en cuenta que del 25 al 30% de los casos son asintomáticos y resultan hallazgos de las neuroimágenes, que siempre deben realizarse en pacientes con diagnóstico de aspergilosis invasora11. En los pacientes sintomáticos predominan la cefalea, los déficits neurológicos focales, los trastornos visuales, cambios en el estado de conciencia y convulsiones con rápida progresión de la sintomatología11. Los métodos de diagnóstico por imágenes (TC y RM) muestran lesiones focales, con refuerzo del contraste en anillo, edema perilesional y efecto de masa sobre las estructuras de la línea media, como se pudo observar en la paciente que se describe. El diagnóstico diferencial en pacientes con sida incluye la criptococosis (criptococomas), la tuberculosis (tuberculomas y abscesos), la toxoplasmosis, la nocardiosis y los chagomas10,12,13. Los criptococomas son más frecuentes en pacientes VIH negativos que en enfermos con sida. Estas lesiones focales o abscesos predominan a nivel de las regiones córtico-subcorticales de los lóbulos frontales y temporales14.
El diagnóstico de la aspergilosis cerebral se confirma mediante la combinación del examen histopatológico del material obtenido de las lesiones y los estudios microbiológicos. La histología permite observar hifas hialinas tabicadas y ramificadas en ángulo agudo15. Los hallazgos histopatológicos deben confirmarse con los estudios microbiológicos que incluyen la observación de las hifas del hongo en el examen directo en fresco y/o con coloraciones, y el desarrollo de Aspergillus en el cultivo, como observamos en la paciente descripta. El análisis del LCR por lo general es negativo, pero sirve para el diagnóstico diferencial con otras patologías que pueden comprometer el SNC en pacientes gravemente inmunocomprometidos16. La detección de galactomananos de Aspergillus spp. en suero y otros fluidos se ha propuesto como una metodología superadora y/o complementaria para el diagnóstico de aspergilosis invasoras en pacientes neutropénicos.
Esta micosis es una complicación infrecuente de la infección por VIH. Suele asociarse con recuentos de linfocitosT CD4+ de <50células/μl y otros factores de riesgo frecuentes en estos pacientes, como la neutropenia o el uso de corticoides17,18. La neumonía por Pneumocystis jiroveci es también un factor de riesgo para el desarrollo de aspergiloma pulmonar. En el 10% de las personas que padecieron neumonía de esa etiología se documentó la presencia de quistes, que posteriormente pueden ser colonizados por el hongo. En ocasiones la aspergilosis cerebral puede ser la primera manifestación de la infección por VIH, y en estos casos tiene una mortalidad cercana al 100%19,20. Esto guarda relación fundamentalmente con el retraso en el diagnóstico por la implementación del tratamiento empírico previo para toxoplasmosis y el uso de corticoides.
En una revisión que incluyó 40 casos publicados en idioma inglés de pacientes VIH positivos con aspergilosis cerebral, el 30% (12/40) no tenían compromiso de otro órgano fuera del SNC, el 35% (14/40) presentaban compromiso pulmonar simultáneo y el 15% (6/40) presentaban compromiso de la órbita, como parte de la forma clínica de presentación rino-sinuso-órbito-cerebral. El 22% (9/40) de los pacientes de esta casuística tenían neutropenia y el 32% (13/40) habían recibido glucocorticoides antes del inicio de los síntomas, confirmando que ambas condiciones son los dos factores de riesgo más importantes para el desarrollo de esta micosis en pacientes con sida. En 30 de los 40pacientes de la casuística se pudo realizar la tipificación del hongo, que correspondió a Aspergillus sección fumigati en 27 de los aislamientos, como en el caso que se describe. La mortalidad en la serie de 40casos publicados fue elevada. Solo 4 pacientes lograron una supervivencia mayor a 8meses21.
En la paciente que se presenta, además, la monoterapia con fluconazol para la criptococosis implementada durante la última internación resultó inefectiva, ya que este azólico carece de actividad frente a Aspergillus.
El tratamiento de elección de la aspergilosis invasora con compromiso del SNC es el voriconazol a la dosis de 8mg/kg/día. Como alternativa puede utilizarse la AMB liposomal a dosis de 5 a 10mg/kg/día. La caspofungina, una equinocandina, ha demostrado utilidad en algunos casos aislados, pero no alcanza niveles adecuados en el SNC22,23. Con respecto al posaconazol, la experiencia es limitada, pero teniendo en cuenta su buen pasaje a través de la barrera hematoencefálica, podría considerarse como una alternativa por vía oral al voriconazol18. En los pacientes con infección por VIH el tratamiento antifúngico prolongado con voriconazol junto al TARGA ha permitido una supervivencia prolongada18,20. La duración del tratamiento antifúngico para estos casos no está bien definida. Sin embargo, en coincidencia con otros autores, consideramos que si la enfermedad fúngica entra en remisión y se alcanza la reconstitución inmunológica con el TARGA, se puede plantear la interrupción del tratamiento antifúngico, de forma similar a como se actúa en otras infecciones oportunistas en los pacientes con un adecuado control clínico, inmunológico y virológico de la enfermedad VIH/sida24.
Responsabilidades éticasProtección de personas y animales. Los autores declaran que para esta investigación no se han realizado experimentos en seres humanos ni en animales.
Confidencialidad de los datos. Los autores declaran que han seguido los protocolos de su centro de trabajo sobre la publicación de datos de pacientes.
Derecho a la privacidad y consentimiento informado. Los autores declaran que en este artículo no aparecen datos de pacientes.
Conflicto de interesesLos autores declaran no tener ningún conflicto de intereses.









