Resulta común a casi todas estas lesiones la necesidad de poseer un alto grado de sospecha para poderlas diagnosticar. Es decir, que nunca llegaremos al diagnóstico correcto si inicialmente no hemos pensado en que puede existir la lesión; dicho de otra manera, la exploración radiológica indiscriminada no aportará el diagnóstico, sea porque no se pidieron las proyecciones adecuadas o porque estando la lesión recogida en la radiografía «no se supo ver». En definitiva, vuelve a ser cierto el viejo axioma médico de que lo principal es la anamnesis y la exploración física; la radiografía debe servir para confirmar la sospecha clínica.
Por otra parte, la confirmación del diagnóstico mediante el estudio radiológico precisa en algunos casos de proyecciones específicas que deberán solicitarse siempre que se sospeche una de estas lesiones.
Por eso desarrollaremos cada una de las lesiones en tres apartados: el mecanismo de producción, la clínica y la exploración radiológica.
Luxación acromioclavicular
Mecanismo de producción
Se produce por un traumatismo directo sobre la zona superior y externa del hombro con el brazo en aducción. La forma más habitual es la caída sobre el hombro, típica de los accidentes de bicicleta o de moto (fig. 1).
Fig. 1. Mecanismo de producción de una luxación acromioclavicular.
Clínica
La inspección comparativa de ambos hombros puede mostrar asimetría por prominencia subcutánea del extremo luxado de la clavícula (no será visible en personas obesas o muy musculadas). Presenta dolor a la palpación acromioclavicular, signo de la tecla de Delbet positiva e impotencia funcional acusada del hombro con aducción y rotación interna (actitud de Dessault) (fig. 2).
Fig. 2. Actitud de Dessault.
Radiología
Se realizarán las siguiente pruebas:
1) Proyección anteroposterior (A-P) acromioclavicular (fig. 3) (se realiza con 15 grados de inclinación cefálica del rayo central y tiene un tercio de intensidad de una radiografía A-P de hombro). Debe solicitarse de esta manera y no como proyección AP de hombro porque
en ésta la articulación acromioclavicular suele aparecer oscura y no es posible verla con detalle.
Fig. 3. Proyección anteroposterior (A-P) acromioclavicular con luxación derecha.
2) Proyección A-P de esfuerzo: la misma proyección anterior obtenida con un peso de 7 kg en cada brazo colgando con un lazo en las muñecas (no en las manos porque la contracción de los músculos elevadores enmascara el cuadro) (fig. 4).
Fig. 4. Proyección anteroposterior (A-P) acromioclavicular de esfuerzo.
Luxación posterior de hombro
Mecanismo de producción
En la anamnesis se podrá encontrar alguno de los siguientes traumatismos:
1) Contracción muscular muy violenta: la literatura suele señalar como causas típicas de luxación posterior de hombro las crisis convulsivas y la electrocución. En nuestra casuística hemos hallado casos de ambas etiolo gías. Para nosotros todo paciente que haya sufrido una crisis comicial, comprobada o sospechada, o una electrocución y asocie dolor de hombro presenta una luxación escapulohumeral posterior mientras no se demuestre lo contrario. La literatura recoge también como posible causa las contracciones musculares potentes durante actividades deportivas, generalmente en sujetos bien musculados.
2) Caída sobre la mano o el codo con el brazo en flexión ventral, aducción y rotación interna (fig. 5A).
Figs. 5 A y B. Mecanismo de producción de una luxación posterior de hombro.
3) Impacto directo en la cara anterior del hombro que suele ser muy violento (fig. 5B).
Clínica
El paciente presenta dolor intenso de hombro con impotencia funcional absoluta y actitud de Dessault. A diferencia de lo que ocurre con la luxación anterior del hombro, falta la típica deformidad en charretera y el extremo proximal del húmero se puede palpar en su localización habitual. Todo ello puede llevar al error de descartar la posibilidad de una luxación de hombro durante la exploración. Sin embargo, la propia exploración física aporta un signo muy característico de la luxación posterior (y que no se presenta ni en luxación anterior ni en las fracturas subcapitales del húmero): al intentar la abducción pasiva del hombro (separando cuidadosamente el codo del tronco del paciente) o, sobre todo, la rotación externa pasiva (separando la mano del tronco del paciente) se nota una resistencia neta que impide tales movimientos.
Radiología
La radiografía A-P de hombro es la principal causa de que esta luxación quede sin diagnosticar en la fase aguda, circunstancia que se produce, según series, entre el 60% y el 79% de los casos. En efecto, la radiografía A-P puede ser muy similar a la de un hombro normal, y si no se ha sospechado la luxación por la clínica no se podrán buscar los signos radiológicos que permiten confirmar el diagnóstico:
1) La cabeza humeral y la cavidad glenoidea no se superponen (signo de la hendidura).
2) La elipse regular y redondeada de solapamiento entre la cabeza humeral y la cavidad glenoidea es más pequeña, irregular o está desplazada (signo de la cavidad glenoidea vacía) (fig. 6).
Fig. 6. Signo de la cavidad glenoidea vacía.
3) Desaparición del perfil del cuello humeral al estar el húmero en rotación interna completa.
Otra fuente común de errores diagnósticos es no practicar dos proyecciones de la articulación lesionada ante las dificultades de colocar adecuadamente a un paciente con dolor intenso. Toda exploración radiológica articular ha de incluir, como mínimo, dos proyecciones; en
la lesión que nos ocupa puede ser complejo obtener la proyección axial de hombro, que es la más demostrativa por el bloqueo de la abducción; puede entonces recurrirse a proyecciones especiales ideadas para resolver estos problemas, como la proyección lateral de escápula (fig. 7) o la proyección axial de Velpeau (fig. 8), que demuestra con claridad el desplazamiento posterior de la cabeza humeral sin necesidad de abducir el brazo del paciente.
Fig. 7. Proyección lateral de escápula.
Fig. 8. Proyección axial de Velpeau.
Fractura-luxación de Monteggia y fractura-luxación de Galeazzi
En ambas lesiones se produce la fractura de uno de los huesos del antebrazo, el cúbito en la fractura-luxación de Monteggia y el radio en la de Galeazzi. Estas fracturas se detectan con facilidad tanto en la clínica como en la radiología. Sin embargo, ambas lesiones asocian una luxación articular: la cabeza del radio en la Monteggia y el extremo distal del cúbito en la de Galeazzi; son es tas luxaciones asociadas las que quedan a veces sin diagnosticar.
Hay un principio básico en la exploración radiológica de las fracturas que establece que el estudio radiográfico de una fractura deberá incluir siempre la articulación proximal y la distal al hueso fracturado. El incumplimiento de este principio lleva a errores diagnósticos importantes.
Como ya dijimos al principio, la sospecha diagnóstica es fundamental porque, aunque dispongamos de una radiografía que demuestre la luxación asociada, si no se busca específicamente puede quedar sin diagnosticar.
Como norma de actuación deberemos considerar sospechosa toda fractura de antebrazo que afecte a uno sólo de los huesos, especialmente si la fractura tiene un desplazamiento importante; en tales casos la radiografía del codo y de la muñeca han de estudiarse con atención.
Fractura de escafoides carpiano
Mecanismo de producción
Casi siempre se produce por caída sobre la mano en hiperextensión y en ligera abducción (fig. 9). Con fre cuencia el paciente refiere caída con apoyo sobre la palma de la mano, sin poder precisar más detalles. Es una fractura más frecuente en adultos jóvenes.
Fig. 9. Mecanismo de producción de una fractura de escafoides.
Clínica
El paciente aqueja dolor de muñeca. Es frecuente que la impotencia funcional sea escasa y afecte sólo a los últimos grados de los movimientos de muñeca. Por tanto, la clínica puede orientar poco a la sospecha de una fractura. En esta fractura la exploración tiene gran valor, siendo el hallazgo más frecuente y típico el dolor a la presión en tabaquera anatómica; además, a veces existe una tumefacción evidente en la misma (fig. 10A). Otro signo menos constante sugerente de fractura de escafoides carpiano es el dolor a la percusión axial del primer y segundo metacarpianos (fig. 10B).
Fig. 10 A y B. Exploración física en la fractura de escafoides.
Radiología
El diagnóstico radiológico de esta fractura es engañoso porque en ocasiones las radiografías iniciales no demuestran ninguna lesión (ocurre en fracturas no desplazadas). Al producirse reabsorción ósea en el foco de fractura por el proceso inflamatorio y reparador, las radiografías obtenidas 10-15 días después demuestran la fractura (fig. 11).
Fig. 11. Fractura de escafoides.
Por otra parte, lo más frecuente es que se trate de fracturas sin desplazamiento, que resultarán difíciles de ver en este pequeño hueso del carpo. Por este motivo, el estudio radiológico debe efectuarse con las denominadas «proyecciones de escafoides carpiano», que incluyen una proyección dorsopalmar, una lateral y dos oblicuas de la muñeca.
La pauta de actuación que proponemos es que ante un traumatismo de muñeca con dolor localizado en la tabaquera anatómica y radiología normal deberemos tratarlo como si fuese una fractura de escafoides, es decir, con inmovilización en un yeso antebraquiopalmar que incluya el pulgar hasta la articulación interfalángica. Y deberá remitirse al traumatólogo para nuevo estudio radiológico (sin yeso) pasadas al menos dos semanas.
En cualquier caso que exista sospecha clínica de fractura y las radiografías sean negativas es aconsejable colocar un yeso incluyendo el pulgar y realizar una nueva exploración clínica y radiológica a las cuatro semanas.
Inestabilidad escafolunar
Las inestabilidades del carpo son lesiones complejas y mal conocidas, incluso para el especialista. Probablemente son bastante más frecuentes de lo que pensamos porque buen número de ellas se diagnostican como esguince de muñeca.
Mecanismo de producción
Se produce por la caída sobre la mano en hiperextensión, similar al de la fractura de escafoides carpiano.
Clínica
Cursa con dolor de muñeca e impotencia funcional parcial para los movimientos. La exploración localiza el dolor en la articulación escafolunar, en el dorso de la muñeca algo más interna que la tabaquera anatómica.
Radiología
El estudio radiológico completo de este problema requiere seis proyecciones de la muñeca, pero esto corresponde al especialista. Para poder establecer la sospecha diagnóstica en la atención urgente de estos traumatismos basta con dos proyecciones:
1) Una dorsopalmar de muñeca en desviación cubital con el puño cerrado: es importante que se respeten ambas condiciones, lateralización cubital y puño cerrado, al hacer la radiografía porque en la proyección dorsopalmar estándar no suele detectarse la inestabilidad, sobre todo en la fase aguda.
2) Otra proyección lateral de muñeca en posición neutra.
Lo que permite establecer el diagnóstico es la existencia de una separación anómala entre el polo proximal del escafoides y el semilunar en la radiografía dorsopalmar. Se considera que toda separación mayor de 6 mm es diagnóstica.
Fractura del cotilo o acetábulo sin desplazamiento
El error diagnóstico en esta fractura se produce por dos motivos: la fractura no se ve en las proyecciones habituales de pelvis o cadera y porque no se suele pensar en esta posibilidad diagnóstica. Se incluye, pues, en el grupo de las fracturas que nunca llegaremos a diagnosticar si no la sospechamos previamente.
Mecanismo de producción
El hecho principal respecto al mecanismo de producción es que se trata casi siempre de traumatismos violentos (accidentes de tráfico, precipitaciones, etc.). La fuerza traumática puede actuar directamente sobre la región de la cadera (trocánter) o hacerlo a distancia, por ejemplo, en el típico golpe de la rodilla contra el salpicadero estando la cadera en flexión y abducción.
Estas lesiones que acaecen en traumatismos de gran violencia tienen un elevado riesgo de pasar inadvertidas; el paciente politraumatizado puede presentar múltiples lesiones esqueléticas y viscerales, y la atención urgente se centra, lógicamente, en aquellas de mayor gravedad vital y funcional. De ahí deriva la recomendación de hacer una segunda valoración del paciente politraumatizado una vez que se han diagnosticado y estabilizado las lesiones de gravedad vital.
Clínica
Hay un gran dolor e impotencia funcional para la movilización activa de la cadera. La movilidad pasiva es muy dolorosa. Puede haber contusión y equimosis sobre el trocánter mayor, pero éste es un hallazgo inconstante.
Radiología
La exploración radiológica habitual de la cadera incluye las proyecciones A-P (es preferible efectuar la radiografía A-P de pelvis en lugar de cadera) y axial. En muchos casos estas proyecciones no demuestran la presencia de las fracturas no desplazadas del cotilo. Para verlas es necesario recurrir a dos proyecciones especiales que permiten ver con detalle las dos columnas óseas (anterior y posterior) que forman el cotilo.
1) Proyección de cadera oblicua interna a 45 grados también llamada alar (elevando 45 grados la cadera contraria).
2) Proyección de cadera oblicua externa a 45 grados también llamada obturatriz (elevando 45 grados la cadera lesionada).
Deberá sospecharse una fractura de cotilo en un paciente que ha sufrido un traumatismo importante, con dolor intenso e impotencia funcional de cadera, y las proyecciones radiológicas habituales no muestran lesiones óseas (fig. 12).
Fig. 12. Fractura del cotilo.
Fractura impactada, no desplazada, del cuello femoral
La dificultad de diagnosticar este tipo de fractura se parece, de alguna manera, a la fractura de cotilo antes comentada. Ante un paciente que ha sufrido un traumatismo y presenta dolor de cadera e impotencia funcional esperamos encontrar en la radiografía una fractura del extremo proximal del fémur, pero a veces no es así.
Mecanismo de producción
En general son traumatismos banales con caída y golpe directo sobre trocánter mayor o incluso una simple ro tación externa forzada de la extremidad inferior. En definitiva, es una clásica fractura de cadera del anciano que no se ha desplazado.
Clínica
Suelen ser personas de edad avanzada que aquejan dolor de cadera, con impotencia funcional leve, capaces de movilizar espontáneamente la extremidad. La extremidad no muestra los típicos signos de la fractura de cadera, acortamiento y rotación externa. Todo ello hace que la sospecha diagnóstica se oriente a que el paciente no sufre una fractura de cadera.
Radiología
Las proyecciones habituales, A-P de pelvis y axial de la cadera afecta, suelen ser suficientes para establecer el diagnóstico, a condición de que se busque la fractura. Si no se hace así será muy fácil que la fractura pase inadvertida porque se trata de una imagen radiológica de detalle. A veces estas proyecciones no permiten afirmar la presencia o ausencia de una fractura impactada de cuello femoral, pudiéndose recurrir a una anteroposterior en rotación interna de cadera que nos muestran el cuello femoral en toda su longitud.
Nos parece buena norma de actuación considerar que todo paciente de edad avanzada que ha sufrido una caída (el traumatismo más frecuente a estas edades) y presenta dolor de cadera tiene en principio una fractura. La práctica diaria nos muestra que cuando la exploración es poco sugerente de fractura de cadera solemos hallar fracturas de las ramas pelvianas. Si la radiografía no muestra ninguna lesión ósea aparente deberemos pensar en la posibilidad de una fractura impactada del cuello femoral.
Fractura del cuello del astrágalo
Mecanismo de producción
Se produce en traumatismos muy violentos por flexión dorsal forzada del pie. Como en el caso de las fracturas de cotilo no desplazadas, el hecho importante es que se trata de una lesión propia de traumatismos de alta energía.
Clínica
El paciente suele quejarse de dolor en el tobillo y pie e impotencia funcional marcada. A la exploración suele encontrarse tumefacción acusada y progresiva; dolor localizado a la presión por delante del maleolo peroneo y en toda la cara anterior del tobillo; y en cualquier intento de movilización pasiva del pie en inversión o eversión es muy doloroso.
Radiología
Suelen ser suficientes para la confirmación del diagnóstico las proyecciones habituales de tobillo anteroposterior, y más útil la lateral, y las proyecciones del pie, dorsoplantar y oblicua. Como ocurre con la mayoría de las fracturas no desplazadas, un vistazo rápido a la radiografía se seguirá de un error diagnóstico; obsérvese la radiografía lateral de tobillo de la figura 13, que muestra claramente la fractura de cuello de astrágalo. Si esta radiografía la vemos pensando que el paciente sufre un esguince de tobillo, centraremos la atención en los maléolos y la fractura quedará sin diagnosticar. Nuevamente es esencial la sospecha clínica previa. La radiografía lateral de tobillo de la figura 14A muestra una imagen que fácilmente podría juzgarse como normal; en este caso la sospecha clínica aconsejaba obtener otra proyección radiológica oblicua (fig. 14B).
Fig. 13. Fractura del cuello del astrágalo.
Fig. 14 A y B. Fractura del astrágalo.
Fractura de odontoides
Mecanismo de producción
En general se produce en el curso de traumatismos importantes que producen flexión forzada del cuello: caída por las escaleras con golpe directo en el occipucio, atropello de ciclistas o peatones que resultan proyectados cayendo al suelo sobre la parte posterior de la cabeza.
Clínica
Es muy variable, unas veces cursa con molestias cervicales como en un esguince cervical simple, mientras que en otras cursa con una sensación de inestabilidad cervical muy llamativa (paciente aterrorizado que se sujeta la cabeza con una mano en el mentón y otra en occipucio). Es decir, la clínica es poco sensible para detectar la lesión.
Radiología
El estudio habitual de la columna cervical, constituido por las proyecciones anteroposterior y lateral, es útil para la aproximación diagnóstica, ya que en la lateral es posible ver, de forma más o menos clara según el grado de desplazamiento, la fractura de esta apófisis de C2. Tras sospechar la fractura es preceptivo obtener una proyección específica, la transbucal de odontoides (fig. 15).
Fig. 15. Fractura de odontoides.
Con todo, el diagnóstico radiológico de esta fractura es a veces difícil, siendo necesarias las tomografías anteroposteriores de odontoides.
Es una práctica generalizada efectuar un estudio radiológico del cráneo en todo paciente que ha sufrido un traumatismo craneal o cuando se desconoce si lo ha sufrido (grandes traumatismos, paciente inconsciente, ebrio, demenciado, etc.). Nosotros solicitamos sistemáticamente la radiología de columna cervical a todo paciente al que se practican radiografías de cráneo. Por una parte, por la posible asociación de lesiones cervicales en pacientes con traumatismos craneales que ocurre en el 5% de los traumatismos craneales; por otra, por la inespecificidad clínica con que cursan las fracturas cervicales sin compromiso neurológico asociado.
El panorama de los traumatismos cervicales es aún más complejo porque la fractura de odontoides es, a veces, una lesión asociada a otras fracturas o luxaciones cervicales que suelen afectar al atlas (C1) o al axis (C2). Estas fracturas asociadas, sobre todo las de C1, son difíciles de ver en la radiología simple, y está indicado practicar una tomografía axial computarizada (TAC) para su diagnóstico.
La conclusión es que ante una fractura de odontoides será necesario practicar un TAC, no sólo para determinar con precisión el desplazamiento de la odontoides, sino para el estudio de lesiones cervicales que no sean visibles en la radiología simple.
Fractura-luxación de séptima vértebra cervical
Las lesiones del raquis cervical acompañadas de lesión medular, con tetraparesia o tetraplejía completa, tienen una clínica totalmente explícita. También es muy significativa la presencia de dolor cervical con irradiación radicular a los miembros superiores, se acompañe o no de signos de déficit motor. Los problemas de diagnóstico se plantean en los frecuentes casos en que no hay afectación neurológica.
Mecanismo de producción
Se producen por hiperflexión violenta o compresión axial (zambullida golpeando con la cabeza en el fondo) de la columna cervical (fig. 16). También aquí es válido lo señalado en el apartado anterior: se debe sospechar lesión cervical, mientras no se demuestre lo contrario, en pacientes con traumatismo craneal, politraumatizados, pacientes inconscientes y en heridas graves de cuero cabelludo.
Fig. 16. Mecanismo de producción de una fractura-luxación de la séptima vértebra cervical.
Clínica
Las heridas, abrasiones o contusiones en cuero cabelludo o cara nos pueden orientar sobre el mecanismo de producción. El paciente suele aquejar dolor cervical de características inespecíficas. La palpación de áreas dolorosas en el cuello y la búsqueda de un posible escalón en la línea de las apófisis espinosas nos puede orientar hacia el nivel de la lesión.
Radiología
El riesgo de errar el diagnóstico en estas graves lesiones deriva principalmente de un estudio radiológico incorrecto. Las proyecciones necesarias son las habituales, A-P y lateral de columna cervical.
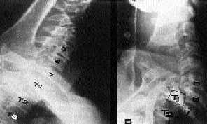
Ante un paciente con un traumatismo relevante (no digamos ya si se trata de un politraumatizado) y dolor cervical es imprescindible que la radiografía lateral de columna cervical muestre desde el occipucio hasta la primera vértebra dorsal. La dificultad para obtener una radiografía lateral en la que se vea la última vértebra cervical es la principal causa de omitir el diagnóstico de una lesión cervical. Cuando la imagen obtenida no cumpla estos requisitos deberá intentarse de nuevo, haciendo tracción longitudinal de cuello y tracción de las manos hacia abajo (incluso tras administrar diacepán por vía intravenosa). Si aun así no se consigue ver la charnela cervicodorsal, se puede intentar la «proyección del nadador» (fig. 17) con un brazo abducido 180 grados, el otro traccionado hacia abajo y pegado al cuerpo, y el tubo de rayos oblicuado 60 grados.
Fig. 17. Proyección del «nadador» en la fractura-luxación de la séptima vértebra cervical.
Conclusión
Hemos revisado un conjunto de lesiones traumáticas del esqueleto tratando de no profundizar en exceso en los aspectos diagnósticos y omitiendo intencionadamente los aspectos terapéuticos porque unos y otros son responsabilidad del especialista.
Sin embargo, el médico de Atención Primaria y quienes desarrollan su labor en los servicios de urgencias tienen que atender con frecuencia a pacientes traumatizados. El objetivo de su actuación será diferenciar qué pacientes presentan lesiones menores y cuáles sufren lesiones potencialmente graves.
El trabajo del médico en situaciones de urgencia es más proclive al error porque han de tomarse decisiones con rapidez y, generalmente, sometidos a presiones externas (exceso de trabajo, familiares ansiosos). Probablemente la mejor manera de prevenir estos errores sea la sistematización de la actuación. Esto, en definitiva, es la justificación de los protocolos médicos (el ABC del politraumatizado, protocolo del infarto de miocar dio, etc.). En el caso que nos ocupa no hemos elaborado un protocolo como tal, pero hemos tratado de ofrecer unas pautas y unos principios básicos de actuación que eviten que los pacientes puedan salir del servicio de urgencias con lesiones esqueléticas no diagnosticadas.
Bibliografía recomendada
Anderson LD, Meyer FN. Fractures of the shaft of the radius and ulna. En: Rockwood CA, Green DP, Bucholz RW, eds. Fractures in adults (3.a ed). Philadelphia: Lippincot Company, 1991; 726-737.
Burgess AR, Tile M. Fractures of the pelvis. En: Rockwood CA, Green DP, Bucholz RW, eds. Fractures in adults (3.a ed). Philadelphia: Lippincot Company, 1991; 1.399-1.479.
Cooney WP III, Linscheid RL, Dobyns JH. Fractures and dislocations of the wrist. En: Rockwood CA, Green DP, Bucholz RW, eds. Fractures in adults (3.a ed). Philadelphia: Lippincot Company, 1991; 563-678.
DeLee JC. Fractures and dislocations of the hip. En: Rockwood CA, Green DP, Bucholz RW, eds. Fractures in adults (3.a ed). Philadelphia: Lippincot Company, 1991; 1.481-1.651.
Deltoro A. Lesiones traumáticas del hombro. Clavícula y escápula. En: Gomar F, ed. Traumatología. Valencia: Fundación García-Muñoz, 1983.
Heckman JD. Fractures and dislocations of the foot. En: Rockwood CA, Green DP, Bucholz RW, eds. Fractures in adults (3.a ed). Philadel-phia: Lippincot Company, 1991; 2.041-2.182.
Rockwood CA Jr, Thomas SC, Matsen FA III. Subluxations and dislocations about the glenohumeral joint. En: Rockwood CA, Green DP, Bucholz RW, eds. Fractures in adults (3.a ed). Philadelphia: Lippincot Company, 1991; 1.021-1.179.
Rockwood CA Jr, Williams GR, Young DC. Injuries to the acromioclavicular joint. En: Rockwood CA, Green DP, Bucholz RW, eds. Fractures in adults (3.a ed). Philadelphia: Lippincot Company, 1991; 1.181-1.251.
Rogers LF. Radiology of skeletal trauma. New York: Churchill-Livingston, 1982.
Stauffer ES, MacMillan M, Montesano PX, Benson DR. Fractures and dislocations of the spine. En: Rockwood CA, Green DP, Bucholz RW, eds. Fractures in adults (3.a ed). Philadelphia: Lippincot Company, 1991; 1.309-1.358.
Voche PH. Fracturas recientes del escafoides. En: Merle M, Dautel G, Loda G, eds. Mano traumática: cirugía secundaria; muñeca traumática. Barcelona: Masson, SA, 1996; 333-339.


















