Historia clínica
Se trata de un varón de 67 años de edad con antecedentes de hipertensión arterial de varios años de evolución en tratamiento con amlodipino 5 mg/día. Consulta por tos y expectoración crónicas desde la infancia, acompañadas en alguna ocasión de esputos hemoptoicos. En
los últimos años presenta disnea de moderados esfuerzos con sibilancias de forma esporádica. Durante toda la visita el paciente presenta tos con expectoración mucopurulenta, acompañada de disnea de pequeños esfuerzos. A la exploración física destaca un buen estado general, afebril, sin cianosis ni edemas. A la auscultación respiratoria presenta un aumento de la frecuencia respiratoria y crepitantes bibasales sin sibilancias ni roncus.
Exploraciones complementarias
Analítica: destaca una velocidad de sedimentación globular (VSG) de 38 mm 1.a hora, hemoglobina de 13,8 g/dl y fosfatasas alcalinas de 273 U/l. El resto es normal.
Gasometría arterial basal: ligera hipercapnia en reposo.pH 7,41; PO2, 73 mmHg; PCO2, 53 mmHg; Sat O2, 92,6%.
Espirometría: intensa alteración ventilatoria de predominio obstructivo, con una capacidad vital forzada (CVF) del 29% (1,30 l) y un volumen espiratorio forzado (FEV) del 23% (0,74 l).
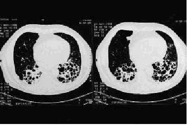
Radiografía simple (Rx) y tomografía axial computarizada (TAC) torácicas: se observan bronquiectasias quísticas intensas que afectan a ambos lóbulos inferiores junto con áreas de enfisema centroacinar en lóbulos superiores.
Evolución
El paciente presenta bronquiectasias bibasales que cursan con una intensa limitación crónica al flujo aéreo y ligera insuficiencia respiratoria. Actualmente, su tratamiento consiste en medidas higiénico-farmacológicas (fisioterapia respiratoria y antibioterapia), requiriendo mucolíticos y corticoides de forma ocasional. El rigor con el que ha seguido estas prácticas ha contribuido positivamente a su calidad de vida, pues, a pesar de su importante limitación ventilatoria, presenta poca sintomatología con relativa buena tolerancia al esfuerzo.
Comentario
La TAC se ha consolidado en los últimos años como la técnica de elección, después de la radiografía de tórax convencional, en el diagnóstico, evaluación, estadiaje y seguimiento de numerosos problemas relacionados con el tórax.
En la era preantibiótica, y todavía hoy en los países subdesarrollados, las bronquiectasias constituyen uno de los problemas pulmonares más importantes y de mayor morbimortalidad. En la actualidad, sigue siendo una entidad frecuente, aunque son raras sus formas graves. La confirmación de la sospecha diagnóstica inicial casi nunca se persigue, entre otros motivos porque el tratamiento empírico que normalmente se instaura suele ser bastante eficaz.
Gracias al empleo de la TAC para la evaluación de muchas enfermedades pulmonares, se ha podido demostrar que las formas leves o moderadas de bronquiectasias son frecuentes, incluso en los pacientes asintomáticos y con Rx de tórax anodinas. Además, la incidencia de bronquiectasias es muy alta en ciertas enfermedades sistémicas como la mucoviscidosis, las inmunodeficiencias crónicas y las discinesias ciliares hereditarias que cada vez se detectan con mayor frecuencia en la población adulta de los países desarrollados.
Aunque la radiografía de tórax es importante para la evaluación de las supuestas bronquiectasias, los datos a menudo son inespecíficos y no sirven para establecer un diagnóstico de certeza ni para localizar topográficamente la enfermedad. Los cambios radiológicos más sugerentes son el aumento mal definido de la trama broncovascular, sobre todo en las bases, y la identificación de espacios quísticos, con paredes engrosadas y a veces con nivel hidroaéreo, que suele detectarse bien en la tomografía. También son frecuentes los signos de pérdida de volumen pulmonar.
Hasta hace pocos años la broncografía era siempre necesaria para corroborar la existencia de bronquiectasias. Dicha técnica precisa de una gran experiencia para su realización e interpretación, siendo una prueba no exenta de riesgos (atelectasias, hipoxia, infecciones, reacciones al contraste, etc.) y que está contraindicada durante las fases de agudización hipóxica o cuando existe un broncospasmo significativo. Por todo ello, desde la existencia de la TAC torácica, la broncografía ha quedado relegada a un segundo plano.
La TAC proporciona una adecuada información acerca de la localización y extensión de las bronquiectasias, además de permitir una más correcta visualización del mediastino y del parénquima pulmonar. Para un mejor rendimiento diagnóstico es preferible la TAC de alta resolución, con secciones de corte de 1 a 4 mm y separación entre los mismos de 5 a 10 mm.
Por último, la broncoscopia está indicada en caso de hemoptisis y cuando, ante el hallazgo de bronquiectasias localizadas en un segmento o lóbulo, se quiere descartar la existencia de obstrucciones por cuerpos extraños o tumores.
Bibliografía recomendada
Álvarez-Sala JL, García-Casasola G. Bronquiectasias, hoy. Rev Clín Esp 1992; 190:107-410.
Barker AF, Bardana EJ. Bronchiectasis: update of an orphan disease. Am Rev Respir Dis 1988; 137:969-978.
Desal SR, Hansell DM. Small airways disease: expiratory computed tomography comes of age. Clinical Radiology 1997; 52:332-337.
Stanford W, Galvin JR. The diagnosis of bronchiectasis. Clin Chest Med 1988; 9:619-629.
Westcott JL. Bronchiectasis. Radiol Clin N Am 1991; 29:1.031-1.042.
Young K, Aspestrand F, Kolbenstvedt A. High resolution CT and bronchography in the assessment of bronchiectasis. Acte Radiol 1991; 32:439-441.


