Caso clínico
Se trata de una mujer de 35 años, con antecedentes de infección por el virus de la inmunodeficiencia humana (VIH) diagnosticada en 1994. Ha presentado candidiasis oral en agosto de 1995, recidivando en varias ocasiones; carcinoma de cérvix en noviembre de 1995, efectuándose una histerectomía y retinitis por citomegalovirus en marzo de 1996. Ha recibido múltiples tratamientos antivíricos: zidovudina, lamivudina, estavudina, indinavir, ritonavir, nevirapina, nelfinavir, didanosina y zalcitabina. Asimismo en tratamiento con ganciclovir desde 1996. Su situación actual inmunológica y virológica es mala, con menos de 50 CD4 y más de 250.000 copias de RNA-VIH.
Consultó por un cuadro de dos semanas de evolución de cefalea, malestar general, vómitos y febrícula. En la exploración destacaba palidez y signos de desnutrición, sin datos de déficit focales neurológicos.
Laboratorio: destacaba una anemia macrocítica moderada. En la bioquímica la glutamo-pirúvica transaminasa (GPT) era de 78 U/l y la fosfatasa alcalina de 313 U/l. Los CD4 eran de 3/mm.
Radiografía de tórax: sin condensaciones.
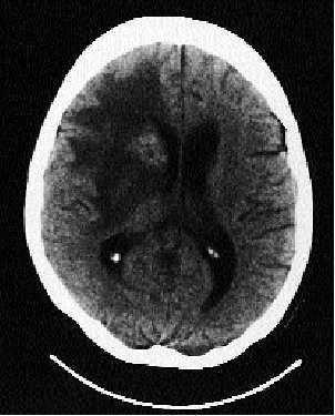
En la tomografía axial computarizada (TAC) craneal se observó una lesión ovoidea de 4 * 3 cm con componente hiper e hipodenso situada en el núcleo caudado derecho y otras de menos de 1 cm en el tálamo derecho; existe un importante edema frontoparietotemporal ipsilateral que produce una obliteración del asta frontal y del III ventrículo, comprimiendo parcialmente el cuerpo del ventrículo lateral derecho (fig. 1).
Fig. 1.
Tras la administración de contraste intravenoso se demuestra un realce de la lesión de forma anular y nodular (fig. 2), siendo la primera opción diagnóstica la toxoplasmosis cerebral y como segunda posibilidad el linfoma.
Fig. 2.
Tras tratamiento con sulfadiazina y pirimetamina se observó una importante mejoría clínica y neurorradiológica.
Discusión
La toxoplasmosis cerebral está producida por el parásito toxoplasma gondii. Suele originarse en el contexto de una inmunodepresión celular avanzada, generalmente con valores de CD4 menores de 100/mm. Las manifestaciones clínicas dependerán de la zona afectada. Habitualmente existirá un cuadro subagudo de cefalea, alteración del sensorio y síntomas focales, como hemiparesia o hemiplejía, hemianestesia, afasia, ataxia, dismetría, alteraciones del campo visual, etc.
El método neurorradiológico que se emplea habitualmente para el diagnóstico es la TAC. Se observarán lesiones hipo o isodensas que suelen captar contraste de forma nodular o en anillo y generalmente estarán situadas en la unión corticomedular y en los ganglios basales y se acompañan de edema y efecto de masa.
La resonancia magnética nuclear se ha demostrado útil, pero al ser las lesiones habitualmente captantes de contraste no aportará mayor información que la TAC. En cuanto al seguimiento, es preferible la práctica de TAC seriadas con contraste, que permitirán valorar la respuesta al tratamiento.
Bibliografía recomendada
Elkin CM, León E, Grenell SL, Leeds NE. Intracranial lesions in the acquired immunodeficiency syndrome. Radiological (computed tomographic) features. JAMA 1985; 253:393-396.
Farkash AE, Maccabee PS, Sher JH, Landesman SH, Hotson G. CNS toxoplasmosis in acquired immunodeficiency syndrome: a clinical pathological radiological review of 12 cases. J Neurol Neurosurg Psychiatry 1986; 49:744-748.
Navia AN, Petito CK, Gold JWM, Cho ES, Jordan BD, Price RW. Cerebral toxoplasmosis complicating the acquired immunodeficiency syndrome: clinical and neuropathological findings in 27 patients. Ann Neurol 1986; 19:224-238.
Post MJD, Sheldon JJ, Hensley GT, Soila K, Tobías JA, Chan JC, et al. Central nervous system disease in acquired immunodeficiency syndrome: prospective correlation using CT, MR imaging, and pathologic studies. Radiology 1986; 158:141-148.



