Caso clínico
Se trata de un varón de 45 años, técnico de electromedicina, diagnosticado de prurigo nodular hace tres años, actualmente inactivo. Acudió por fiebre, malestar general, astenia y mialgias. Etiquetado de probable proceso gripal, se le recomendó paracetamol y control de temperatura corporal. A los tres días volvió aportando gráfica de temperatura con picos de 39°, cefalea e intensa afectación del estado general, apreciándose leve disartria y sudación y llamando la atención el deterioro del estado general. No presentaba signos meníngeos ni déficit motores o sensitivos. La exploración otorrinolaringológica y cardiopulmonar era normal. Se observaban lesiones dermatológicas residuales en las extremidades. Con la sospecha de infección del sistema nervioso central fue remitido al hospital de referencia.
Pruebas complementarias
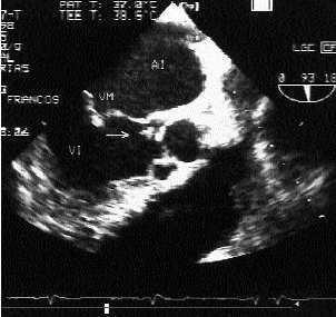
En la analítica básica sólo destacaban 8.400 leucocitos con 85% de neutrófilos y velocidad de sedimentación globular (VSG) de 43 mm. La punción del líquido cefalorraquídeo fue normal, así como la radiología de tórax y la ecografía abdominal. La tomografía axial computarizada (TAC) cerebral de urgencias fue informada como normal. A las 24 horas se apreció un paresia de la extremidad superior derecha de predominio distal. En la TAC cerebral con contraste (fig. 1) se observó una imagen hipodensa parietal izquierda. Se recibieron hemocultivos y urinocultivos positivos para S. aureus. En el ecocardiograma (EcoCG) transesofágico (fig. 2) se apreció una válvula aórtica trivalva, con el velo no coronario redundante en forma de cuenco en diástole y por debajo una imagen vibrátil de 3 mm en el tracto de salida del ventrículo izquierdo, sospechoso de «verruga» e insuficiencia valvular leve. La resonancia magnética (RM) cerebral (fig. 3) mostró múltiples lesiones nodulares supratentoriales, bihemisféricas, más numerosas en el lóbulo frontal izquierdo, con un tamaño desde algunos milímetros a 2 centímetros, captando contraste y sin existir efecto masa. En la evolución del paciente, que se hallaba asintomático desde el punto de vista cardiológico, fue apareciendo progresivamente un soplo pandias tólico aórtico y otro sistólico mitral. Evolutivamente fue desapareciendo la fiebre, la sintomatología general y la parésica, así como las imágenes lesionales en TAC y RM, con el tratamiento antibiótico. Se efectuó el diagnóstico de endocarditis infecciosa por S. aureus, abscesos cerebrales múltiples y valvulopatía aortomitral.
Fig. 1. Tomografía axial computarizada cerebral con contraste.
Fig. 2. Ecocardiograma transesofágico.
Fig. 3. Resonancia magnética cerebral.
Comentario
La endocarditis infecciosa (EI) es la entidad anatomo-clínica ocasionada por la infección del revestimiento endotelial del corazón, valvular o mural. Tanto por su gravedad como por su dificultad diagnóstica plantea difíciles dilemas ante su presencia.
Una clasificación actual con valor respecto a su presentación clínica, características epidemiológicas, pronósticas y terapéuticas sería: a) endocarditis sobre válvula nativa (EIVN); b) endocarditis sobre válvula protésica (EIVP), y c) endocarditis en adictos a drogas vía parenteral (EIADVP). Un nuevo tipo, la endocarditis de adquisición nosocomial (EIN), está emergiendo en los últimos años debido al uso de nuevas técnicas diagnósticas y terapéuticas invasoras vasculares (cateterismos, alimentación parenteral, marcapasos endocavitarios, hemodiálisis, etc.).
La incidencia real es difícil de saber, aunque se habla de 1,75-4 casos por 100.000 habitantes/año. Esta incidencia no parece haber cambiado en las últimas décadas, aunque sí la población afecta, ya sea por cambios en formas de vida (adicción a las drogas), mejoras de la salud (mayor supervivencia de los pacientes cardiópatas, mayor número de protésicos valvulares y menor número de valvulopatías reumáticas) y tecnología sanitaria más agresiva. La mayoría de los casos asienta sobre una cardiopatía estructural previa, en ocasiones desconocida por el paciente, especialmente si existen turbulencias en el flujo sanguíneo, aunque el riesgo varía según el tipo de lesión cardíaca, pudiendo diferenciar entre cardiopatías de riesgo relativamente alto, intermedio y bajo o despreciable (a destacar su asociación con el prolapso mitral recientemente reconocida). El resto de la fisiopatogenia es de sobra conocido: existencia de puerta de entrada, ya sea manipulaciones en cavidad oral, urogenitales, vasculares, etc., en ocasiones no identificada o sólo sospechada (como en nuestro caso, lesión cutánea por rascado a causa del prurigo nodular); bacteriemia transitoria, generalmente de bajo grado; colonización de la lesión endocárdica (teoría de la lesión inicial, microvegetaciones de fibrina y plaquetas) y formación de la «vegetación». El microorganismo causante (generalmente, bacterias u hongos) puede ser muy variado, pero en general está en relación a la forma clínica y a la clasificación de EI vista.
Respecto a la clínica, además de los múltiples síntomas posibles causados por las afectaciones cardíacas y extracardíacas (por embolias, fenómenos inmunológicos y aneurismas micóticos) que abarca cualquier manifestación de la patología médica, debemos saber que la caracteriza su enorme variedad, no sólo por las posibles combinaciones sindrómicas, sino por el distinto nivel de afectación de cada una de sus manifestaciones, lo que obliga a mantener un elevado nivel de alerta, para su diagnóstico temprano, tanto por el médico de Atención Primaria como por los diversos especialistas involucrados.
Respecto a la EI por S. aureus, la segunda más frecuente de las EIVN (10%-27%), hasta un tercio de los afectos no tienen antecedentes cardiológicos, siendo la afectación local agresiva (sobre todo de válvulas izquierdas) y con frecuente diseminación séptica metastásica, lo que condiciona una mortalidad de hasta un 40%, a pesar del tratamiento (a diferencia de la EIADVP).
El hemocultivo sigue siendo la base del diagnóstico (criterio mayor) junto a la clínica. La realización de electrocardiogramas periódicos es útil para detectar trastornos de la conducción o del ritmo y los raros casos de infarto por embolia coronaria. La EcoCG transtorácica debe ser realizada ante toda sospecha de EI, y tanto en modo M como bidimensional es muy rentable para visualizar vegetaciones de hasta 2 mm de tamaño, sobre todo en EIVN. La introducción de la EcoCG transesofágica mejora la sensibilidad y la especificidad diagnósticas. Además, las ecocardiografías seriadas son útiles para detectar y valorar lesiones valvulares y su repercusión hemodinámica (no es fiable para seguimiento de la antibioterapia). La TAC y la RM suponen un importante avance en la detección de lesiones extracardíacas, y especialmente las neurológicas. La RM ofrece mayor rendimiento para detectar alteraciones precoces de cerebritis, edema y lesiones pequeñas y/o múltiples.
Bibliografía recomendada
Aguado JM. La endocarditis en 1993. Una actualización para el médico general. Medicina Integral 1993; 22(9):398-412.
Almirante B. Endocarditis infecciosa. En: Rodés J, Guardia J, Trilla A, Aguirre C, Arroyo V, García-Conde J, et al. Medicina Interna. Barcelona: Masson, 1997; 956-965.
Bayés A, Soler J. Cardiología. Barcelona: Doyma, 1986; 513-525.
Durack D, Phil D. Endocarditis infecciosa. En: Schlant R, Wayne Alexander R, eds. Manual Hurst: el corazón. Madrid: Interamericana-McGraw-Hill, 1995; 241-256.
Durack DT, Lukes AS, Bright DK, The Duke Endocarditis Service. New criteria for diagnosis of infective endocarditis. Utilization of specific echocardiographic findings. Am J Med 1994; 96:200-209.
Mathisen K, Johnson P. Brain Abscess. CID 1997; 25:763-781.
McKinsey DS, Ratts TE, Bisno AL. Underlying cardiac lesions in adults with infective endocarditis. The changing spectrum. Am J Med 1987; 82:681-688.
Roman F. Abscesos cerebrales. Rev Clín Esp 1988; 198(7):409-411.
Stamboulian D, Carbone E. Recognition, management and prophylaxis of endocarditis. Drugs 1997; 54(5):730-744.
Terpenning MS, Buggy BP, Kaufmann CA. Hospital-acquired infective endocarditis. Arch Intern Med 1988; 148:1.601-1.603.




