Caso clínico
Mujer de 76 años de edad, con antecedentes de insuficiencia cardíaca congestiva, fibrilación auricular crónica, accidente cerebrovascular del hemisferio derecho, insuficiencia renal crónica leve e implantación de prótesis de cadera izquierda, en tratamiento crónico con ranitidina, digoxina, nitroglicerina tópica, ácido acetilsalicílico y torasemida. Un mes y medio antes de su ingreso actual fue intervenida de una apendicitis gangrenada.
Consultó por un cuadro de dolor abdominal de un día de evolución acompañado de vómitos y deterioro del estado general.
En la exploración física destacaba una paciente taquipneica, mal perfundida. En la auscultación cardíaca se apreciaban unos tonos arrítmicos, rápidos. El abdomen fue doloroso de modo difuso, más intenso en epigastrio y región periumbilical, distendido con ruidos intestinales hipoactivos, sin datos de peritonismo.
Entre las pruebas de laboratorio destacan: hemograma: 20.500 leucocitos con 17.300 neutrófilos, hematócrito del 42%; hemoglobina de 14,3 g/dl; con 244.000 plaquetas; y actividad de protrombina del 46%. En la bioquímica destacaba: creatinina de 2 mg/dl, amilasemia de 245 U/l (normal hasta 110). Gasometría arterial: pH: 7,16; PO2: 92 mmHg; pCO2: 18,2 mmHg; CO3 H: 6,5 mmol/l.
En el electrocardiograma destacaba fibrilación auricular con respuesta ventricular rápida, repolarización afectada de modo global.
La radiografía de tórax puso de manifiesto cardiomegalia, ateroma aórtico calcificado, sin condensaciones pulmonares. La radiografía de abdomen evidenció dilatación de asas de intestino delgado, con algunos niveles hidroaéreos.
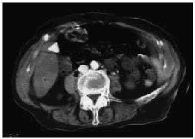
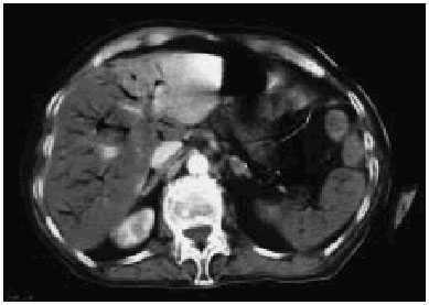
La tomografía axial computarizada (TAC) abdominal puso de manifiesto imágenes de neumatosis intestinal, distensión abdominal, abundante gas en la vena mesentérica y sistema portal (vena porta y esplénica), compatible con isquemia mesentérica grave (figs. 1 y 2).
Fig. 1.
Fig. 2.
La paciente fue tratada con fluidoterapia y analgesia, pero la situación continuó deteriorándose y falleció a las 6 h de su ingreso en urgencias sin haber podido efectuarse la intervención quirúrgica.
Comentarios
La isquemia mesentérica es más frecuente en pacientes mayores de 50 años de edad con antecedentes de cardiopatía arterioesclerótica o valvular, insuficiencia cardíaca congestiva, arritmias cardíacas, hipovolemia o hipotensión por múltiples causas (quemaduras, diarrea grave, pancreatitis, hemorragia gastrointestinal, etc.), infarto de miocardio reciente y antecedentes de embolismo arterial en las extremidades.
El dolor abdominal es el síntoma más frecuente, y se presenta en el 80 al 100% de los casos. Tiene duración, gravedad y localización variables, aunque suele ser de comienzo agudo, difuso e intenso. Otros síntomas menos frecuentes son los vómitos y diarrea que pueden contener sangre, la confusión y la hipotensión arterial.
Al avanzar el cuadro, puede encontrarse en la exploración física datos de distensión abdominal y disminución de los ruidos intestinales y en ocasiones signos de peritonismo.
En el hemograma se encontrará generalmente leucocitosis con desviación a la izquierda y elevación moderada de los niveles de amilasa. La acidosis metabólica es un hallazgo final e inespecífico.
En la radiografía abdominal pueden observarse asas intestinales dilatadas con niveles hidroaéreos, aire intramural o portal; pero ninguno de ellos es totalmente específico. Estos hallazgos se apreciarán mejor mediante la realización de una tomografía axial computarizada.
El diagnóstico definitivo se obtendrá mediante la práctica de una angiografía mesentérica.
El tratamiento, una vez estabilizado el paciente, debe ser quirúrgico con resección de los segmentos intestinales afectados por la isquemia.
Bibliografía recomendada
1.Boley SJ. Early diagnosis of acute mesenteric ischemia. Hosp Prac 1981;16:63-71.
2.Grendell JH, Ockner RK. Vascular diseases of the bowel. In: Sleisenger MH, Fordtran JS, editors. Gastrointestinal disease. Philadelphia: W.B. Saunders Company, 1989; p. 1903-32.
3.Hildebrand HD, Zierler RE. Mesenteric vascular disease. Am J Surg 1980;139:188-92.
4.McKinsey JF, Gewertz BL. Acute mesenteric ischemia. Aurg Clin North Am 1997;77:307-18.
5.Taourel PG, Denenville M, Pradel JA, Regent D, Bruel JM. Acute mesenteric ischemia: diagnosis with contrast-enhaced CT. Radiology 1996;199:632-6.
6.Walker JS, Dire DJ. Vascular abdominal emergencies. Emerg Med Clin North Am 1996;14:571-92.



