Caso clínico
Varón de 74 años de edad, con antecedentes personales de fumador de 20 cigarrillos al día. No cumplía criterios de bronquitis crónica.
Consultó por un cuadro de tos, dolor en el costado derecho de características pleuríticas y fiebre de una semana de evolución. Además, refería astenia, anorexia y pérdida de peso de 3 meses de evolución.
En la auscultación pulmonar se apreciaba una disminución del murmullo vesicular en la mitad superior del hemitórax derecho.
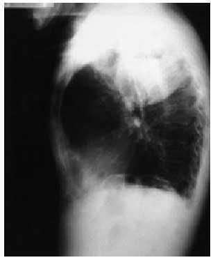
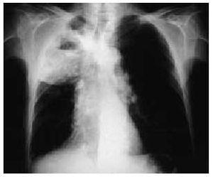
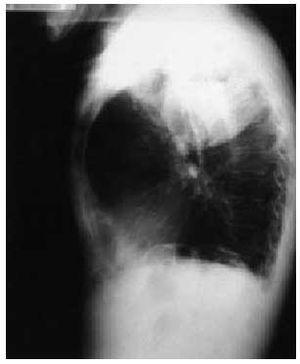
En la radiografía de tórax se observaba una masa cavitada que ocupaba la totalidad del lóbulo superior derecho (figs. 1 y 2).
Fig. 1.
Fig. 2.
En la fibrobroncoscopia se apreció una neoformación que cerraba completamente el segmento apical del lóbulo superior derecho. Además, existía un implante tumoral en la carina y otro implante en el bronquio del lóbulo inferior izquierdo.
Se realizó un cepillado y una biopsia bronquial con el diagnóstico de carcinoma escamoso moderadamente diferenciado.
Dada la situación de inoperabilidad se decidió realizar tratamiento de quimioterapia con esquema de paclitaxel y carboplatino, habiéndose administrado hasta este momento un ciclo.
Comentario
Las manifestaciones clínicas del cáncer de pulmón vienen determinadas por la localización del tumor y por su extensión. En tumores de crecimiento endobronquial o central (predomina el carcinoma microcítico o de célula pequeña), los síntomas más frecuentes son: tos, hemoptisis, disnea y, en ocasiones, cuadros de neumonitis obstructiva (fiebre y tos productiva). En tumores periféricos (predomina el adenocarcinoma), los síntomas más frecuentes son: dolor torácico, disnea y tos. En tumores con extensión mediastínica puede producirse un síndrome de vena cava superior. En pacientes con metástasis a distancia predominará el síndrome constitucional y los propios del órgano afectado.
En enfermos con carcinoma microcítico pueden presentarse síndromes paraneoplásicos, como el síndrome de secreción inadecuada de hormona antidiurética, el síndrome de Cushing ectópico y los cuadros miasteniformes o de Eaton-Lambert.
En los pacientes en los que se sospecha la existencia de un cáncer de pulmón, la radiografía simple de tórax es la exploración básica para el diagnóstico. La fibrobroncoscopia es fundamental, incluso en el 10% de los casos en los que el tumor pulmonar no es visible en la radiografía de tórax.
La tomografía computarizada (TC) es imprescindible para realizar el diagnóstico de extensión.
Con respecto al papel de la quimioterapia en el tratamiento del carcinoma de pulmón no de célula pequeña (CPNCP) avanzado, éste ha sido perfectamente asumido teniendo en cuenta los resultados de diversos metaanálisis, en los que se demostró que las combinaciones de fármacos, incluido el platino, mejoraban, aunque de forma modesta, tanto la supervivencia como la calidad de la vida, frente a un tratamiento únicamente de soporte. Se estima un incremento en la mediana de la supervivencia de unos 2 meses y un aumento absoluto de la supervivencia al año del 10%.
Los nuevos fármacos en monoterapia son tan eficaces como las combinaciones empleadas anteriormente en el tratamiento de esta neoplasia. La mediana actual de supervivencia con los nuevos tratamientos es de 9 meses y de un 35-45% al año. Sin embargo, no se puede definir una combinación como el tratamiento estándar.
Bibliografía general
Alberola V. Impacto de la quimioterapia sobre la supervivencia en el cáncer de pulmón no microcítico. Análisis de estudios Fase III en la enfermedad avanzada. En: Díaz Rubio E, editor. Quimioterapia y cáncer: impacto sobre la supervivencia. Madrid: Editorial You/US, 2000; p. 137-54.
Arroliga AC, Matthay RA. The role of bronchoscopy in lung cancer. Clin Chest Med 1993;14:87-97.
Font Pous A, Rosell Costa R. Cáncer de pulmón. Neoplasias del mediastino. Mesotelioma. En: Díaz-Rubio E, García-Conde J, editores. Oncología clínica básica. Madrid: Ediciones Aran, 2000; p. 387-400.
Non-Small Cell Lung Cancer Collaborative Group. Chemotherapy in non-small cell lung cancer. A meta-analysis using updated data on individual patients from 52 randomised clinical trials. BMJ 1995; 311:899-909.
Marcos Sánchez F, et al. Radiografía de tórax



