Caso clínico
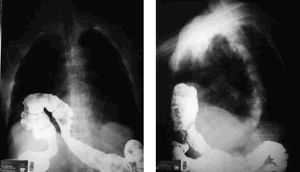
Varón de 89 años de edad, con antecedentes de síndrome prostático y cardiopatía no filiada, que ingresó por síndrome anémico intenso que precisó la transfusión de varios concentrados de hematíes. En la analítica solicitada se detectó ferropenia grave como dato de interés. Dado el estado de deterioro general del paciente, no se pudo realizar endoscopia digestiva alta, por lo que se le practicó seriada esofagogastroduodenal que puso de manifiesto la presencia de hernia de hiato con importante reflujo gastroesofágico. Para completar el estudio se practicó un enema opaco, que objetivó como hallazgo casual la introducción del ángulo hepático del colon en la cavidad torácica a través del orificio diafragmático anterior derecho (figs. 1 y 2) como consecuencia de la presencia de una hernia de Morgagni.
Comentario
El diafragma constituye un tabique muscular que separa la cavidad abdominal de la torácica. Cuando esta función fracasa, parte del contenido abdominal pasa al tórax y se producen las hernias diafragmáticas. La hernia de Morgagni se produce a través del foramen del mismo nombre, que es un defecto en la parte anterior del diafragma en la región costoxifoidea. Se trata de hernias directas con un saco peritoneal bien definido; en la mayoría de los casos, el contenido es colon transverso y epiplón. El estómago también puede ascender atraído por el epiplón gastrocólico, pero no es lo más frecuente. Asimismo, el intestino delgado se ha visto en alguna ocasión. La mayoría de los casos se dan en el lado derecho. Estas hernias son raras (representan el 3% de las hernias diafragmáticas) y suelen aparecer de forma predominante en individuos obesos y en mujeres. Acostumbran a ser un hallazgo casual tras la realización de una radiografía de tórax o de un enema opaco, ya que por lo general son asintomáticas, aunque pueden manifestarse como molestia epigástrica, dispepsia, distensión abdominal o clínica respiratoria. En algunos casos se auscultan borborigmos en el tórax. Los síntomas agudos casi siempre se deben a obstrucción del intestino grueso, aunque también pueden incarcerarse el epiplón y el estómago. Los síntomas y su gravedad dependen del volumen de contenido intestinal que pasa al tórax y de la estrangulación. En lactantes las hernias grandes pueden afectar la ventilación y hacer necesaria una corrección quirúrgica inmediata. En adultos está indicada la observación y, en caso de estrangulación, el tratamiento es quirúrgico.
Bibliografía general
Bennett MD, Plum MD. Cecil tratado de medicina interna. Volumen I (20.ª ed.). Madrid: McGraw-Hill Interamericana, 1997; 503.
Bixquert Jiménez M. Diccionario de ayuda en medicina digestiva. Profármaco S.A., 1997; 69.
Rozman C. Tratado de medicina interna. Vol. I (13.ª ed.). Madrid: Mosby-Doyma Libros, 1995; 851.
Sleisenger MH, Fordtran JS. Enfermedades gastrointestinales. Vol. II. México: Editorial Médica Panamericana, 1985; 1962.
Vilardell F, Rodés J et al. Enfermedades digestivas. Madrid: Ediciones CEA S.A., 1990; 485-486.


