INTRODUCCIÓN
En las consultas de Atención Primaria la tos es un síntoma muy común y habitual por el que los pacientes consultan de manera frecuente, por ello es importante hacer un correcto diagnóstico diferencial del síntoma y no limitarse a tratarlo con un antitusígeno. En ocasiones sin una correcta anamnesis podemos tratar incorrectamente un síntoma que es la "llamada" de una patología de base no sospechada. En la tabla 1 se recogen las principales causas de tos crónica. Con la presentación de este caso clínico se pretende recordar un grupo de enfermedades que pueden tener como síntoma fundamental la tos y, más concretamente, las enfermedades que afectan al intersticio pulmonar.
Las llamadas enfermedades intersticiales del pulmón constituyen un grupo de enfermedades caracterizadas por unas manifestaciones clínicas, radiológicas y funcionales similares, en las que el substrato afecto es la estructura alveolocapilar. Tienen una etiología muy diversa mientras que la patogenia es común a la mayoría de ellas. En resumen, la acción de un agente etiológico, conocido o no, va a originar un proceso inflamatorio a nivel alveolar que de mantenerse crónicamente puede determinar la aparición de fibrosis pulmonar.
CASO CLÍNICO
Se trata de una mujer de 70 años de edad sin alergias medicamentosas con antecedentes de espondiloartrosis e infecciones urinarias de repetición. No ha tenido intervenciones quirúrgicas. Actualmente recibe diclofenaco, alprazolam y furantoína como tratamiento preventivo de infección urinaria. No tiene hábitos tóxicos. La paciente es remitida a urgencias por presentar tos persistente de más de un mes de evolución sin expectoración y acompaña-
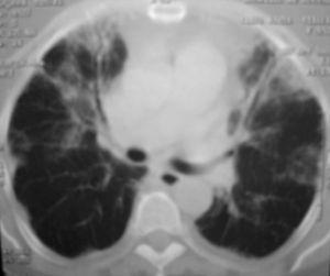
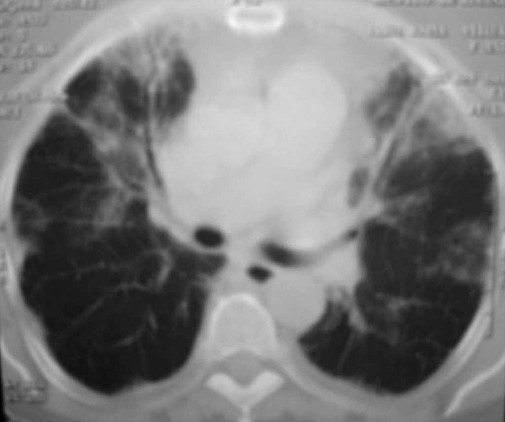
da de disnea que progresivamente se había hecho a medianos esfuerzos. La paciente había llevado tratamiento con antitusígenos y antibióticos a pesar de lo cual había empeorado. Se encontraba afebril. Tenía una tensión arterial de 140/70 mmHg y una frecuencia cardíaca de 70 lpm. En el momento de la exploración la paciente se encuentra eupneica en reposo, normohidratada, sin cianosis central ni periférica. No se evidencia ingurgitación yugular ni adenopatías, ni soplos carotídeos. En la auscultación cardíaca hay ruidos rítmicos sin soplos ni roce pericárdico. En la auscultación pulmonar se observan crepitantes en campos medios, sobre todo derecho. El abdomen no es doloroso, no presenta megalias y el peristaltismo está conservado. Las extremidades inferiores no muestran edemas ni signos de insuficiencia venosa, con pulsos pedios simétricos. En las pruebas complementarias destaca en el hemograma neutrofilia sin leucocitosis. La bioquímica y la hemostasia son normales. El electrocardiograma muestra ritmo sinusal sin crecimiento de cavidades. Gasometría: pH: 7,46; pCO2: 32,8; pO2: 55,5; bicarbonato: 23,5; saturación O2: 90,7%. La radiografía de tórax muestra patrón intersticial bilateral (fig. 1); no hay imágenes de condensación. La paciente ingresó en el servicio de Medicina Interna para estudio de insuficiencia respiratoria y patrón intersticial pulmonar. La tomografía axial computarizada evidenciaba la existencia de múltiples zonas de consolidación parenquimatosa de distribución periférica acompañado de engrosamiento y dilatación de la pared bronquial (fig. 2). La espirometría mostraba un déficit restrictivo de carácter moderado-severo y las pruebas reumatológicas solicitadas fueron normales a excepción del factor reumatoide (168) y la proteína C reactiva (37,1). Se inició tratamiento corticoideo a dosis elevadas y la paciente mejoró espectacularmente tanto clínica como radiológicamente.
Figura 1. Radiografía de tórax.
Figura 2. Tomografía axial computarizada torácica.
Con intención de etiquetar la etiología de la afección intersticial pulmonar se hace una interconsulta a nuestro hospital de referencia para valorar la realización de biopsia pulmonar por videotoracoscopia. Se realizó broncoscopia y lavado broncoalveolar (LBA) de citología, microbiología e inmunología, siendo todas ellas normales. A la vista de los resultados, dada la edad de la paciente, la mejoría tanto clínica como en las pruebas complementarias tras tratamiento corticoideo y el antecedente de exposición crónica a nitrofurantoína, no se consideró la realización de biopsia y se etiquetó de enfermedad intersticial secundaria a la ingesta de nitrofurantoína. La paciente fue dada de alta precisando oxigenoterapia y tratamiento esteroideo durante ocho meses. Actualmente se encuentra estable y asintomática, y no precisa tratamiento.
DISCUSIÓN
La nitrofurantoína es un antibiótico utilizado con frecuencia en la profilaxis de los pacientes con infecciones urinarias de repetición1. Sin embargo, es un fármaco que se ha visto involucrado en casos de toxicidad pulmonar y hepática2,3. La neumonitis intersticial originada por nitrofurantoína puede aparecer horas después de iniciado el tratamiento hasta meses o años después de comenzado e incluso un tiempo después de haberlo abandonado4. De esta manera, la neumonitis puede aparecer de forma aguda, subaguda o crónica dependiendo del tiempo de exposición al fármaco5. Por ello debemos sospechar una posible toxicidad por furantoína ante la aparición de tos y disnea en un paciente crónicamente tratada con este fármaco. La radiografía de tórax muestra un patrón intersticial y en el LBA suele existir linfocitosis.
Hemos presentado el caso de una afección pulmonar por exposición crónica a furantoína. Esta patología se incluye dentro del grupo de las neumonitis intersticiales del pulmón. Su etiología es muy diversa, en ocasiones desconocida (tabla 2), si bien en otras existe un factor de exposición causal que origina el cuadro como es el caso que nos ocupa. Clínicamente las neumonitis intersticiales se comportan todas ellas de manera similar, con disnea progresiva de esfuerzo que llega a hacerse de reposo, tos crónica seca y en la auscultación destaca la presencia de crepitantes al final de la inspiración. Para el diagnóstico es fundamental realizar una buena anamnesis6 (antecedentes familiares, historia profesional y ambiental, fármacos, existencia de radioterapia previa, etc.), una radiografía de tórax en la que se consideran cinco imágenes diferentes (vidrio deslustrado, nodular, reticular, reticulonodular y en panal) y prueba funcional ventilatoria que en la mayoría de ellas es de carácter restrictivo. La espirometría se correlaciona bien con el grado de afectación y es útil para el control evolutivo. En un escalón superior tendríamos la TAC de alta resolución (TCAR), el LBA y la biopsia pulmonar para diagnóstico diferencial de la neumonitis7.
En cuanto al tratamiento, lo primero es evitar la exposición del agente causal en las neumonitis de etiología conocida y tratamiento antiinflamatorio con glucocorticoides a dosis elevadas durante el primer mes (1mg/kg/día) para disminuir luego progresivamente. También se han empleado otros fármacos en neumonitis que no responden al tratamiento esteroideo, como la ciclofosfamida8 y la ciclosporina9.
Correspondencia:
C. E. Colás Orós.
C/ Domingo Andrés 2-2.o D.
44600 Alcañiz (Teruel).
Recibido el 2-5-2004; aceptado para su publicación 18-10-2004.







