Los meningiomas son tumoraciones eminentemente benignas procedentes de las meninges, correspondiendo al 15-25% de las tumoraciones intracraneales en el adulto, cuya expresividad clínica viene representada por la compresión de estructuras vecinas quedando representada predominantemente por cefalea, alteraciones del comportamiento, y déficit neurológicos. Presentamos un caso donde el cuadro constitucional constituye la primera y principal manifestación de un meningioma intracraneal pontocerebeloso.
Meningiomas are basically benign tumours arising in the meninges and account for 15-25% of intracranial tumours in adults. It is clinically signs are due to compression of the neighbouring structures, with the main symptoms being migraine, behavioural changes, and neurological deficits. We present a case where constitutional syndrome was the first and principal manifestation of an intracranial cerebellopontine meningioma.
Mujer de 72 años con antecedentes de hipertensión arterial de grado i y diabetes mellitus tipo 2 no complicada con buen control metabólico (HbA1c 6,4%), en tratamiento con 5mg/día de enalapril y 850mg/día de metformina. Fue enviada desde atención primaria a consulta externa de medicina interna por un cuadro consistente en pérdida de 15 kg, astenia e hiporexia desde hacía 2 meses, asociando en últimos 10 días dificultad para la deambulación por inestabilidad y debilidad de miembros inferiores de carácter progresivo; no refería otra sintomatología asociada por órganos o aparatos, por lo que se ingresa para estudio de cuadro constitucional. Valoración geriátrica integral: a) escala Lawton-Brody para actividades instrumentales: 8; b) test de Pfeiffer: 0; c) escala de Yasevage: 4; d) escala de Gijón: 7; e) Barthel: 100. A la exploración general destacaba peso de 43 kg, talla 156cm (IMC 17,6), impresionando de importante delgadez, aunque con estado general conservado, siendo el resto de la exploración general normal. La exploración neurológica sistemática solo presentó dificultad para mantener la bipedestación por debilidad (aunque la fuerza explorada era de 5/5 en la escala Medical Research Council), marcha inestable con aumento de la base de sustentación, y Romberg hacia la izquierda.
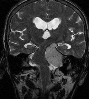
El estudio analítico mostraba hemoglobina de 11g/dl, siendo el resto de hemograma, hemostasia y bioquímica (renal, hepática y lipídica) normal. Ferrocinética, folato, vitamina B12, marcadores tumorales (CA 15.3, CA 19.9, CA 125, CEA, β2-microglobulina), proteinograma, velocidad de sedimentación globular, hormonas tiroideas, autoinmunidad (ANA, ANCA, FR, antitransglutaminasa), serologías (VHB, VHC, VIH, lúes) fueron negativos/normales. La radiografía de tórax y la TC de cuello-tórax-abdomen-pelvis no mostraron hallazgos relevantes salvo hallazgos degenerativos óseos. El electrocardiograma y el ecocardiograma mostraban estenosis aórtica e hipertrofia ventricular izquierda concéntrica, ambas con carácter leve como único dato destacable. Los estudios endoscópicos alto y bajo, así como en tránsito intestinal solo revelaron una pequeña hernia de hiato. La RM de cráneo con gadolinio (fig. 1) resultó diagnóstica al resaltar una lesión en el ángulo pontocerebeloso izquierdo extraaxial homogénea de 2,5×4×4,4cm que se introducía en el seno cavernoso, desplazando y comprimiendo el tronco del encéfalo, apreciándose del mismo modo hidrocefalia obstructiva de carácter leve. Ante estos hallazgos, y dada la situación basal de la paciente, se propone para exéresis quirúrgica donde se confirmó histopatológicamente el diagnóstico de meningioma.
A los 7 meses de la intervención la paciente no presenta secuelas neurológicas con ganancia ponderal de 11 kg y resolución de la sintomatología constitucional.
DiscusiónLos meningiomas son tumores predominantemente benignos de crecimiento lento, extraaxiales, no infiltrantes, procedentes de la aracnoides y adheridos a la duramadre, y constituyen el 15-20% de todos los tumores intracraneales. Suele presentarse en edades avanzadas con predominancia por el sexo femenino1,2, debido a la presencia de receptores hormonales para la progesterona1. El aumento de la esperanza de vida, y el avance de técnicas de imagen, han elevado la incidencia de casos diagnosticados en pacientes ancianos, estimándose en esta población según diferentes estudios una prevalencia en torno al 40-55%2–4. El tumor puede localizarse en cualquier territorio con presencia de duramadre, siendo esta localización, el tamaño de la lesión y la compresión de estructuras vecinas lo que caracteriza el cuadro clínico. Muchos de los meningiomas cursan con carácter asintomático o pobremente sintomático, y suelen ser descubiertos de forma incidental en estudios realizados por otros motivos5. El espectro clínico habitualmente descrito lo conforman: cefalea, crisis comiciales, déficit neurológico focal, alteración de las funciones cognitivas, alteraciones visuales, pérdida de audición, debilidad de miembros inferiores, hidrocefalia obstructiva y hemorragia espontánea6. Las pruebas de imagen son esenciales para establecer el diagnóstico diferencial con otras enfermedades vasculares de alta prevalencia en la población anciana y en concreto la RM se considera de elección para la caracterización tumoral y la valoración prequirúrgica7. Actualmente el tratamiento quirúrgico es de elección en los casos de meningiomas sintomáticos, o asintomáticos extensos infiltrantes o asociados a edema cerebral, además de confirmar y definir la histopatología del meningioma. En casos de resección quirúrgica incompleta es necesario asociar radioterapia local por el riesgo de recidiva8. La frecuente pluripatología y la situación basal y funcional del paciente anciano, así como las características clínicas del tumor, tendrán que ser integralmente evaluadas preoperatoriamente para una adecuada indicación, y de ese modo evitar la aparición de grandes complicaciones y mortalidad posquirúrgicas, tal y como se apreciaba en casuísticas tradicionales, mejorada con la tecnología neuroquirúrgica actual9–10.
Tanto el síndrome constitucional como el meningioma constituyen 2 entidades clínicas frecuentes entre los pacientes ambulatorios, sin embargo la asociación entre ambos no queda descrita en la literatura científica previa. En nuestro caso la focalidad neurológica se presentó con carácter muy tardío, siendo lo más llamativo la importante astenia y pérdida de peso que la paciente presentaba, lo cual propició principalmente su ingreso y estudio. Una vez descartada razonablemente una posible enfermedad causante del síndrome, así como resolución de este en el seguimiento posterior tras la intervención del meningioma, nos lleva a comunicar este caso como forma clínica excepcional de presentación de un meningioma, la cual hipotetizamos podría justificarse por la compresión de una estructura esencial como la troncoencefálica.
Responsabilidades éticasProtección de personas y animalesLos autores declaran que para esta investigación no se han realizado experimentos en seres humanos ni en animales.
Confidencialidad de los datosLos autores declaran que han seguido los protocolos de su centro de trabajo sobre la publicación de datos de pacientes y que todos los pacientes incluidos en el estudio han recibido información suficiente y han dado su consentimiento informado por escrito para participar en dicho estudio.
Derecho a la privacidad y consentimiento informado.Los autores han obtenido el consentimiento informado de los pacientes y/o sujetos referidos en el artículo. Este documento obra en poder del autor de correspondencia.
Conflicto de interesesLos autores declaran no tener ningún conflicto de intereses.




